1/55
Looks like no tags are added yet.
Name | Mastery | Learn | Test | Matching | Spaced | Call with Kai |
|---|
No analytics yet
Send a link to your students to track their progress

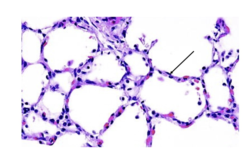
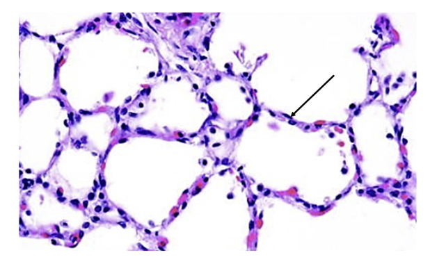
alveolar macrophage

larynx

diaphragm

ERV
Air moves out of the lungs when the pressure inside the lungs is:
less than atmospheric pressure.
equal to atmospheric pressure.
greater than atmospheric pressure.
less than intrapleural pressure.
greater than atmospheric pressure.

Identify C
Tertiary bronchi

Identify A
thyroid cartilage

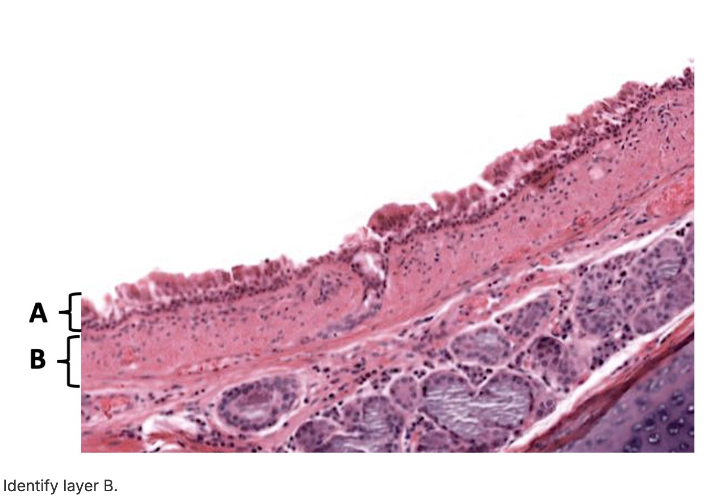
Identify B
left secondary bronchus

alveoli

submucosa

parietal pleura

larynx

trachea

superior nasal concha

diaphragm

left inferior lobe

ethmoid

identify the muscle labeled B
rectus abdominis

horizontal fissure

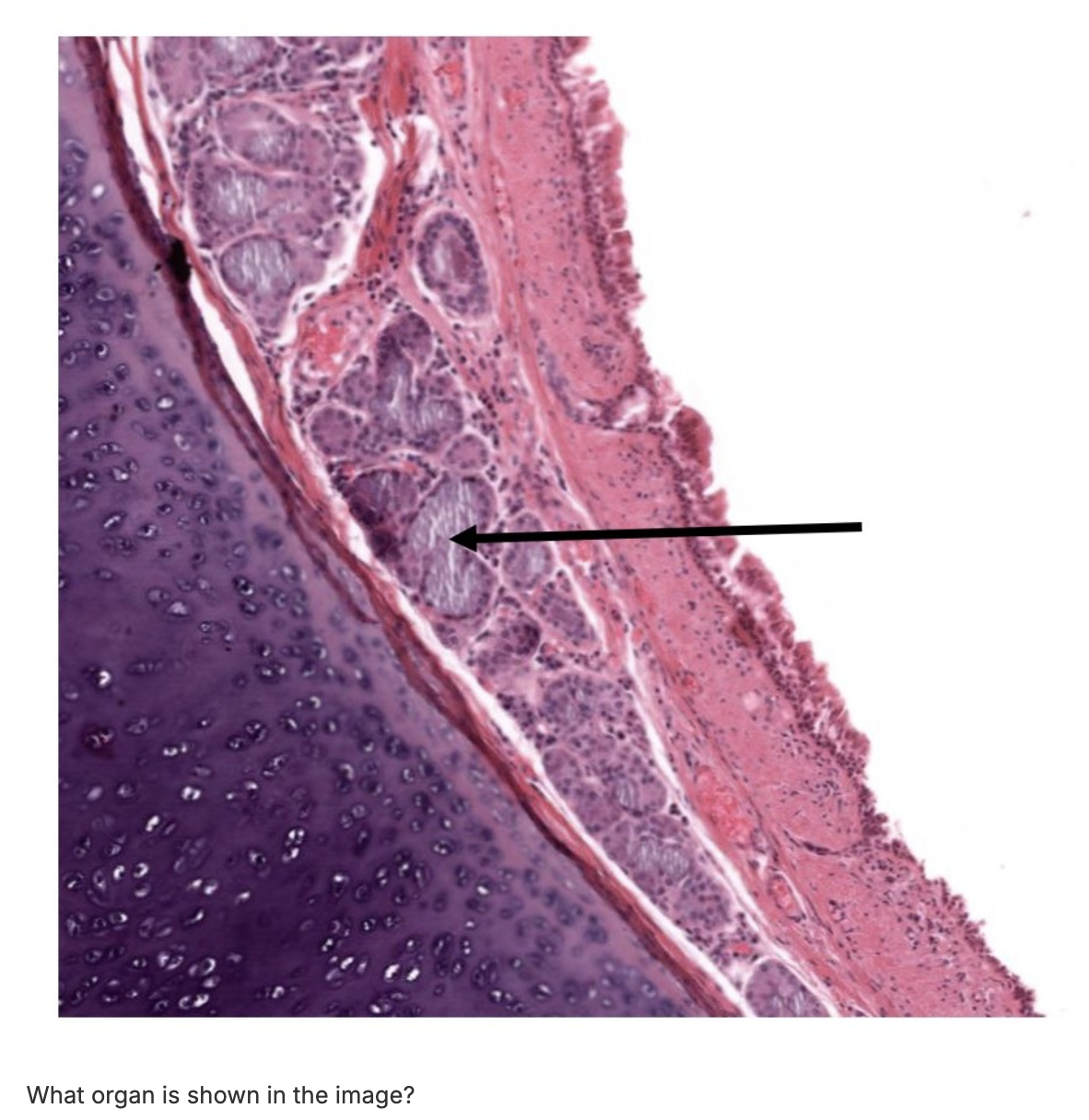
name the organ shown in this picture
lung
What statement best describes tidal volume?
Tidal volume is the air exhaled after normal inspiration.
Tidal volume is the air exchanged during normal breathing.
Tidal volume is the air remaining in the lungs after forced expiration.
Tidal volume is the air forcibly expelled after normal expiration.
Tidal volume is the air exchanged during normal breathing.

right superior lobe

left oblique fissure

right superior lobe

3

Thyroid cartilage

external obliques

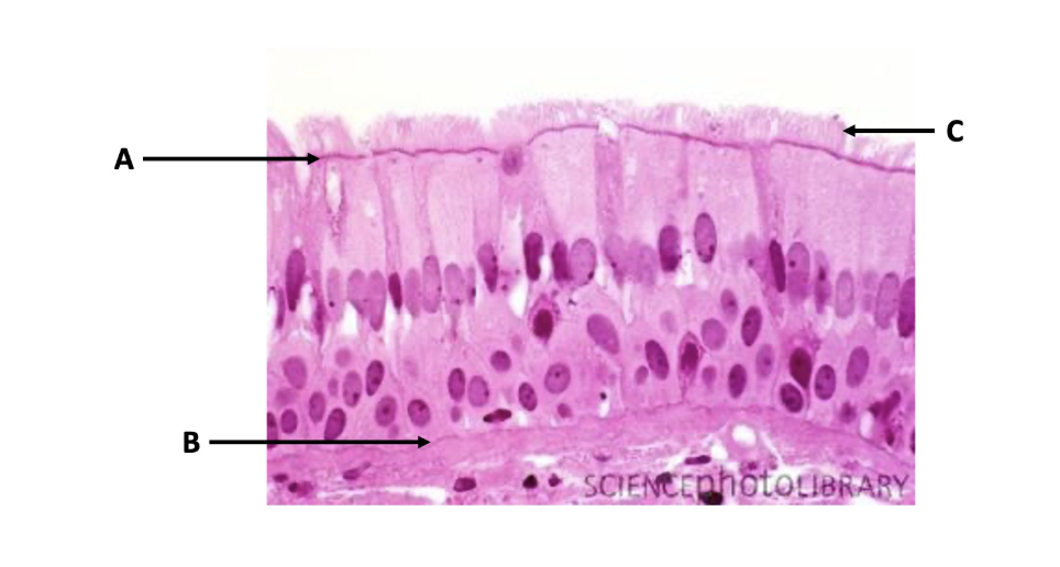
Identify the tissue shown in layer B.
PCCE

Identify the muscle labeled B.
rectus abdominis
The volume that remains in the lungs after a forced expiration is the:
functional residual capacity.
residual volume.
dead space volume.
vital capacity.
residual volume.

sphenoid bone

TV

epiglottis

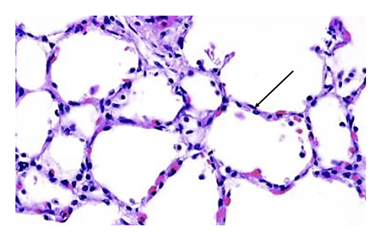
Name the circular structures shown in this picture.
alveoli

mucosa

middle nasal concha

alveolar sacs

visceral pleura
The amount of air that can be forcibly expired after a normal tidal expiration is known as the:
tidal volume.
vital capacity.
expiratory reserve volume.
inspiratory reserve volume.
expiratory reserve volume.

vital capacity

Name the cells that make up the thin walls seen in this picture.
type I alveolar cells
Which of the following reduces alveolar surface tension?
water
surfactant
gas
mucus
surfactant

thyroid cartilage

right middle lobe

submucosa

respiratory membrane

Identify the LAYER marked B.
mucosa

bronchiole

left primary bronchus

Identify the muscle labeled A.
external intercostals

Identify the structure labeled C.
cilia

right inferior lobe

sternocleidomastoid

Identify the muscle labeled C.
external oblique

vestibular fold

type I alveolar cell