1/20
Looks like no tags are added yet.
Name | Mastery | Learn | Test | Matching | Spaced |
|---|
No study sessions yet.

Den minsta epitelcelltypen
Rundade kanter stor kvot kärna/cytoplasma,
Granulerad kärna
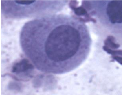
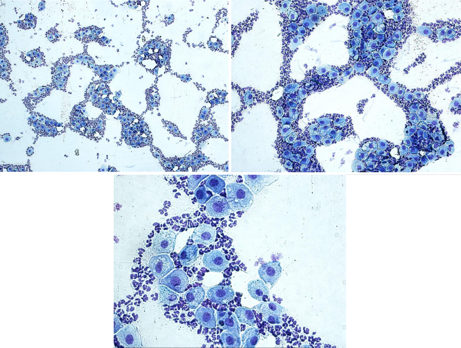
Parabasalcell

Rundade kanter, relativt stor kvot kärna/cytoplasma,
Granulerad kärna
Börjar bli mer avlång jämfört med parabasalcellen
Intermediärcell

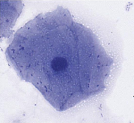
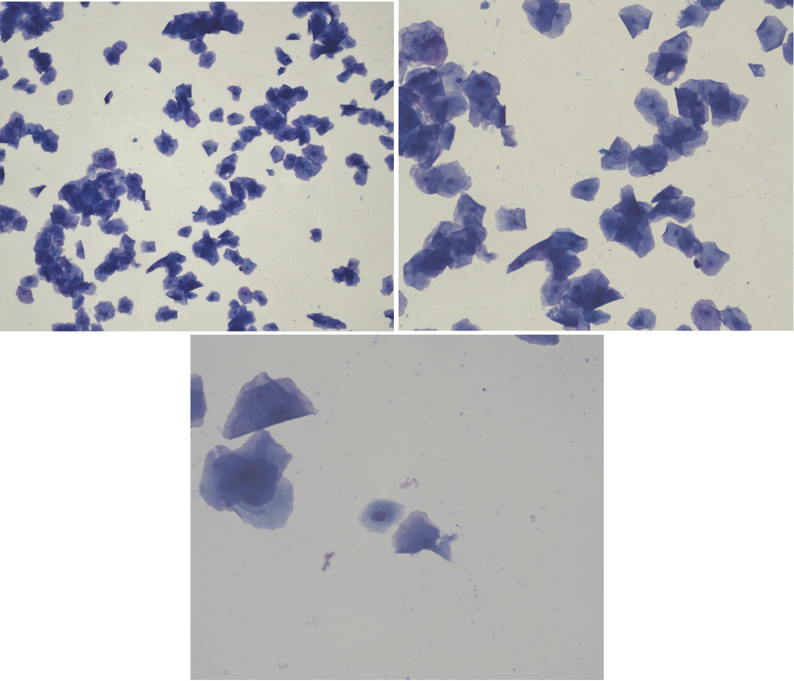
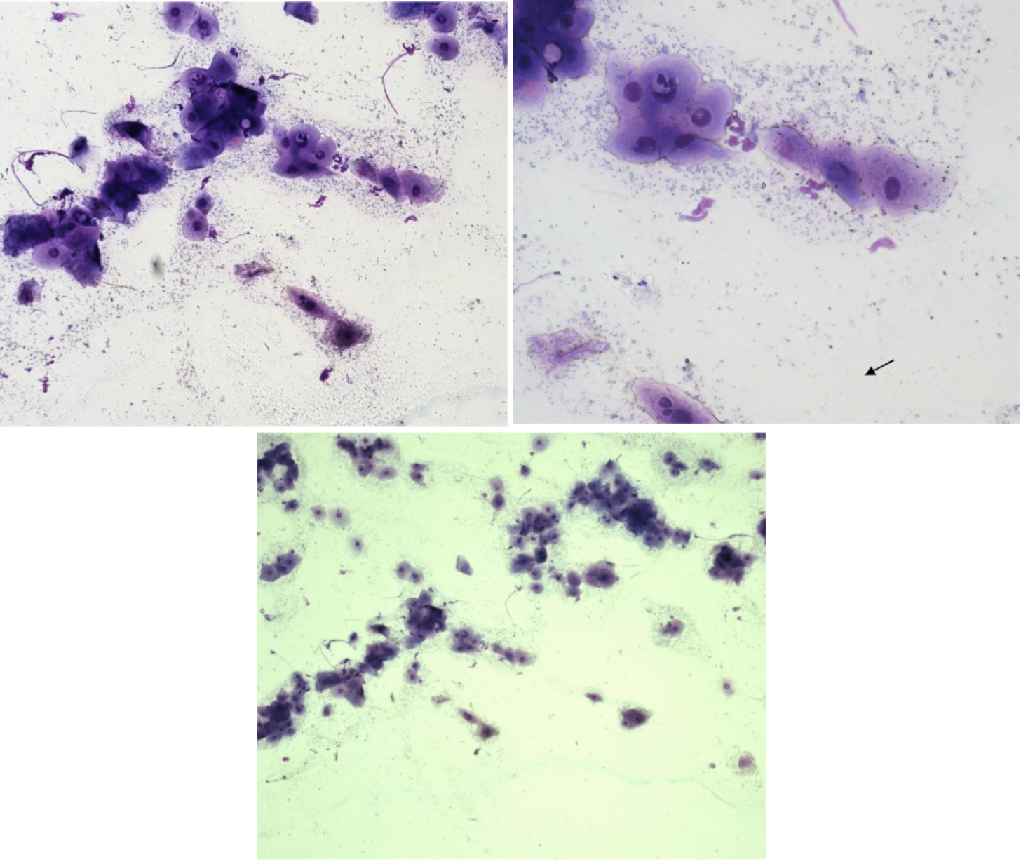
Kantig och tunn cell med pyknotisk kärna
Superficialcell

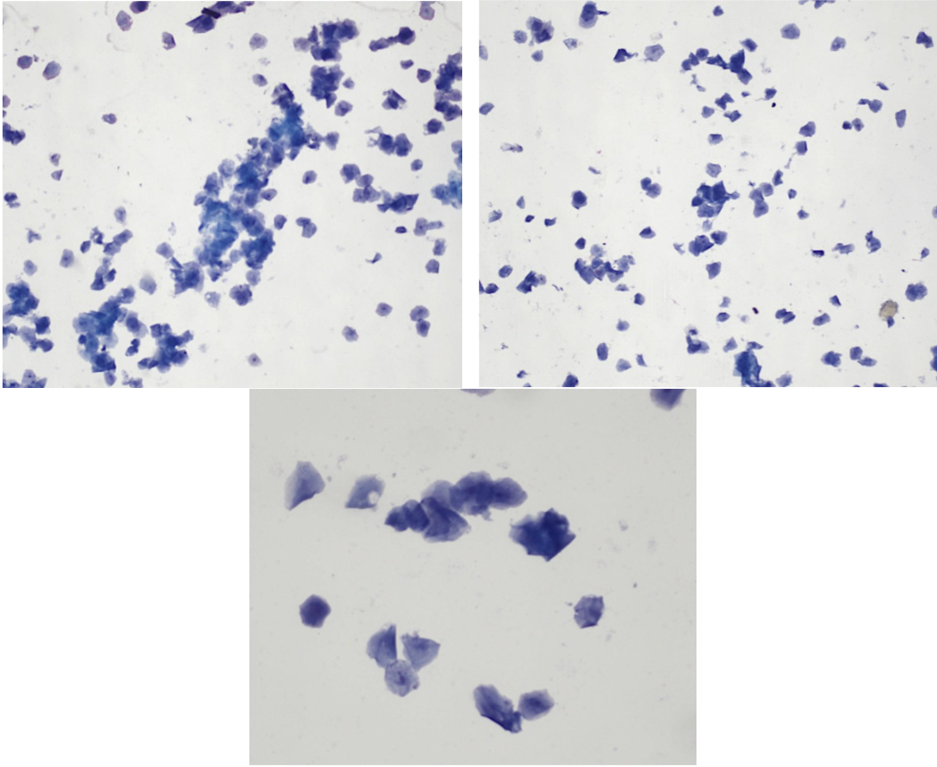
“Cornflakes” utan kärna
Anukleära superficialceller

Små utan kärna, större än bakterie
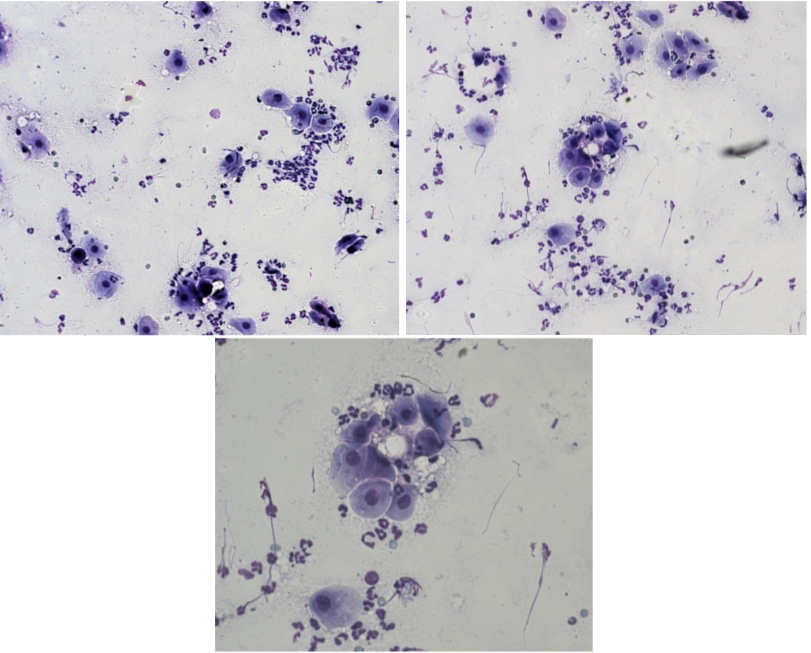
Erytrocyter

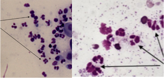
Neutrofiler

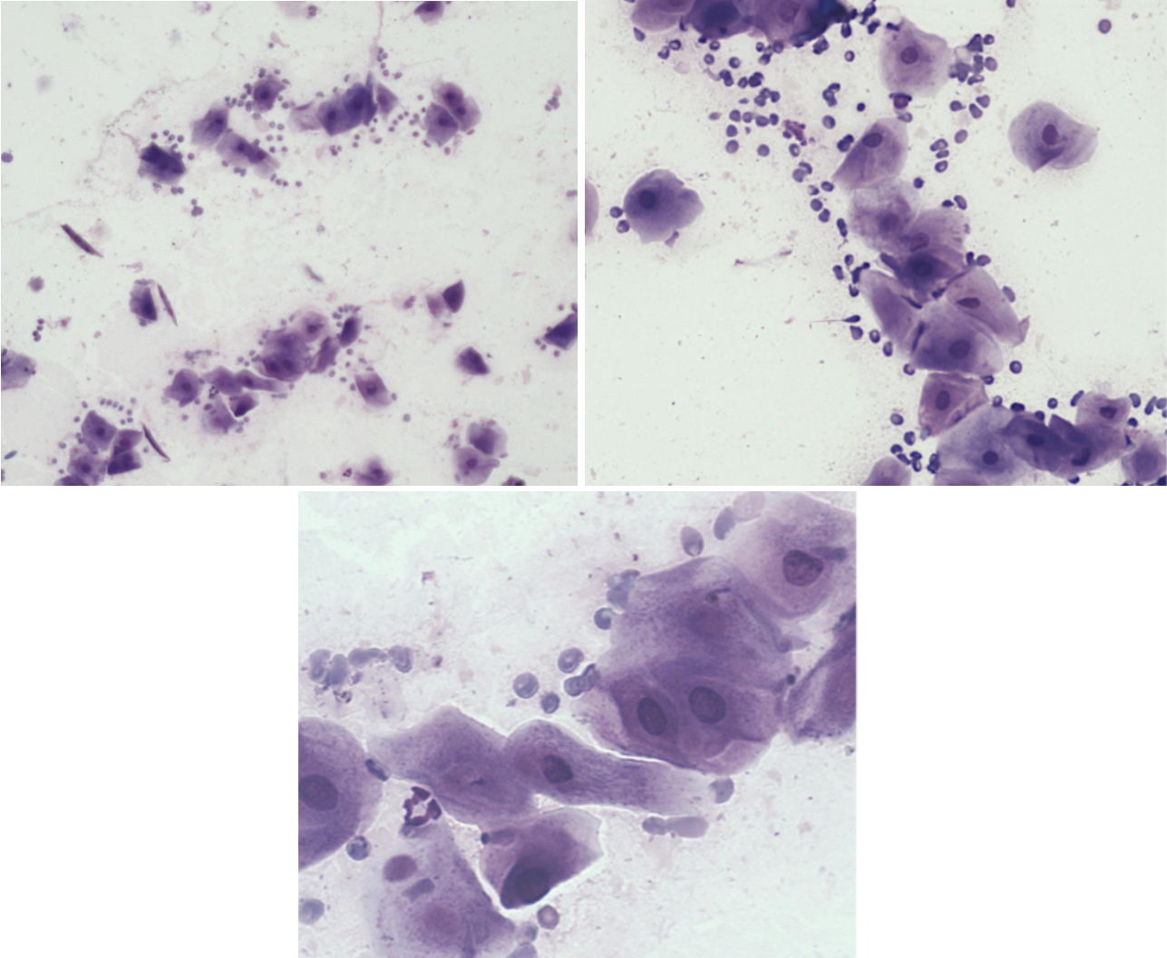
Utstryk 1
Parabasalceller:
Intermediärceller:
Superficialceller:
Erytrocyter:
Neutrofiler:
Stadium:
Parabasalceller: -
Intermediärceller: -
Superficialceller: +++
Erytrocyter: - (+)
Neutrofiler: -
Stadium:Östrus

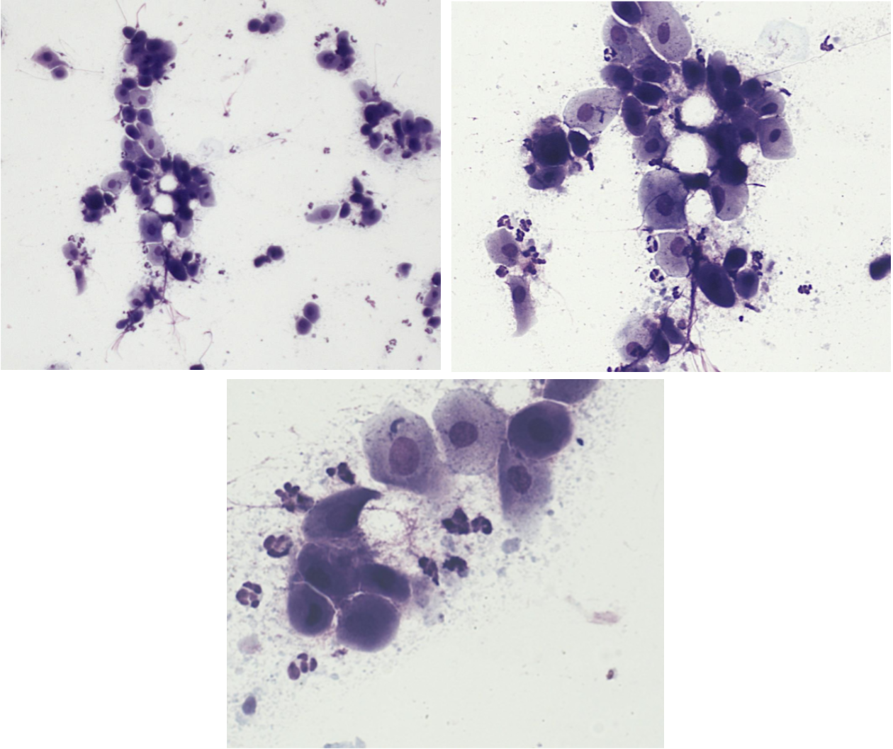
Utrstryk 2
Parabasalceller:
Intermediärceller:
Superficialceller:
Erytrocyter:
Neutrofiler:
Stadium:
Parabasalceller: -
Intermediärceller: +++
Superficialceller: +
Erytrocyter: +++
Neutrofiler: +
Stadium: Proöstrus

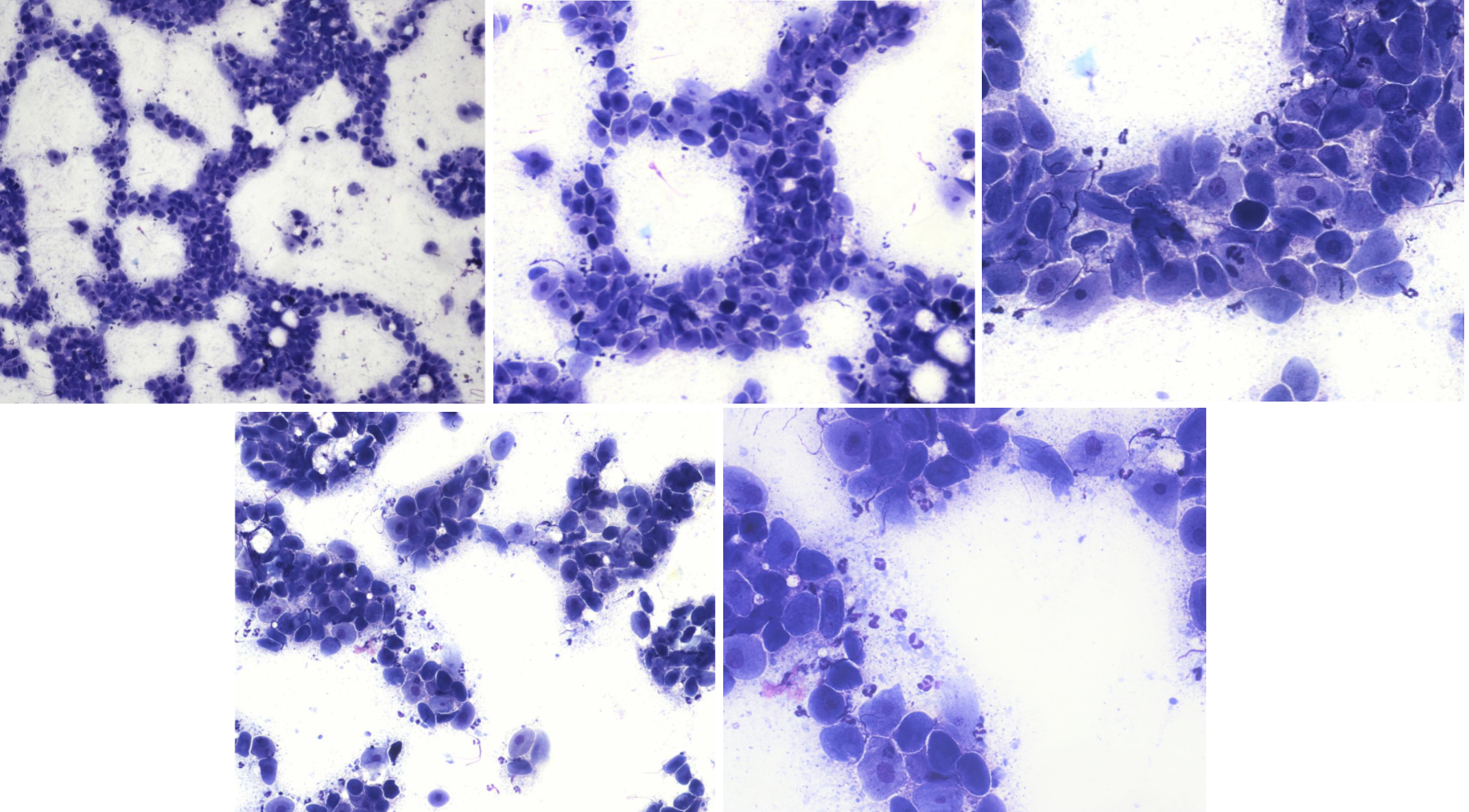
Utstryk 3
Parabasalceller:
Intermediärceller:
Superficialceller:
Erytrocyter:
Neutrofiler:
Stadium:
Parabasalceller: ++
Intermediärceller: ++
Superficialceller: -
Erytrocyter: -
Neutrofiler: ++
Stadium: Metöstrus

Utstryk 4
Parabasalceller:
Intermediärceller:
Superficialceller:
Erytrocyter:
Neutrofiler:
Stadium:
Parabasalceller: + (++)
Intermediärceller: +
Superficialceller: -
Erytrocyter: -
Neutrofiler: -
Stadium: Anöstrus

Utstryk 5
Parabasalceller:
Intermediärceller:
Superficialceller:
Erytrocyter:
Neutrofiler:
Stadium:
Parabasalceller: ++
Intermediärceller: ++
Superficialceller: +
Erytrocyter: +
Neutrofiler: +++
Stadium: Metöstrus

Utstryk 6
Parabasalceller:
Intermediärceller:
Superficialceller:
Erytrocyter:
Neutrofiler:
Stadium:
Parabasalceller: ++
Intermediärceller: +++
Superficialceller: -
Erytrocyter: -
Neutrofiler: ++
Stadium: Metöstrus

Utstryk 7
Parabasalceller:
Intermediärceller:
Superficialceller:
Erytrocyter:
Neutrofiler:
Stadium:
Parabasalceller: -
Intermediärceller: -
Superficialceller: +++
Erytrocyter: +
Neutrofiler: -
Stadium: Östrus

Utstryk 8
Parabasalceller:
Intermediärceller:
Superficialceller:
Erytrocyter:
Neutrofiler:
Stadium:
Parabasalceller: -
Intermediärceller: (++)/+++
Superficialceller: ++/+++
Erytrocyter: +++
Neutrofiler: -
Stadium: Proöstrus

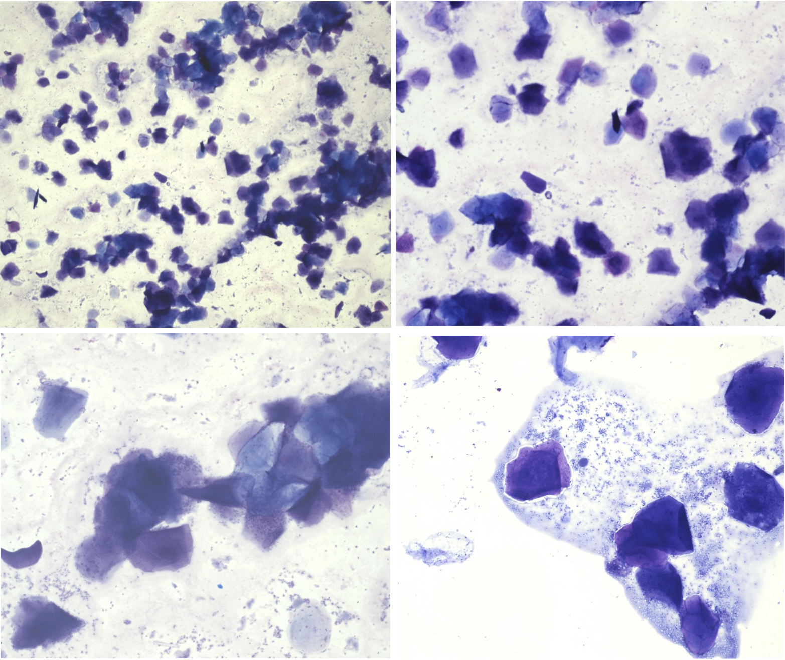
Utstryk 9
Parabasalceller:
Intermediärceller:
Superficialceller:
Erytrocyter:
Neutrofiler:
Stadium:
Parabasalceller: -
Intermediärceller: -
Superficialceller: -
Erytrocyter: -
Neutrofiler: +
Stadium: Anöstrus

Fall 1 - Zoe, Schnauzer, 7 år har haft tre kullar och ska insemineras för att öka avelsbasen
Cellbild? Cykelstadie?
Parabasalceller: -
Intermediärceller: -
Superficialceller: +++
Erytrocyter: +
Neutrofiler: -
Stadium: Östrus

Fall 2 - Michelle, Westie, ska insemineras med fryst sperma
Cellbild? Cykelstadie?
Parabasalceller: -
Intermediärceller: +
Superficialceller: +++
Erytrocyter: -
Neutrofiler: -
Stadium: Östrus

Fall 3 - Silva, ung Siberian husky, 8 månader, 17,1 kg. Utsryk 4 mån efter tjuvparning, 40 dgr efter OHE.
Cellbild? Cykelstadie?
Parabasalceller: +
Intermediärceller: +++
Superficialceller: -
Erytrocyter: -
Neutrofiler: +++
Stadium: Metöstrus (med amöbaformationer)

Fall 4 - Osäkert löpningsdygn. Ägaren har flera tikar, svårt att veta vem som löper. Tror att Heidrun höglöper.
Cellbild? Cykelstadie?
Parabasalceller: -
Intermediärceller: ++
Superficialceller: +
Erytrocyter: ++
Neutrofiler: ++
Stadium: Metöstrus

Fall 5 - Löper dag 26. Brukar löpa ca 5 veckor. Klinisk us; svullen vulva, ljus blodflytning. Vaginal palpation ua. Progesteronprov 66,3 nmol/L
Cellbild? Cykelstadie?
Parabasalceller: -
Intermediärceller: -
Superficialceller: +++
Erytrocyter: +
Neutrofiler: -
Stadium: Östrus

Fall 6 - Primadonna, golden retriever 4 år ska paras. Löper dag 10. Ingen blodflytning.
Cellbild? Cykelstadie?
Parabasalceller: +
Intermediärceller: ++
Superficialceller: -
Erytrocyter: -
Neutrofiler: +++
Stadium: Metöstrus