1/53
Looks like no tags are added yet.
Name | Mastery | Learn | Test | Matching | Spaced | Call with Kai |
|---|
No analytics yet
Send a link to your students to track their progress

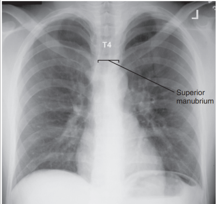
Superior midcoronal tilt anteriorly


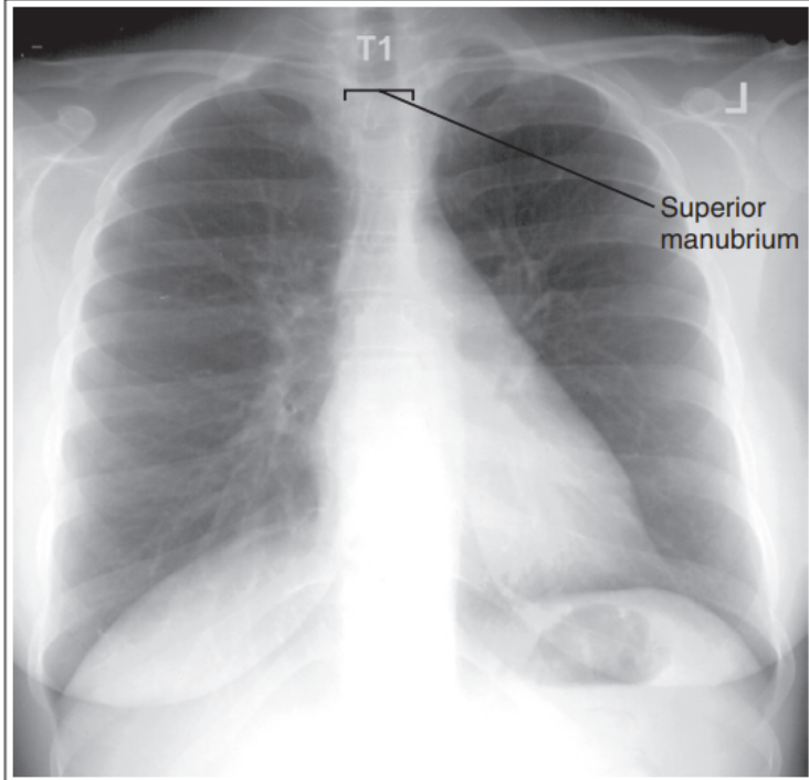
Superior midcoronal tilt posteriorly


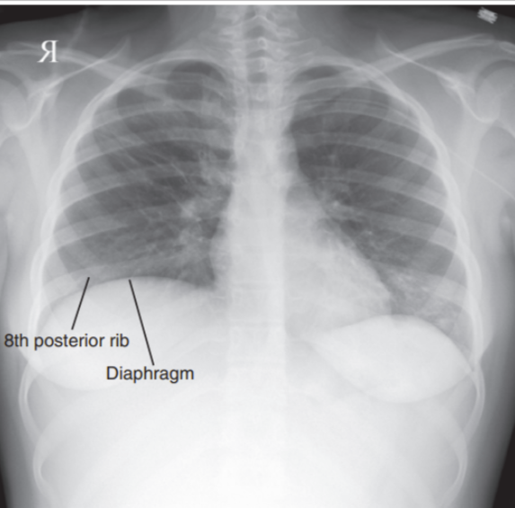
Inspiration did not occur, lungs are not filled with air

Manubrium at 5th vertebrae
More than 2.5cm of apices are demonstrated above clavicle
Patient’s superior midcoronal is tilted anteriorly

Lungs without full aeration

Inferior sagittal plane tilted towards IR

Right thorax rotated posteriorly

Right thorax rotated anteriorly

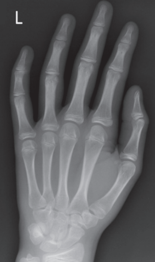
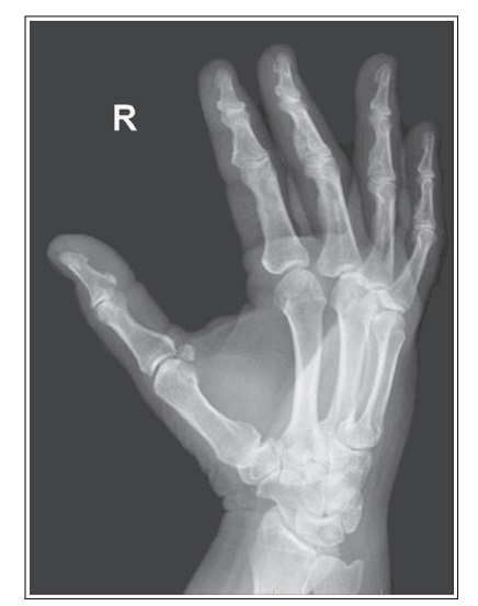
Unequal concavity between phalanges and MCs
Hand was slightly externally rotated

Distal phalanges are foreshortened and distorted
Hands and fingers were flexed

What is wrong with this oblique hand?
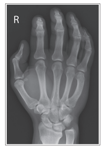
3rd - 5th bases of MT are not superimposed
Under rotation with obliquity less than 45 degrees

Bases of 3rd - 5th MT are overly superimposed
Overrotation with more than 45 degrees obliquity

base of 2nc MCP are not superimposed and carpal bones are not superimposed
Internal rotation

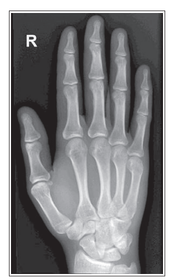
5th metacarpal is in profile
Slight external rotation

2nd metacarpal is in profile
Slight internal rotation

The 2nd through 5th MC midshafts are not superimposed, and the 5th MCs anterior to the 3rd through 4th MCs.
External rotation

Unequal concavity and greater concavity and soft tissue width is closer to the thumb
External rotation of thumb

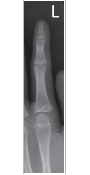
Foreshortening of distal phalanx
Finger was not flexed

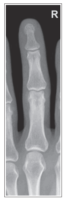
What’s wrong with this oblique finger projection?
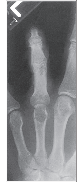
More than 45 degrees obliquity
Over-rotation

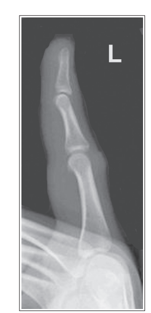
What’s wrong with this oblique finger?
Less than 45 degrees obliquity
Under-rotation

1st and 2nd mc bases are superimposed
Slight internal rotation

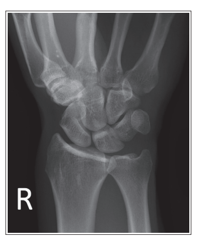
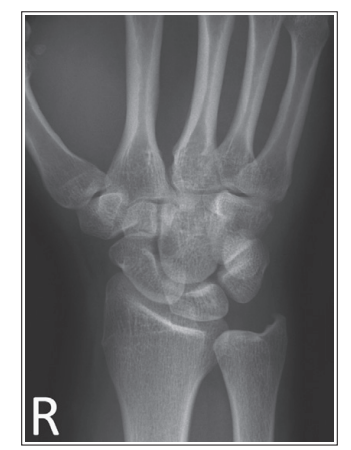
What is wrong with this oblique wrist xray
Under-rotated
Less than 45 degree obliquity

Proximal arm elevated

5th shaft of MC is in profile
External rotation

Shaft of thumb MC is if profile
Internal rotation

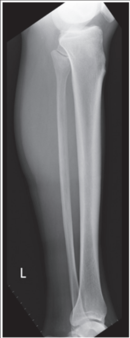
Proximal tib/fib are not superimposed
Elbow externally rotated and wrist internally rotated

Over superimposition of tib/fib
Elbow internally rotated

More than 1/8 of the radial head is superimposing with the ulna
Internal rotation

Less than 1/8 of the radial head is superimposing with the ulna
External rotation

What is wrong with this external oblique elbow?
Superimposition of proximal tib/fib
Obliquity is less than 45 degrees, meaning its under-rotated

Radius and ulna are not superimposed, but coronoid can be seen
Over-rotation with obliquity of more than 45 degrees

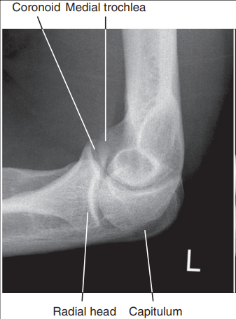
the distal capitulum surface is demonstrated too far distal to the distal surface of the medial trochlea and the radial head is placed too far posteriorly to the coronoid process
Proximal humerus is elevated


Distal capitulum is too far proximal to the distal medial trochlear surface of the radial head is too far anterior to the coronoid process
Distal forearm is depressed


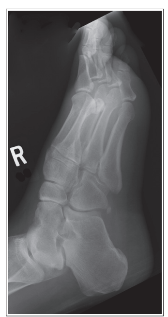
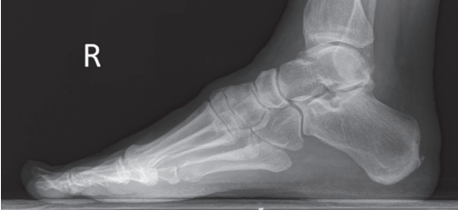
What is the issue with this oblique foot?
First digit of the phalanx is superimposing with 2nd and third
Over-rotation with more than 45 degrees obliquity

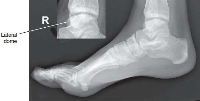
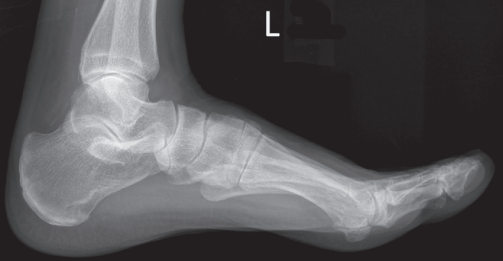
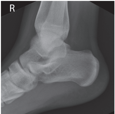
The medial talar dome is demonstrated anterior to the lateral talar dome
Over-rotated/ external rotation

The medial talar dome is demonstrated posterior to the lateral talar dome
Under-rotated/ internal rotation

Medial talar dome is anterior to the lateral dome
Fibula is more posterior
Foot is externally rotated

Medial talor dome is posterior to the lateral dome
Foot is internally rotated

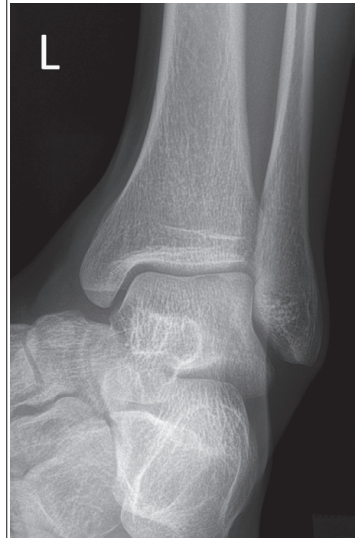
tibia superimposes more than ½ of the fibular, medial mortise is closed
Anterior tibial margin is lateral to posterior margin
External rotation

tibia superimposes less than ½ of fibula, medial mortise is closed
Posterior tibial margin is lateral to anterior and is superimposed by talus
Internal rotation

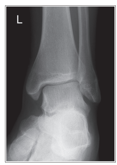
What are issues with this mortise ankle?
Insufficient obliquity/ under-rotated
the tibia superimposes more than 1/4 of the fibula, and the lateral and medial mortises are closed

What are the issues with this mortise ankle?
the tibia superimposes less than 1/4 of the fibula, and the lateral and medial mortises are closed
Excessive obliquity/ over-rotated

What are the issues with this mortise ankle?
Posterior and anterior tibial margin can be seen
Distal leg is elevated

What are the issues with this mortise ankle?
Medial mortise is closed, and anterior tibial margin has been projected proximal to the posterior margin
Distal tibia has been elevated

What are the issues with this ankle?
Foot is not dorsiflexed

the medial talar dome is demonstrated posterior to the lateral talar dome and the fibula will be demonstrated more anteriorly on the tibia
Internal rotation

the medial talar dome is demonstrated anterior to the lateral talar dome and the fibula is more posterior on the tibia
External rotation

The lateral talar dome is proximal to the medial dome, the height of the medial longitudinal arch appears less than it actually is, and the talocalcaneal joint is narrowed.
Proximal lower leg has been elevated

Tibia superimposed with less than ¼ of fibula head
Internal rotation

Tibia superimposes more than ½ of the fibular head
Internal rotation/ under-rotated

Tibia superimposes less than ½ of the fibular head
External rotation/ under-rotated

Less than ½ of the fibula head is superimposing with tibia
Internal rotation

More than ½ of the fibula head is superimposing with tibia
External rotation

What are the issues with this AP knee?
Intercondylar fossa is shown
Knee is flexed and not straight