1/97
rx y eco
Name | Mastery | Learn | Test | Matching | Spaced | Call with Kai |
|---|
No analytics yet
Send a link to your students to track their progress

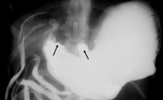
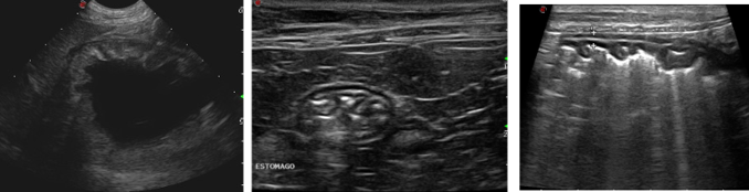
Quiste paraprostático
Doble vejiga

Mineralización prostática
En castrados neoplasia prostática, posible metástasis vertebral

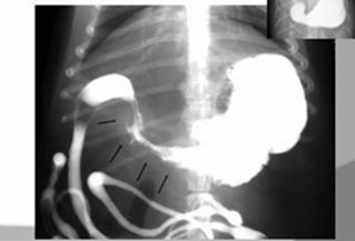
Cuerpo extraño estómago

Dilatación gástrica
Aumento de tamaño sin torsión

Úlcera
Defecto de llenado con contraste positivo (bario).

Neoplasia
Defecto de llenado + estrechamiento de la luz.
Imagen de “manzana mordida”.

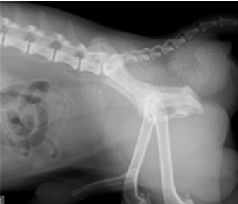
Obstrucción crónica intestino
Signo de arena o grava

Íleo paralítico funcional
Todas las asas dilatadas.
DDx: peritonitis, pancreatitis, enfermedad neuromuscular

Enfermedades infiltrativas
Contraste: estrechamientos marcados de la luz.
Sugiere neoplasia o enteritis

Impactación / fecaloma: acumulación severa de heces

Divertículo rectal: saculación con heces

Intususcepción:
Signos de obstrucción.
Contraste —> defecto de llenado en muelle

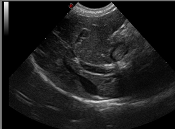
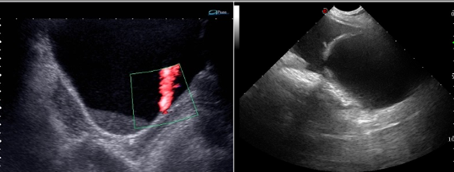
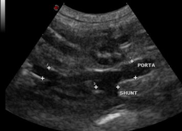
Identifica vena porta y venas hepáticas


Por que pasa esto
Puede haber artefactos: ej. sombra lateral o de contorno cuando hay efusión peritoneal (anecógena)

FASE
Proestro

FASE
Ovulación

Que es
próstata - ecogénica

Testículo
Hiperecogénico: el mediastino y las túnicas

Capas

Estómago

Contenido


Identifica
Duodeno

Identifica parte
Colon

Describeme como se ve el pancreas
Ecógeno

Patológico o no
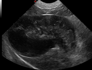
Hígado con aumento de ecogenicidad difuso
Diagnóstico diferencial: fibrosis, lipidosis grasa, linfosarcoma

Que parte es y que pasa
Disminución de ecogenicidad difusa del hígado.
Diag. diferencial: inflamación o congestión, linfoma o amiliodosis

Ecogenicidad mixta difusa del hígado
Diag. diferencial: neoplasia, cirrosis

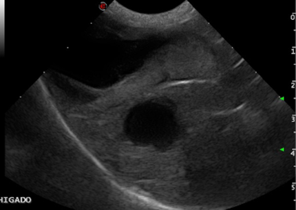
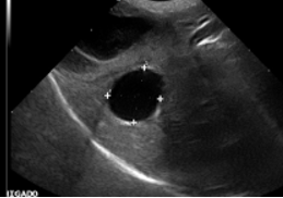
Quiste en hígado

Tumor, metástasis, acúmulo de grasa en hígado

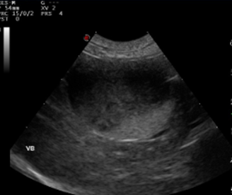
Barro biliar

Cálculo biliar

Mucocele

Shunt extrahepático

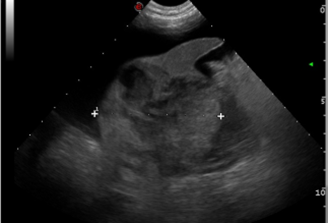
Shunt intrahepático (brazos de pulpo)

Torsión bazo

Neoplasia:hemangiosarcoma del bazo

Aumento ecogenicidad por glomerulonefritis

-Izquierda: quiste (anecogénicos)
-Derecha: abscesos, hematomas, granulomas (heterogéneos)

Hidronefrosis

Cálculos riñón

Cistitis: aumenta grosor de la pared

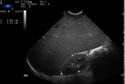
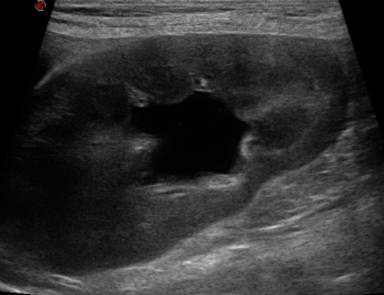
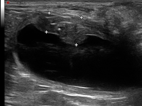
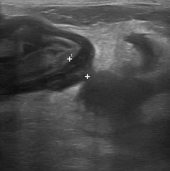
Neoplasia en la vejiga. Se ve la masa

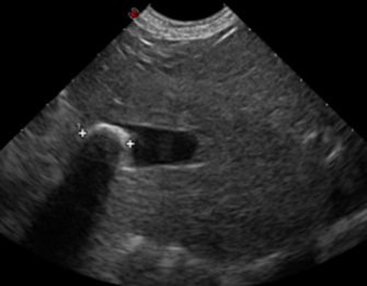
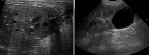
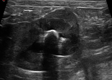
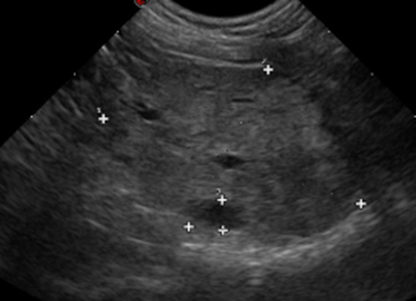
Vejiga.
Alteraciones del contenido: cálculos, coágulos, sedimento.

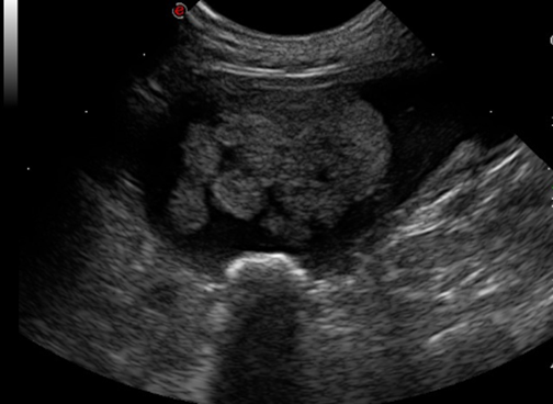
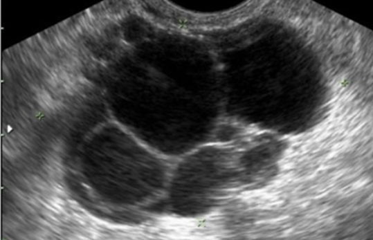
Quistes ováricos

Piometra

Hiperplasia endometrial quística

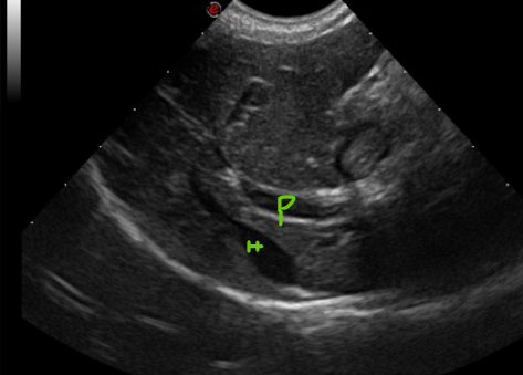
Próstata
Diagn.diferencia:
Difusas
· Hiperplasia
· Prostatitis
Neoplasia prostática

Focales
· Quistes
· Abscesos
· Quistes paraprostáticos

Páncreas
Páncreatitis

Tipo de eco cardiacas
B: brillo. Imagen dinámica, diagnóstico
M: datos cuantitativos de la dinámica



Corte longitudinal

Articulación

Articulación

Qués es, y si es patológico o no
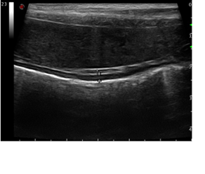
Pulmón.
Lineas hiperecoicas paralelas a la interfase PP (pleura-pulmón) resultantes de la reverberación del aire contenido en el pulmón

Qués es, y si es patológico o no
Es el pulmón y es patológico.
Presencia de líneas B

Que parte es y si ves alguna patología
Ojo.
Despredimiento de retina. Alas de golondrina

Repaso ojo
Para repasar ojo

Paratiroides.


Artefacto
Sombra acústica

Artefacto
Refuerzo posterior

Artefacto
Reverberación

Osteolisis geográfica
-Lesión benigna generalmente o poco agresiva
-Márgenes definidos >no definidos

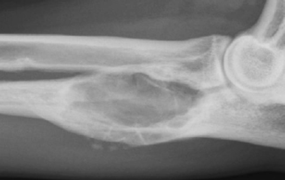
Osteolisis en comida de polilla/apolillado
-Proceso multifocal
-Afecta a la cortical y medular
-Agresiva à infección/neoplasia

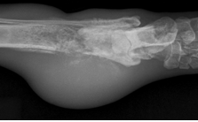
Osteolisis permeativa
-Proceso rápido
-Focos <1mm
-Afecta cortical y medular
-Agresiva à neoplasia/infección

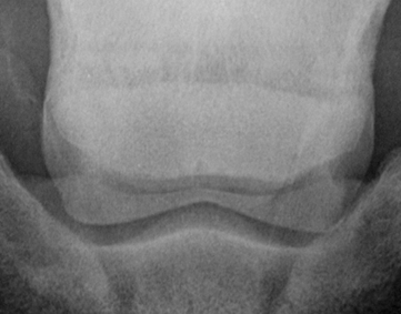
Fractura tipo SALTER
Atraviesa la placa de crecimiento

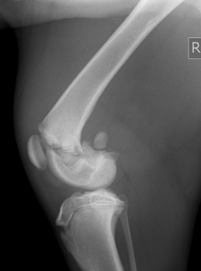
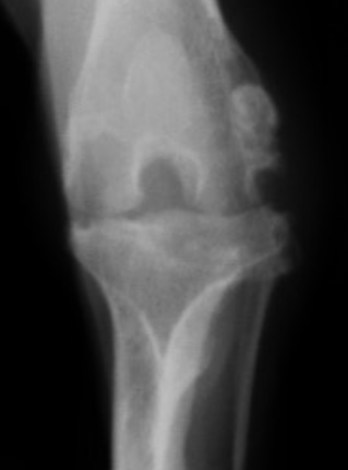
Alteración espacio articular

Sybluxación

Luxación

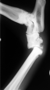
Displasia de codo. No unión apof. ancónea

Displasia codo. Coronoides medial

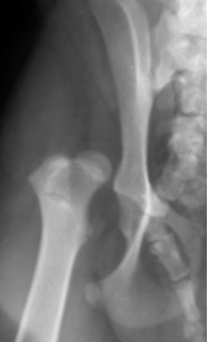
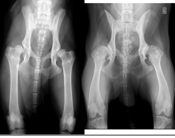
Displasia de cadera

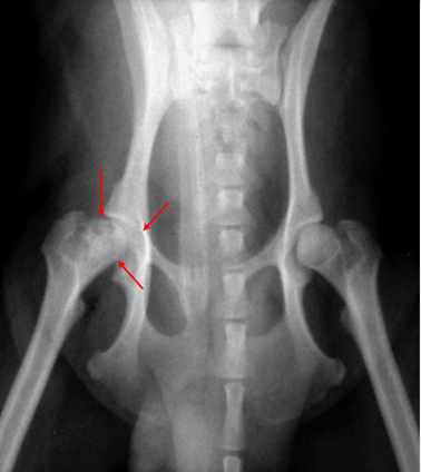
Necrosis avascular/aséptica de la cabeza femoral
-Enfermedad de Legg-Calve-Perthes
· Edad:4-11 meses. Animales <20kg
· Caniches, terriers, miniaturas
· Cojera unilateral
· Disminuición/ausencia aporte sanguíneo a la epífisis de la C.f espontánea

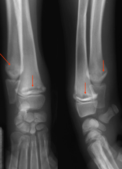
Panosteitis
Razas medianas y grandes de crecimiento rápido
· Origen desconocido. Autolimitante
· Entre los 5 y los 18 meses
· Cojera de una o más extremidades

Osteodistrofia hipertrófica
Razas grandes y gigantes
· Origen desconocido
· Entre los 2 y 7 meses
· Lesiones bilaterales simétricas
· Metáfisis de los huesos largos

Osteopatía hipertrófica
· Síndrome paraneoplásico (tumores pulmonares)
· Animales geriátricos con historia de cojera
· Afectación de las 4 extremidades
· Aumento/inflamación de tejidos blandos y aumento de temperatura en dichas zonas
Proyección


dorso proximalpalmarodistal oblicua

Proyección
PaPr-PaDiO

Proyeccion
Dorsoproximal-dorsodistal-ob

Hidrocefalia

Hiperostosis craneal idiopática juvenil en bullmastiff

Displasia occipital

rinitis

Alteración bulla timpánica

Mieloma: Lesiones osteoliticas redondeadas sin bordes escleróticas

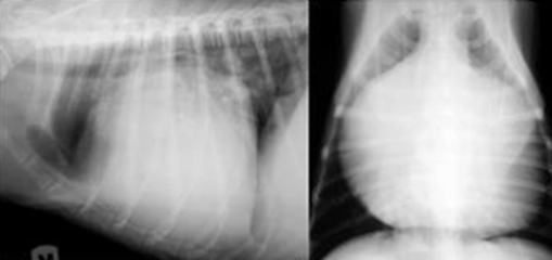
lOCALIZACIÓN CAMARAS

Aumento generalizado

Efusión pericárdica

que lado es

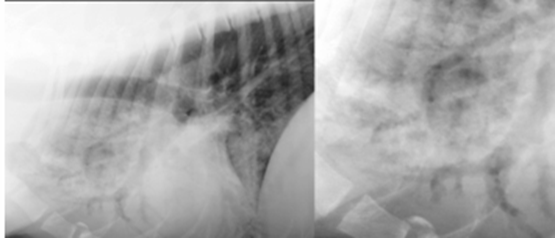
Patrón alveolar.
aumento de opacidad de tejido blando
· Broncograma aéreo: bronquios radiotransparentes con fondo radiopaco
No se distinguen bien las paredes bronquiales ni la vascularización

· Diagnóstico diferencial: tumor pulmonar, metástasis pulmonar, granuloma, hematoma, absceso, quiste

a) Intersticial no estructurado (difuso)
· Aumento general de la opacidad
· Vasos poco definidos pero visibles
· Diagnósticos diferenciales: los mismos que el patrón alveolar

Patrón
Patrón bronquial

PATRÓN VASCULAR
-Alteración en los vasos:
· Hipovascularización: pulmón muy radiotransparente y microcardia
· Hipervascularización: cardiomegalia

Efusión pleural

Efusión peritoneal
Aumento de opacidad de forma generalizada de la cavidad abdominal con pérdida de visualización de serosas
Diagnostico dif: hemoperitoneo, ascitis, peritonitis, uroperitoneo
Peritonitis


Lo segundo es neoplasia vesical