Orthotic Management of Upper Extremity Fractures

0.0(0)
studied byStudied by 0 people
0.0(0)
full-widthCall with Kai
GameKnowt Play
New
learnLearn
examPractice Test
spaced repetitionSpaced Repetition
heart puzzleMatch
flashcardsFlashcards
Card Sorting

1/53

encourage image

There's no tags or description

Looks like no tags are added yet.

Study Analytics
Name
Mastery
Learn
Test
Matching
Spaced

No study sessions yet.

54 Terms

1
New cards

Fracture

an interruption in the continuity of bone and/or cartilage

2
New cards

Fracture-Dislocation

a fracture through or near a joint, accompanied by dislocation of the joint

3
New cards

Pathological Fracture

a fracture occurring through a weak or abnormal bone

4
New cards

Stress Fracture 

Repeated overuse of the body part not yet accustomed to stress

5
New cards

Simple (closed) Fracture

this is a kind of fracture that does not break through the skin

6
New cards

Compound (open) Fracture

This is a kind of fracture that breaks through the skin and the bone is visible

7
New cards

Complete Fracture

a break all the way through the bone

8
New cards

Incomplete Fracture 

A break that still has bone maintained. 

9
New cards

Undisplaced Fracture

no shift from normal alignment

10
New cards

Displaced Fracture

fragments are shifted out of their normal alignment

11
New cards

Displacement Categories

  • translation

  • rotation 

  • angulation 

  • overriding 

  • compression 

  • distraction 

12
New cards

Translation is

the movement of fractured bones away from each other in a % form

13
New cards

Overriding is

% apposition (being side by side or close together) describes the amount of overlap

14
New cards

Fracture Configurations

  • transverse

  • oblique

  • butterfly

  • spiral

  • comminuted

  • greenstick

15
New cards

Transverse

fracture occurs at right angles to the long axis of the bone

16
New cards

Oblique

fracture line less than 90 degrees to the long axis of the bone

17
New cards

Longitudinal

fracture occurs along or nearly along the long axis of the bone

18
New cards

Butterfly

usually due to a 3 point bending force

  • transverse on the tensile side of the bone and oblique on the compressive side

19
New cards

Spiral 

fracture line curves around the bone 

20
New cards

Comminuted 

two or more fracture fragments 

21
New cards

Greenstick

incomplete fracture of the long bone; young, soft bone bends and cracks

22
New cards

Location of Fracture

  • diaphyseal 

  • metaphyseal 

  • epiphyseal 

  • intra-articular 

23
New cards

Diaphyseal

affecting the shaft of a long bone

24
New cards

Metaphyseal

affecting the portion of a developing bone between the diaphysis and the epiphysis

25
New cards

Epiphyseal

affecting the ossification centers

26
New cards

Intra-articular

includes the articular surfaces

27
New cards
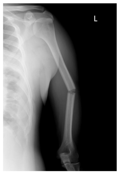
<p>What type of fracture?</p>

What type of fracture?

humeral, mid-shaft, diaphyseal, simple, complete

28
New cards

General Management Goals 

Restoration of the function and cosmesis in the shortest time possible

  • reduction of the fracture 

  • immobilization and maintenance of the reduction 

  • early restoration of function

29
New cards

Factors Affecting the Rate of Healing

  1. age

  2. extent/ type/ location of fracture

  3. area of contact and accuracy of reduction

30
New cards

Complications of Fx

  • synostosis 

  • malalignment 

  • delayed and non-union (pseudarthrosis)

  • skin issues 

  • vascular compromise 

  • refracture 

  • poor muscle strength and ROM

  • nerve palsy infection

31
New cards

Synostosis

fusion of separate bones

32
New cards

Pseudarthrosis

false joints

33
New cards

Objectives of Orthotic Management

  • successful union through early graded function in fracture orthosis capable of responding to volume changes 

    • Sarmiento Principle 

  • control angular, torsional, and compressive stresses 

  • permit joint function 

  • support and stabilize pseudarthroses

34
New cards

General Principles of Fracture Management

Long Bones

  • employ fluid mechanics

    • Sarmiento Principle 

  • Closed volume - fracture brace with viscous fluid tissue - optimum healing environment

General

  • Rule of Thirds

35
New cards

Rule of Thirds

if the third of the bone closest to a joint is broken the next segment must be braced (immobilized)

36
New cards
<p>Clavicle Fx </p>

Clavicle Fx

  • usually benign 

  • rare - can also puncture the trachea causing acute dyspnea

37
New cards

Clavicle Shaft Fx 

  • most common - Greenstick or Complete 

  • unites quickly - almost always a mal-union

  • treatment is with a figure eight harness for comfort not union 

  • following union - ossification results in a visible anterior lump

<ul><li><p>most common - Greenstick or Complete&nbsp;</p></li><li><p>unites quickly - almost always a mal-union</p></li><li><p>treatment is with a figure eight harness for comfort not union&nbsp;</p></li><li><p>following union - ossification results in a visible anterior lump</p></li></ul><p></p>
38
New cards

Intervention for Clavicle Fx 

Figure 8 Harness 

Sling 

<p>Figure 8 Harness&nbsp;</p><p>Sling&nbsp;</p>
39
New cards

Scapula Fx

  • associated with high energy/trauma

  • other injuries to head, clavicle, spine, ribs 

  • more commonly seen for chronic dislocation or separation 

  • very rarely treated orthotically 

  • immobilization and sling

<ul><li><p>associated with high energy/trauma </p></li><li><p>other injuries to head, clavicle, spine, ribs&nbsp;</p></li><li><p>more commonly seen for chronic dislocation or separation&nbsp;</p></li><li><p>very rarely treated orthotically&nbsp;</p></li><li><p>immobilization and sling</p></li></ul><p></p>
40
New cards

Humeral Fx

  • proximal 1/3 - immobilize shoulder through traction immobilization or Statue of Liberty cast 

  • mid-shaft without significant angulation can use fx brace 

  • distal 1/3 - immobilize elbow 

<ul><li><p>proximal 1/3 - immobilize shoulder through traction immobilization or Statue of Liberty cast&nbsp;</p></li><li><p>mid-shaft without significant angulation can use fx brace&nbsp;</p></li><li><p>distal 1/3 - immobilize elbow&nbsp;</p></li></ul><p></p>
41
New cards

Options for a Humeral Fx other than Statue of Liberty cast?

knowt flashcard image
42
New cards
<p>Circumferential and clam-shell style humeral fx bracing</p>

Circumferential and clam-shell style humeral fx bracing

knowt flashcard image
43
New cards

Elbow Dislocations/Fractures

  • possible orthotic treatment - humeral/forearm fracture brace system

  • used with joints

  • used with arm sling 

  • often internally fixated - pins/intramedullary rods 

  • sometimes traction immobilization

44
New cards

Elbow Traction Devices 

knowt flashcard image
45
New cards

Forearm - Radial/Ulnar

  • BBF - both bone fracture usually requires percutaneous pinning

  • proximal third radial or ulnar - immobilize elbow 

  • mid forearm radial/ulnar BBF 

  • Distal third of forearm (radial ulnar of BBF)

    • immobilize the wrist 

    • align wrist at 0 degrees extension - not functional position

    • fracture orthosis with palmar extension (pre-fab)

<ul><li><p>BBF - both bone fracture usually requires percutaneous pinning </p></li><li><p>proximal third radial or ulnar - immobilize elbow&nbsp;</p></li><li><p>mid forearm radial/ulnar BBF&nbsp;</p></li><li><p>Distal third of forearm (radial ulnar of BBF)</p><ul><li><p>immobilize the wrist&nbsp;</p></li><li><p>align wrist at 0 degrees extension - not functional position </p></li><li><p>fracture orthosis with palmar extension (pre-fab)</p></li></ul></li></ul><p></p>
46
New cards
<p>What was the mechanism of injury for this x-ray?</p>

What was the mechanism of injury for this x-ray?

FOOSH - fall on outstretched hand 

47
New cards

BBF

both bone fracture

48
New cards

Colles Fx

  • distal radius fx

  • brachioradialis - distal radius attachment, pronation/supination 

  • may require plates and screws if dislocated 

  • acute - cast above the elbow and below the elbow 

<ul><li><p>distal radius fx </p></li><li><p>brachioradialis - distal radius attachment, pronation/supination&nbsp;</p></li><li><p>may require plates and screws if dislocated&nbsp;</p></li><li><p>acute - cast above the elbow and below the elbow&nbsp;</p></li></ul><p></p>
49
New cards
<p>What is unique about this brace?</p>

What is unique about this brace?

It separates the radius from the ulna 

50
New cards

Colles Fx Interventions

knowt flashcard image
51
New cards

Wrist Fx

Scaphoid - snuff box pain

  • immobilize thumbs, fingers, and wrists up to the elbow 

  • controls pronation/supination

  • carpal row neutral? 

Fracture Orthosis with palmar extension aligned with wrist a 0 degrees extension - not a functional position 

<p>Scaphoid - snuff box pain </p><ul><li><p>immobilize thumbs, fingers, and wrists up to the elbow&nbsp;</p></li><li><p>controls pronation/supination</p></li><li><p>carpal row neutral?&nbsp;</p></li></ul><p></p><p>Fracture Orthosis with palmar extension aligned with wrist a 0 degrees extension - not a functional position&nbsp;</p><p></p>
52
New cards

Metacarpal Fx

Immobilize hand, fingers, and wrist.

WHFO pre-fab 

HO, MC fx Ox, pregab 

<p>Immobilize hand, fingers, and wrist. </p><p>WHFO pre-fab&nbsp;</p><p>HO, MC fx Ox, pregab&nbsp;</p>
53
New cards

Digit Fx

  • Buddy splint 

  • finger strips/splints 

    • FO, PIP, DIP, Static, Pre-fab 

  • volar strut stabilization 

<ul><li><p>Buddy splint&nbsp;</p></li><li><p>finger strips/splints&nbsp;</p><ul><li><p>FO, PIP, DIP, Static, Pre-fab&nbsp;</p></li></ul></li><li><p>volar strut stabilization&nbsp;</p></li></ul><p></p>
54
New cards

Rehabilitation

  • patient education is critical

  • atrophy may occur

  • PT and OT are essential for certain injuries 

    • exercises and ROM may be limited by MD 

  • Functional bracing - predicated on premise that physiologically induced motion at Fx site is conducive to osteogenesis 

    • immobilization of adjacent joint and rigid fixation can deter healing 

  • continual compression of the soft tissue is essential for maintenance of alignment and edema reduction 

  • frequent x-rays may be necessary as well as instructions to discontinue orthosis 

Explore top flashcards

AP Lit-List #10
Updated 624d ago
flashcards Flashcards (20)
BIO 271 Exam 2
Updated 821d ago
flashcards Flashcards (196)
Operations Syllabus
Updated 810d ago
flashcards Flashcards (20)
INTB 200 Exam 2
Updated 495d ago
flashcards Flashcards (65)
CHEM
Updated 53m ago
flashcards Flashcards (30)
AP Lit-List #10
Updated 624d ago
flashcards Flashcards (20)
BIO 271 Exam 2
Updated 821d ago
flashcards Flashcards (196)
Operations Syllabus
Updated 810d ago
flashcards Flashcards (20)
INTB 200 Exam 2
Updated 495d ago
flashcards Flashcards (65)
CHEM
Updated 53m ago
flashcards Flashcards (30)