Techniques Microscopic Neuroanatomy

0.0(0)
Studied by 30 people
call kaiCall Kai
learnLearn
examPractice Test
spaced repetitionSpaced Repetition
heart puzzleMatch
flashcardsFlashcards
GameKnowt Play
Card Sorting

1/68

flashcard set

Earn XP

Description and Tags

NRSC 2200 Exam 3

Last updated 4:22 PM on 5/2/23
Name
Mastery
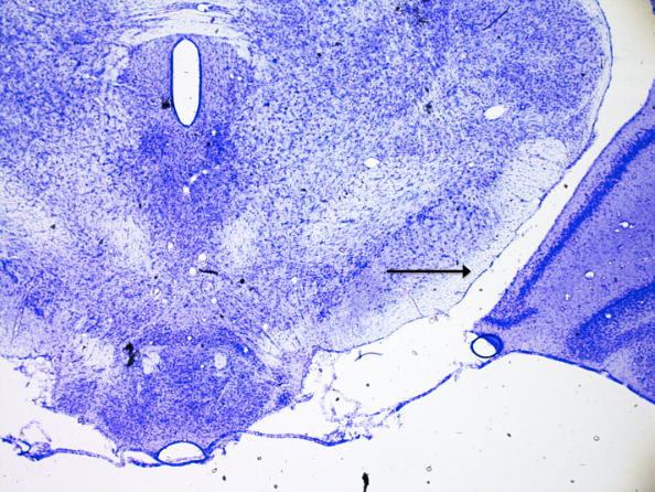
Learn
Test
Matching
Spaced
Call with Kai

No analytics yet

Send a link to your students to track their progress

69 Terms

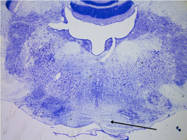
1
New cards
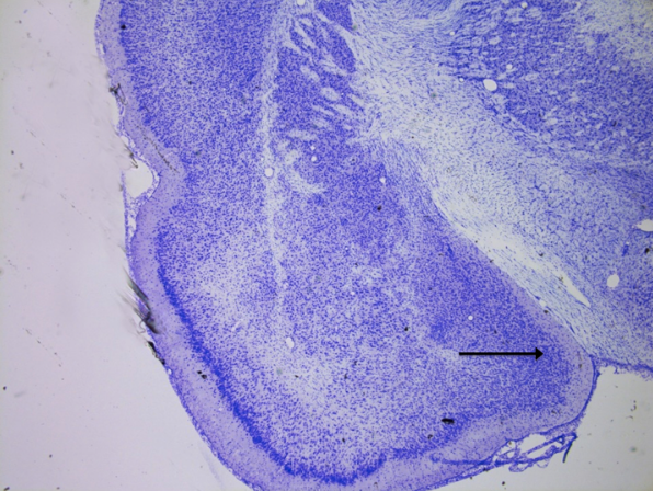
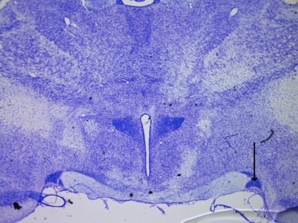
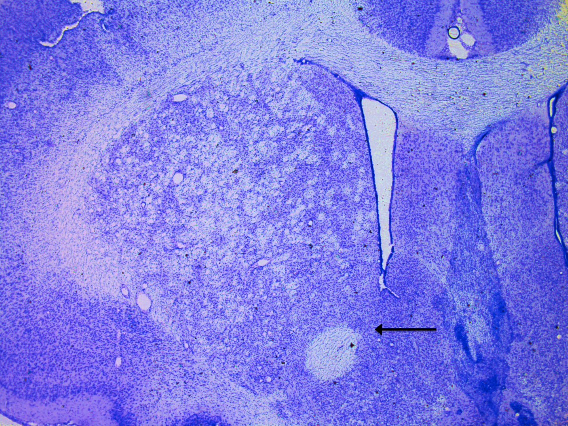
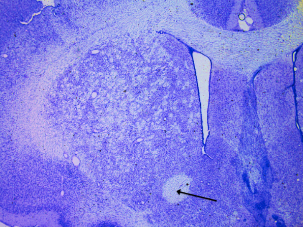
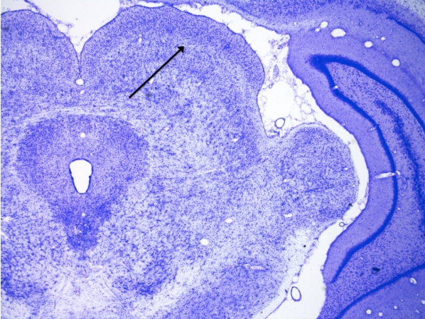
Nucleus accumbens
knowt flashcard image
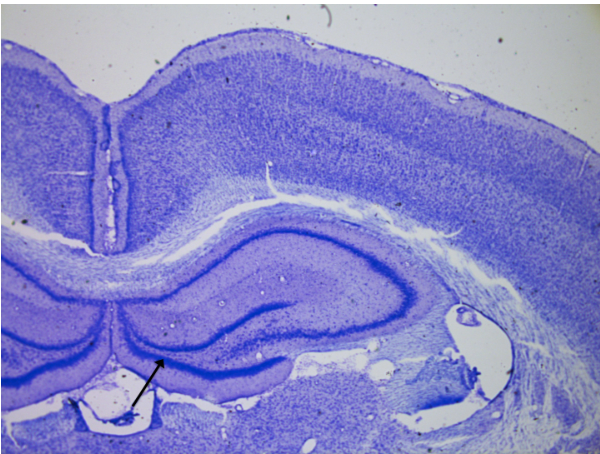
2
New cards
Hippocampus CA1
knowt flashcard image
3
New cards
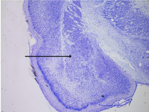
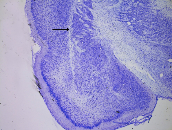
Piriform cortex
knowt flashcard image
4
New cards
Optic chiasm
knowt flashcard image
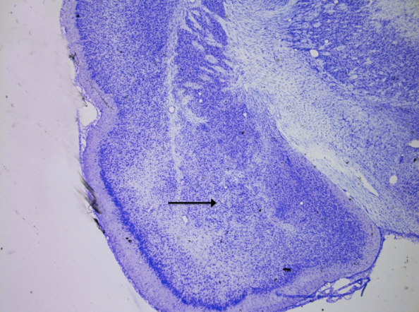
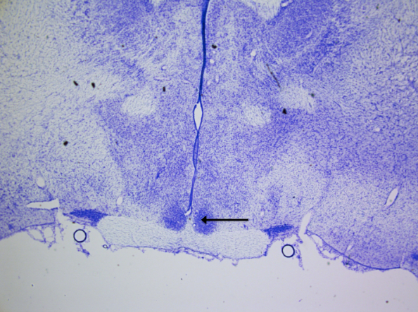
5
New cards
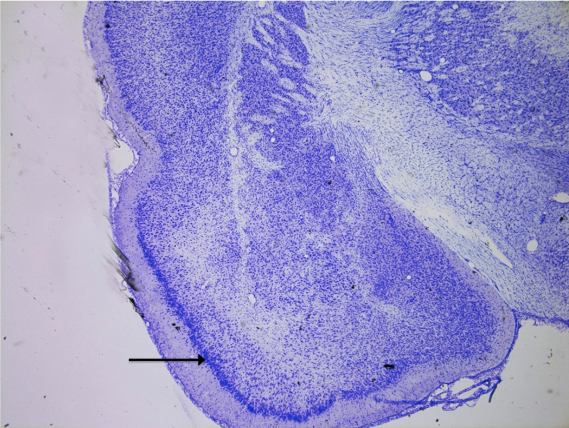
Cerebellum
knowt flashcard image
6
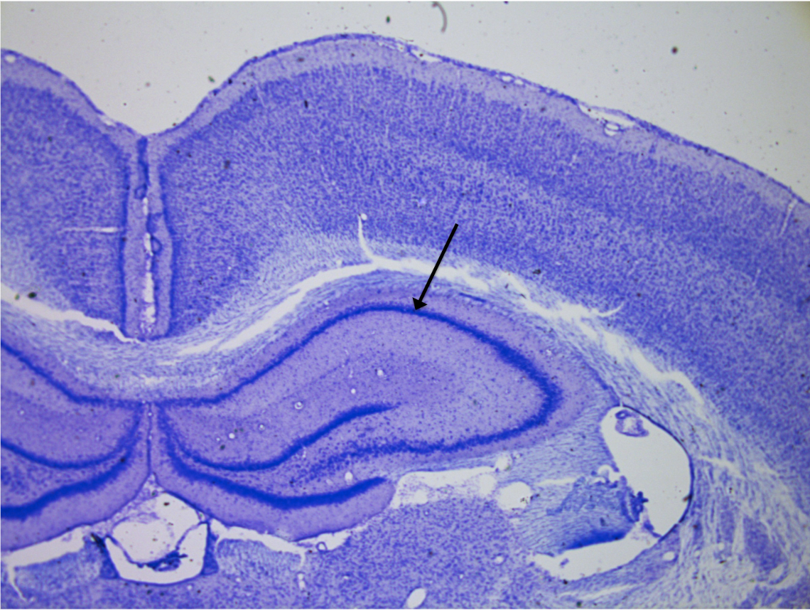
New cards
Hippocampus CA3
knowt flashcard image
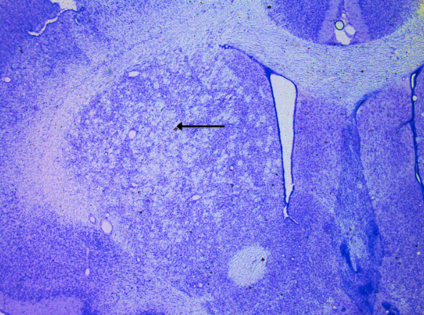
7
New cards
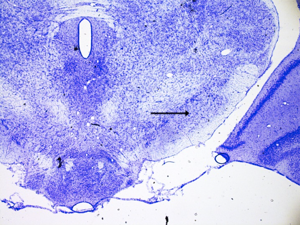
Dorsomedial nucleus of the hypothalamus
knowt flashcard image
8
New cards
Cortex layer I
knowt flashcard image
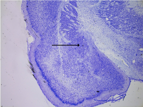
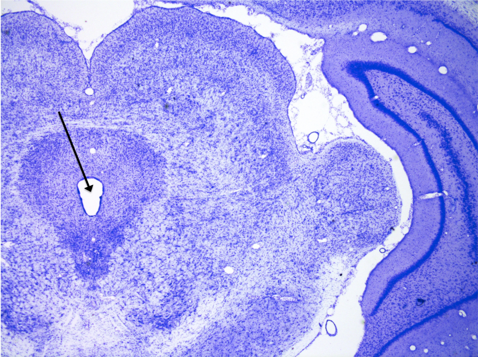
9
New cards
Cerebral aqueduct
knowt flashcard image
10
New cards
Periaqueductal gray
knowt flashcard image
11
New cards
Substantia nigra
knowt flashcard image
12
New cards
Central nucleus of the amygdala
knowt flashcard image
13
New cards
Corpus callosum
knowt flashcard image
14
New cards
4th ventricle
knowt flashcard image
15
New cards
Pyramidal tract
knowt flashcard image
16
New cards
Dentate gyrus
knowt flashcard image
17
New cards
Lateral geniculate nucleus of the thalamus
knowt flashcard image
18
New cards
Cortical layer VI
knowt flashcard image
19
New cards
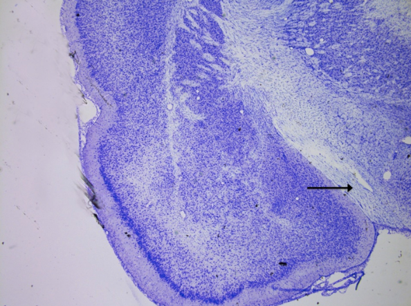
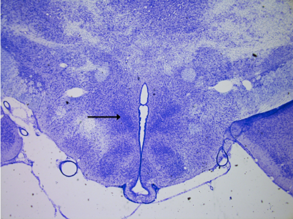
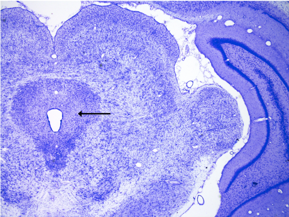
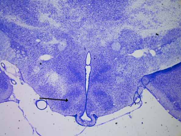
Septum
knowt flashcard image
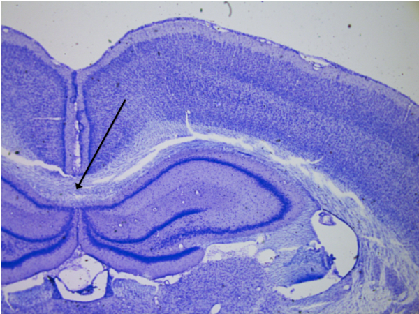
20
New cards
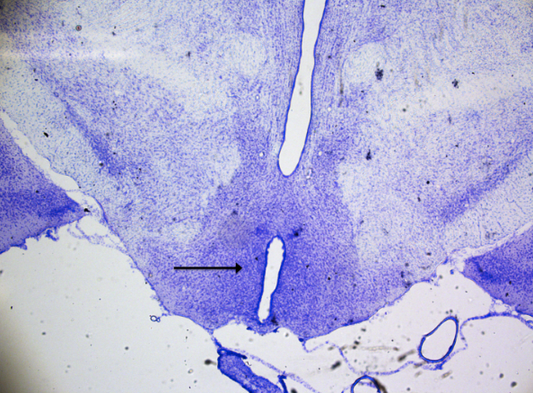
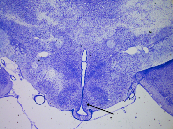
3rd ventricle
knowt flashcard image
21
New cards
Anterior commissure
knowt flashcard image
22
New cards
Paraventricular nucleus of the hypothalamus
knowt flashcard image
23
New cards
Cingulate cortex
knowt flashcard image
24
New cards
Internal capsule
knowt flashcard image
25
New cards
Optic tract
knowt flashcard image
26
New cards
Superior colliculus
knowt flashcard image
27
New cards
Lateral ventricle
knowt flashcard image
28
New cards
External capsule
knowt flashcard image
29
New cards
Fornix
knowt flashcard image
30
New cards
Globus pallidus
knowt flashcard image
31
New cards
Inferior colliculus
knowt flashcard image
32
New cards
Arcuate nucleus of the hypothalamus
knowt flashcard image
33
New cards
Cerebral peduncle
knowt flashcard image
34
New cards
Lateral nucleus of the amygdala
knowt flashcard image
35
New cards
Ventromedial nucleus of the hypothalamus
knowt flashcard image
36
New cards
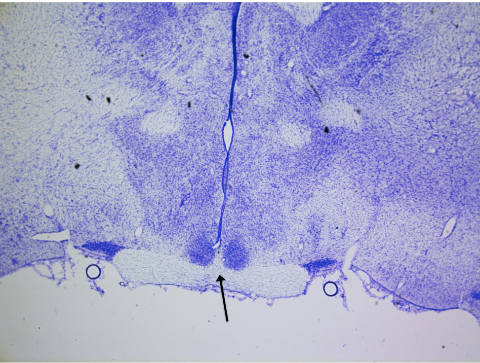
Suprachiasmatic nucleus of the hypothalamus
knowt flashcard image
37
New cards
Basolateral nucleus of the amygdala
knowt flashcard image
38
New cards
Supraoptic nucleus of the hypothalamus
knowt flashcard image
39
New cards
Caudate putamen
knowt flashcard image
40
New cards
Globus pallidus
knowt flashcard image
41
New cards
Prefrontal cortex
knowt flashcard image
42
New cards
Ventral posterior nucleus of the thalamus
knowt flashcard image
43
New cards
Mammillary nuclei
knowt flashcard image
44
New cards
Ventrolateral nucleus of the thalamus
knowt flashcard image
45
New cards
Medial nucleus of the amygdala
knowt flashcard image
46
New cards
Cresyl violet
Form of Nissl staining that stains anything with a rough ER
47
New cards
Nissl stain
Stains granules (ribosomes) and substance/body (rough ER) to visualize soma
48
New cards
RNA acidicity
Allows RNA to bind basic dyes like cresyl violet
49
New cards
Luxol fast blue
Stains myelin
50
New cards
Golgi stain
Silver nitrate stain that stains entire neuron (but only some)
51
New cards
Bregma
Landmark at the junction of the coronal and sagittal sutures
52
New cards
Lambda
Landmark at the junction of the line of best fit of the lambdoid and sagittal sutures, only used to make sure skull is flat
53
New cards
Stereotaxic surgery
Surgery targeting brain regions using a 3d coordinate system based on known landmarks
54
New cards
Healthy blood pH
7\.35-7.45
55
New cards
Buffer
Mixture of weak acid and conjugate base that keeps pH stable
56
New cards
Physiological buffer
Carbonic acid and carbonate
57
New cards
Phosphate buffer
Used inside cells, pH \~7.2
58
New cards
PBS
Buffer containing salts at similar levels to physiology, used for washing tissues
59
New cards
Blocking buffer
Used for blocking non-specific antibody binding sites to decrease background staining; blocks glycoprotein antibody nonspecific binding - BSA/Triton X-100/Carrageenan
60
New cards
Bovine serum albumin
Contains proteins for blocking buffer
61
New cards
Carrageenan
Polysaccharide for blocking buffer
62
New cards
Triton X-100
Detergent allowing antibody to pass through cell membrane
63
New cards
Laboratory buffer pH
7\.4
64
New cards
Innate immune response
Fast, inflammatory, non-specific immune response to pathogen
65
New cards
Adaptive immune response
Slower immune response using specialized per pathogen
66
New cards
T and B cells
Recognize pathogens in adaptive immune response
67
New cards
Antibody
Glycoprotein that binds to very specific antigen
68
New cards
IgG
Immunoglobulin found in blood used for immunohistochemistry; binds to pathogen in ivo and triggers multiple eliminating processes; can bind 2 antigens at once (fab regions) and contains 2 heavy and 2 light chains
69
New cards
Polyclonal antibodies
Inject protein into animal

Explore top notes

note
2.1: Cell Structure
Updated 1146d ago
0.0(0)
note
Resultant Forces and Work Dones
Updated 1252d ago
0.0(0)
note
Intro to HTML
Updated 1279d ago
0.0(0)
note
AP Psychology - Memory
Updated 1271d ago
0.0(0)
note
UNIT 1 & 2 NOTES
Updated 342d ago
0.0(0)
note
2.1: Cell Structure
Updated 1146d ago
0.0(0)
note
Resultant Forces and Work Dones
Updated 1252d ago
0.0(0)
note
Intro to HTML
Updated 1279d ago
0.0(0)
note
AP Psychology - Memory
Updated 1271d ago
0.0(0)
note
UNIT 1 & 2 NOTES
Updated 342d ago
0.0(0)