1/11
Looks like no tags are added yet.
Name | Mastery | Learn | Test | Matching | Spaced | Call with Kai |
|---|
No analytics yet
Send a link to your students to track their progress
Oligodendrocytes?
Create myelin sheaths that protect CNS neurons
Microglial Cells?
Moves like an ameba
Provides immune system support by using phagocytosis to remove pathogens
Astrocytes?
Forms part of the blood-brain barrier
Most common type
Have numerous processes that support neurons and connect them to rich capillaries
Ependymal Cells?
Line brain ventricles and central canal of spinal cord
Schwann cells?
Creates myelin sheaths around axons in the PNS
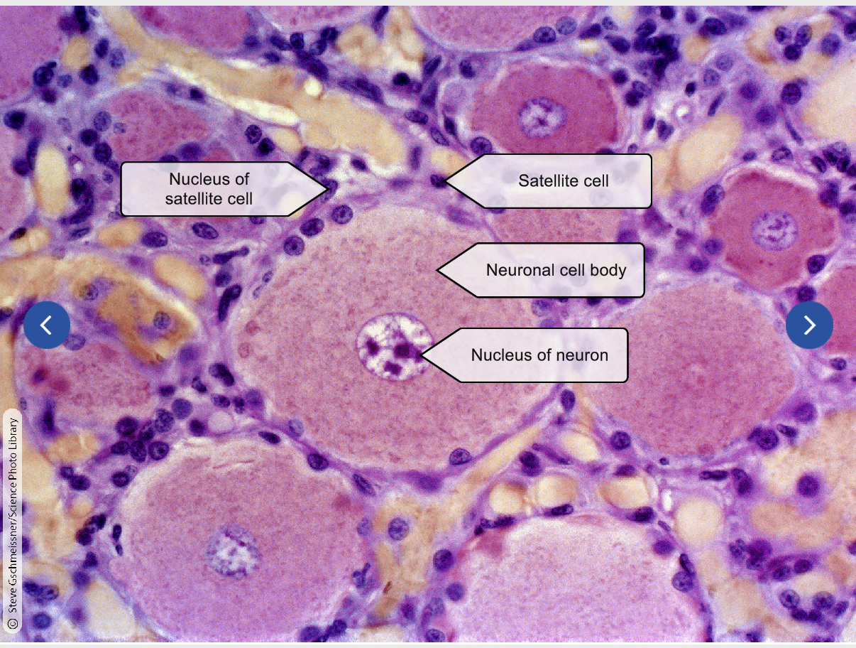
Satellite cells
Enclose cell bodies of peripheral neurons and regulate their internal environment
Ependymal Cell

Astrocytes

Oligodendrocytes

Satellite Cells

Microglia

Schwann Cell
