1/129
Looks like no tags are added yet.
Name | Mastery | Learn | Test | Matching | Spaced | Call with Kai |
|---|
No analytics yet
Send a link to your students to track their progress
What are radicular cysts?
Odontogenic, inflammatory

What is enostosis?
Dense bone island

What are unilocular radiolucent lesions?
Cysts, benign tumors

What is the growth rate of unilocular benign tumors?
Slow growing
What type of teeth are associated with unilocular lesions?
Vital teeth

What characterizes non-corticated lesions?
Fast growing, nonvital teeth

Examples of posterior multilocular radiolucent lesions?
MACHO (Myxoma, Ameloblastoma, Central giant cell granuloma, Hemangioma, Odontogenic keratocyte (OKC))

What type of radiolucency is associated with malignancies?
Moth eaten

What types of lesions have radiopacities but are malignancies?
Metastasis, osteosarcoma

What is a benign tumor associated with focal opacity?
Idiopathic osteosclerosis

What shape do calcified lymph nodes resemble?
Cauliflower shape

Where do calcified lymph nodes typically appear?
Angle of mandible

What is the appearance of sialoliths (salivary gland stones)?
Homogenous

What is indicated by calcified atheroma's at the bifurcation?
Common carotid artery

From where does the ossified stylohyoid ligament descend?
Styloid process

Where do tonsoliths typically overlap?
Ramus

What area do tonsoliths affect?
Oropharyngeal air space

What is the most common type of calcification?
Tonsoliths

What happens if the mandibular canal is within neural/vascular structures?
Nerve expands

What appearance is associated with spiked roots in malignancies?
Moth eaten appearance

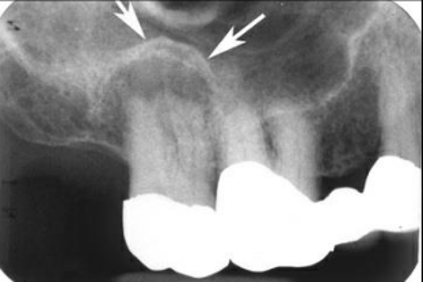
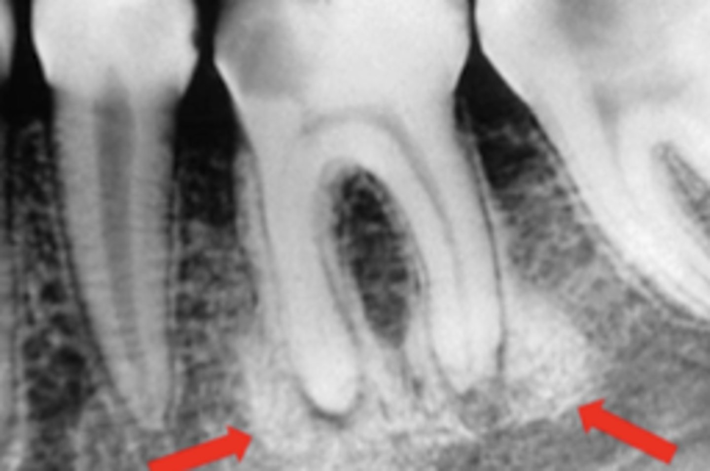
What characterizes asymmetric widening of PDL?
Loss of lamina dura

What does dysostosis refer to?
Defective ossification

What does dysplasia indicate?
Abnormality of development

What does dystrophy refer to?
Bone growth disturbance

Most common diseases with supernumerary teeth?
Gardner's Syndrome, Cleidocranial Dysplasia

What is Peridens?
Extra premolar in mandible

Most common single supernumerary tooth?
Mesiodens

Location of Mesiodens?
Btwn maxillary centrals

What is Paramolar/Distomolar?
4th molar

Characteristics of Fusion?
Missing tooth, 2 pulp chambers

Characteristics of Gemination?
1 pulp chamber, tooth bud development

Gemination common in?
Incisors and canines

What is Concrescence?
Fusing of teeth at cementum

Concrescence most common in?
Maxillary molars

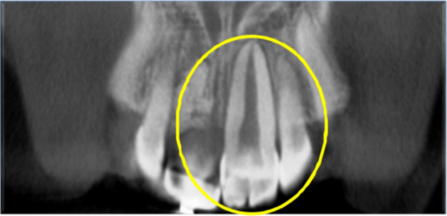
Characteristics of Taurodontism?
Elongated trunk, short roots

Gardner's Syndrome characteristics?
Supernumerary teeth, osteomas, polyps

Polyps in Gardner's Syndrome?
Malignant

Cleidocranial Dysplasia characteristics?
Frontal bossing, missing clavicle

What is Amelogenesis Imperfecta?
Enamel hypoplasia

What type of enamel condition has a picket fence appearance?
Hypoplastic type

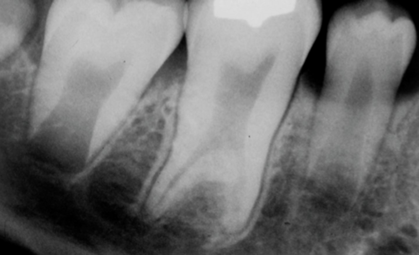
What type of dentin condition involves rootless teeth?
Dentin Dysplasia

Which type of Dentin Dysplasia has normal roots?
Type 2 Coronal

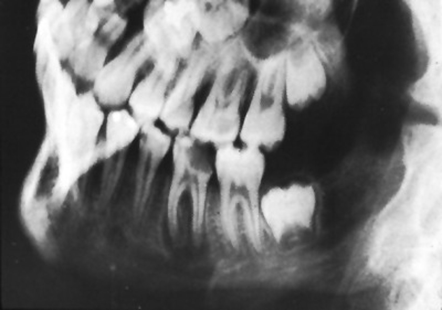
What is Periapical Rarefying Osteitis also known as?
Granuloma

What kind of teeth are affected by Periapical Rarefying Osteitis?
Nonvital teeth

What indicates chronic inflammation in Periapical Rarefying Osteitis?
Sequel of an acute episode

What is Periapical Sclerosing Osteitis also known as?
Condensing osteitis

What does Periapical Sclerosing Osteitis indicate?
Long standing infection

What is osteomyelitis due to?
Hypovascularity

What do you feel during acute osteomyelitis?
Pain

Is there radiograph manifestation during the acute phase of osteomyelitis?
No
Which gender is more affected by osteomyelitis in the mandible?
Men

What indicates osteomyelitis if borders are irregular?
Choose osteomyelitis
What is sequestration in chronic osteomyelitis?
Necrotic bony islands

What develops during chronic osteomyelitis?
Sinus tract

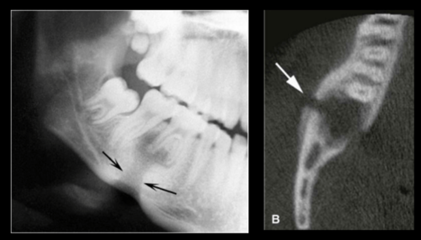
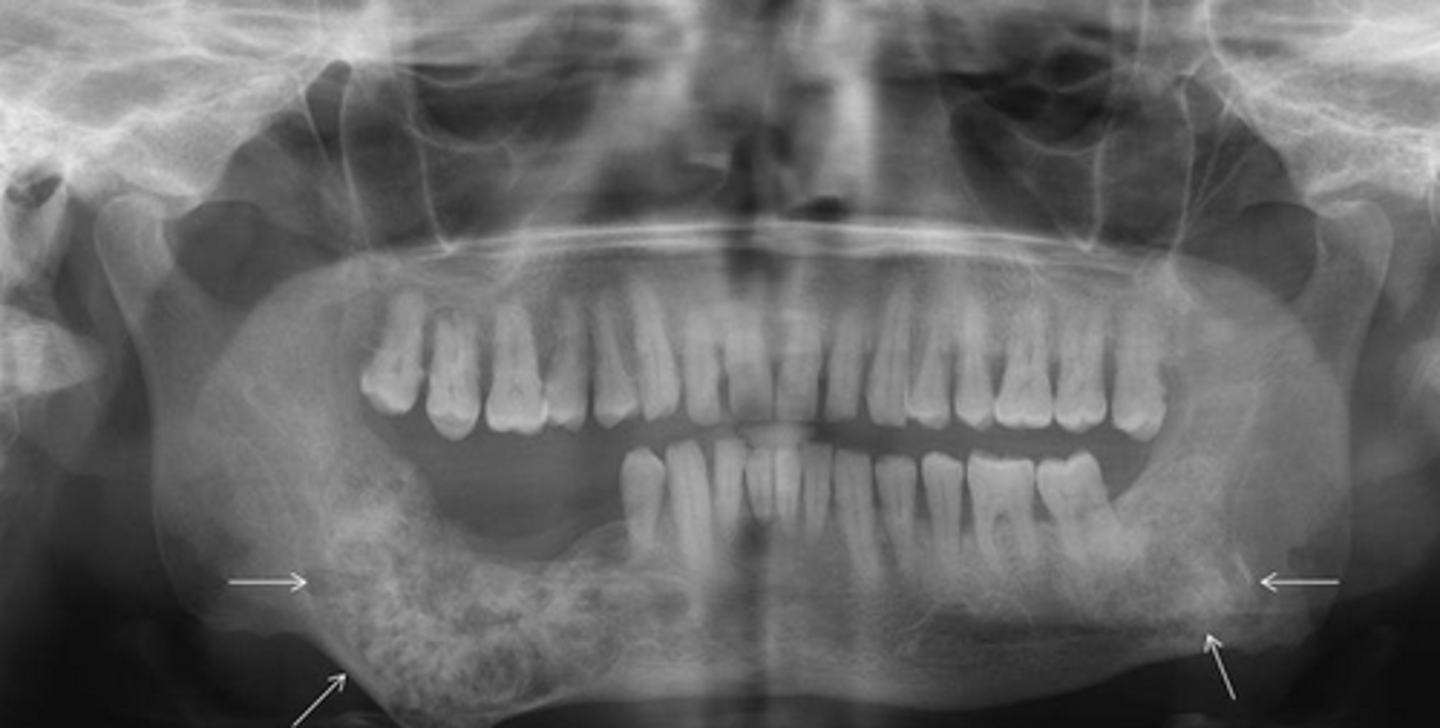
Diffuse sclerosing is seen in which condition?
Florid Osseous Dysplasia

What happens to the inferior border of the mandible in diffuse sclerosing?
Thinned

What is proliferative periostitis also known as?
Garre's Osteomyelitis

What is a characteristic appearance of Garre's Osteomyelitis?
Onion skin

Who is more affected by Garre's Osteomyelitis?
Females, younger
What is Pericoronitis associated with?
Third molars

What are the symptoms of Pericoronitis?
Pain + swelling

What X-ray finding is associated with Pericoronitis?
Loss of cortical outline

What age group is typically affected by Fibrous Dysplasia?
Young adults

What does Fibrous Dysplasia do to the IAN canal?
Displaces superiorly

What radiographic appearance does Fibrous Dysplasia have?
Ground glass opacity

What is a common clinical feature of Fibrous Dysplasia?
Unilateral facial swelling

When does growth from Fibrous Dysplasia stop?
After adolescence
Are teeth vital in Fibrous Dysplasia?
Yes
Does Fibrous Dysplasia cause pain?
No pain, no symptoms
What is the demographic affected by Cemento-osseous Dysplasia?
AA/Asian women

What teeth does Cemento-osseous Dysplasia affect?
Mandible and maxilla, anterior teeth

What distinguishes the Florid type of Cemento-osseous Dysplasia?
>2 quadrants affected

What is a key characteristic of the Focal type of Cemento-osseous Dysplasia?
Different demographic

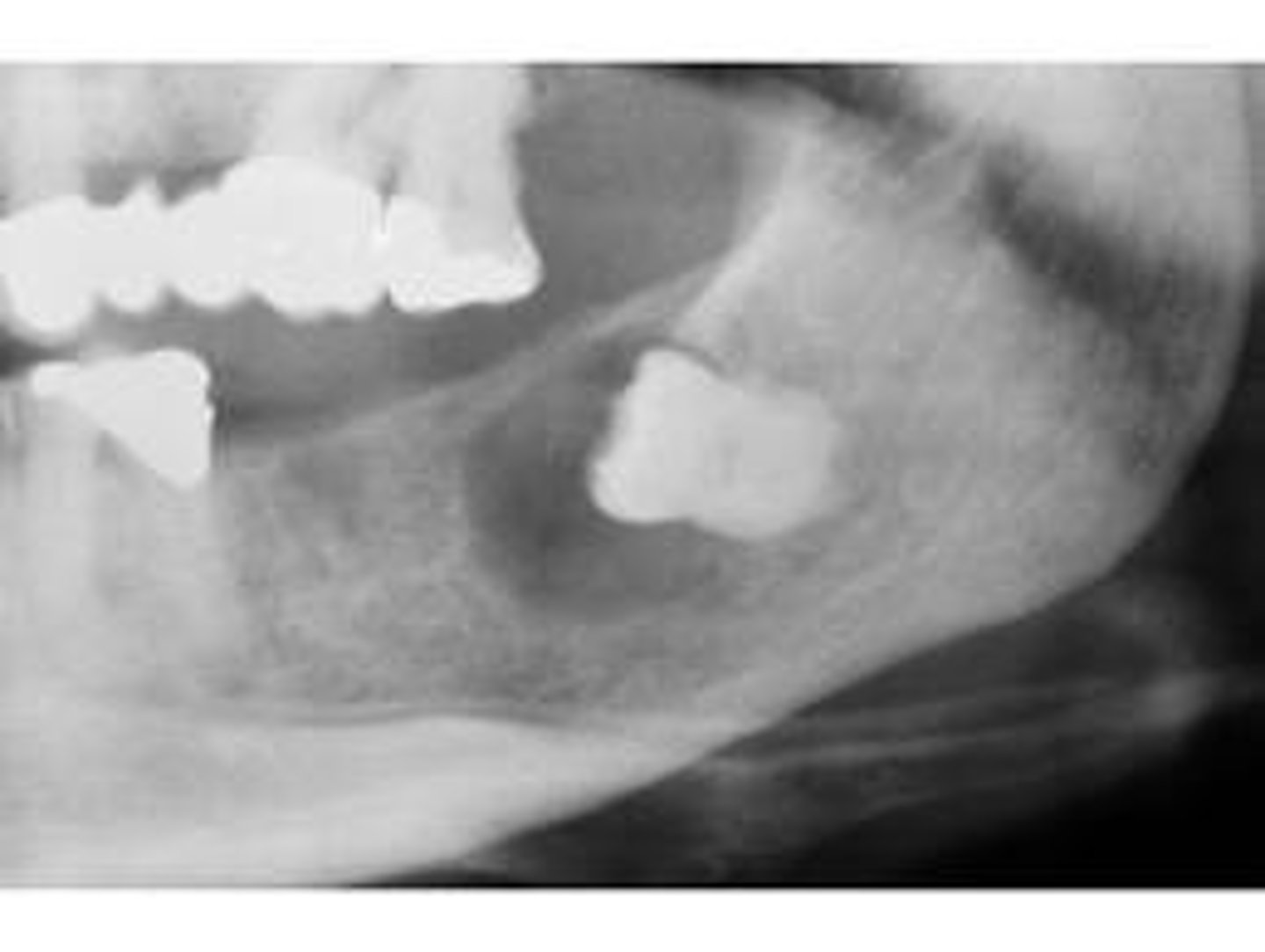
What does a Benign Cementoblastoma appear like on radiograph?
Wheelspoke pattern

What type of teeth are affected by Benign Cementoblastoma?
Vital teeth

What age group and gender are most affected by Benign Cementoblastoma?
Males, any age
What growth is associated with Benign Cementoblastoma?
Bulbous growth at apex

What is a characteristic of Benign Cementoblastoma on the tooth root?
External resorption of root

What is the most common finding in radiographs?
Enostosis (one bone island)

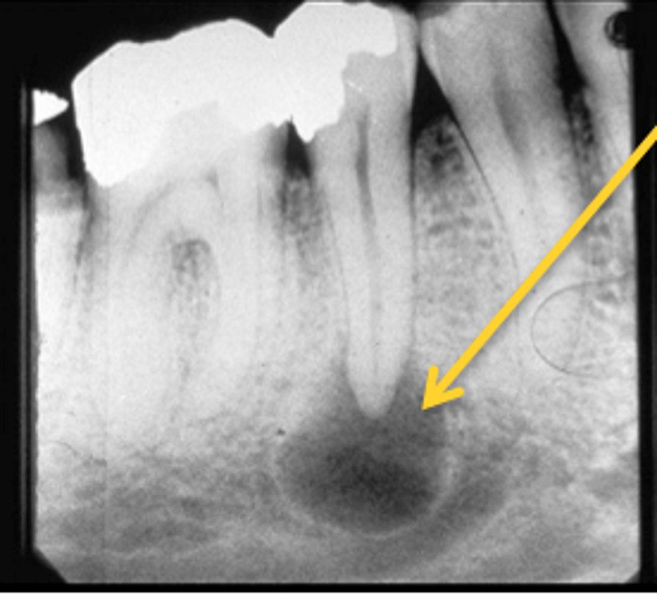
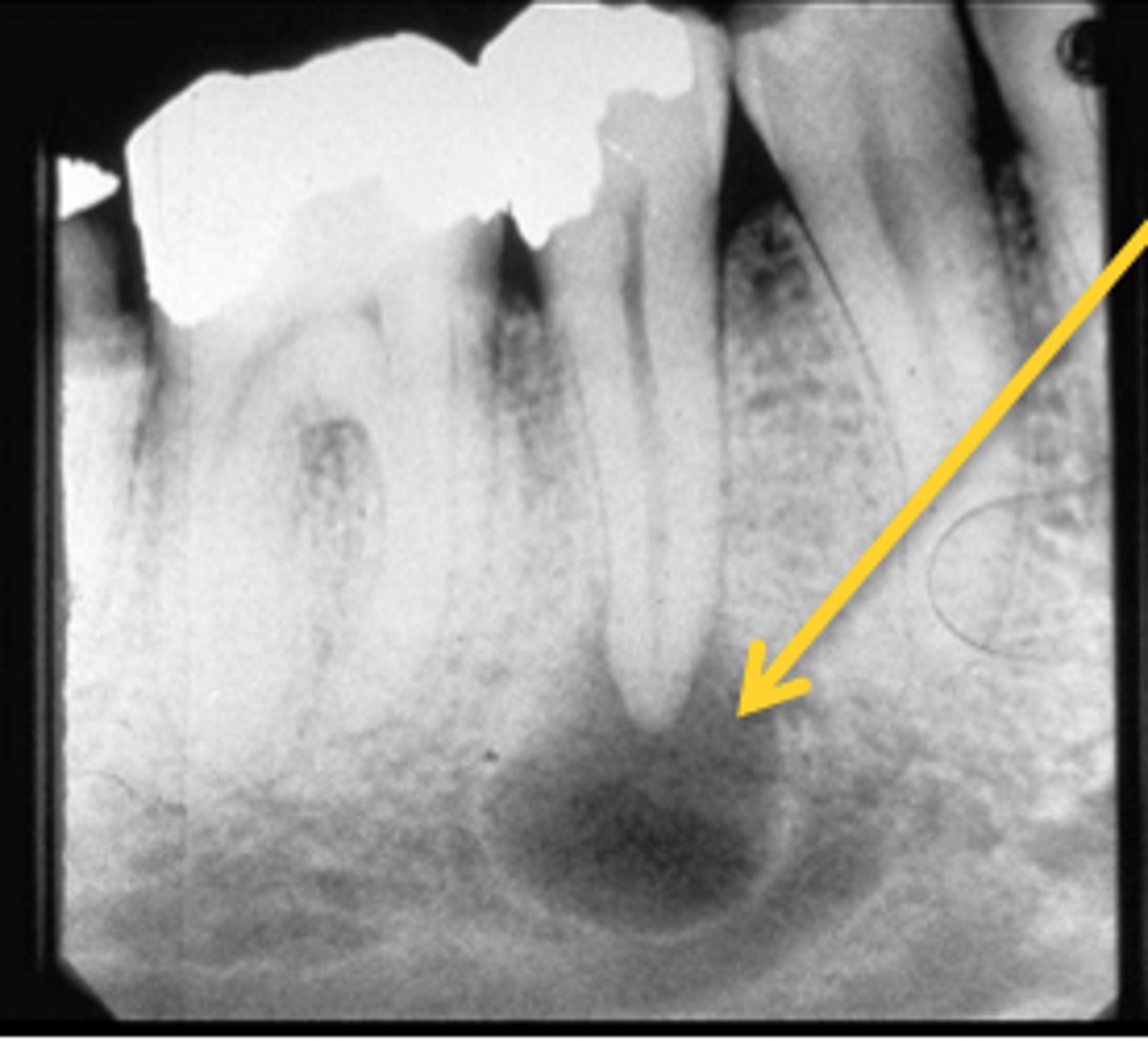
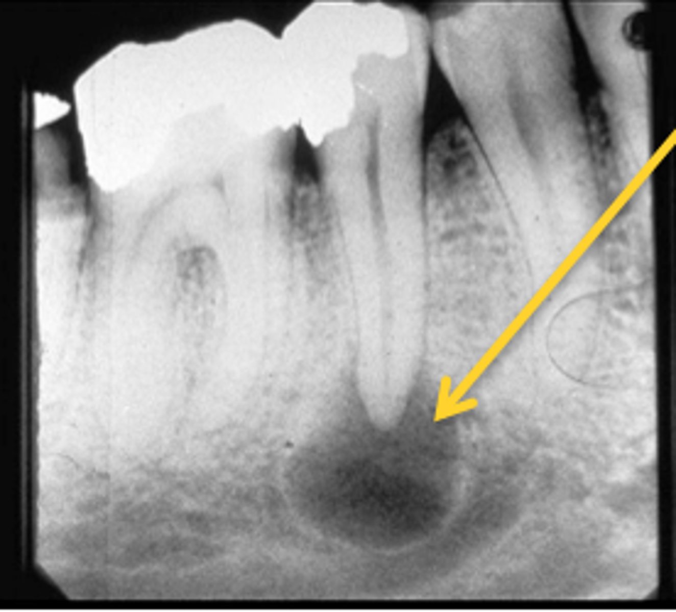
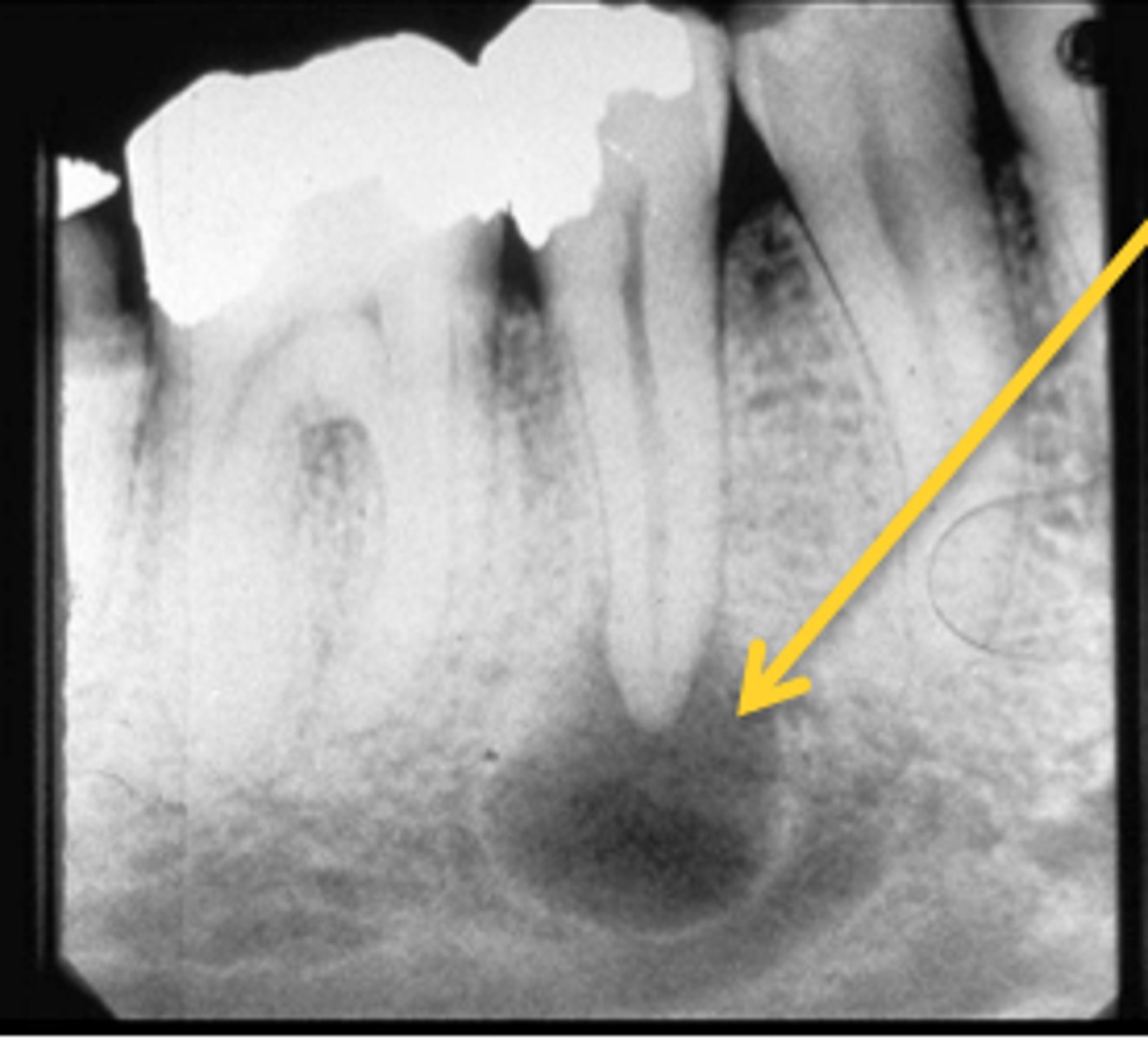
Where are radicular cysts found?
Apex of tooth

What type of teeth are associated with radicular cysts?
Nonvital teeth

What is the most common cyst?
Radicular cyst

How is a radicular cyst described radiographically?
Well corticated

What is the treatment for radicular cysts?
Enucleation

What type of cyst is a Residual Cyst?
Odontogenic, inflammatory

What is the vitality of teeth associated with Residual Cysts?
Nonvital teeth

Where is a Residual Cyst located?
Above IAN canal

What is the treatment for Residual Cysts?
Marsupialization (a surgical procedure where a cyst is opened and sutured to the surrounding tissue to create a permanent drainage pathway, preventing reformation)

What type of cyst is a Dentigerous Cyst?
Odontogenic, non-inflammatory

Where are Dentigerous Cysts typically found?
Coronal to tooth

What is the second most common cyst type?
Dentigerous Cyst

What is a differential diagnosis for Dentigerous Cysts?
Ameloblastic fibroma

What type of cyst is a Lateral Periodontal Cyst?
Odontogenic, non-inflammatory

What is the vitality of teeth associated with Lateral Periodontal Cysts?
Vital tooth

Where are Lateral Periodontal Cysts typically located?
Between teeth, lateral to tooth root

In which age range are Lateral Periodontal Cysts commonly found?
20-90 years
What area does odontogenic keratocyst (OKC) expand?
Mandibular posterior area

How does odontogenic keratocyst (OKC) expand around teeth?
Around entire tooth

What is the recurrence rate of odontogenic keratocyst (OKC)?
High recurrence rate
What are the differential diagnoses for odontogenic keratocyst (OKC)?
Ameloblastoma, dangerous cyst
