1/118
Looks like no tags are added yet.
Name | Mastery | Learn | Test | Matching | Spaced | Call with Kai |
|---|
No analytics yet
Send a link to your students to track their progress
Snelle-glycolytische skeletspiervezels (type IIb)(dikte, mitochondriën, en ATP-ase activiteit)
zijn dik , hebben weinig mitochondria en een hoge myosine-ATPase activiteit.
Univacuolaire vetcellen bevatten (mitochondrien en nucleus)
bevatten weining mitochondriën en een perifeer gelegen nucleus.

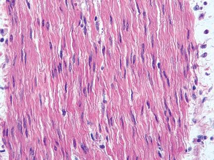
Hartspierweefsel (regeneratief en kern)
Hartspiercellen worden gekenmerkt door een laag regeneratief vermogen en een centraal gelegen celkern.

Glad spierweefsel
lange spoelvormige cellen zonder dwarsstreping met 1 centraal gelegen kern, langzame ‘kurkentrekkerachKge’ contractie

Juiste volgorde
4-2-3-1
perifeer arterieel vaatlijden
Bij onderzoek voelt de voet koud aan. De capillary refill is vertraagd.
Gewrichtskraakbeen (lymfe, vasculisatie en stofwisseling)
Gewrichtskraakbeen bevat geen lymfevaten, is slecht gevasculariseerd en heeft een trage stofwisseling.
Geordend straf bindweefsel:
pezen
Ongeordend straf bindweefsel
dermis
Reticulair bindweefsel
Bijzondere variant van losmazig bindweefsel in myeloïde (beenmerg) en lymfoïde organen (milt)

In welk gebied vindt er voornamelijk deling plaats van chondrocyten?
Gebied 2

In welke regio in de sarcomeer zijn deze myofibrillen doorgesneden?
A-band
Welk bloedvat verloopt door de foramina transversaria?
a. vertebralis
Lumboradiculair syndroom
Rugpijn in combinatie met uitstralende pijn in 1 been tot voorbij de knie.
Pijn been is heviger als rug, en verergert bij drukverhogende momenten (niezen)
Kan klapvoet ontstaan
Osteoporotische inzakkingsfractuur
Vaak symptoomloos maar soms acuut heftige lokale pijn rond de wervelkolom die weken tot maanden kan aanhouden
Versterkte thoracale kyfose
Compressiepijn
Kloppijn
Asdrukpijn
Maligniteit
patiënt >50
Continue pijn onafhankelijk van beweging
Nachtelijke pijn
Koorts, gewichtsverlies, nachtzweten, malaise
Maligniteit in VG
Maligniteit in FA
Symptomen passend bij een maligniteit
Spondylitis ankylopoetica (ziekte van Bechterew)
ontstaat meestal voor het 35e levensjaar
Chronische rugpijn, vooral ter plekke van de SI-gewrichten, verlies van de lumbala lordose en verminderde lumbale mobiliteit van zijn de kernsymptomen.
Ochtend stijfheid en nachtelijke pijn waarvan patiënt wakker wordt.
Spondylolyse met spondylolisthesis
Meestal voor de pubertijd
Stressfractuur pas interarticularis kan voorkomen bij sporters
veelal uitstralend naar de benen.Na trauma
Artrose
Symptomen: ochtendstijfheid, toename van pijn bij intensiever gebruik, verminderde
actieradius
Pathofysiologie: verlies van kraakbeen
Reumatoïde artritis
Pijn in gewrichten, vooral van de extremiteiten
Zwelling
Moeheid
Vermagering
Temperatuurverhoging
Noduli op de huid
Diep veneuze trombose
toegenomen kuitomvang
roodheid onderbeen
Carpaal tunnel syndroom
Compressie van n. medianus door het lig. carpalus transversus
Doof gevoel en tintelingen in de hand/vingers
maar niet de pink
Subjectief krachtverlies door de dove hand ->
objecten laten vallen
Nachtelijke pijn
Schudden/wapperen helpt (flick sign)
Paralyse des Amoureux
Compressie van n. ulnaris
Saturday Night Palsy
Compressie van n. radialis
Theesalon Klapvoet
Compressie van n. peroneus
Wielrennershandje
Compressie van n. medianus en n. ulnaris
Cubitale Tunnelsyndroom
Compressie van n. ulnaris ten hoogte van de elleboog
• Tinteling in de hand inclusief de pink
Compressie t.h.v. het Kanaal van Guyon
Compressie van n. ulnaris ten hoogte van de pols.
Kan in combinatie komen MET het carpale tunnelsyndroom, dan wordt eerst het carpale tunnelsyndroom behandeld. Vaak gaan dán pas de de pink echt tintelen omdat de enige is die nog tintelt.
Tarsale Tunnelsyndroom
Compressie van n. tibialis ten hoogte van de enkel
Meralgia Paraesthetica
Compressie van n. cutaneus femoralis lateralis. • Een groot gebied van de been kan klachten
hebben
Klauwhand
nervus Ulnaris
Predikershand
nervus medianen
Dropping hand
nervus radialis

Latisimus dorsi
flexie + adductie schoudergewricht

m. deltoideus
extensie + abductie schoudergewricht

m. subscalpularis
endrotatie schoudergewricht

m. infraspinatus
exorotatie schoudergewricht
Beweging onderste spronggewricht
inversie, eversie
Beweging bovenste spronggewricht
plaintarflexie, dorsaalflexie
Wat voor soort synoviaal gewricht is het humero-ulnaire deel van de articulatio cubiti?
Scharniergewricht
Welke twee bewegingen vinden primair plaats in het sagittale vlak in het schoudergewricht?
antiflexie, retroflexie
m. biceps femoris
retroversie heup
m. fibularis longus
eversie in het onderste spronggewricht
m. flexor digitorum profundus:
palmairflexie in de pols
Welke twee bewegingen vinden primair plaats in het frontale vlak in het heupgewricht?
abductie
adductie
Tot welk type synoviaal gewricht wordt de articulatio radiocarpalis gerekend?
ellipsoid gewricht
Wat is de hoofdfunctie van de m. flexor carpi radialis?
flexie van het polsgewricht
m. semitendinosus
extensie heupgewricht
m. gracilis
adductie
m. iliopsoas
flexie
Wat voor soort synoviaal gewricht is de articulatio humeri?
Kogelgewricht
Welke twee bewegingen vinden plaats in het samengestelde ellebooggewricht?
pronatie
extensie
m. gastrocnemius:
plantairflexie in de enkel
m. flexor digitorum superficialis
palmairflexie in de pols
m. adductor magnus
adductie in de heup
m. teres major
adductie in de schouder
Welke bewegingen zijn er mogelijk in het polsgewricht?
dorsaalflexie
radiale deviatie
Welke primaire functie hebben de spieren die geïnnerveerd worden door de n. subscapularis op het schoudergewricht?
endorotatie
ventrale bovenarmspieren
flexoren van de schouder en/of elleboog
dorsale bovenarmspieren
extensoren van de schouder en/of elleboog
ventrale onderarmspieren
flexoren van de pols en/of vingers
dorsale onderarmspieren
extensoren van de pols en/of vingers
Thenar spieren
Duim
Hypothenar spieren
Pink
ventrale heup- en bovenbeenspieren
flexoren van de heup, extensoren van de knie)
dorsale bovenbeenspieren
extensoren van de heup, flexoren van de knie
mediale bovenbeenspieren
adductoren van de heup
gluteale spieren
abductoren van de heup
diep dorsale heupspieren
exorotatoren van de heup
ventrale onderbeenspieren
dorsaalflexoren van de enkel en/of tenen
laterale onderbeenspieren
evertoren van onderste spronggewricht
oppervlakkig dorsale onderbeenspieren
plantairflexoren van de enkel
diep dorsale onderbeenspieren
plantairflexoren van de enkel en/of tenen)
n. accessorius
m. trapezius
n. musculocutaneus
ventrale bovenarmspieren
n. medianus
ventrale onderarmspieren m.u.v. m. flexor carpi ulnaris en het ulnaire deel van de m. flexor digitorum
profundus; deel van de handspieren, bijna alle thenarspieren
n. ulnaris
m. flexor carpi ulnaris en het ulnaire deel van de m. flexor digitorum profundus; meeste van de
intrinsieke handspieren
n. radialis
alle dorsale boven- en onderarmspieren

n. axillaris
m. deltoideus, m. teres minor
n. thoracodorsalis
m. latissimus dorsi
n. thoracicus longus
m. serratus anterior
n. femoralis
alle ventrale spieren van het bovenbeen + deel van de m. pectineus
n. obturatorius
alle mediale spieren van het bovenbeen
n. gluteus superior:
m. gluteus medius en minimus, m. tensor fasciae latae
n. gluteus inferior:
m. gluteus maximus
n. ischiadicus: n. tibialis en n. fibularis communis n. tibialis*
alle dorsale spieren van boven- en onderbeen m.u.v. caput breve van de m. biceps femoris; deel van m.
adductor magnus
alle dorsale spieren van boven- en onderbeen m.u.v. caput breve van de m. biceps femoris; deel van m.
adductor magnus
n.tibialis
n. fibularis (peroneus) superficialis
m. fibularis (peroneus) longus en brevis
n. fibularis (peroneus) profundus
alle ventrale spieren van het onderbeen + de korte spieren van de voetrug
n.accessorius (N.XI):
m. trapezius, m. sternocleidomastoideus
dorsale rami van spinale zenuwen (rami dorsales nn. spinales):
m. erector spinae, overige intrinsieke rugspieren
fasciculus lateralis
n. musculocutaneus (C5-C7)
n. medianus (C6-T1)
fasciculus medialis
n. medianus
n. ulnaris (C8-T1)
fasciculus posterior
n. axillaris (C5-C6)
n. radialis (C5-T1)
dorsale onderarmspieren (extensoren van de pols en/of vingers)
oppervlakkige laag:
m. brachioradialis (functioneel een flexor van de elleboog) m. extensor carpi radialis longus en brevis
m. extensor digitorum
m. extensor digiti minimi
m. extensor carpi ulnaris
diepe laag:
m. supinator
m. abductor pollicis longus
m. extensor pollicis longus en brevis m. extensor indicis
ventrale onderarmspieren (flexoren van de pols en/of vingers)
m. pronator teres
m. flexor carpi radialis m. palmaris longus
m. flexor carpi ulnaris
intermediaire laag:
m. flexor digitorum superficialis
diepe laag:
m. flexor digitorum profundus m. flexor pollicis longus
m. pronator quadratus
dorsale bovenarmspieren (extensoren van de schouder en/of de elleboog)
m. triceps brachii
ventrale bovenarmspieren (flexoren van de schouder en/of de elleboog)
m. coracobrachialis m. biceps brachii m. brachialis
scapulohumerale spieren (intrinsieke schouderspieren)
m. deltoideus, m. teres major ,m. supraspinatus m. infraspinatus, m. teres minor,m. subscapularis
rotatorenmanchet:
m. supraspinatus, m. infraspinatus, m. teres minor,
m. subscapularis