1/51
Looks like no tags are added yet.
Name | Mastery | Learn | Test | Matching | Spaced | Call with Kai |
|---|
No analytics yet
Send a link to your students to track their progress
What is the spleen?
Encapsulated organ located in LUQ
What is the normal size of the spleen?
Length: < 12 cm
Width: < 8 cm
Heigh: < 4 cm
Splenic volume index (SVI): 8 - 35
What is a retrorenal spleen?
When inferior portion of spleen is located posterolateral to upper pole of left kidney
What is considered to be the most tortuous vessel in the human body?
Splenic artery
What is the splenic artery?
Vessel that travels through splenorenal ligament to supply spleen, pancreas, and fundus of stomach with blood
(T/F) The spleen is at great risk of permanent damage with infarction.
True; Intrasplenic arterial circulation does not communicate with each other and eliminates possibility of collateral formation
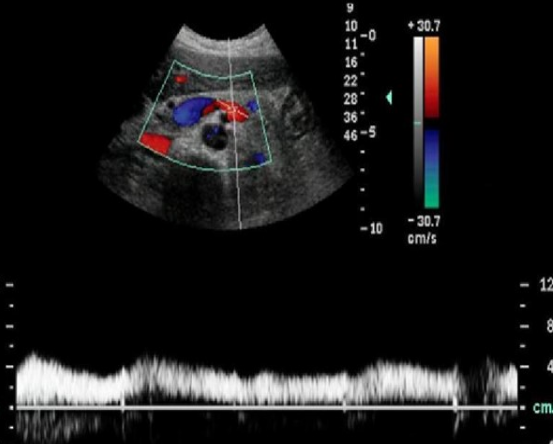
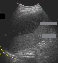
What is the splenic vein?
Vessel that originates at splenic hilum and drains stomach, spleen, and pancreas

Identify this image.
Splenic vein
What is the largest organ of the reticuloendothelial system (RES)?
Spleen
What is splenic tissue composed of?
Red pulp (85%): Venous sinuses filled with blood and cords of splenic tissue
White pulp (15%): Clusters of lymphatic tissue
What are the functions of the spleen?
Blood filtration
Blood production
Blood destruction
Blood storage
What is hypersplenism?
Overactive spleen that removes too many blood cells from circulation due to cirrhosis, TB, Gaucher disease, and lymphoma
What is hyposplenism?
Underperforming spleen due to sickle cell anemia or celiac disease
What is extramedullary hematopoiesis?
Blood cell production that occurs outside of bone marrow
What is fetal hematopoiesis?
When spleen produces RBCs and WBCs
What is adult lymphopoiesis?
When spleen produces RBCs and WBCs
What is leukopenia?
Decreased WBCs
What is leukocytosis?
Increased WBCs
What is anemia?
Decreased RBCs
What is polycythemia?
Increased RBCs
What is thrombocytopenia?
Decreased platelets
What is thrombocytosis?
Increased platelets
What is hematocrit?
Number of RBCs in blood
What is the sonographic appearance of the spleen?
Isoechoic or hyperechoic to liver
Homogenous
What is situs ambiguous or heterotaxia?
When abdominal organs are in an disorganized rearrangement
What is asplenia?
Form of heterotaxia in which there is a congenital absence of spleen that is associated with double right-sidedness
What is polysplenia?
Form of heterotaxia in which there are multiple spleen that is associated with double left-sidedness
What is the most common congenital anamoly of the spleen?
Accessory spleen or splenule
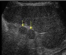
What is an accessory spleen or splenule?
Mini splenic structure located near splenic hilum

Identify this image.
Accessory spleen or splenule
What is an ectopic or wandering spleen?
Weak splenic ligaments lead to spleen migrating to unusual locations
What is hereditary hemolytic anemia?
When one or more of genes that control RBC production are abnormal
What is sickle cell anemia?
Abnormal hemoglobin and crescent or sickle shaped RBCs
What is acquired hemolytic anemia?
Excessive destrucion of normal RBCs due to infection or medication or hypersplenism

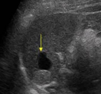
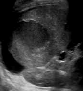
Identify this image.
Splenic cyst
What is an epidermoid cyst?
Cyst filled with keratin substance
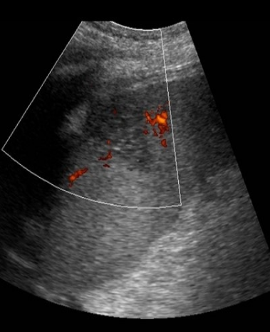
What is the most common type of abdominal branch aneurysm?
Splenic artery aneurysm

Identify this image.
Splenic aneurysm
What is a subscapular hematoma?
Blood collection that forms between capsule and splenic pulp

Identify this image.
Subscapular hematoma
What is a perisplenic or intraperitoneal hematoma?
Blood collection inside peritoneal cavity due to splenic rupture
What is an intraparenchymal hematoma?
Blood collection within parenchyma

Identify this image.
intraparenchymal hematoma
What is splenic rupture?
Abscensce of normal spleen in LUQ due to trauma
What are the causes of spontaneous splenic rupture?
Hepatitis A
Malaria
Cytomegalovirus
Mononucleosis
HIV

Identify this image.
Splenic rupture
What is a splenic infarct?
Areas of tissue death in spleen
What is the sonographic appearance of splenic infract?
Hypoechoic wedge shaped area
Bring band sign seen as echogenic linear-shaped bands within infarct
Avascularity

Identify this image.
Splenic infarct
What is congestive splenomegaly or Banti syndrome?
Excessive pooling of blood in splenic tissue due to portal HTN, CHF, and splenic vein thrombosis that causes splenomegaly
What is the sonographic appearance of congestive splenomegaly or Banti syndrome?
Splenomegaly
Splenic varices
Increased splenic artery RI
What is the most common cause of splenomegaly?
Portal HTN