08.G BIO, HN Nondisjunction Disorders (PART G)

0.0(0)
Studied by 0 people
call kaiCall Kai
learnLearn
examPractice Test
spaced repetitionSpaced Repetition
heart puzzleMatch
flashcardsFlashcards
GameKnowt Play
Card Sorting

1/9

encourage image

There's no tags or description

Looks like no tags are added yet.

Last updated 7:46 PM on 9/9/25
Name
Mastery
Learn
Test
Matching
Spaced
Call with Kai

No analytics yet

Send a link to your students to track their progress

10 Terms

1
New cards

Nondisjunction

An error in meiosis or mitosis in which members of a pair of homologous chromosomes or a pair of sister chromatids fail to separate properly from each other; results in the production of zygotes with abnormal chromosome numbers

<p>An error in meiosis or mitosis in which members of a pair of homologous chromosomes or a pair of sister chromatids fail to separate properly from each other; results in the production of zygotes with abnormal chromosome numbers</p>
2
New cards

Monosomy

A chromosomal abnormality consisting of the absence of one chromosome from the normal diploid number

<p>A chromosomal abnormality consisting of the absence of one chromosome from the normal diploid number</p>
3
New cards

Trisomy

A chromosomal abnormality consisting of an extra copy of a chromosome from the normal diploid number, causes developmental abnormalities

<p>A chromosomal abnormality consisting of an extra copy of a chromosome from the normal diploid number, causes developmental abnormalities</p>
4
New cards

Amniocentesis

A technique of prenatal diagnosis in which amniotic fluid, obtained by aspiration from a needle inserted into the uterus, is analyzed to detect certain genetic and congenital defects in the fetus

<p>A technique of prenatal diagnosis in which amniotic fluid, obtained by aspiration from a needle inserted into the uterus, is analyzed to detect certain genetic and congenital defects in the fetus</p>
5
New cards

Karyotyping

A process in which metaphase chromosomes are stained, ordered, and numbered according to size, arm-length ratio, and banding pattern; used to detect genetic abnormalities; can be performed on a sample of blood, bone marrow, amniotic fluid, or placental tissue

<p>A process in which metaphase chromosomes are stained, ordered, and numbered according to size, arm-length ratio, and banding pattern; used to detect genetic abnormalities; can be performed on a sample of blood, bone marrow, amniotic fluid, or placental tissue</p>
6
New cards

Human Karyotype

Diploid cells in humans have 23 sets of homologous chromosomes; each homologous set is made up of 2 homologues; sets 1-22 are autosomes and determine most of the traits; set 23 consists of the sex chromosomes

<p>Diploid cells in humans have 23 sets of homologous chromosomes; each homologous set is made up of 2 homologues; sets 1-22 are autosomes and determine most of the traits; set 23 consists of the sex chromosomes</p>
7
New cards

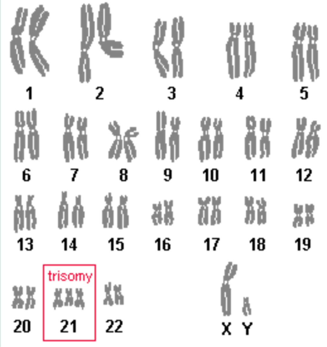
Down's Syndrome (Trisomy 21)

One of most common genetic disorder caused by chromosomal abnormality; babies born with three copies of chromosome 21; 90% cases the extra chromosome comes from the egg; affects 1 out of every 800 - 1000 babies born; occurs more frequently in women older than 35; symptoms include flat face, small broad nose, abnormal ears, large tongue, upward slanting eyes with small folds; increased risk of developing respiratory infections, gastro-intestinal obstructions, leukemia, heart defects, moderate to severe mental retardation; decreased life expectancy → only ½ live to 50

<p>One of most common genetic disorder caused by chromosomal abnormality; babies born with three copies of chromosome 21; 90% cases the extra chromosome comes from the egg; affects 1 out of every 800 - 1000 babies born; occurs more frequently in women older than 35; symptoms include flat face, small broad nose, abnormal ears, large tongue, upward slanting eyes with small folds; increased risk of developing respiratory infections, gastro-intestinal obstructions, leukemia, heart defects, moderate to severe mental retardation; decreased life expectancy → only ½ live to 50</p>
8
New cards

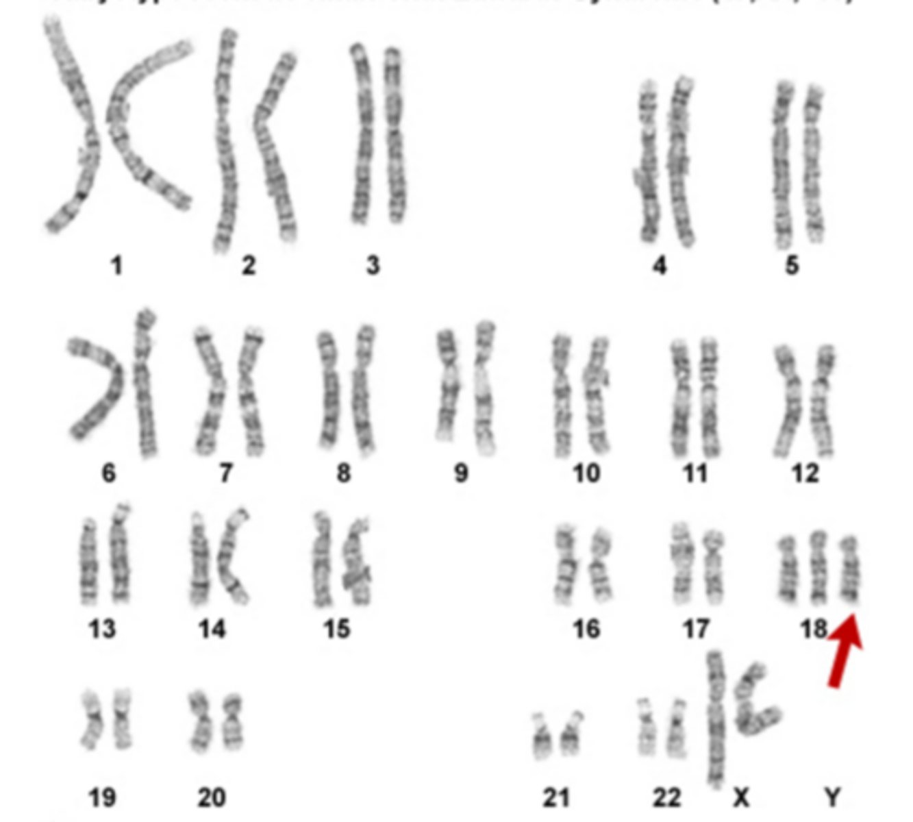
Edward's Syndrome (Trisomy 18)

A genetic disorder in which three copies of chromosome 18 are inherited; affects 1 out of every 5000 live-born infants; only 5- 10% of children with syndrome live past the first year; more common in pregnancy but most die before birth; 3x more common in girls than boys; Associated with abnormalities in many parts of the body; babies that survive have severe intellectual disabilities; experience slow growth before birth, low birth weight, heart defects; symptoms also include small abnormal shaped head, a small jaw and mouth, clenched fists with overlapping fingers

<p>A genetic disorder in which three copies of chromosome 18 are inherited; affects 1 out of every 5000 live-born infants; only 5- 10% of children with syndrome live past the first year; more common in pregnancy but most die before birth; 3x more common in girls than boys; Associated with abnormalities in many parts of the body; babies that survive have severe intellectual disabilities; experience slow growth before birth, low birth weight, heart defects; symptoms also include small abnormal shaped head, a small jaw and mouth, clenched fists with overlapping fingers</p>
9
New cards

Turner's Syndrome (Monosomy 23 - X)

A genetic disorder in which females have a missing or incomplete X chromosome; the missing genes affected are involved in growth and development; affects 1 out of 2000-2500 female babies born; 75-80% cases the single X comes from the egg and and the sperm is missing the X chromosome; females affected are shorter than normal with an average height 4' 8"; arms are turned out slightly at elbow, receding lower jaw and short webbed neck; experience swelling of hands and feet, heart and kidney defects, high blood pressure, infertility

<p>A genetic disorder in which females have a missing or incomplete X chromosome; the missing genes affected are involved in growth and development; affects 1 out of 2000-2500 female babies born; 75-80% cases the single X comes from the egg and and the sperm is missing the X chromosome; females affected are shorter than normal with an average height 4' 8"; arms are turned out slightly at elbow, receding lower jaw and short webbed neck; experience swelling of hands and feet, heart and kidney defects, high blood pressure, infertility</p>
10
New cards

Klinefelter's Syndrome (Trisomy 23 - XXY)

One of most common genetic disorders; male babies are born with an extra X chromosome but typically no symptoms are apparent until puberty; referred to as trisomy 23 (XXY); affects 1 out of every 500 - 1000 males; the extra X chromosome primarily affects the testes, which produce sperm and the male hormone testosterone; lack of testosterone prevents males from exhibiting secondary sex characteristics like facial and body hair and most are sterile; individuals affected are often less muscular, may have learning disabilities; often treated with hormone replacement therapy

<p>One of most common genetic disorders; male babies are born with an extra X chromosome but typically no symptoms are apparent until puberty; referred to as trisomy 23 (XXY); affects 1 out of every 500 - 1000 males; the extra X chromosome primarily affects the testes, which produce sperm and the male hormone testosterone; lack of testosterone prevents males from exhibiting secondary sex characteristics like facial and body hair and most are sterile; individuals affected are often less muscular, may have learning disabilities; often treated with hormone replacement therapy</p>

Explore top notes

note
Chapter 10: Mass and Moles
Updated 1065d ago
0.0(0)
note
Exam 2 Study Guide (1)
Updated 519d ago
0.0(0)
note
La Familia Level 1
Updated 1159d ago
0.0(0)
note
Allotropes of Carbon
Updated 1218d ago
0.0(0)
note
Chapter 16: Cytoskeleton
Updated 986d ago
0.0(0)
note
1.1 Intro to Business
Updated 1227d ago
0.0(0)
note
Chapter 10: Mass and Moles
Updated 1065d ago
0.0(0)
note
Exam 2 Study Guide (1)
Updated 519d ago
0.0(0)
note
La Familia Level 1
Updated 1159d ago
0.0(0)
note
Allotropes of Carbon
Updated 1218d ago
0.0(0)
note
Chapter 16: Cytoskeleton
Updated 986d ago
0.0(0)
note
1.1 Intro to Business
Updated 1227d ago
0.0(0)

Explore top flashcards

flashcards
Appendicular skeleton
89
Updated 907d ago
0.0(0)
flashcards
Endocrine System
49
Updated 1190d ago
0.0(0)
flashcards
Do now vocab (47)
47
Updated 466d ago
0.0(0)
flashcards
APUSH Period 4 Vocabulary
46
Updated 1168d ago
0.0(0)
flashcards
EXPH0300
108
Updated 1047d ago
0.0(0)
flashcards
gov final yay
64
Updated 431d ago
0.0(0)
flashcards
Appendicular skeleton
89
Updated 907d ago
0.0(0)
flashcards
Endocrine System
49
Updated 1190d ago
0.0(0)
flashcards
Do now vocab (47)
47
Updated 466d ago
0.0(0)
flashcards
APUSH Period 4 Vocabulary
46
Updated 1168d ago
0.0(0)
flashcards
EXPH0300
108
Updated 1047d ago
0.0(0)
flashcards
gov final yay
64
Updated 431d ago
0.0(0)