1/59
Looks like no tags are added yet.
Name | Mastery | Learn | Test | Matching | Spaced | Call with Kai |
|---|
No analytics yet
Send a link to your students to track their progress
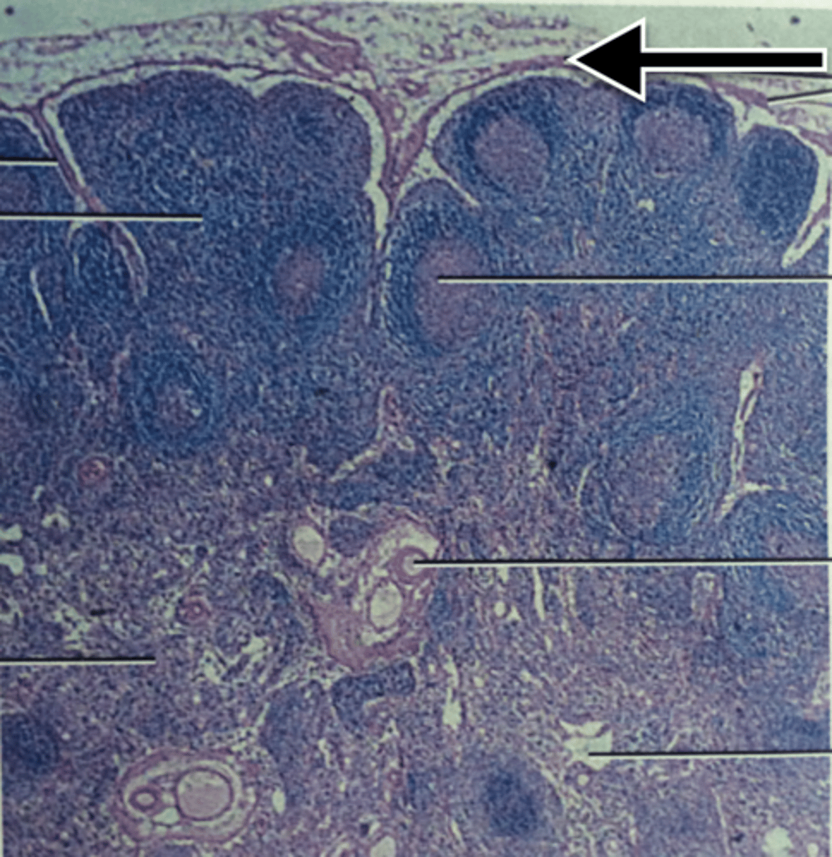
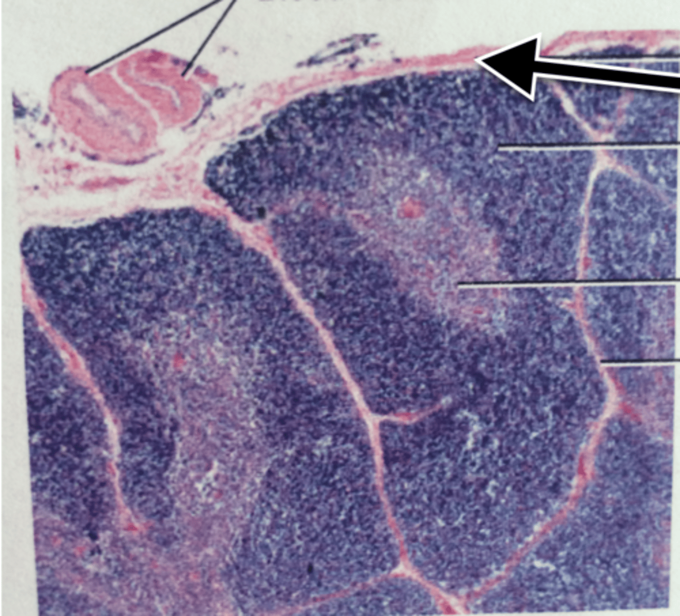
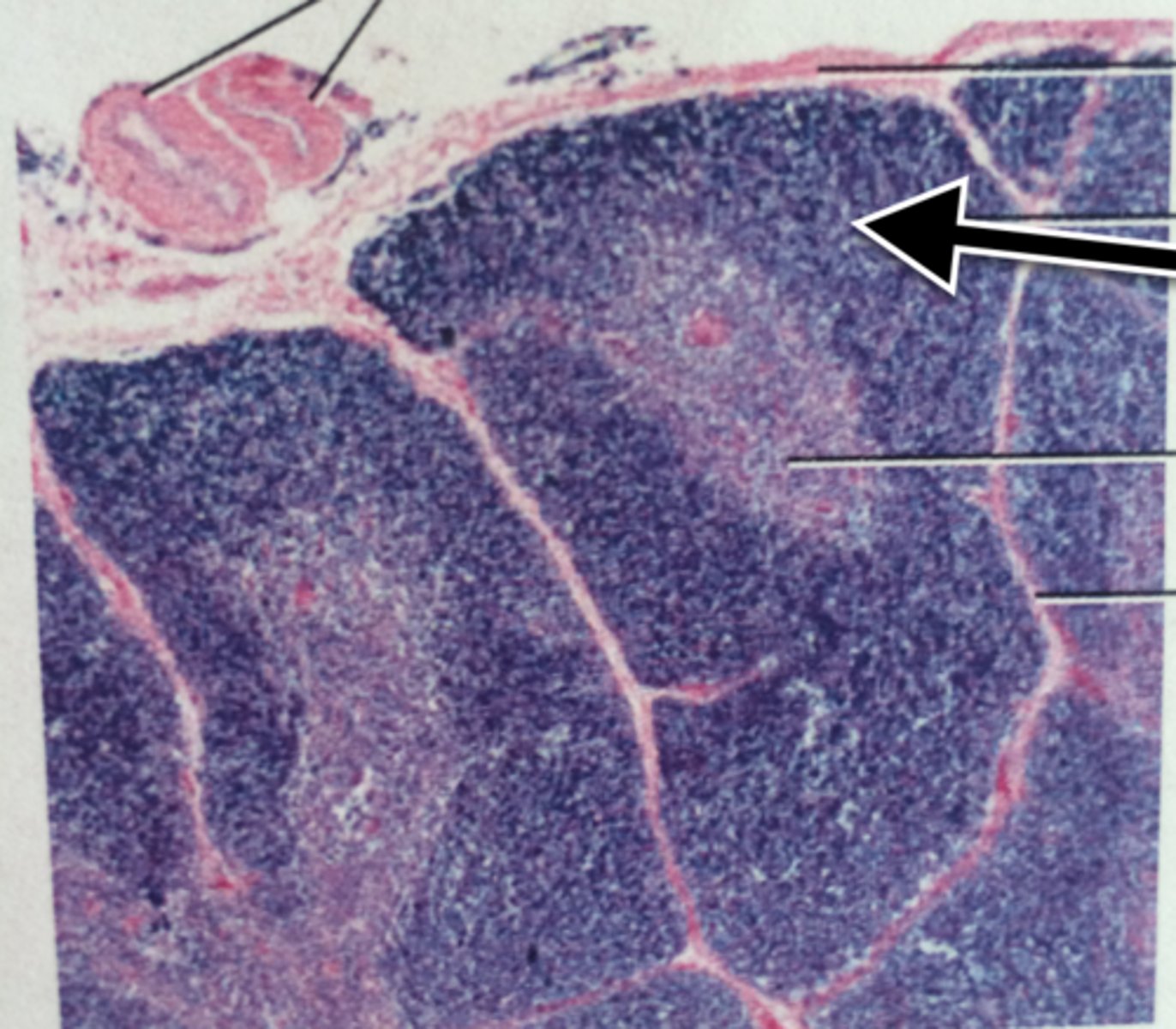
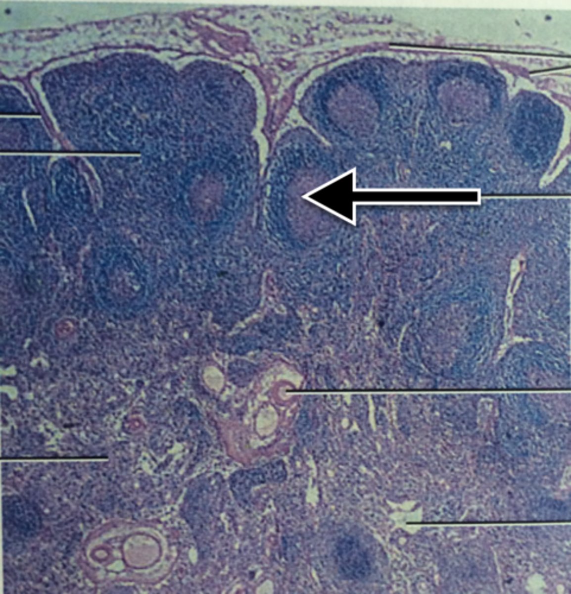
Afferent Vessels

Anchoring Filament

Appendix

Axillary Lymph Node

Blood Capillary

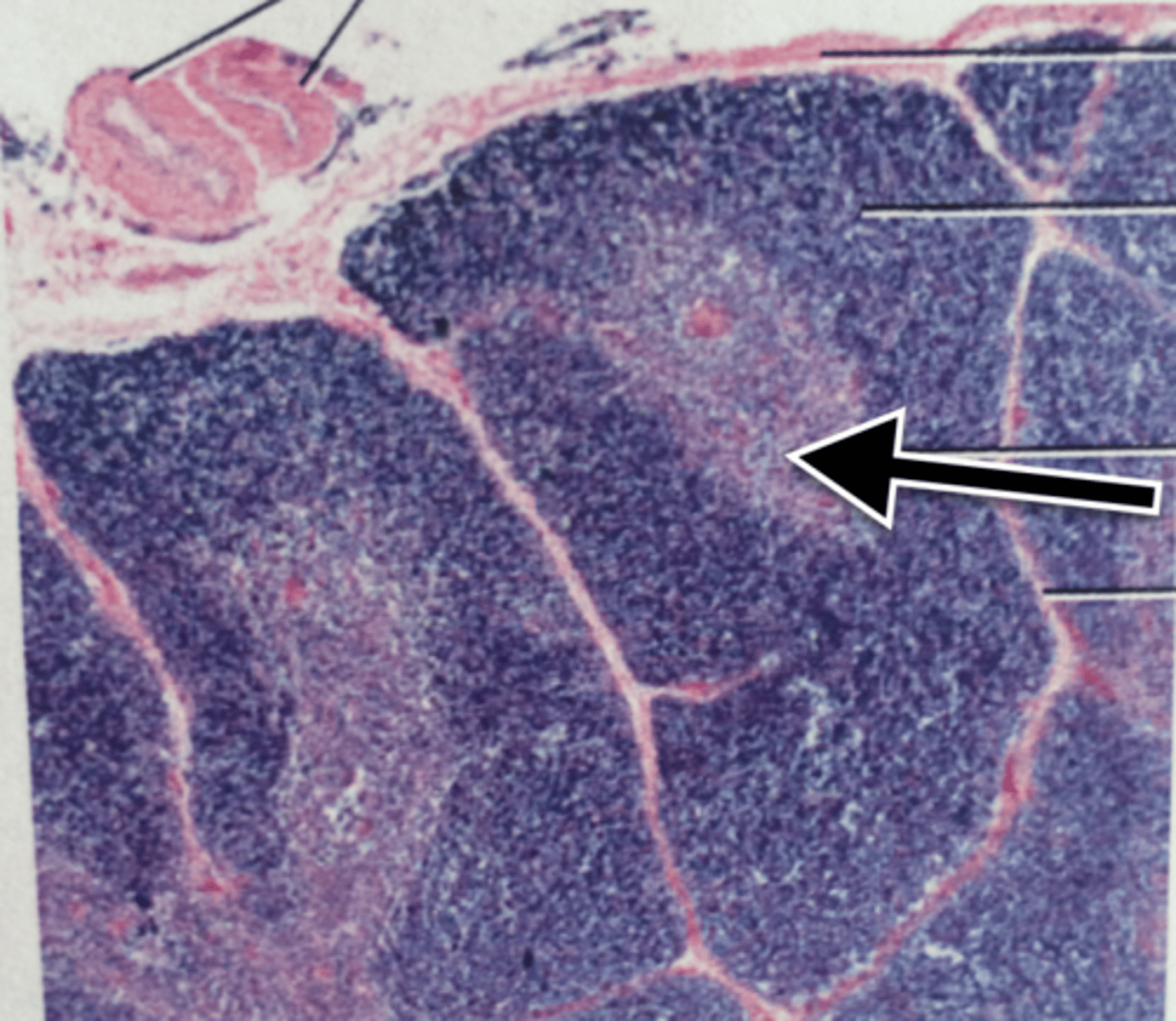
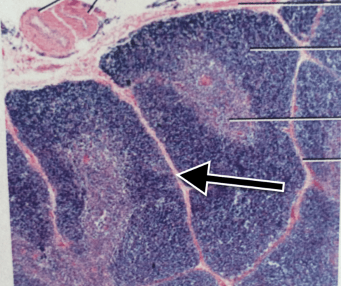
Capsule

Capsule

Capsule

Cervical Lymph Node

Cisterna Chyli

Cisterna Chyli

Cortex

Cortex

Cortex

Efferent Vessels

Endothelium of Lymphatic Capillary

Hilum

Inguinal Lymph Node

Iliac Lymph Node

Interstitial Fluid

Interstitial Fluid

Intestinal Lymph Node

Lingual Tonsil

Lymph

Lymphatic Nodule

Lymphatic Vessel in Leg

Lymphatic Vessel in Arm

Lymphatic Capillary

Mammary Lymph Node

Medulla

Medulla

Medulla

Medullary Sinus

Opening into Lymphatic Capillary

Palatine Tonsil

Peyers Patches

Pharyngeal Tonsil

Right Jugular Trunk

Right Lymphatic Duct

Right Lymphatic Duct

Right Subclavian Trunk

Spleen

Subcapsular Sinus

Submandibular Lymph Node

Thoracic Duct

Thoracic Duct Draining into Subclavian Vein

Thoracic Duct in Thorax

Thoracic Duct in Thorax

Thoracic Lymph Node

Thymus

Tissue Cell

Tissue Cell

Trabecula

Trabecula

Trabecular Sinus

Valve

Venule

Thoracic Duct

Lymphatic Ducts

Cervical Lymph Node
