1/32
Looks like no tags are added yet.
Name | Mastery | Learn | Test | Matching | Spaced | Call with Kai |
|---|
No analytics yet
Send a link to your students to track their progress
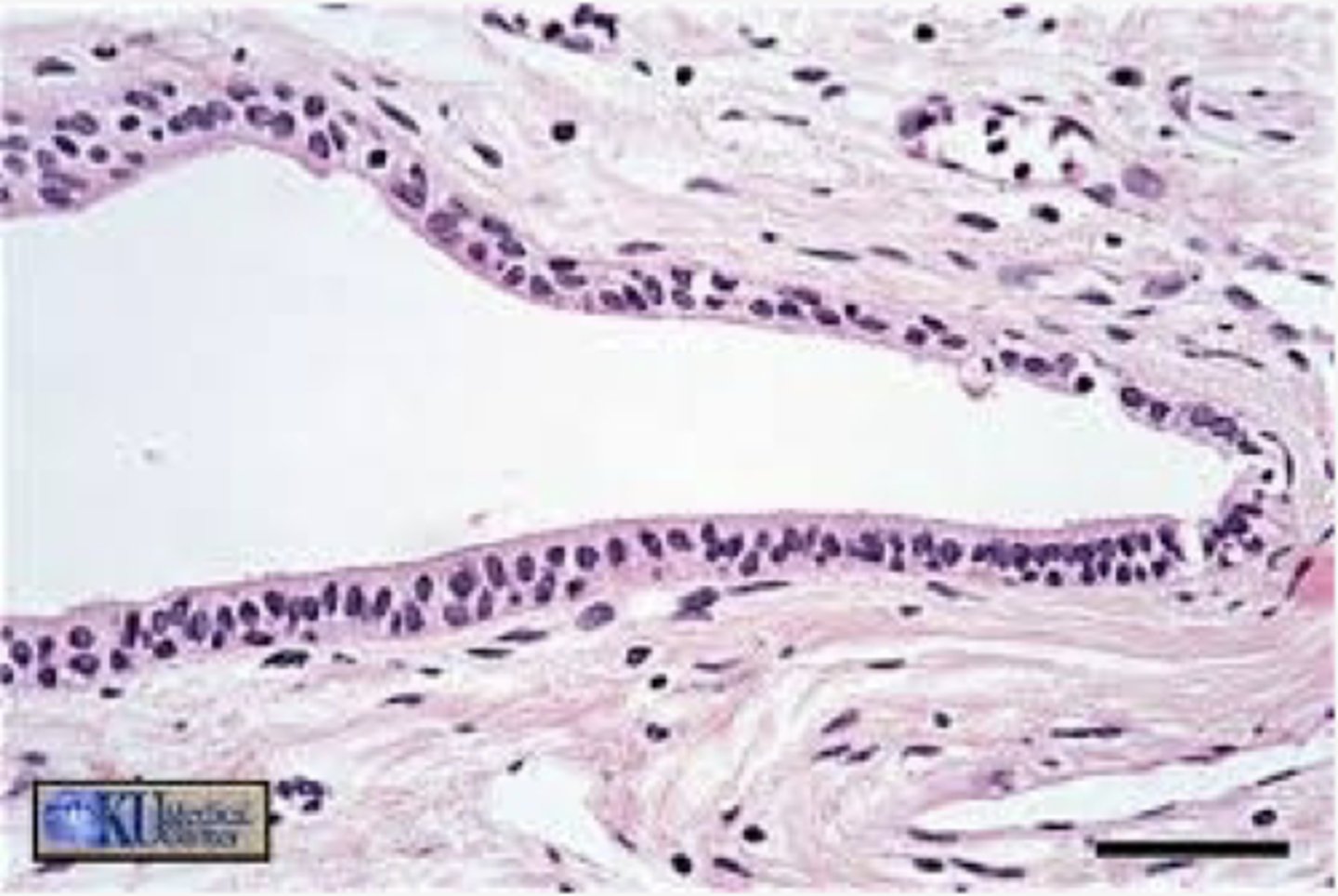
Simple squamous epithelium
Identify the type of epithelia

Simple cuboidal epithelium
Identify the type of epithelia

Simple squamous epithelium
Identify the type of epithelia

Simple cuboidal epithelium
Identify the type of epithelia

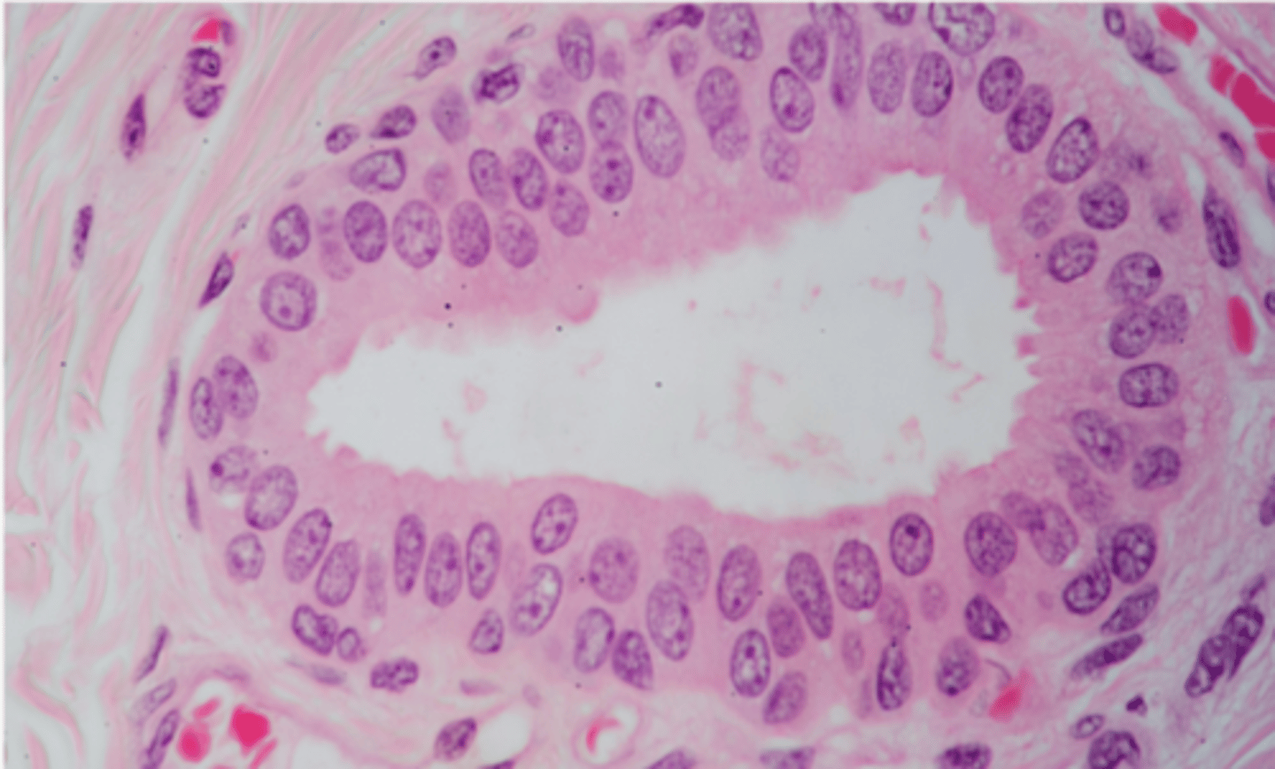
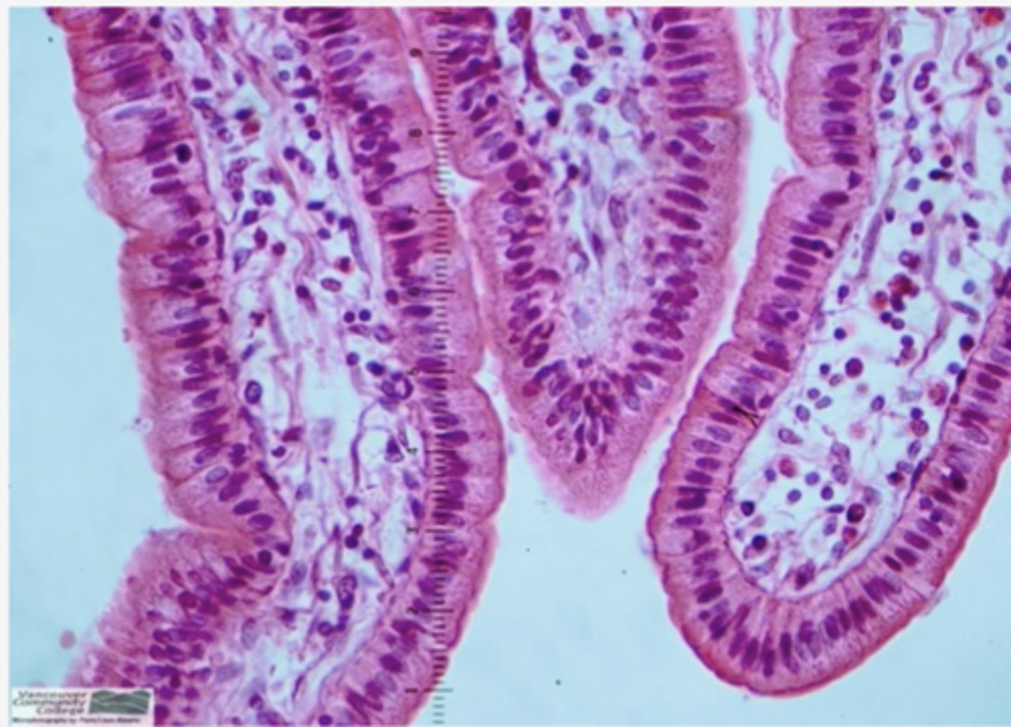
Simple columnar epithelium
Identify the type of epithelia

Simple columnar epithelium
Identify the type of epithelia

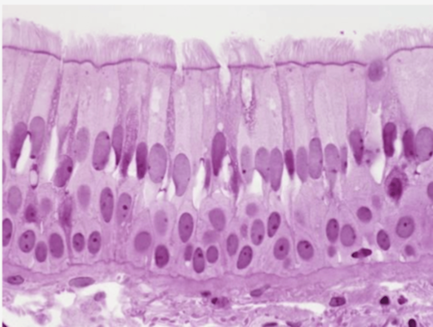
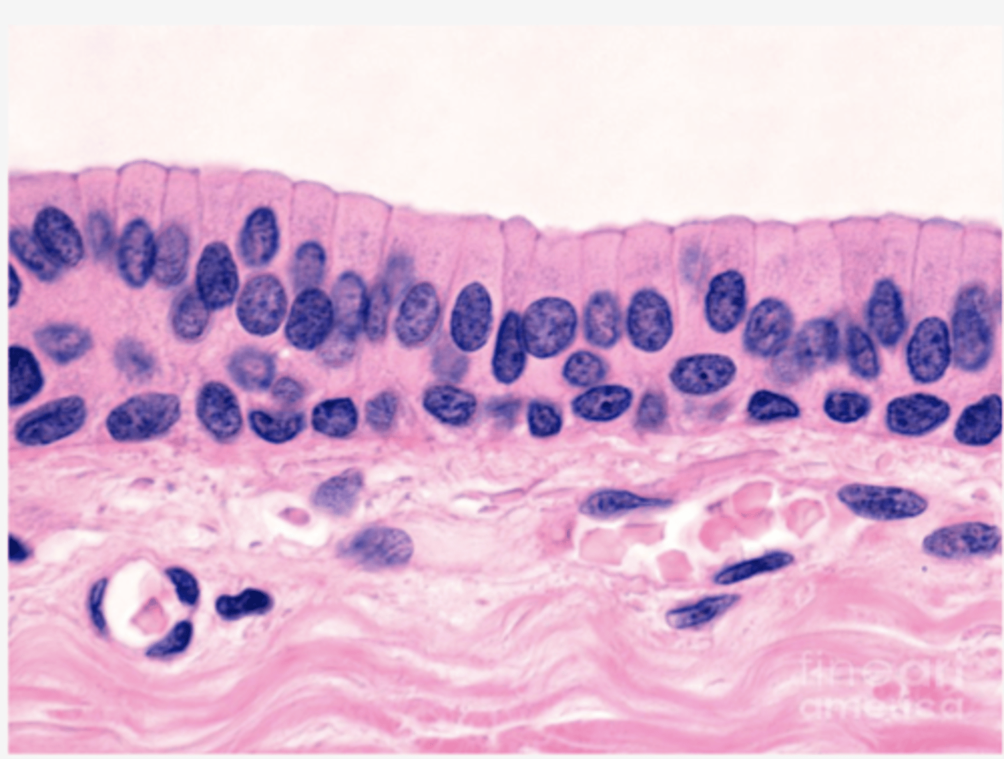
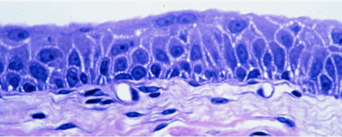
Pseudostratified ciliated columnar epithelium
Identify the type of epithelia

Pseudostratified ciliated columnar epithelium
Identify the type of epithelia

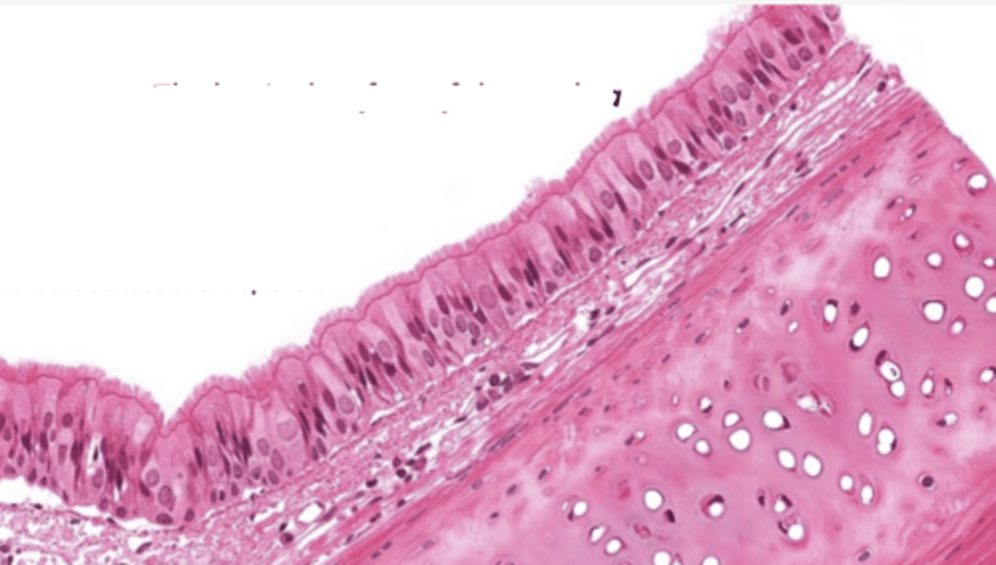
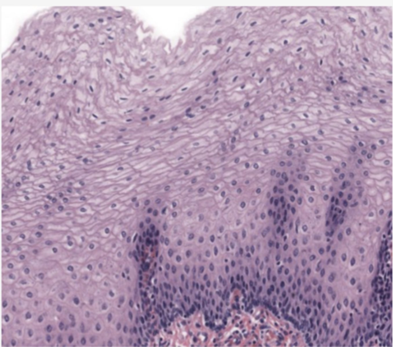
Non-keratinized stratified squamous epithelium
Identify the type of epithelia

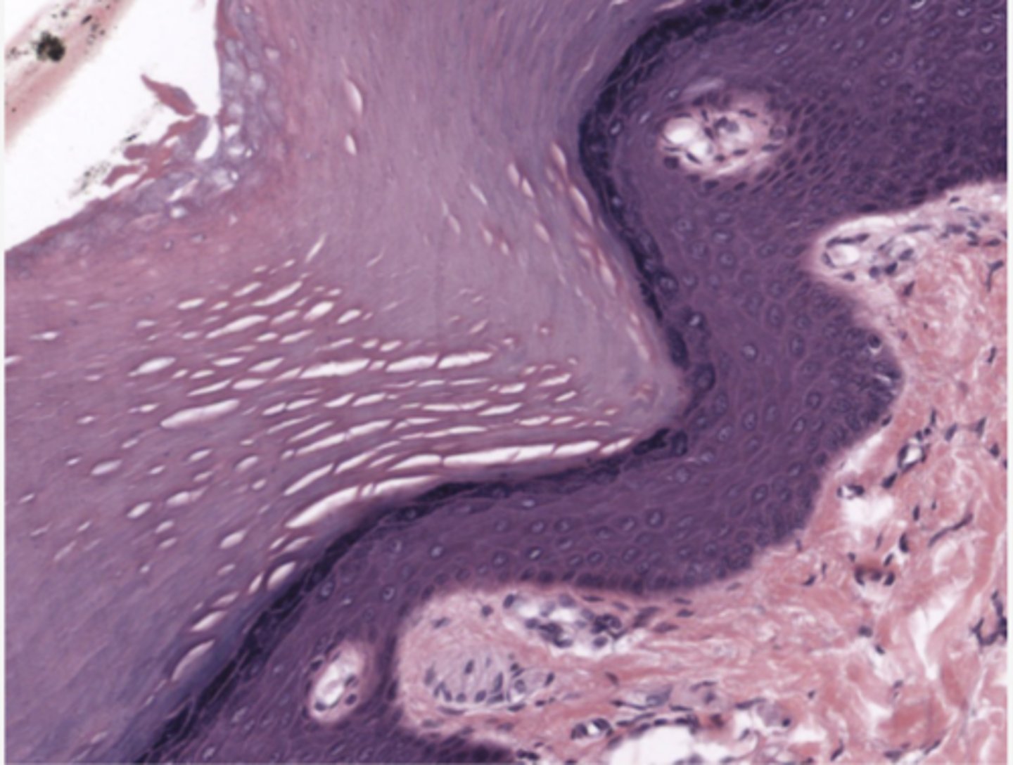
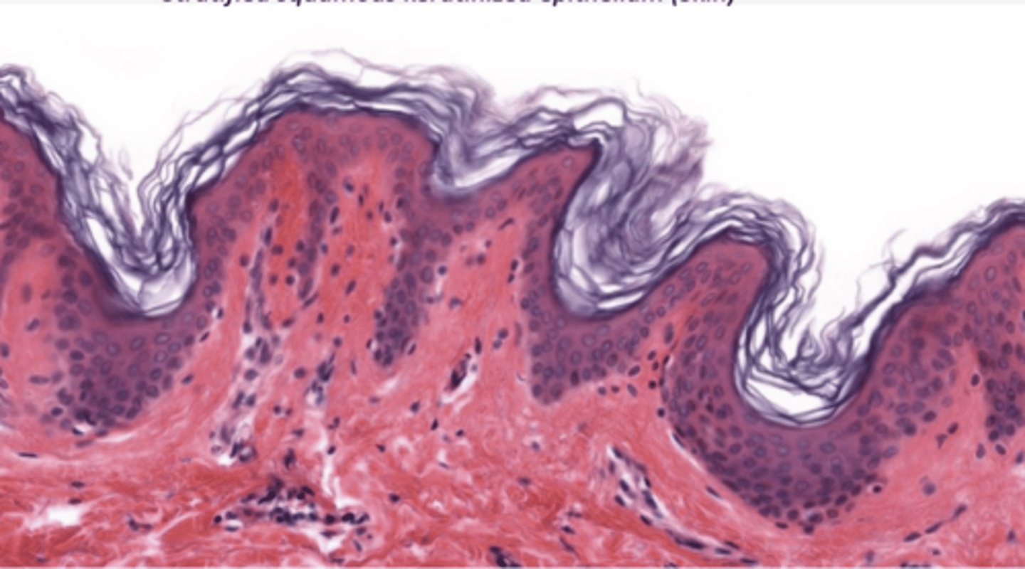
Keratinized stratified squamous epithelium
Identify the type of epithelia

Keratinized stratified squamous epithelium
Identify the type of epithelia

Stratified cuboidal epithelium
Identify the type of epithelia

Stratified cuboidal epithelium
Identify the type of epithelia

Stratified columnar epithelium
Identify the type of epithelia

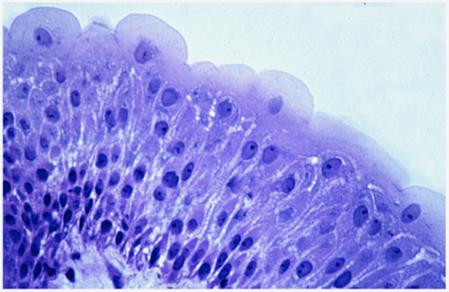
Transitional epithelium
Identify the type of epithelia

Transitional epithelium
Identify the type of epithelia

Transitional epithelium
Identify the type of epithelia

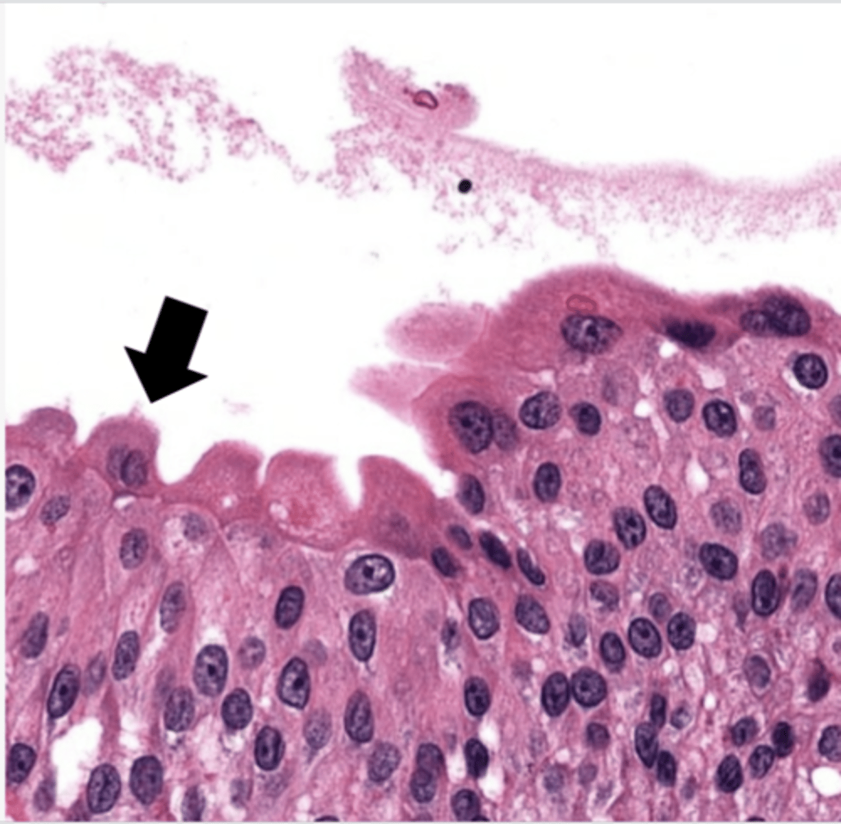
Umbrella Cell
Identify the cell in the arrow

serous gland
Identify the gland

mixed gland
Identify the gland

Serous Acinus
Identify the specific structure

Mucous Acinus
Identify the specific structure

Serous demilune
Identify the structure that encloses

serous acini
Identify the structure

gland ducts
Identify the structure

mucous acini
Identify the structure

mandibular gland
Identify the specific organ

Parotid gland
Identify the specific organ

Stereocilia
Identify the specific structure

Striated border
Identify the specific structure

Brush border
Identify the specific structure

basement membrane
Identify the structure in red (in the tagged structure list)

Cilia
Identify the structure being pointed to (in the tagged structure list)
