1/26
Looks like no tags are added yet.
Name | Mastery | Learn | Test | Matching | Spaced | Call with Kai |
|---|
No analytics yet
Send a link to your students to track their progress
Uterine Wall
What is shown?

Myometrium
Label #1

Endometrium
Label #2

Cross Section of Penis
What is shown?

Corpus Cavernosum
Label #1

Urethra
Label #2

Cross Section of Testis
What is shown?

Lumen
Label #1

Spermatoza (final stage)
Label #2

Corpus Spongeosum
Label #3

Spermatid (towards the middle)
Label #3

Spermocyte (can see chromosomes)
Label #4

Spermatogonia (outer edge)
Label #5

Sertoli Cell (look like normal cell)
Label #6

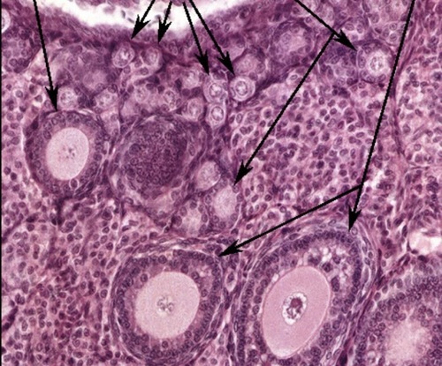
Ovarian Follicles
What is shown?

Primary Follicle
Label #1

Leydig Cell (polyhedral shape)
Label #7

Primordial Follicle
Label #2

Tertiary Follicle
What is shown?

Oocyte
Label #1

Zona Pellucida
Label #2

Radiata
Label #3

Corona
Label #4

Antrum
Label #5

Granulosa Cell
Label #6

Thecal Cell
Label #7

Secondary Follicle
Label #3
