1/15
Looks like no tags are added yet.
Name | Mastery | Learn | Test | Matching | Spaced | Call with Kai |
|---|
No analytics yet
Send a link to your students to track their progress
What is Asherman's Syndrome? Name 1 symptom. What causes Asherman's syndrome?
Adhesions in the uterine cavity
Symptoms:
- normal/absent menses
- recurrent miscarriage
- infertility
- Trauma to basal layer causing scar tissue.

What are the diagnosis methods for Asherman's Syndrome? (HINT: 3)
HSG, SHG, hysteroscope
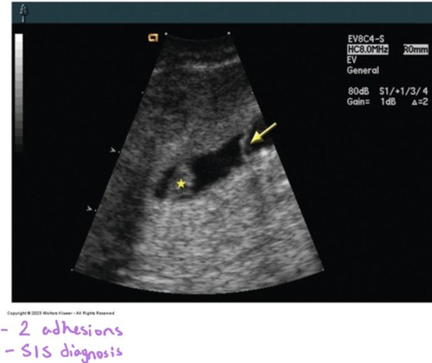
How do adhesions appear on SIS?
Adhesions appear as echogenic bands

How do adhesions appear on HSG?
Areas w/o contrast filling
What is the treatment for Asherman's Syndrome?
Removal or rupture of adhesions under direct visualization.
What does Asherman's syndrome look like sonographically?
- Hypoechoic breaks in endometrial continuity
- May calcify = echogenic
- W/ coexistent fibrosis = echogenic
- Endo pockets w/ loculated fluid
What are the 2 types of IUDs?
Copper or hormone-releasing (levonorgestrel) IUDs.
How does a copper IUD work?
Creates unfavorable environment for sperm and eggs
(does NOT release hormones)
Where should an IUD be placed?
Should be centered in the uterine body, with arms extending to uterine cornua
Name 3 IUD complications
Infection, perforation, malposition, incomplete removal.
When is a KUB x-ray used?
Used if IUD not found with ultrasound.
TRUE or FALSE: Plastic IUDs are harder to visualize on U/S than metal ones.
TRUE: Plastic IUDs are weaker reflectors, making them harder to visualize
What does an IUD look like sonographically?
- Sagittal = midline echogenic shaft / posterior shadowing
- Transverse = see shaft and wings
What does the retrieval string of an IUD look like sonographically?
Echogenic, linear structure
What decision is made in the first trimester for a pt who has an an IUD and is pregnant?
Decision to either remove IUD (risks pregnancy loss) or leave it (complications)
Complications:
- sepsis
- miscarriage/spontaneous abortion
- ectopic pregnancy
- fetal anomaly/demise
- premature delivery
- hemorrhage
- maternal death
What complications arise from an IUD in the 2nd trimester?
- More difficult to locate due to advancing gestational age
- Pain w/ distension of uterus/compression of IUD