1/35
Looks like no tags are added yet.
Name | Mastery | Learn | Test | Matching | Spaced |
|---|
No study sessions yet.

What does it mean if a Cyst is Corticated, Smooth?
Slow growing


What does it mean if a cyst is Circular to Oval?
Hydrostatic Pressure


What does it mean if a cyst is Lucent?
Loss of bone

What kind of Cyst is Inflammatory and associated with a Non-Vital Pulp?
Radicular Cyst

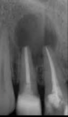
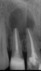
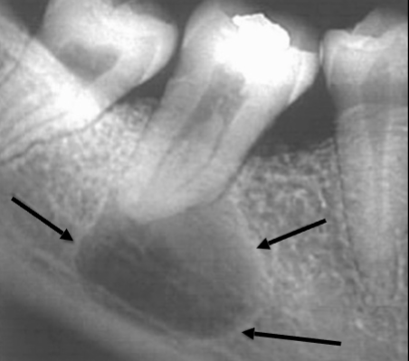
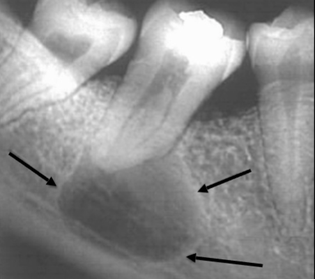
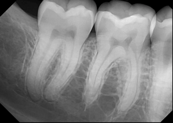
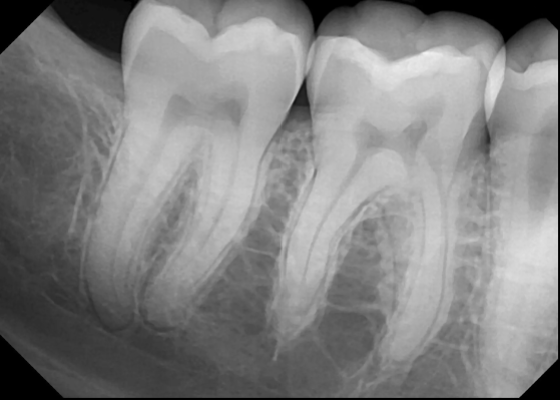
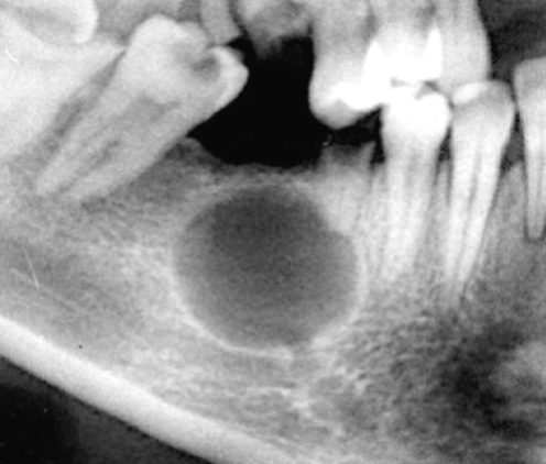
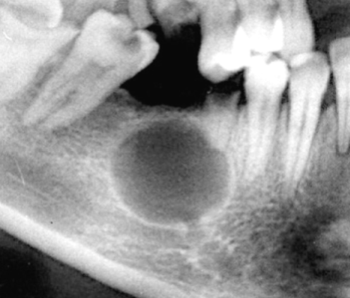
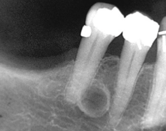
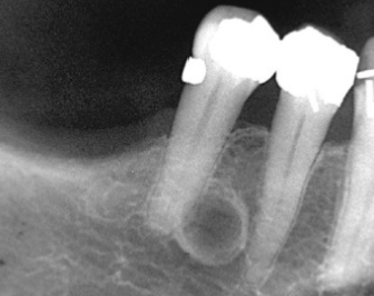
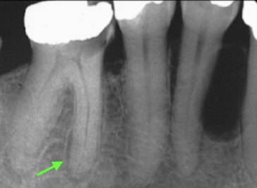
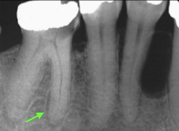
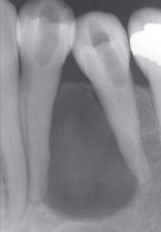
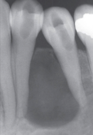
Describe this Radicular Cyst
Epicenter at apex (usually evidence of dental disease or trauma)
Well-defined, corticated
Lucent
Circular
Resorption, Displacement, Expansion (effect on adjacent structures)


Why is this Radicular cyst less circular/oval in this case?


What other dental anomaly has Similar Radiographic Features compared to Radicular Cysts?
Osteitis


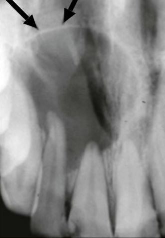
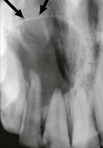
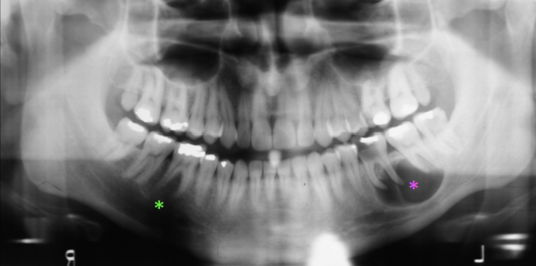
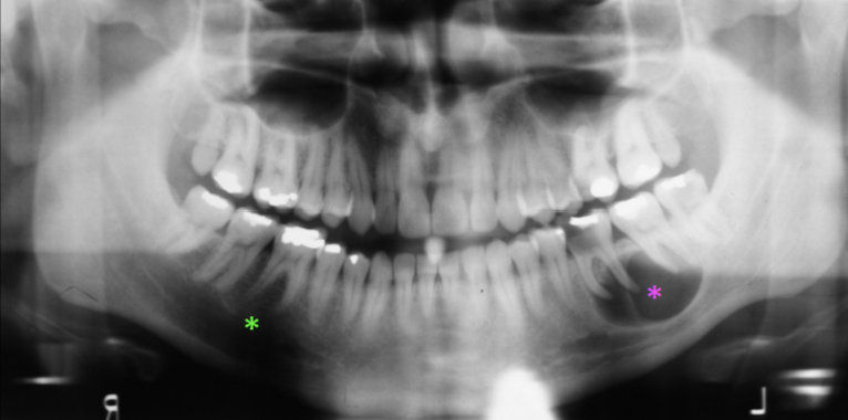
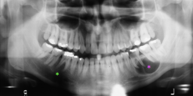
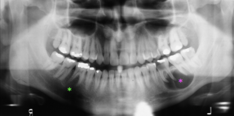
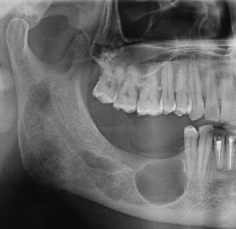
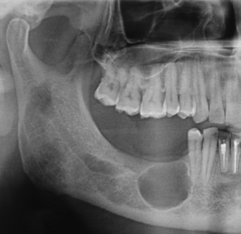
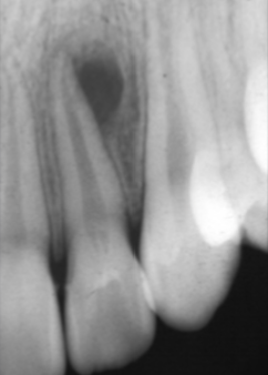
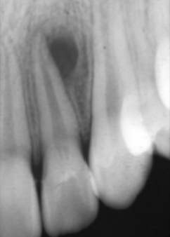
What is the Green Dot?
Submandibular Fossa


What is the Purple Dot?
Radicular Cyst


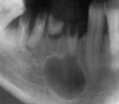
What is the dental anomaly?
Radicular Cyst


What is the dental anomaly?
Healing Cyst


What are the Radiographic Characteristics of this Healing Cyst?
New bone forms at the original cortex and grows toward the center


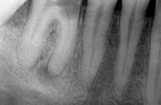
This is an image of PDL widened and actual PDL widened, are both these statements true? or only one?
Normal Anatomy
Mylohyoid Ridge
SubMn Fossa

What kind of cyst develops after incomplete removal of a cyst?
Residual Cyst
What are some common radiographic features of a Cyst?
Circular to oval
Lucent
Well-defined
Corticated
Resorption, Displacement, Expansion (effects on adjacent structures)
Odontogenic cysts in tooth-bearing areas

Describe this Residual Cyst
Extraction site at periapical level
Above IAN Canal
Lucent
Circular, oval
Defined
Corticated unless infected
Displacement, Resorption (effect on adjacent structures)


What is this dental anomaly?
Residual Cyst


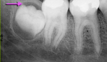
What is this dental anomaly?
Residual Cyst

What cyst is Always associated with crown of impacted or unerupted tooth, and developmental and not inflammatory?
Dentigerous Cyst
What are some common radiographic features of Dentigerous Cysts?
Cortex attached at CEJ
Unerupted Tooth
Dentigerous Cyst >= 5mm

Describe this Follicular space
Normal Follicle


Describe what to notice about this Dentigerous Cyst
Size of Follicular space
Location of Cortex relative to CEJ
Resorbed root 18
Impacted Tooth


Describe what to notice about this Dentigerous Cyst
Size of Follicular Space
Location of Cortex Relative to CEJ
Displaced 32
Impacted Tooth


Assess the apical lucency at mesial root of 31
Normal Anatomy


Assess #32
Dentigerous Cyst

What should you do with a Dentigerous Cyst?
Biopsy Cyst Wall
What cyst does the tooth remain vital and developmental not inflammatory?
Lateral Periodontal Cyst

What are some common radiographic features of Lateral Periodontal Cyst?
Side of root, not apical
2nd premolar to lateral incisor


What is this dental anomaly?
Lateral Periodontal Cyst


What is this dental anomaly?
Lateral Periodontal Cyst


What is this dental anomaly?
Lateral Periodontal Cyst


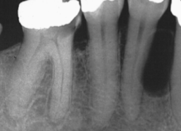
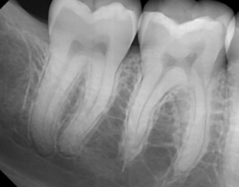
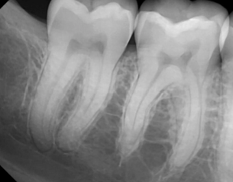
Evaluate #30
Widened PDL
Pulpal Disease


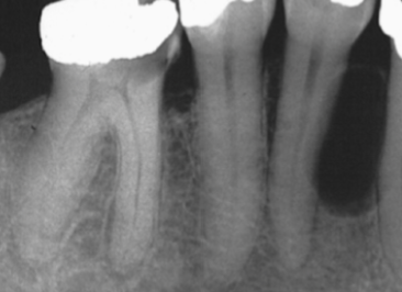
Evaluate #31
Normal PDL
Superimposed Anatomy


Notice other radiographic Features?

What cyst has a tooth that remains vital, root displaced lingually, and lingual cusps appear higher than buccal cusps and PAs and BWs?
Buccal Bifurcation Cyst

Describe the radiographic features of this Buccal Bifurcation Cyst?
Buccal Bifurcation of Molars
Roots Displaced Lingually
Occlusal Plane Inclined Buccally
Lingual Cusp Higher on BWs and PAs
