1/52
Looks like no tags are added yet.
Name | Mastery | Learn | Test | Matching | Spaced | Call with Kai |
|---|
No analytics yet
Send a link to your students to track their progress
Adipose connective tissue location
Under skin, around kidneys and eyeballs, in abdomen

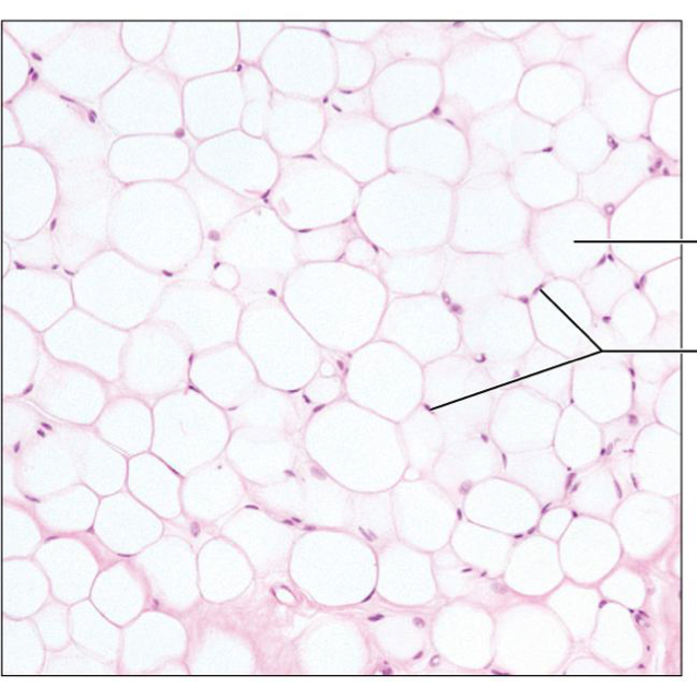
What tissue is this?
Adipose connective tissue
Reticular connective tissue description
“Grape vines”
Reticular connective tissue Function
Supports other cells
Reticular connective tissue Location
Lymph nodes, bone marrow, spleen

What tissue is this?
Reticular connective tissue
Regular connective tissue function
Attaches muscle/muscle, bone/bone, muscle/bone
Regular connective tissue Location
Tendons, ligaments

What tissue is this
Regular connective tissue
Elastic connective tissue function
Allow stretching, maintain blood flow
Elastic connective tissue Location
Large arteries, bronchial tubes

What tissue is this?
Elastic connective tissue
Irregular connective tissue function
Withstand tension in many directions, provide structure strength
Irregular tissue location
Fibrous capsules of organs and joints, dermis of skin

What tissue is this
Irregular connective tissue
Hyaline cartilage description
Firm matrix, lacunae
Hyaline cartilage Function
Support and reinforce, resisters compressive stress
Hyaline cartilage Location
Ends of long bones, costal cartilages, cartilages of the face

What tissue is this
Hyaline cartilage
Elastic cartilage function
Maintain shape while allowing flexibility
Elastic cartilage Location
Ear lobe, epiglottis

What tissue is this
Elastic cartilage
Fibrocartilage description
Thick collegian fibers in matrix
Fibrocartilage Function
Strength with ability to absorb shock
Fibrocartilage Location
Intervertebral disks, pubic symphysis, knee joint

What tissue is this
Fibrocartilage

What tissue is this
Blood

What tissue is this
Nervous tissue
Skeletal muscle Description
Long, multinucleate cells, striations
Skeletal muscle Function
Voluntary movement

What tissue is this
Skeletal muscle
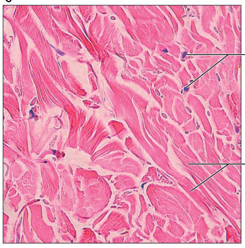
Cardiac muscle tissue description
Striated, uninucleate cells with intercalated discs

What tissue is this
Cardiac tissue
Smooth muscle tissue Description
No striations, cells in sheets
Smooth muscle tissue Function
Involuntary movement
Smooth muscle tissue Location
Hallow walls of organs

What tissue is this
Smooth muscle tissue
Stratum corneum layer nickname
Horny layer
Horny layer description
20-30 layers of dead, keratinized cells
Stratum Lucidum layer nickname
Clear layer
Clear layer description
Only present in thick skin regions, keratin formation
Stratum Granulosum layer nickname
Granular layer
Granular layer description
Keratinohyaline granules, keratinization occurs, free nerve endings
Stratum Spinosum nickname
Spiny layer
Spiny layer description
Mainly keratinocytes with Langerhan’s cells
Stratum Basal layer nickname
Basal layer
Basal layer description
Mitosis, Merkel’s cells, melanocytes
Skin layers order (top-bottom)
Horny, clear, granular, spiny, basal

1
Stratum corneum

2
Stratum lucidum

3
Stratum Granulosum

4
Stratum spinosum

5
Stratum basale