1/37
Looks like no tags are added yet.
Name | Mastery | Learn | Test | Matching | Spaced | Call with Kai |
|---|
No analytics yet
Send a link to your students to track their progress
BSSO
What is the most often dentofacial procedure performed procedure in OS:
orthognathics
-"straightening of the jaws"
-Applied to dentofacial deformities that resultin functional and esthetic problems thatcannot be corrected with orthodontics alone
maxilla
In terms of surgical planning, which is positioned first - maxilla or mandible?
under 35
80% of patients receiving orthognathic surgery are
2.95 days
What is the average length of stay in hospital for orthognathic surgery?
30.6 months
What is the average treatment time for orthognathic surgery?
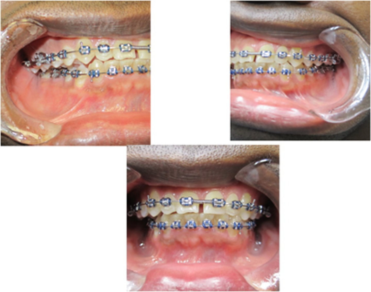
Bilateral sagittal split osteotomy
What does BSSO stand for:
Performed extra-orally
All of the following are true about BSSOs, EXCEPT:
-Allows for skeletal correction in 3 planes
- Allows for most control of the proximal segment
- Performed extra-orally
- IAN parasthesia
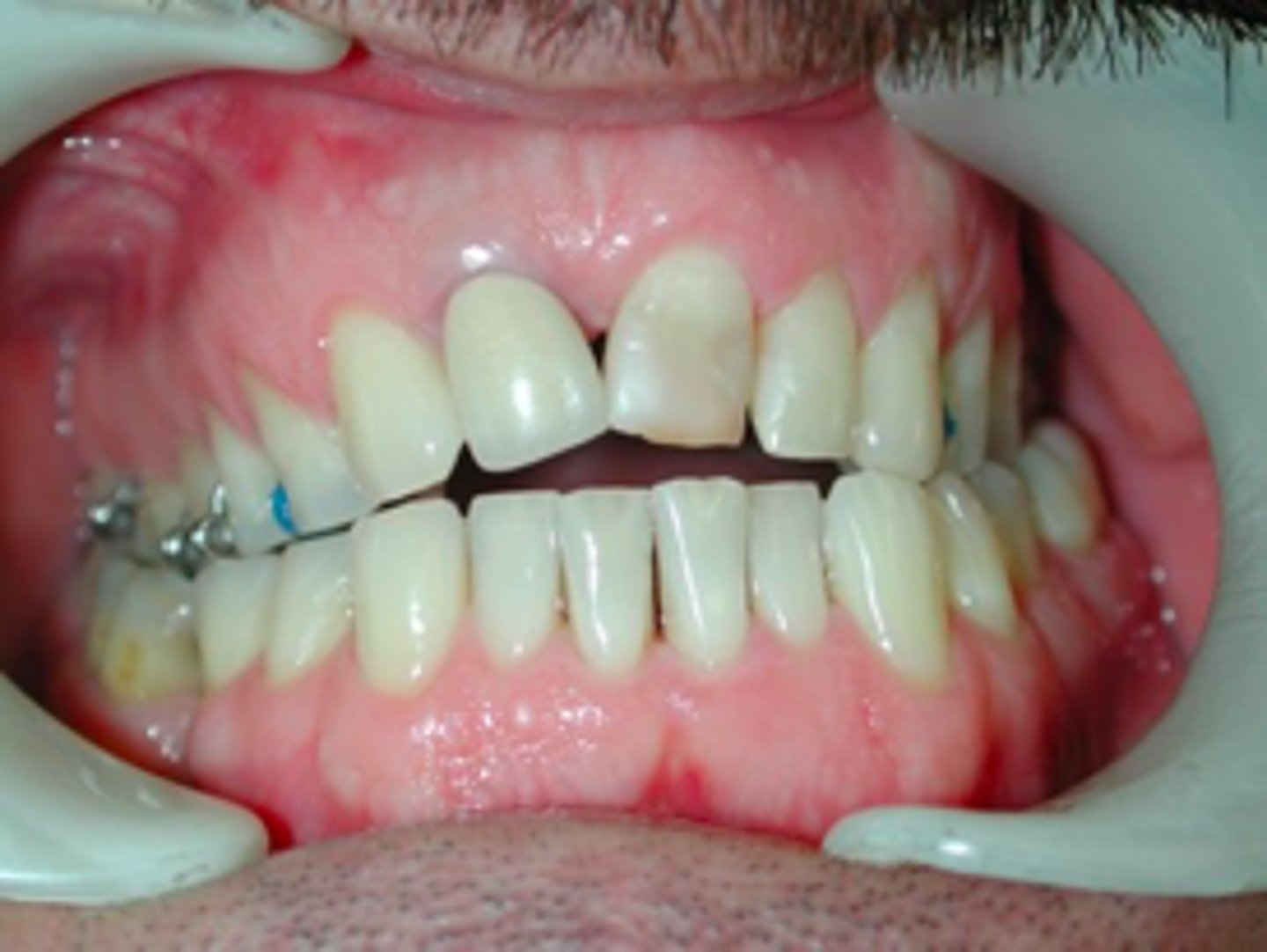
Mandibular retrognathia or maxillary hyperplasia
What can cause the look of protrusion of maxillary teeth/Class II appearance:
Mandibular prognathism or maxillary hypoplasia
What can cause the look of protrusion of mandibular teeth/Class III appearance:
Vertical Oblique Osteotomy
ID the procedure:

Bilateral sagittal split osteotomy
ID the procedure:

•Edema
•Inferior alveolar nerve paresthesia
•Decreased sensory response of teeth immediately following surgery
What are the normal post-op sequelae of a BSSO:
Inferior alveolar nerve paresthesia
All of the following are complications after a BSSO, EXCEPT:
- Inferior alveolar nerve paresthesia
- Unanticipated splits of the osteotomy site
- Laceration of neurovascular bundle
- Malposition of proximal segment
- Significant bleeding
Genioplasty
Mandibular anterior sliding osteotomy for augmentation or reduction of the chin:
Genioplasty
ID the procedure:

Maxillary transverse excess
ID the discrepancy:

a. immobilization
Fixation involves all of the following EXCEPT:
a. mobilization
b. wire osteosynthesis
c. rigid internal fixation
Maxillary transverse deficiency
ID the discrepancy:

Max AP deficiency
ID the discrepancy:

Maxillary Vertical Excess
ID the discrepancy:
-Greater tooth exposure in repose than MVE with open bite
-Lip incompetence
-Longer lower 1/3rd of the face
- Midface - Narrow nose
- Lower third - excessive exposure of maxillary anterior teeth with lips in repose, excessive exposure of teeth and gingiva while smiling, lip incompetence, long lower 3rd facial height, retropositioned chin, normal or obtuse nasolabial angle, high constricted palatal vault, steep mandibular plane
true
t/f: Blood supply to teeth is severed during Le Fort surgery, but re-anastamose
false
t/f: During BSSO, there is maximal alteration in the position of the muscles of mastication and the TMJ
20%
Maxillary AP excess occurs in ___ % of the population
Reduction glossectomy
ID the procedure:

Le Fort ost
What is the main orthognathic surgery performed on the maxilla:
SARPE-Surgically assisted rapid palatal expansion
What surgery is indicated for a patient with a maxillary transverse discrepancy:

E - Segmentation
All of the following are indications for bone grafting EXCEPT:
a. Large advancements (>6 mm)
b. Clefts
c. Disimpaction - increasing vertical dimension
d. Minimal bone contact - regardless of direction of movement
e. No Segmentation
1 night/jaw
What is a typical length of stay for perioperative management?
6 weeks blenderized, 6 weeks soft mechanical
Diet for perioperative management
D - this is part of post-op!
All of the following is included in intraoperative management EXCEPT:
a. nasal intubation
b. hypotensive anesthesia
c. steroids and preop antibiotics
d. nutrition consultation
C - should say POSITION DEPENDENT
Which of the following is FALSE regarding swelling during orthognathic surgery?
a. peakings within first week
b. unobtrusive by 3-4 weeks
c. positon independent
C - V3 is age dependent
Which of the following is FALSE regarding paresthesia after orthognathic surgery?
a. affects V2 and/or V3
b. V2 is rarely permanent; return in sensation within 6 weeks
c. V2 is age dependent
B - should say 6 weeks
Which of the following is FALSE regarding post-op?
a. Return to Work/School is age dependent, but typically 2-6 weeks
b. No stretching excercises before 12 weeks
c. Follow up visits 2wks, 6wks, 12wks and after orthodontic debanding
wound breakdown and infection
Immunocomprimised and chronic nicotine exposure can lead to (2)
CNV2 injury
What neurologic injury can occur in Le Fort Surgery?
CNV3 injury
What neurologic injury can occur in BSSO?
blindness, CN III/VI palsy, cavernous sinus fistula
What are 3 cranial base complications during LeFort Down Fracture?