1/9
Looks like no tags are added yet.
Name | Mastery | Learn | Test | Matching | Spaced | Call with Kai |
|---|
No analytics yet
Send a link to your students to track their progress
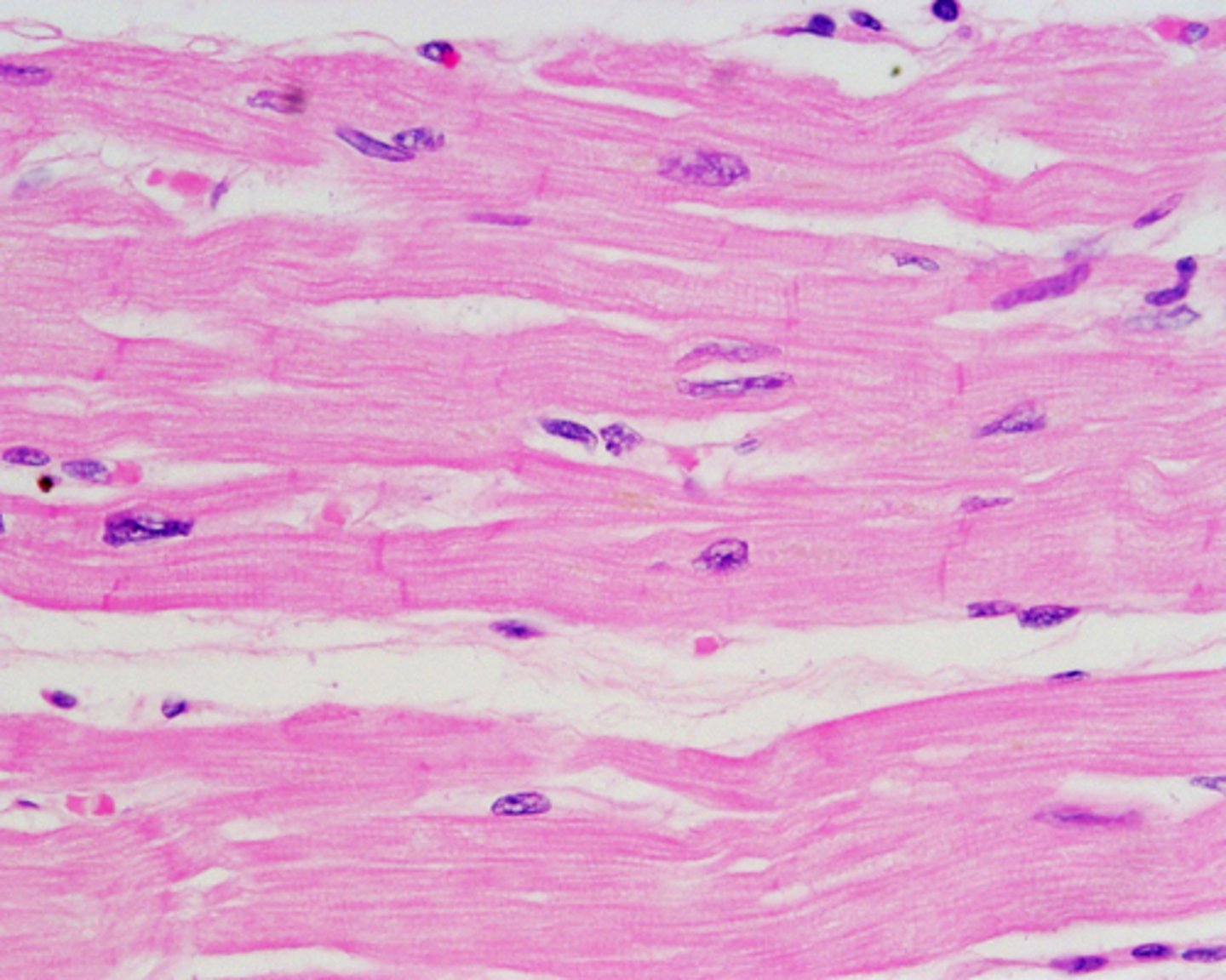
cardiac muscle

nucleus, striations, intercalated discs
ingredients of cardiac muscle
smooth muscle

nuclei
ingredients of smooth muscle
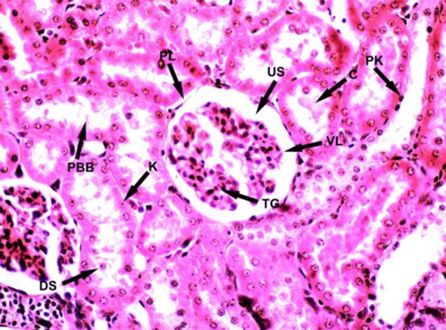
kidney nephron

glomerulus, tubules, glomerular capsule
ingredients of kidney nephron
trachea

ciliated columnar epithelium, hyaline cartilage
ingredients in trachea
gi tract

mucosa, submucosa, muscularis, serosa
ingredients in gi tract