1/31
Looks like no tags are added yet.
Name | Mastery | Learn | Test | Matching | Spaced | Call with Kai |
|---|
No analytics yet
Send a link to your students to track their progress

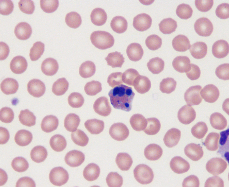
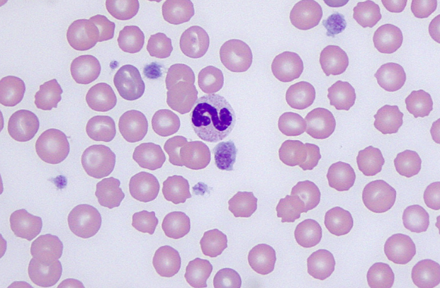
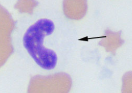
apoptotic eosinophil (WBC)
DOG

apoptotic wbc
horse

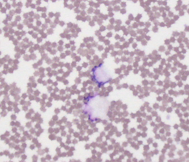
WBC clumping

hemolyzed rbc
storage-associated change

lipemia (RBC)

Lipemia (RBC)

smudged cells
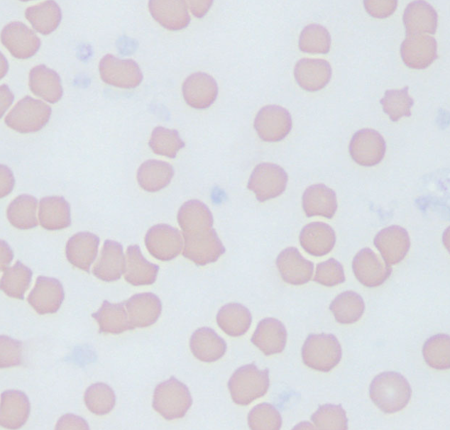
Echinocytic RBCs
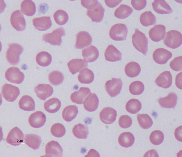
cow

smudged cells
Echinocytic RBCs
cow

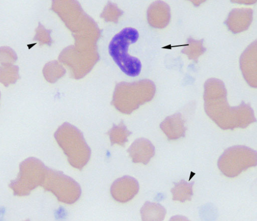
basket cells
smudged cells in equine blood

platelet
cat

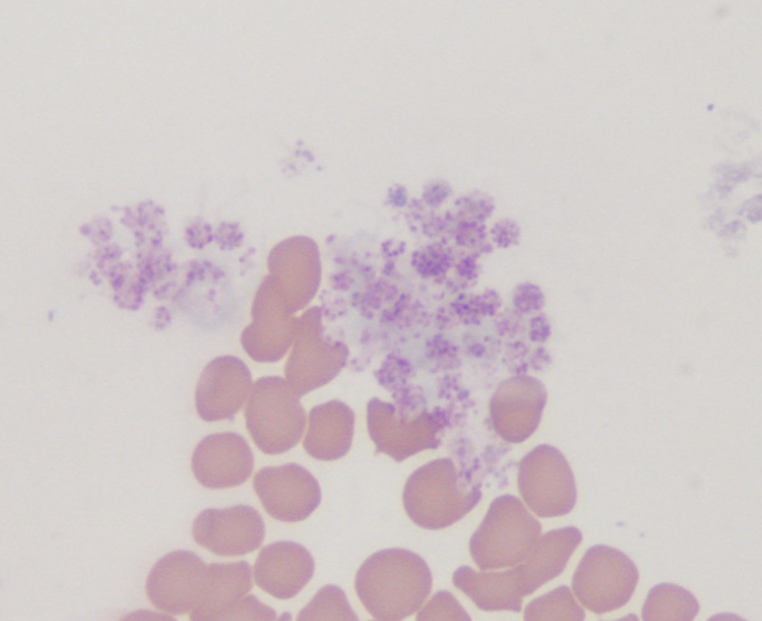
platelet clump
horse

platelet clump
cow

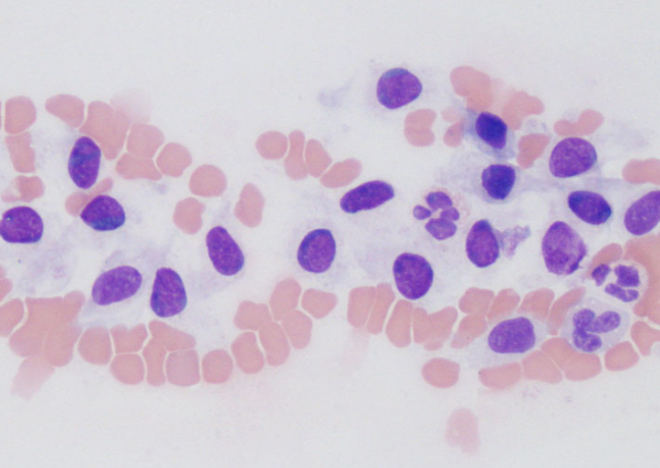
endothelial cells

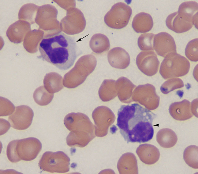
monocyte on left
2 neutrophils

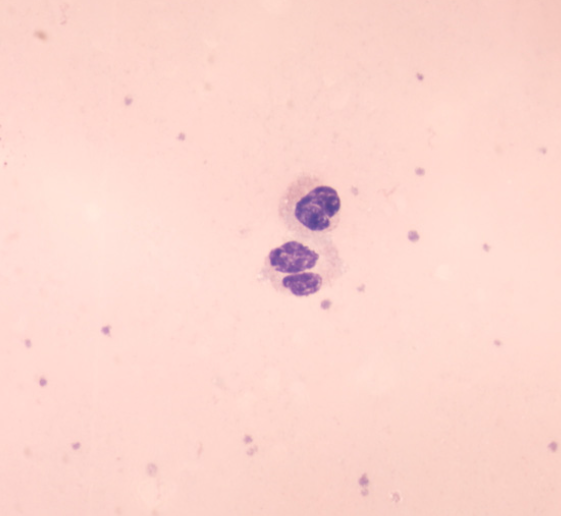
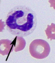
S-band neutrophil
immature but non toxic

neutrophils

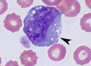
monocyte

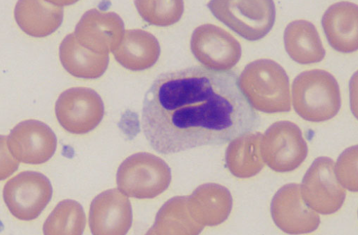
neutrophil
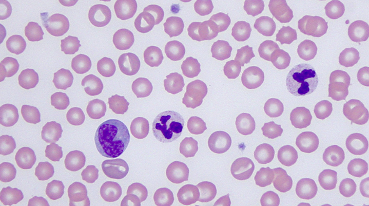
a medical finding that indicates an increase in immature, or "baby," neutrophils in the bloodstream, often caused by the bone marrow releasing them early to fight infection or inflammation. This is a sign that the body's demand for neutrophils is high, outpacing the supply of mature cells, and can signify an active infection or inflammatory process.
left shift

false band neutrophil

arrowhead
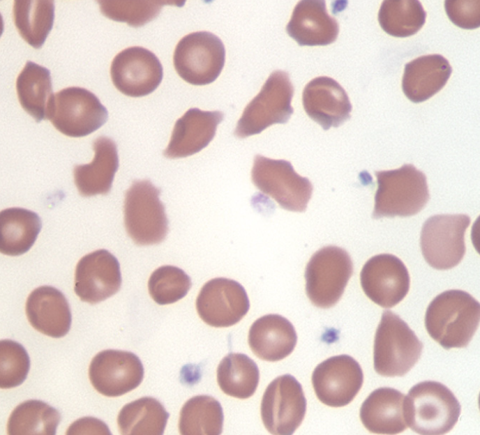
echinocyte

false band neutrophil

cytoplasmic granule (neutrophil)

false metamyelocyte

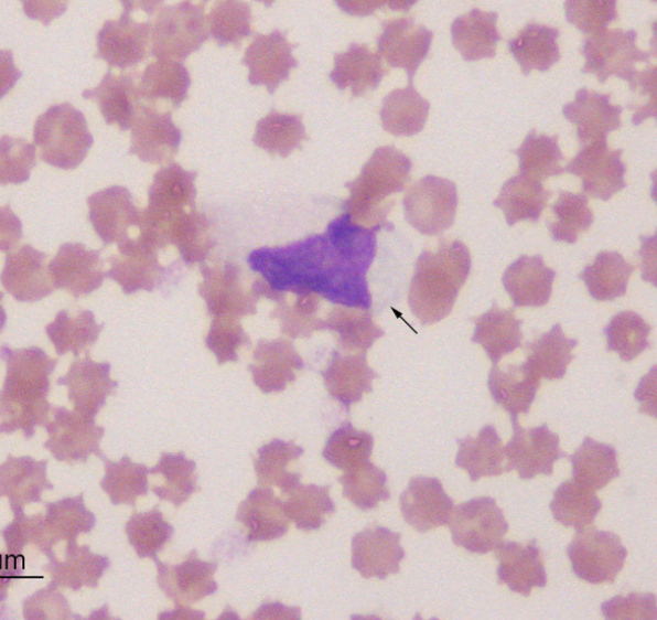
arrow: platelet clump
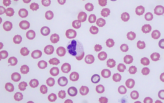
aged neutrophil
horse

rbc
echinocytes

blue in cytoplasm
dohle bodies
neutrophils
horse

wbc
apoptotic wbc
horse

rbc
echinocytes rbc
horse

stain precipitate
rbc are echinocytes (horse)

bacterial contamination