1/22
Looks like no tags are added yet.
Name | Mastery | Learn | Test | Matching | Spaced | Call with Kai |
|---|
No analytics yet
Send a link to your students to track their progress

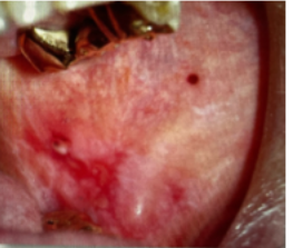
LEUKOPLAKIA
CLINICAL FEATURES:
more common in men
most frequently involved
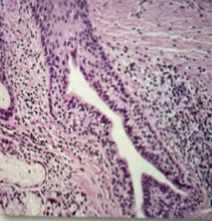
HISTOLOGICAL FEATURES:
hyperorthokeratosis - thick stratum corneum
acanthosis - thick stratum spinosum
carcinoma in situ - entire thickness of epithelium affected
ETIOLOGY:
tobacco
alcohol
vitamin deficiency (a and b)
TREATMENT:
vitamin A and B complex
x-ray therapy
topical chemotherapy

LEUKOEDEMA
CLINICAL FEATURES:
location of the lesion
stages of the lesion
HISTOLOGICAL FEATURES:
increased thickness of epithelium
ETIOLOGY:
unknown
CLINICAL SIGNIFICANCE:
px w/ leukoplakia also show signs of leukoedema in adjacent mucosa
TREATMENT:
none

LICHEN PLANUS / LICHEN RUBER PLANUS
CLINICAL FEATURES:
primary symptom: severe pruritus
adulthood
no sex predilection
HISTOLOGIC FEATURES
rete pegs with saw tooth appearance
ORAL MANIFESTATIONS:
females
40-70yo
lesser extent on: lips, palate, and tongue
ETIOLOGY:
unknown
DIFFERENTIAL DIAGNOSIS:
syphilis
leukoplakia
TREATMENT AND PROGNOSIS:
no specific
avoid stress
prognosis: uncommon to regress

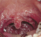
LICHEN PLANUS

FORM OF LICHEN PLANUS
RETICULAR

FORM OF LICHEN PLANUS
BULLOUS

FORM OF LICHEN PLANUS
EROSIVE

FORM OF LICHEN PLANUS
ERYTHEMATOUS OR ATROPHIC

FORM OF LICHEN PLANUS ON BUCCAL MUCOSA
EROSIVE

WHITE SPONGE NEVUS
ORAL EPITHELIAL NEVUS
CANNON’S DISEASES
CLINICAL FEATURES:
CONGENITAL
CHEEKS, PALATE, GINGIVA, FOM
ASYMPTOMATIC
HISTOLOGIC FEATURES:
HYPERPARAKERATOSIS
TREATMENT AND PROGNOSIS:
NO TREATMENT
EXCELLENT PROGNOSIS

WHITE SPONGE NEVUS

NICOTINE STOMATITIS
PIPE SMOKER’S PALATE
CLINICAL FEATURES:
INITIALLY MANIFESTED BY REDNESS AND INFLAMMATION OF PALATE
SOON, PALATE DEVELOPS DIFFUSE, GRAYISH-WHITE, THICKENED WITH SMALL RED SPOT IN CENTER OF EACH NODULE
HISTOLOGIC FEATURES:
HYPERKERATOSIS
ETIOLOGY:
CIGARETTE
PIPE SMOKING
TREATMENT AND PROGNOSIS:
DISCONTINUE TOBACCO
RARELY EVOLVES TO MALIGNANT

NICOTINE STOMATITIS

CANDIDIASIS
MONILIASIS
THRUSH
CLINICAL FEATURES/MAJOR CATEGORIES:
MUCOCUTANEOUS
SYSTEMIC
HISTOLOGICAL FEATURES:
PRESENCE OF YEAST CELLS AND HYPHAE
TREATMENT:
ANTIFUNGAL AGENTS
AMPOREACIN
ICONOZALE

ACUTE PSEUDOMEMBRANOUS CANDIDASIS

ACUTE ATROPHIC ERYTHEMATOUS CANDIDIASIS

CHRONIC HYPERPLASTIC CANDIDIASIS OR
CHRONIC MUCOCUTAENOUS CANDIDASIS

CHRONIC ATROPHIC CANDIDIASIS

FORDYCE’S DISEASE OR GRANULES
CLINICAL FEATURES:
NO SEX PREDILECTION
PALATE, GINGIVA, TONGUE, FRENUM, RETROMOLAR REGION
HISTOLOGICAL FEATURES:
IDENTICAL WITH NORMAL SKIN BUT NOT ASSOC. WITH HAIR
ETIOLOGY:
NO SEX PREDILECTION
PALATE, GINGIVA, TONGUE, FRENUM, RETROMOLAR REGION
TREATMENT:
NONE

FORDYCE’S DISEASE

GEOGRAPHIC TONGUE
BENIGN MIGRATORY GLOSSITIS
WANDERING RUSH OF TONGUE
CLINICAL FEATURES:
MULTIPLE DESQUAMATION OF FILIFORM PAPILLAE
FREQUENTLY ASSOC. WITH FISSURED TONGUE
HISTOLOGIC FEATURES:
FILIFORM PAPILLAE ARE LOST
FILIFORM PAPILLAE MARGINS EXHIBIT HYPERKERATOSIS AND ACANTHOSIS
ETIOLOGY:
UNKNOWN (EMOTIONAL STRESS)
TREATMENT:
EMPIRICAL
BAKING SODA, ANTIFUNGALS

WHITE HAIRY TONGUE
CLINICAL FEATURES:
COLOR OF PAPILLAE VARY FROM YELLOWISH WHITE/BLACK/BROWN
ETIOLOGY:
UNKNOWN
TREATMENT:
EMPIRICAL
BAKING SODA

PERLECHE
ANGULAR CHEILIITIS
ANGULAR CHEILOSIS
CLINICAL FEATURES:
BOTH YOUNG CHILDREN AND ADULTS
DRYNESS AND BURNING SENSATION AT CORNERS OF MOUTH
ETIOLOGY:
LIP SUCKING
SAGGING OF FACIAL SKIN
TREATMENT:
EMPIRICAL
LIP BALM