Bio 151. UW Madison. Exam 1

0.0(0)
studied byStudied by 0 people
0.0(0)
full-widthCall with Kai
GameKnowt Play
New
learnLearn
examPractice Test
spaced repetitionSpaced Repetition
heart puzzleMatch
flashcardsFlashcards
Card Sorting

1/104

encourage image

There's no tags or description

Looks like no tags are added yet.

Study Analytics
Name
Mastery
Learn
Test
Matching
Spaced

No study sessions yet.

105 Terms

1
New cards

ATP stands for...

adenosine triphosphate

2
New cards

Macromolecules

polymers built from monomers

3
New cards

long molecule consisting of similar or identical building blocks

-typer of bonding: covalent

polymer

4
New cards

true or false: lipids are chain like molecules

false

5
New cards

Dehydration rxn

-synthesizing a polymer

removes H2O molecule , forms a new bond

6
New cards

Hydrolysis

-breaking down a polymer

-adds H2O molecule, breaks bond

7
New cards

Important macromolecules

-sugars

-lipids

-proteins

8
New cards

Sugars

-monosaccharides

-disaccharides

-polysaccharides

9
New cards

example of monosaccharides

glucose

galactose

fructose

10
New cards

disaccharides are two monosaccharides joined together by

glycosidic linkage

11
New cards

glycosidic linkage

a covalent bond formed by dehydration rxn.

12
New cards

cite polysaccharides

-starch

-glycogen

-cellulose

-chatin

13
New cards

-Little to no branching, stored in plants, slower energy but lasts longer

-stores glucose

starch

structure

function

14
New cards

-a lot of branching

-faster energy

-stores glucose for energy

glycogen

15
New cards

-straight fiber

-structure of plant cell walls

cellulose

16
New cards

-animals and fungi

-strengthens cell wall

chatin

17
New cards

Fats are constructed by

glycerol and fatty acids

18
New cards

glycerol is a

an alcohol each of its 3 Cs has a hydroxyl group

19
New cards

3 types of lipids

-triglycerols

-phospholipids

-steroids

20
New cards

energy source

one glycerol and 3 fatty acids

triglycerols

21
New cards

bilayers of membrane

head of P with 2 fatty acids

phospholipids

22
New cards

-component of cell membranes,

-signal molecules that travel through body

-fused rings

steroids

23
New cards

saturated fats and why are they worse for you?

because its trans structure they pack together, they form a solid and clog arteries.

24
New cards

unsaturated fats

they don't pack together because of their cis-configuration

25
New cards

function of protein

-enzymatic

-defensive

-Storage of amino acids

-transport

-hormonal

-receptor: stimuli

-motor

-structural

26
New cards

Polypeptides are made out of

peptide bonds

27
New cards

peptide bonds

amino acids joined together. COOH group is adjacent to amino group

28
New cards

protein structure 1

-long chain of amino acids

29
New cards

protein structure 2

1. Interactions of nearby amino acids

2. a helix and B sheet

3. Stabilized through hydrogen bonding

30
New cards

protein structure 3

1.interactions between side chains

2. 3D shape of protein

31
New cards

protein structure 3 bonds

-disulfide bonds

-vandeer waals

-ionic and H bonding

32
New cards

protein structure 4

-many polypeptide chains together

33
New cards

Chaperonin

-helps protein shape into right shape (denaturation)

-slow folding

-hydrophobic environment when the protein goes in

34
New cards

two types of nucleic acids

RNA, DNA

35
New cards

Gene expression

DNA directs RNA synthesis and controls protein synthesis

36
New cards

Components of nucleic acids

-Nitrogenous base

-sugars

-phosphate group

37
New cards

Nitrogenous bases in nucleotide

- (C)ytosine

- (T)hymine---(DNA)

-(U)racil---- (RNA)

-(A)denine

-(G)uanine

38
New cards

Sugars (nucleotides)

-Deoxyribose

-Ribose

39
New cards

DIfference between Deoxyribose and Ribose

Deoxyribose lacks an oxygen atom

40
New cards

Thin section of specimen

Reveals internal structure

Cross sections

TEM

41
New cards

3D image of the surface of a specimen

SEM

42
New cards

SEM

knowt flashcard image
43
New cards

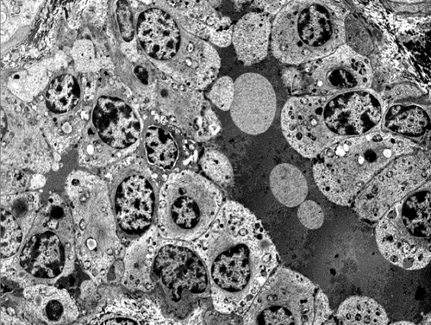
TEM

knowt flashcard image
44
New cards

Differences between Eukarytic and prokaryotic cells

eu: nucleus

pro: nucleoid

45
New cards

Nucleus size, structure, function

5micrometers, nuclear envelope double membrane, lamina

- information central : DNA

46
New cards

Chromatin:

complex of DNA and proteins making up chromosomes

47
New cards

Ribosomes

-Protein factory

-No membrane

-can be floating, bound to ER or nucleus envelope

48
New cards

Endoplasmatic reticulum

smooth: -detox

-synthesis of lipids/ metabolism of carbs

-store calcium ions

rough: -make secretory proteins

- membrane factory of cell

49
New cards

Golgi apparatus

-Shipping and receiving

- proteins are modified and store and sent to other destinations

-makes macromolecules

secreation

50
New cards

explain the making of membrane proteins

nucleus->nuclear pore->RER (ribosome)->cis golgi->leave thru trans golgi->membrane

51
New cards

what happens to "waste proteins"

lysosomes "Eat them"

52
New cards

difference between lysosomes and peroxysomes

-digestion

lysosomes: has proteases that only works on low ph

peroxisomes: uses redox reactions

53
New cards

mitochondria

-own DNA

-Double membrane

-ribosomes (so that it can make their own proteins)

-function: celular respiration (makes ATP)

-electro chemical gradient

54
New cards

what happens when trying to make actin?

Detour from the nucleus to the cytoplasm into the free ribosome floating around.

55
New cards

3 types of cytoskeleton

-microtubules

-microfilaments

-intermidiate filaments

56
New cards

Function of microtubules

-motility

-mantains cell shape

-can both push and pull. but main function: push

-strength

-no flexibility

-cell division

57
New cards

microfilaments

-what are they made of?

-function

-what do they use?

-made out of actin

-muscle contraction!!!

-can push and pull

-uses ATP

58
New cards

what makes microtubules?

tubulin

59
New cards

true or false

microtubules start at centrosome

true

60
New cards

What are microfilaments made out of

2 strands of actin

61
New cards

microfilaments functions

-cell shape

-muscle contraction

-cytoplasmatic streaming

-cell motility

62
New cards

Intermidiate filaments

Made out of fibrous proteins

63
New cards

functions

-cell shape

-anchorage of nucleus

-formation of nuclear lamina

64
New cards

Motion of flagella and motion of cilia

microtubules

65
New cards

How are membranes held together

hydrophobic interactions

66
New cards

what makes membrane fluid

unsaturated (cis) fats

67
New cards

functions of cholesterol

-reduces membrane fluidity

-reduces phospholipid movement

-Hinders solidification (low temps)

68
New cards

Functions of lipids and proteins in the membrane

-Transport

-Enzymatic

-signaling

-cell-cell recognition

-intercellular joining

-attachment to cytoskeleton and extracellular matrix

69
New cards

Pathway for making membrane

Nucleus->nucleus pore->RER (proteins and lipids syntehsized), glycogen is formed-> Cis golgi-> leaves thru trans golgi as glycolipids-> glycolipids are transported with vesicles ->membrane and release of secretory proteins

70
New cards

What is difussion?

-Movement of any particle into available space

-equilibrium

71
New cards

osmosis

difussion of free water across permeable membrane

72
New cards

Concentration gradient

the region along which the density of a chemical substance increases or decreases

73
New cards

type of solution that makes the cells lyse, swell and burst... little to no water...

hypotonic solution

74
New cards

type of solution that doesn't change the cell.

Isotonic solution

75
New cards

makes the cell shrivel/ more water

hypertonic solution.

76
New cards

Passive transport divides in:

-Difussion

-Facilitated difussion

77
New cards

-Transport proteins, serve as pumps

- Move things against concentration

- Energy supplied by ATP

Active transport

78
New cards

Steps of active transport

1. Na+ binds to pump

2. phosphorylation by ATP

3.change in protein shape. Na+ released outside 4. K+ binds on the side. P leaves

5. since P leaves, K leaves

6. K leaves and Na+ is high again

79
New cards

types of signaling

1. Paracrine

2. synaptic

3. endocrine (hormones)

80
New cards

Paracrine signaling acts on

-nearby target cell (it's a local regulator)

81
New cards

Synaptic signaling happens when

A nerve cell releases neurotransmitter molecules into synapse..

82
New cards

Endocrine signaling

Hormones reach all body cells.

83
New cards

Stages of signaling

1. Reception

2. Transduction

3. Response

84
New cards

G- protein coupled steps

1. Ligand binds to receptor (change of shape)

2. inactive G-protein binds receptor and switches for GTP

3. GTP binds to it and activates it

4. Enzyme activates proteins

85
New cards

True or false

G protein works for unlimited time

False

86
New cards

intracellular receptor

steps

1. pass thru membrane

2. bind to receptor proteins

3. receptor binds to gene in nucleus

4. transcription into mRNA

5. Translation

87
New cards

Secondary messenger

-non protein h2o molecules

-initiated by both tyrosine kinase and g protein

-example: cyclic amp

-leads to cellular activity

88
New cards

Receptor tyrosine kinase steps

1. ligand binds TK and activates it

2. Dimer creation

3. each tk add a Phosphate from ATP in the tail of a monomer

4. binding to phosphorulated tyrosine/ structural change.

89
New cards

Ion channel receptors steps

1. Ligand binds to receptor

2. ions flow thru and change concentration of ions

3. ligand dissociated and gate closes.

90
New cards

outcome of glycolysis

2ATP, 2NADH, 2pyruvate

91
New cards

Pyruvate oxidation outcome

Acetyl CoA

92
New cards

Krebs cycle net

2ATP

8NADH

6CO2

2 fadh2

93
New cards

Causes H to move outside of the mitochondrial matrix

stores energy as proton motor force

NADH is transformed into NADH+

ETC

94
New cards

H goes back into matrix

ATP synthase

adp->ATP

chemiosmosis

95
New cards

opening K+ channels in a resting neuron causes

hyperpolarization

96
New cards

hyperpolarization makes the inside of the membrane more...

negative

97
New cards

if a depolarization shifts the membrane potential sufficiently, the result of the massive change in membrane voltage is called

graded potential

98
New cards

Graded potential happens in the...

dendrites

99
New cards

action potential happens in...

the axon

100
New cards

What does action potential cause?

Na+ gates to open