1/26
Looks like no tags are added yet.
Name | Mastery | Learn | Test | Matching | Spaced |
|---|
No study sessions yet.
Vilka är de primära och sekundära lymfoida organen?
Primära: Organ som genererar utmognaden av naiva lymfocyter; thymus och benmärgen.
Sekundära: Perifera organ som är lymfnoder, mjälten och det mukosala immunförsvaret. Här sker antigenpresentation för naiva lymfocyter.
Vad sker i benmärgen och vilka faktorer stimulerar?
I benmärgen mognar alla cirkulerande blodceller (lymfoida och myeloida) genom hematopoes.
Mognaden stimuleras av olika colony stimulating factors (CSF):
IL-3
IL-7
G-CSF (granulocyt)
GM-CSF (granulocyt makrofag)

Vad är benmärgens histologi?
Benmärgen består av:
Ben
Parenkym: här finns stamceller
Fett (adipocyter)


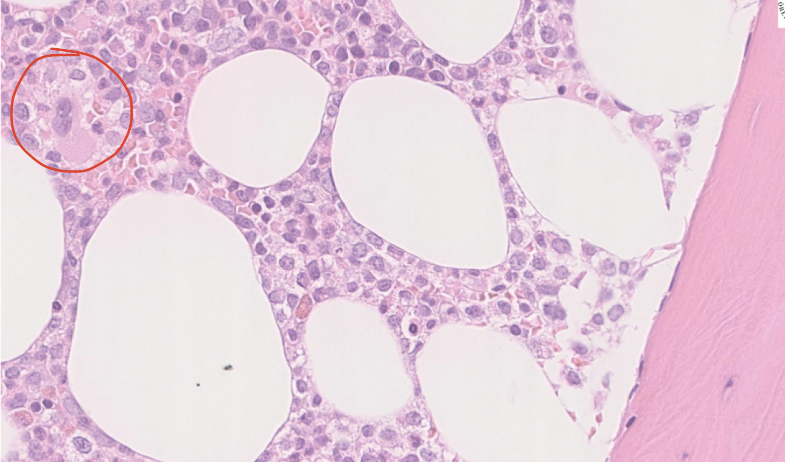
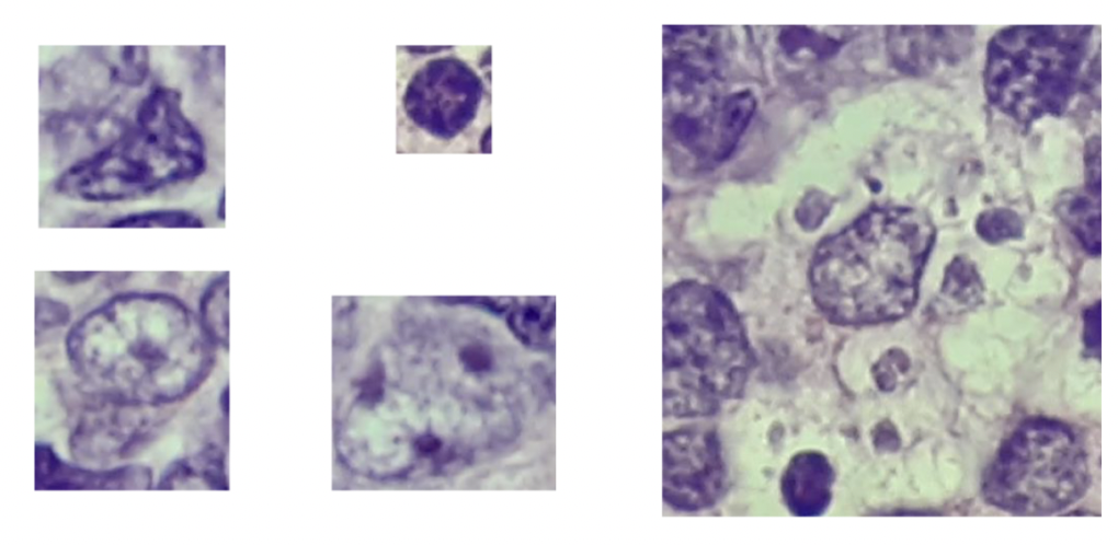
Vad är detta för cell?
Megakaryocyt. Större och loberad cell.
Vad är reticulin?
Samma sak som kollagen typ III. Huvudsakligen det kollagen som finns i lymfoida vävnad.

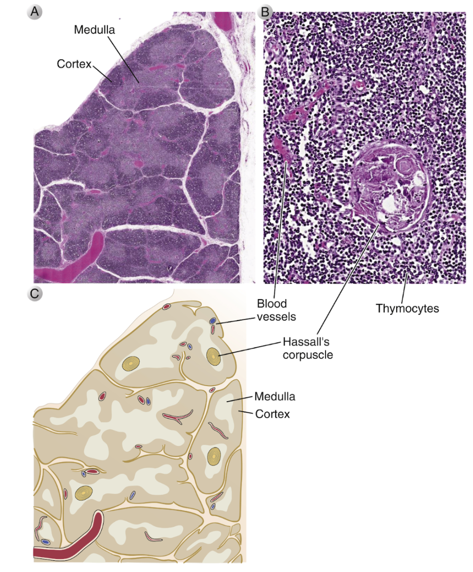
Vad sker i thymus och vad är dess struktur?
Thymus består av flera lober septerade med fibrösa septa. I varje lob finns cortex och medulla.
Cortex: Består av omogna tymocyter med ursprung från benmärg. Kortikala epitelceller som producerar IL-7 för mognad.
Medulla: Medullära epitelceller som uttrycker AIRE. Färre tymocyter och mer dendritceller och makrofager med benmärgs-usprung.
Efferenta lymfkärl kommer att dränera thymus till mediastinala lymfnoder.

Vilket embryonalt ursprung har thymus?
Man tror att thymus kommer från endodermet. Epitelcellerna har ektodermalt ursprung.

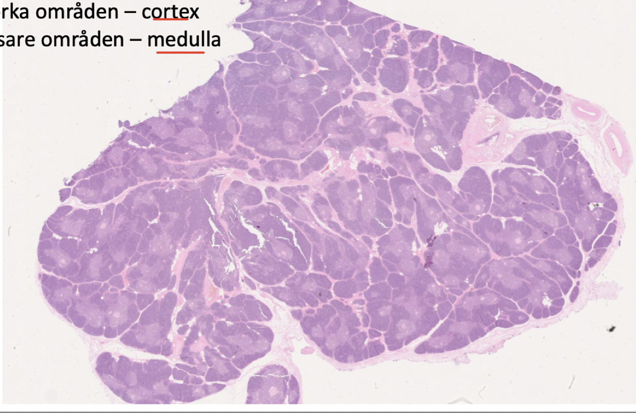
Vad är thymus histologi och hur förändras den med tiden?
Cortex: Mörkare område, mest tymocyter.
Medulla: Ljusare område, lymfocyter men även makrofager och dendritceller.
När man blir äldre byts mycket av parenkymet ut mot fett.

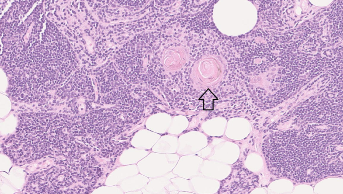
Vad är Hassallsk korpuskel?
Finns endast i thymus. Tätt packade epitelceller. På bilden syns även mycket fett.

Vilken struktur har lymfnoder?
Inkapslade strukturer med fibrösa kapslar. Under kapseln finns ett sinus där afferenta lymfkärl tömmer sig med DC. I sinuset finns makrofager.
Ytterst finns ett cortex med folliklar berikat med B-celler. Folliklarna kan antingen ha ett GC eller inte.
Sedan finns ett parafollikulärt cortex med mestadels T-celler. De kommer dit via HEVs.

Hur bildas T- och B-cellszonen i lymfnoderna?
Migreringen av olika lymfocyter styrs av kemokiner:
T-cellzon: Här finns fibroblastiska retikulärceller (FRC) som producerar CCL19 och CCL21.
B-cellszon: Här finns follikulära dendritceller (FDC) med fibroblast-ursprung. De producerar CXCL13.

Vad är lyfnodens histologi?
Rött: Kärl.
Blått: efferent lymfkärl.
Svart: Sinus.
Cirkel: Primärfollikel.
Hexagon: Paracortex (T-cellszon).
Rektangel: Medulla.

Hur ser en aktiverad lymfnod ut?

Vad är germinalcentrats histologi?
den består av olika zoner:
Dark zone: Mer centeroblaster. Lite mörkare.
Light zone: Mer centerocyter, FDC och makrofager. Ljusare.
Mantelzon: Små B-lymfocyter med väldigt mörk kärna och sparsam cytoplasma.


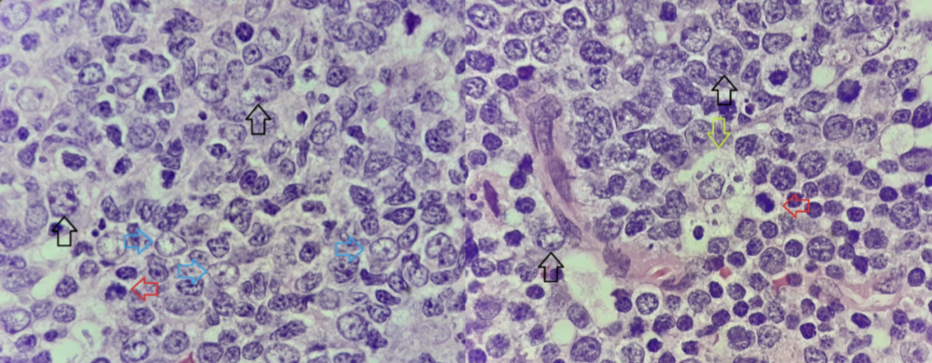
Vilka celler finns i GC?
Centerocyt: Finns i dark zone. Små mröka celler med lite cytoplasma. De är kantiga.
Centeroblast (svart): Större och blekare celler med 1-3 nukleoler längst cellmembranet.
FDC (blå): Blekt kromatin, EN central nukleol. Cellerna runtomkring har en tillplattad cellkärna.
Tingible body makrofag (grön): Stora och ljusa med flera celler inuti.
Det röda är mitoser.


Vad pekar pilarna på?
Grön: Makrofag.
Blå: FDC.
Röd: Mitoser.
Svart: Centeroblast.

Vilka är dessa celler?
Nämn alla celler.
Vad är mjältens struktur?
Mjälten består av två delar:
Vit pulpa: Omger centrala artärer som förgrenar sig och dränerar i marginalsinus. T-lymfocyter finns i PALS (periarteriol lymfoid sheaths). B-lymfocyter finns i marginalsinus tillsammans med makrofager.
Röd pulpa: Vaskuläriserat (sinusoider).

Vad är mjältens histologi?
Grön: Fibrös kapsel.
Röd: Trabekler.
Vit ring: Vit pulpa.
Svart: Kärl

Vilka zoner delas den vita pulpan upp i?
GC: Aktiverade B-celler.
Mantel.
MZ: Marginalzon. Här dränerar blodet.
PALS: T-lymfocyter kring en förgrenad central arteriol.


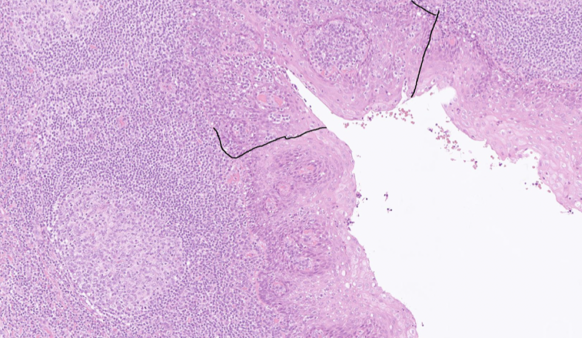
Vad är detta för organ?
Tonsill. En MALT.
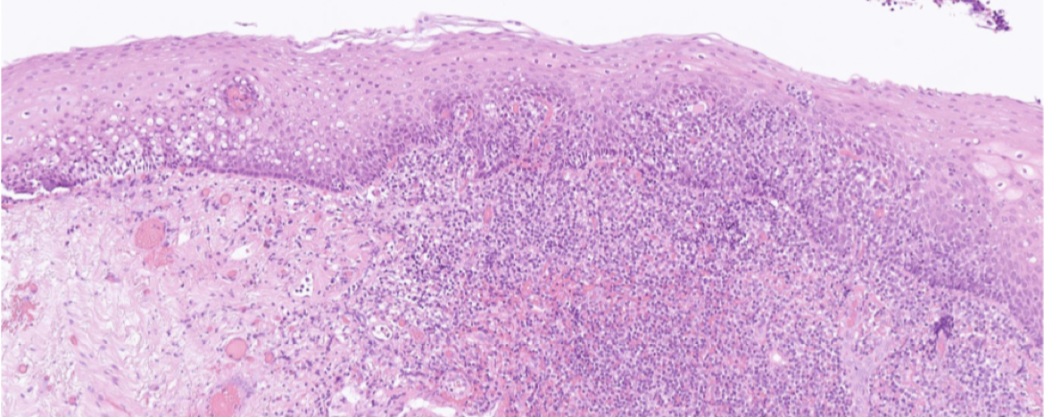
Vilket epitel har tonsillerna?
Tonsillerna har skivepitel, det enda lymfoida organet med skivepitel. Finns ett lager med basalceller längst in.

Vad är en tonsillkrypta och vad finns där?
I en tonsillkrypta finns retikulärt epitel. Det är mer permeabelt för lymfocyter, i epitelet finns residenta lymfocyter.

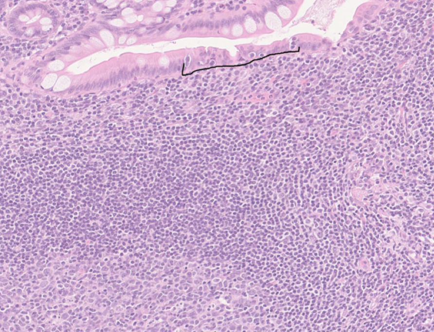
Vad är peyerska plack?
De finns främst i ileum och bildar germinalcentra. De består av flera folliklar och har embryonalt ursprung.

Vad är M-celler?
M-celler finns ovanför peyerska plack och släpper igenom lymfocyter till lumen.

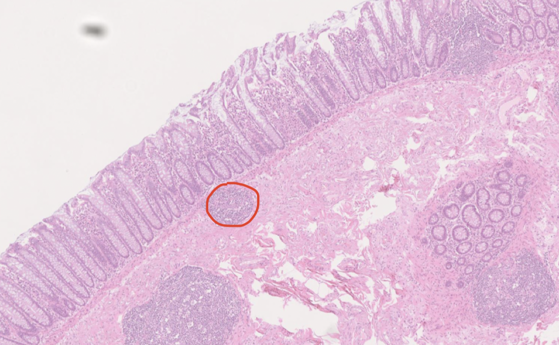
Var finns lymfocyter i colon?
I lamina propria finns ansamlingar av mogna lymfocyter.

Vad är tertiära lymfoida organ?
Det är bildandet av germinalcentra utanför de sekundära lymfoida organen. Det sker exempelvis vid autoimmun sjukdom eller kronisk inflammation. Kan finnas i tex appendix, urinblåsa och gallblåsa.