1/8
builds off of the one sent in text by providing visuals + clarifying some points
Name | Mastery | Learn | Test | Matching | Spaced | Call with Kai |
|---|
No analytics yet
Send a link to your students to track their progress
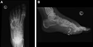
March fracture is also called ___ and looks like ?
stress fracture

comminuted fracture looks like
more than 2 fractured pieces

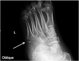
avulsion fracture
ligament tears off a small part of bone

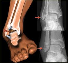
ankle sprain on xray looks like
ankle rolled outward and foot turns inward

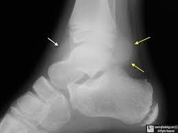
ankle effusion
build up of fluid in ankle joint

bone spurs
calcium deposist found commo

gout
inflammatory arthritis commonly affecting the 1st metatarsophalangeal joint

Foot structures needed to be included:
Distal phalanges through tuberosity of calcaneus.
how to tell if each image is of diagnostic quality? (3)
Coverage
• Entire foot included.
• Distal phalanges through posterior calcaneus visible.
• Soft tissue borders visible.
Exposure
• Bone cortex and trabecular pattern visible.
• Joint spaces visible.
Positioning
• Required structures for the specific projection demonstrated clearly.
• Proper alignment with minimal rotation