1/85
Looks like no tags are added yet.
Name | Mastery | Learn | Test | Matching | Spaced |
|---|
No study sessions yet.

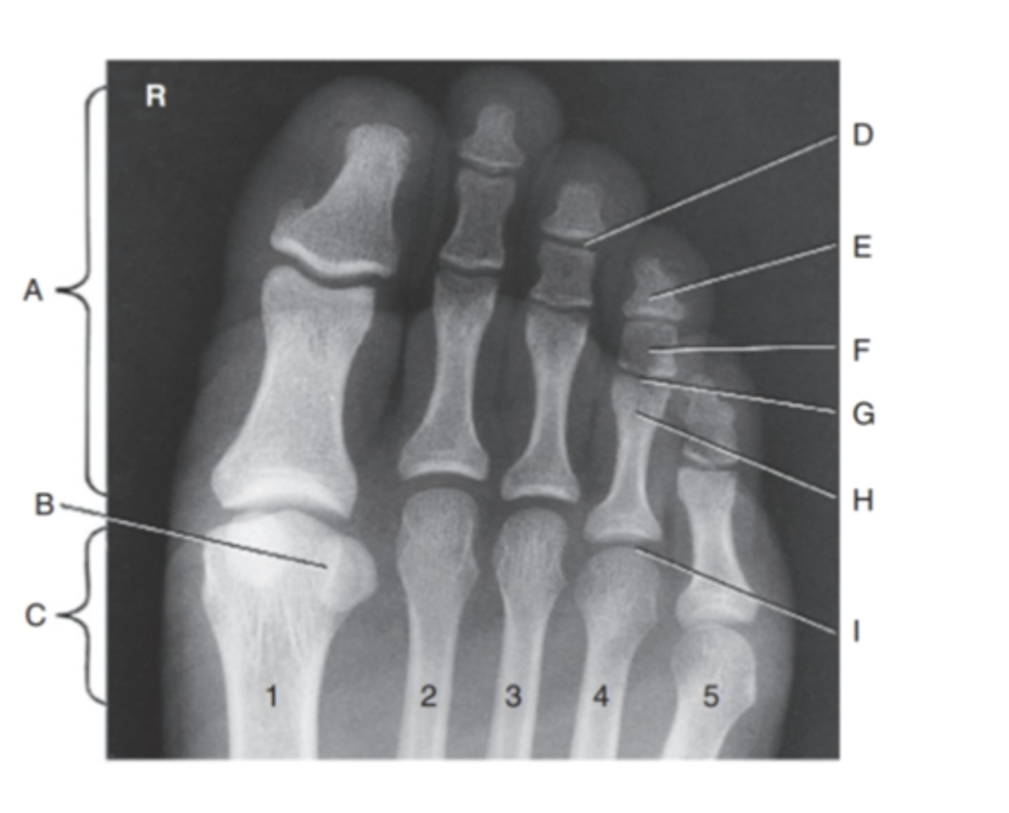
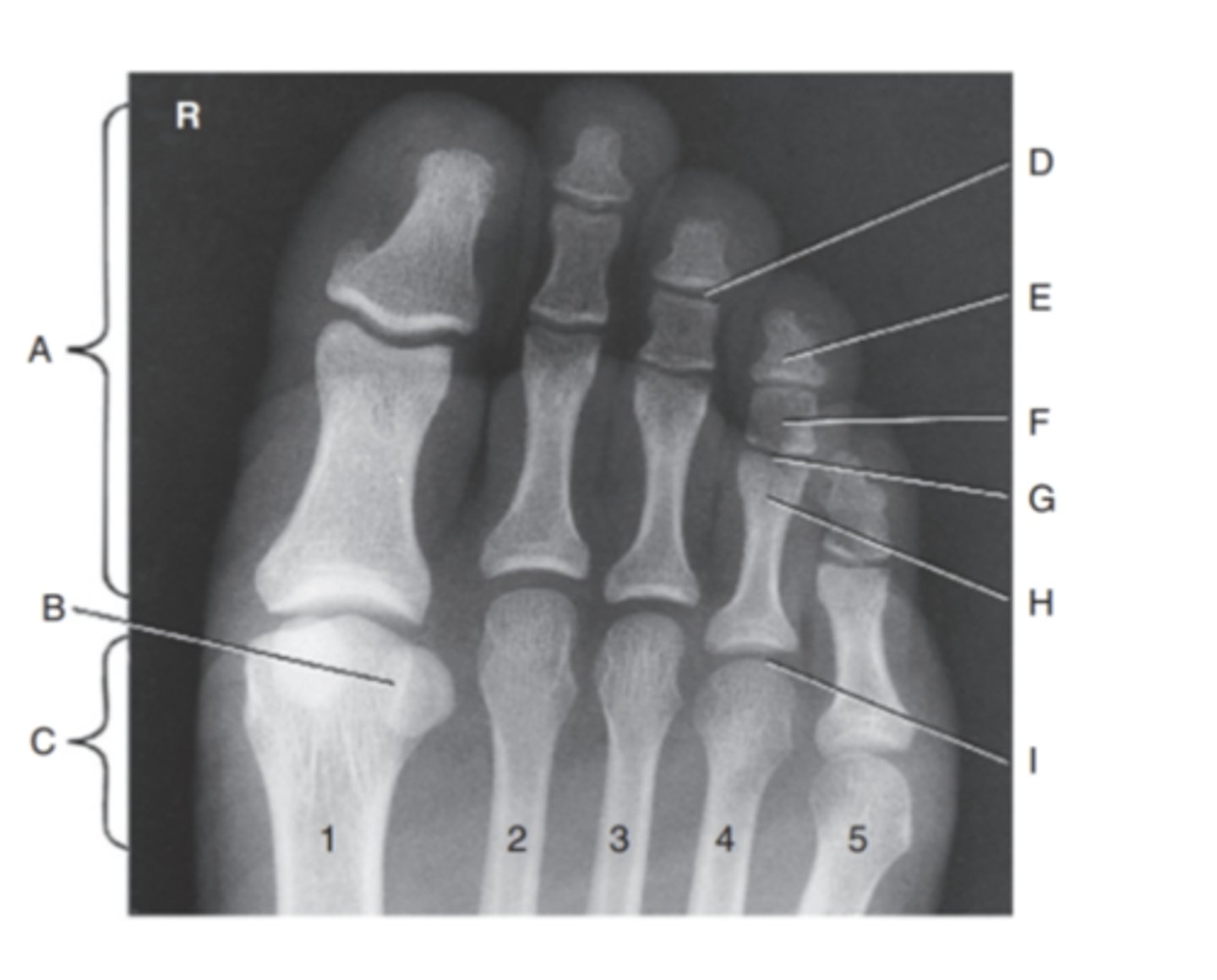
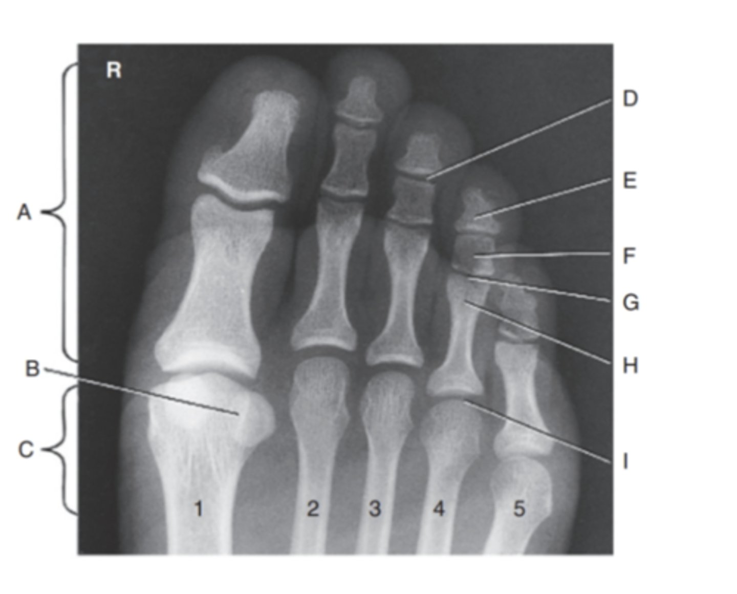
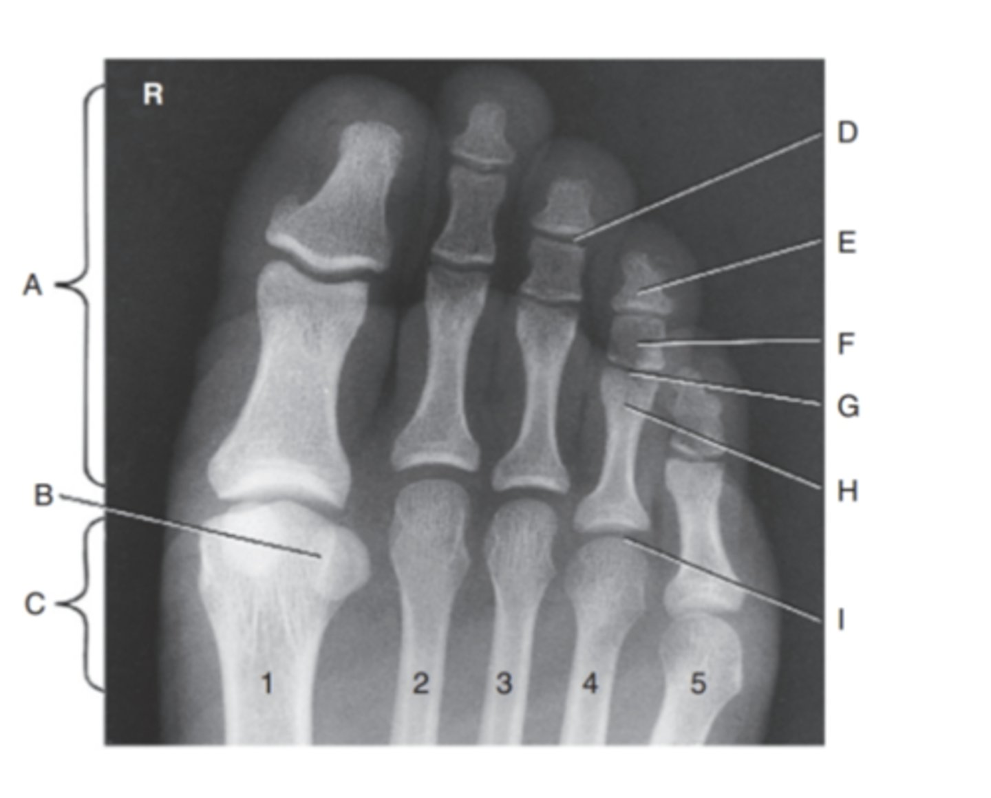
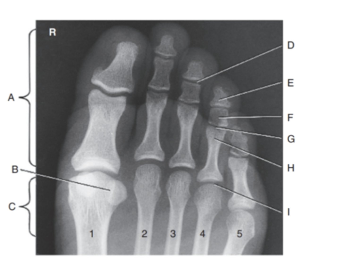
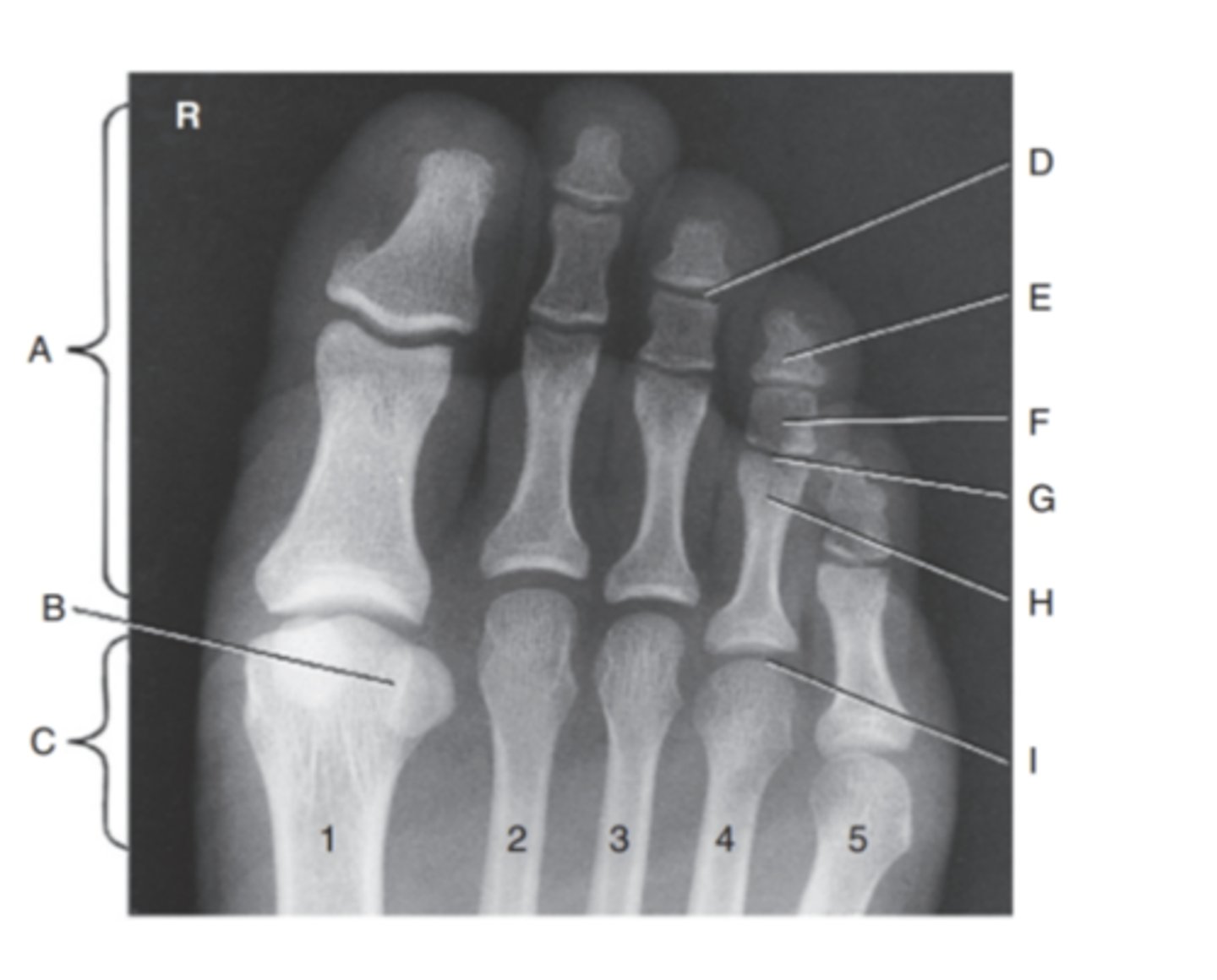
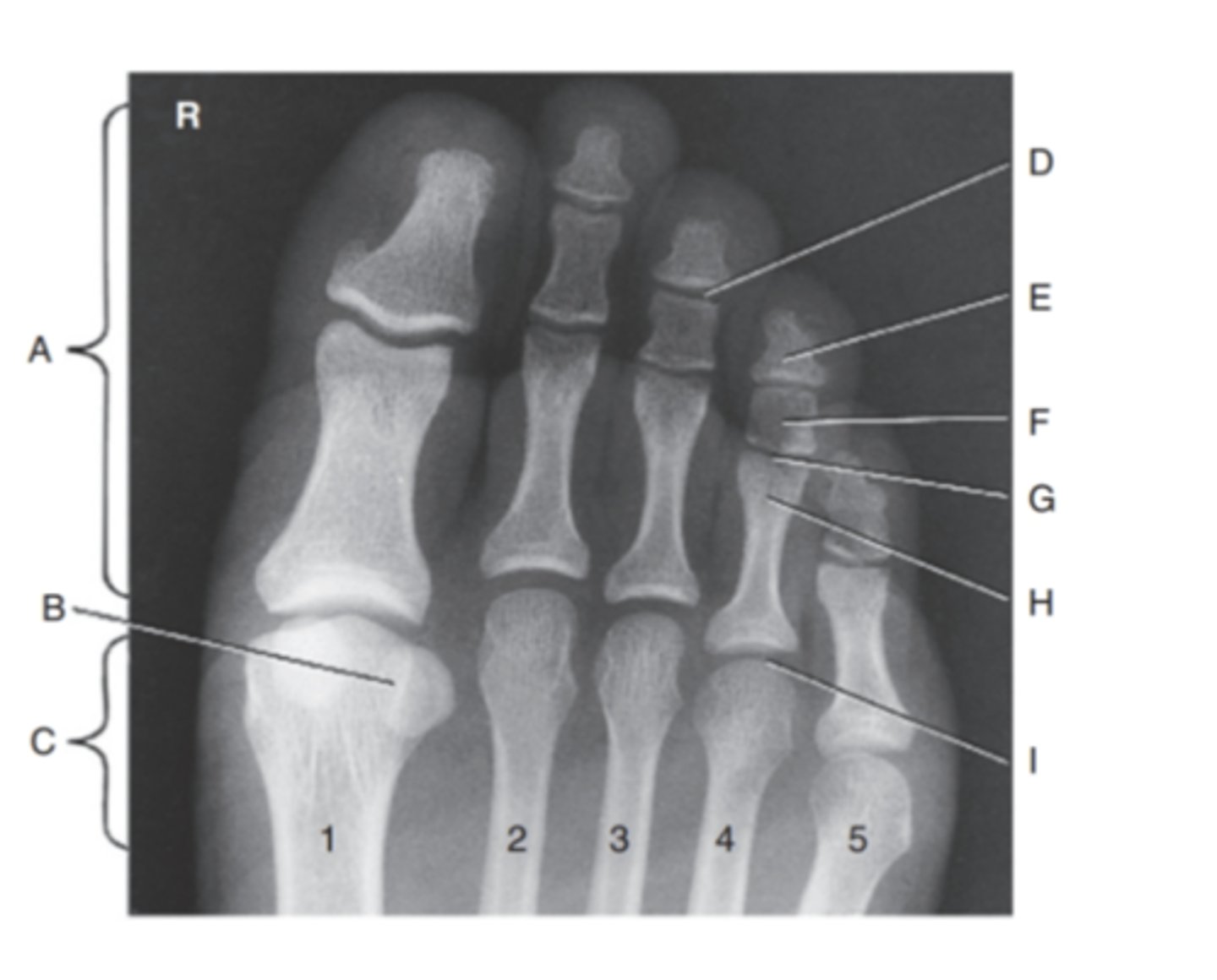
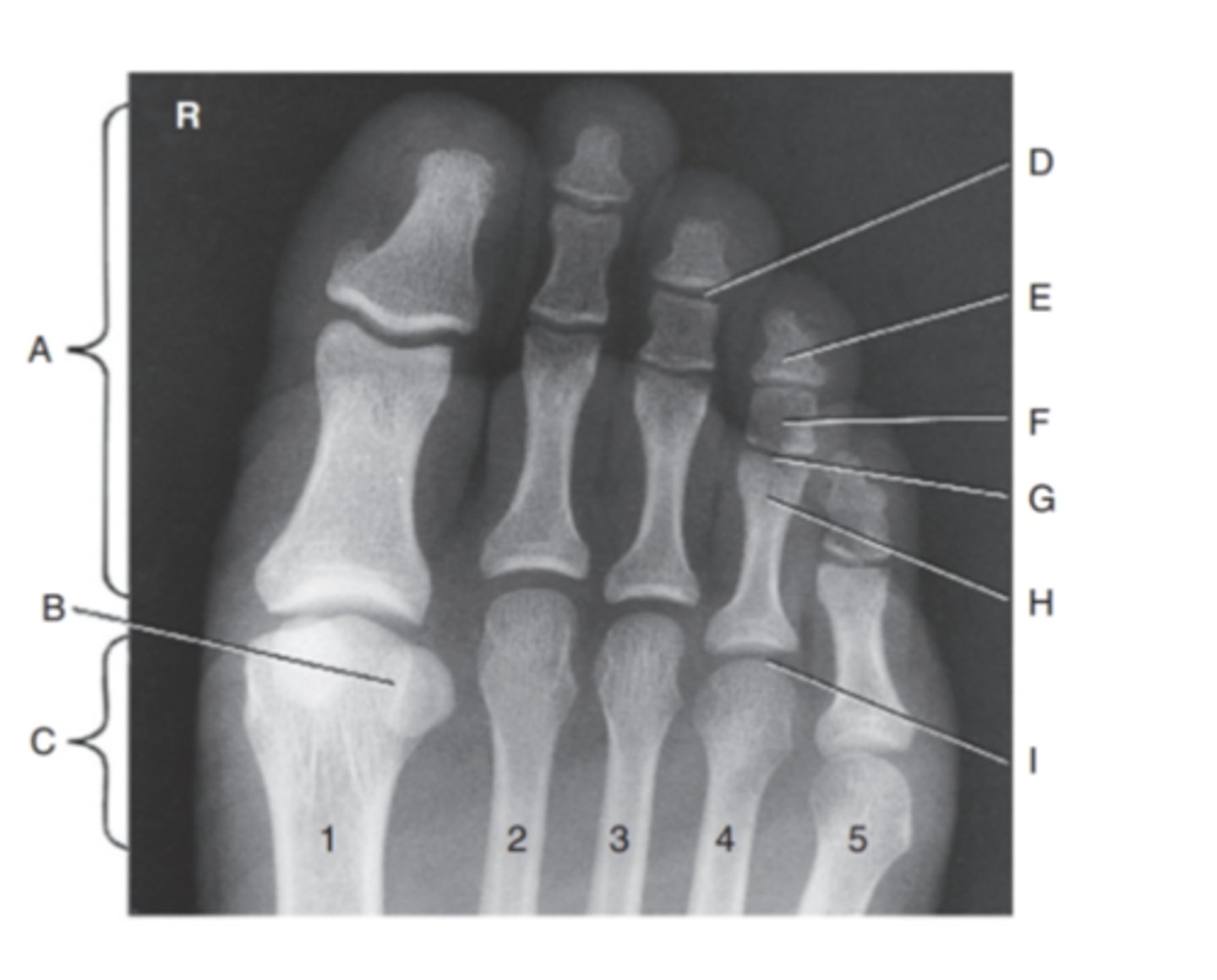
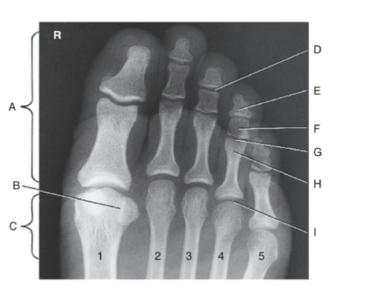
(PA TOES) what is A?
phalanges

what is B?
sesamoids

what is C?
metatarsals

what is D?
Distal interphalangeal joint

what is E?
distal phalanx

what is F?
middle phalanx

what is G?
Proximal interphalangeal joint

what is H?
proximal phalanx

what is I?
Metatarsophalangeal joint

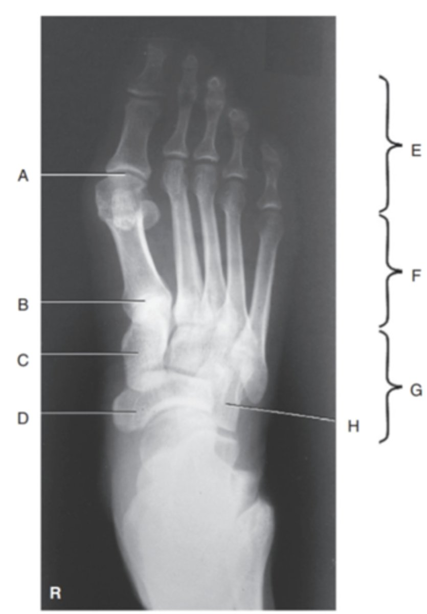
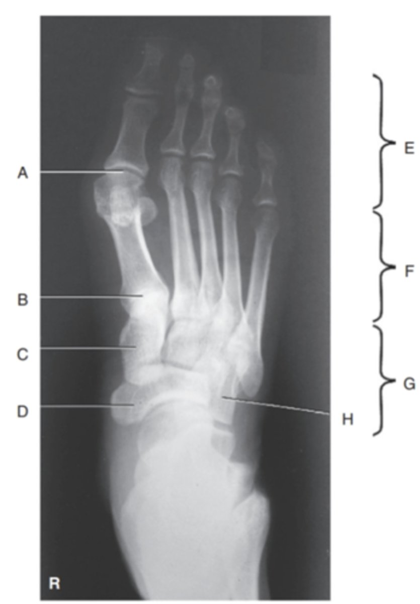
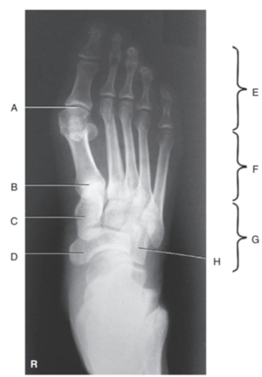
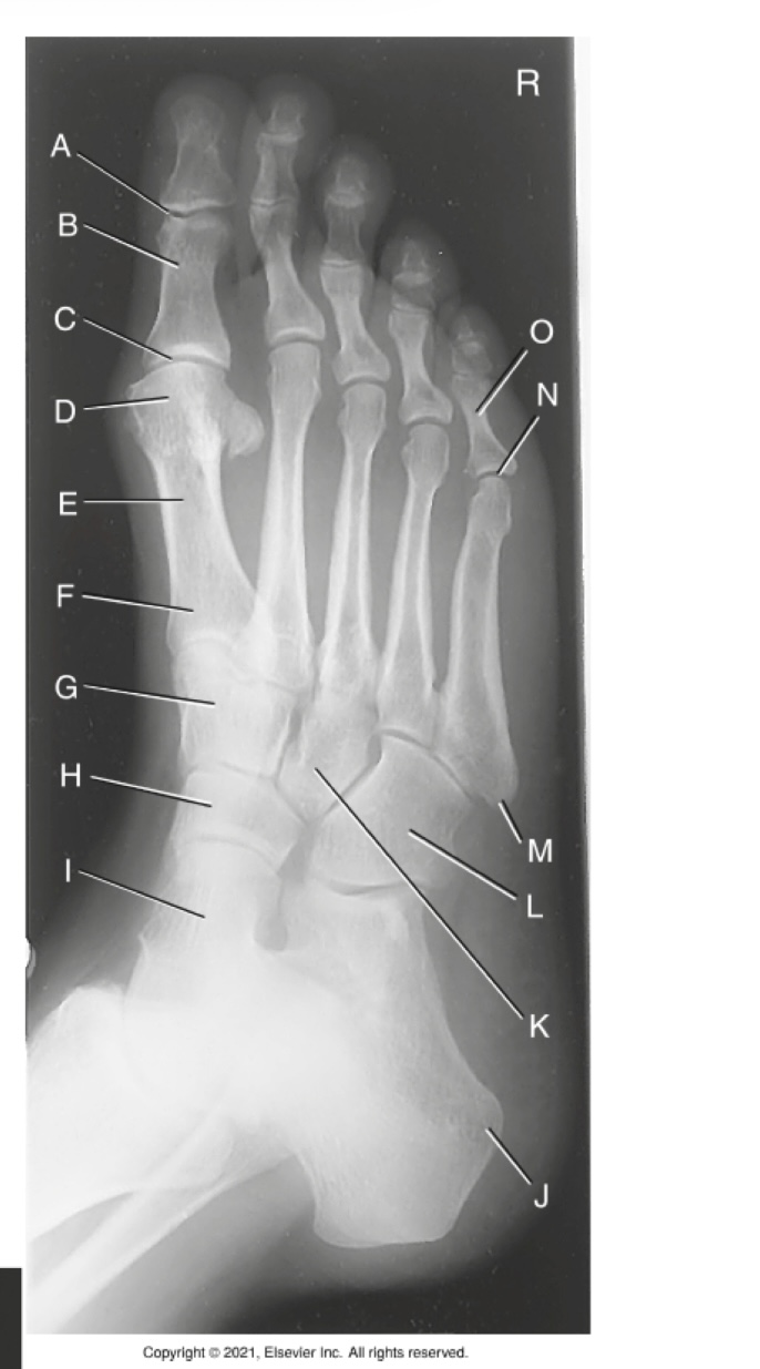
(AP AXIAL FOOT) what is A?
First metatarsophalangealjoint

what is B?
First tarsometatarsal joint

what is C?
Medial cuneiform

what is D?
Navicular

what is E?
phalanges

what is F?
metatarsals

what is G?
tarsals

what is H?
cuboids

(AP OBLIQUE FOOT) what is A?
medial cuneiform

what is B?
intermediate cuneiform

what is C?
metatarsals

what is D?
Tuberosity (of the fifthmetatarsal

what is E?
lateral cuneiform

what is F?
cuboid

what is G?
calcaneous

what is H?
navicular

what is I?
talus

what is J?
sinus tarsi

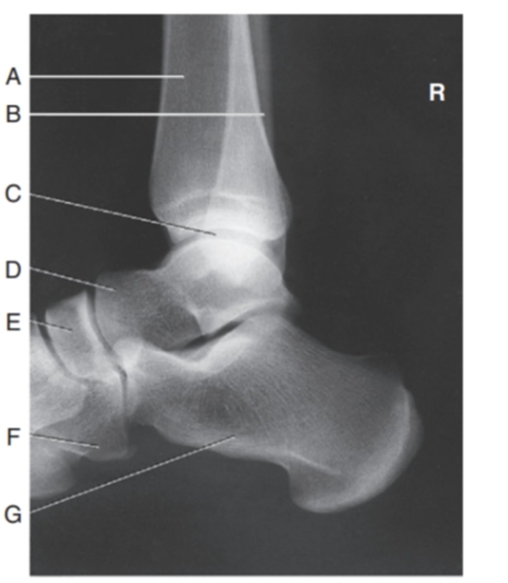
(LATERAL FOOT) what is A?
phalanges

what is B?
metatarsals

what is C?
fibula

what is D?
tibia

what is E?
Tibiotalar joint (mortise joint)

what is F?
navicular

what is G?
talus

what is H?
sinud tarsi

what is I?
calcaneous

what is J?
tarsals

(Axial Plantodorsal calcaneus) what is A?
sustentaculum tali

what is B?
trochlear process

what is C?
lateral process

what is D?
tuberosity

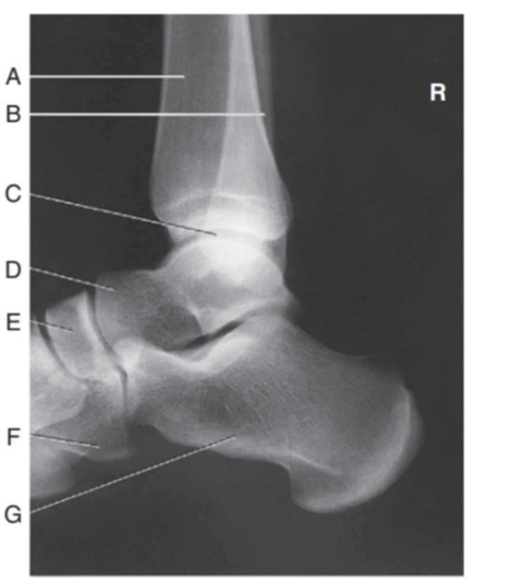
(LATERAL CALCANEUS) what is A?
tibiotalar joint

what is B?
sinus tarsi

what is C?
tuberosity

what is D?
talus

what is E?
navicular

what is F?
Sustentaculum tali

(AP ANKLE) what is A?
fibula

what is B?
tibiotalar joint

what is C?
lateral malleolus

what is D?
tibia

what is E?
medial maleolus

what is F?
talus

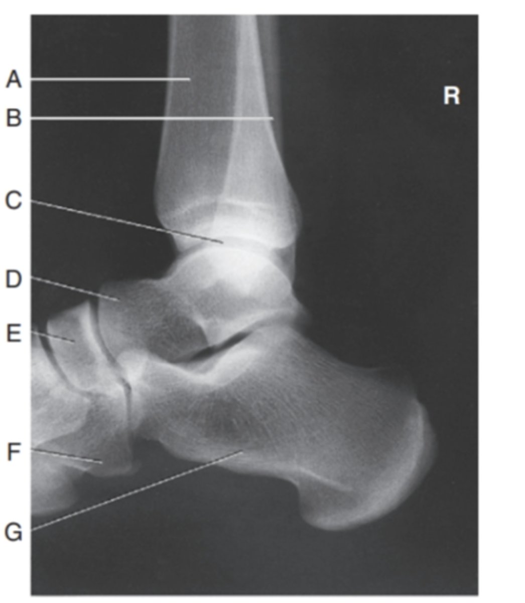
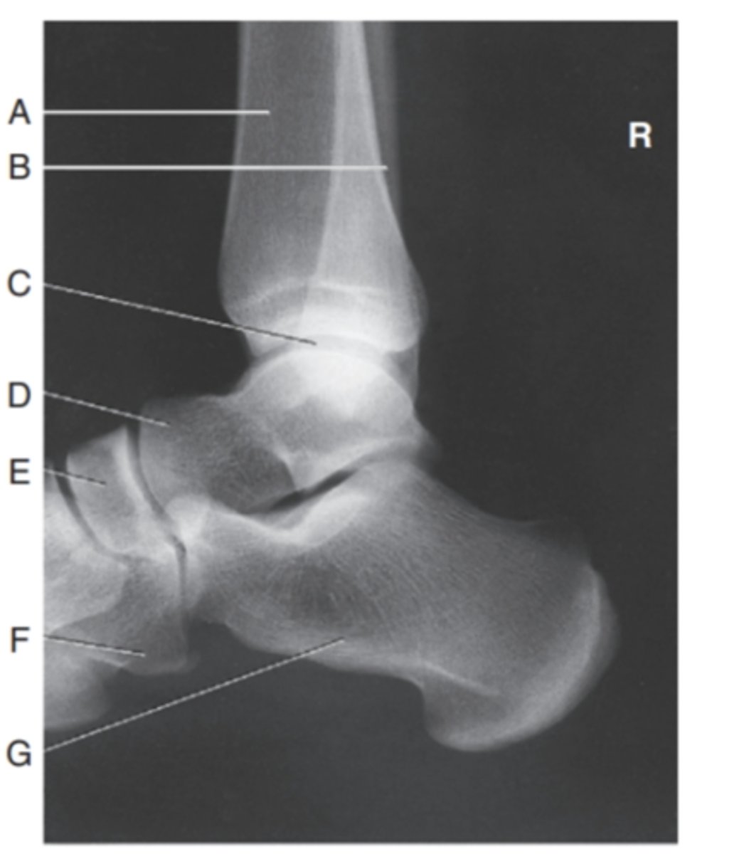
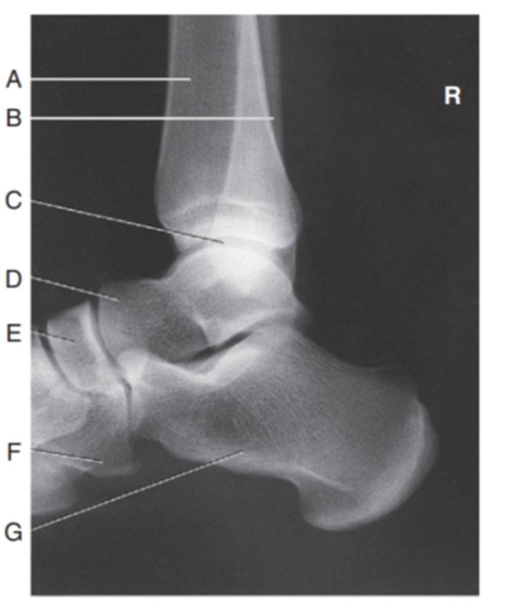
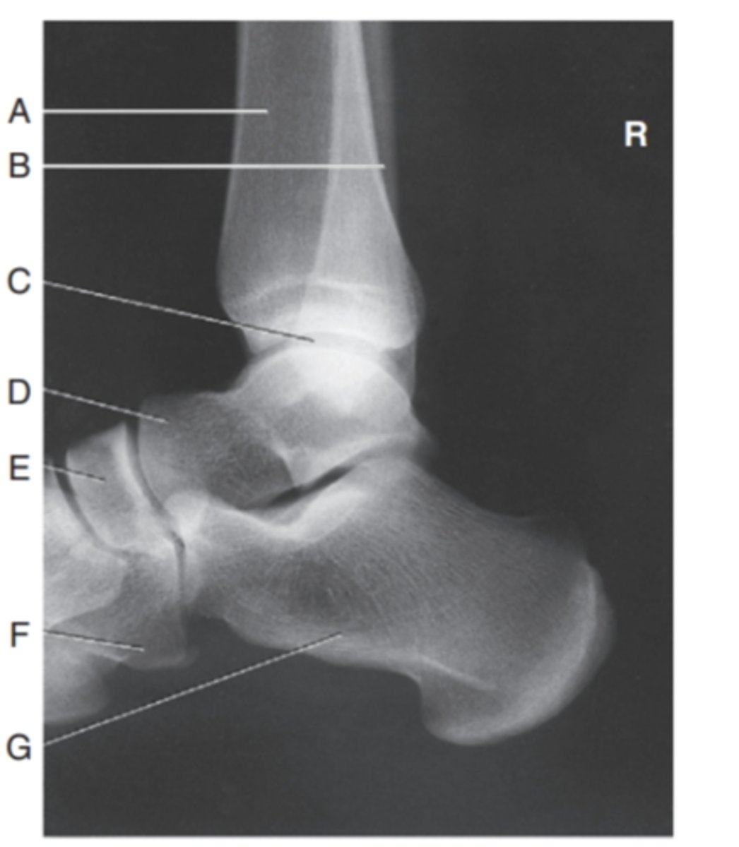
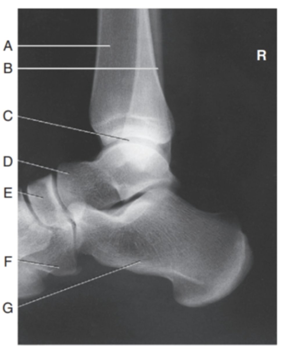
(LATERAL ANKLE) what is A?
tibia

what is B?
fibula

what is C?
tibiotalar joint

what is D?
talus

what is E?
navicular

what is F?
cuboid

what is G?
calcaneous

(MORTIS AP ANKLE) what is A?
fibula

what is B?
lateral malloelus

what is C?
tibia

what is D?
medial malleolus

what is E?
motrise joint

what is F?
talus

1
Calcaneal sulcus

2
Peroneal Trochlea (Trochlear process)

3
Posterior articular process

4
Lateral process

5
Tuberosity

6
Medial process

7
Sustentaculum tali

8
Middle articular surface

9
Anterior articular surface

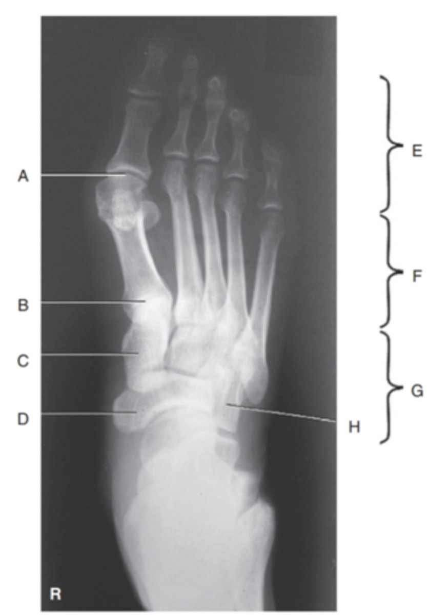
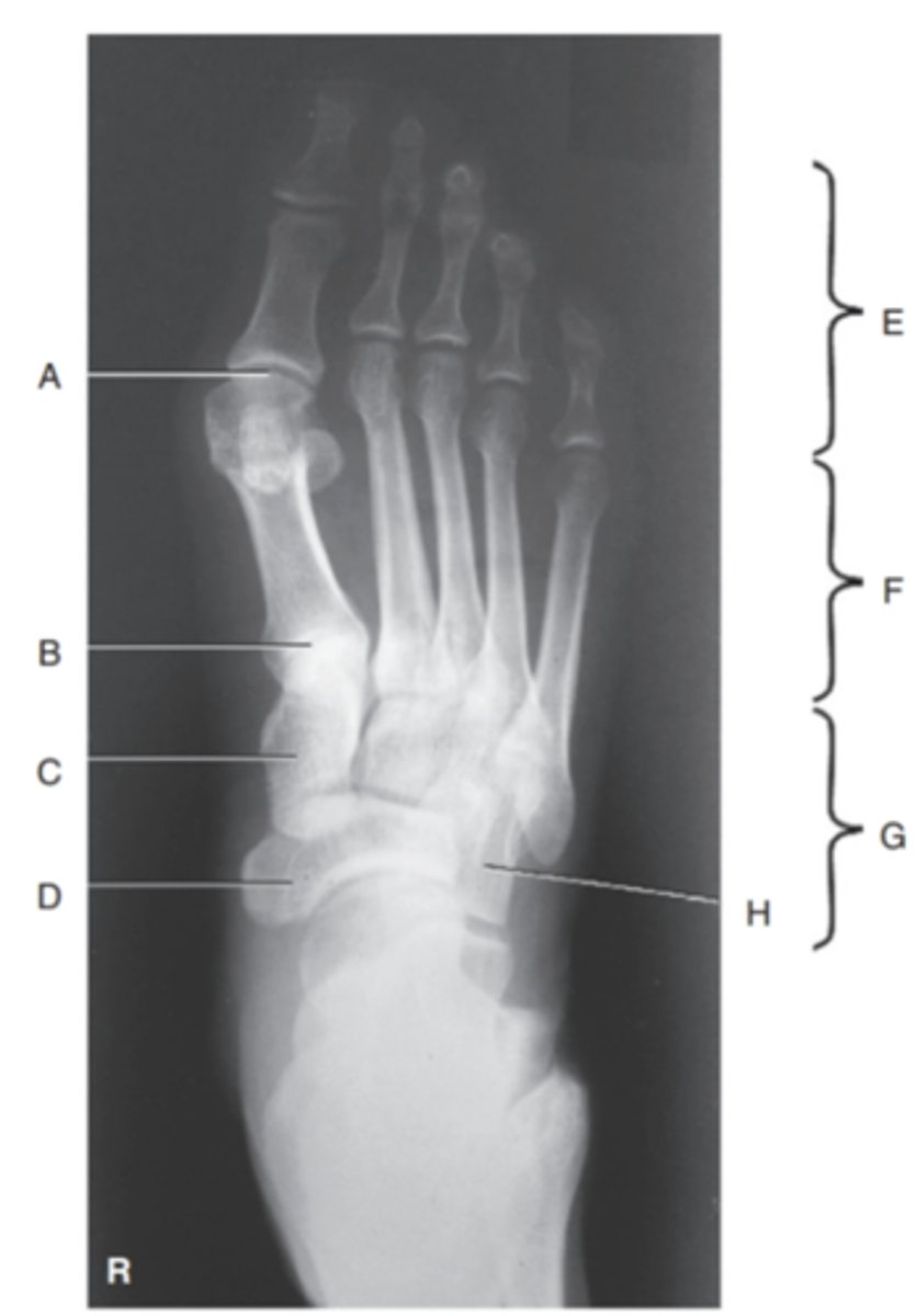
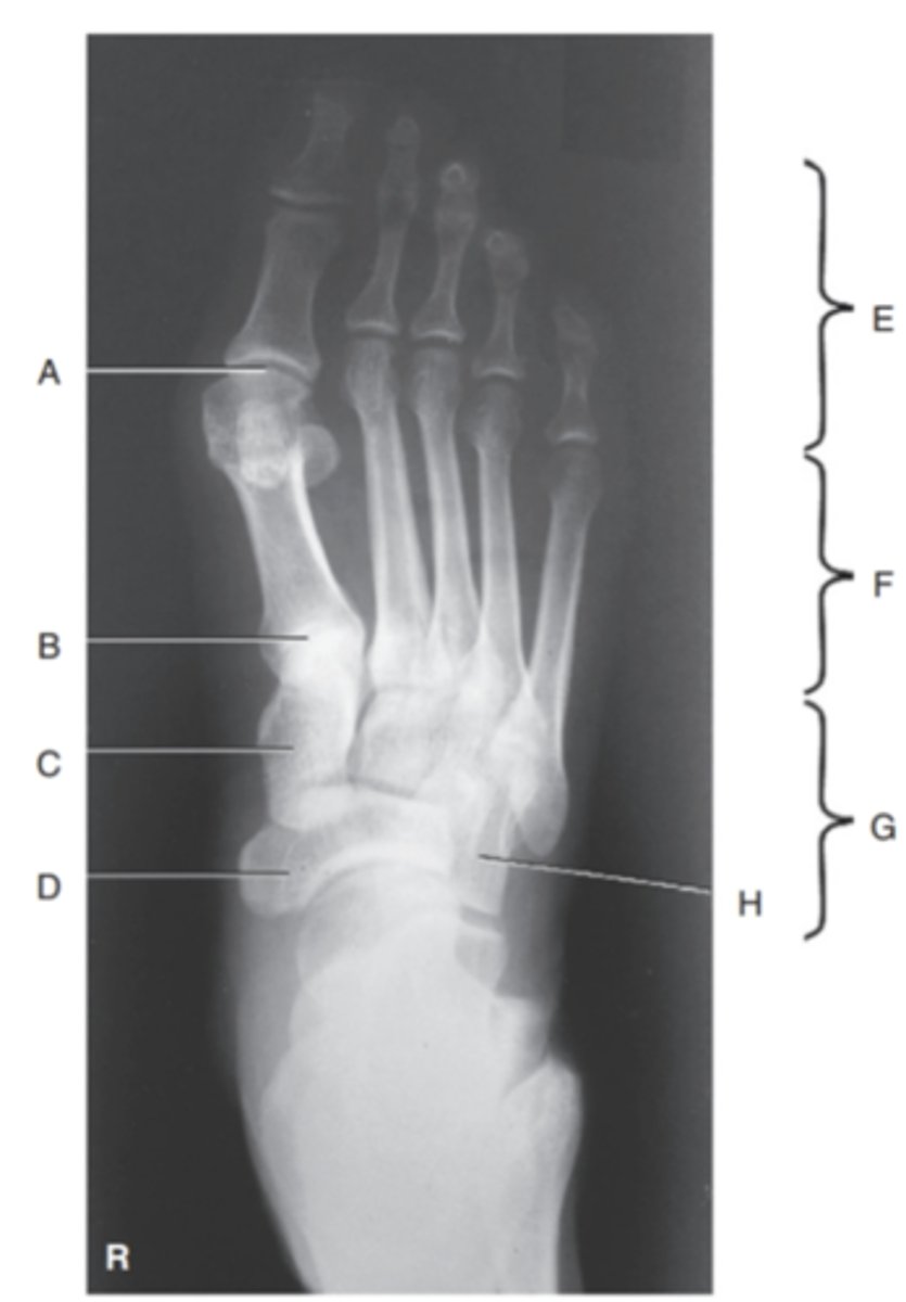
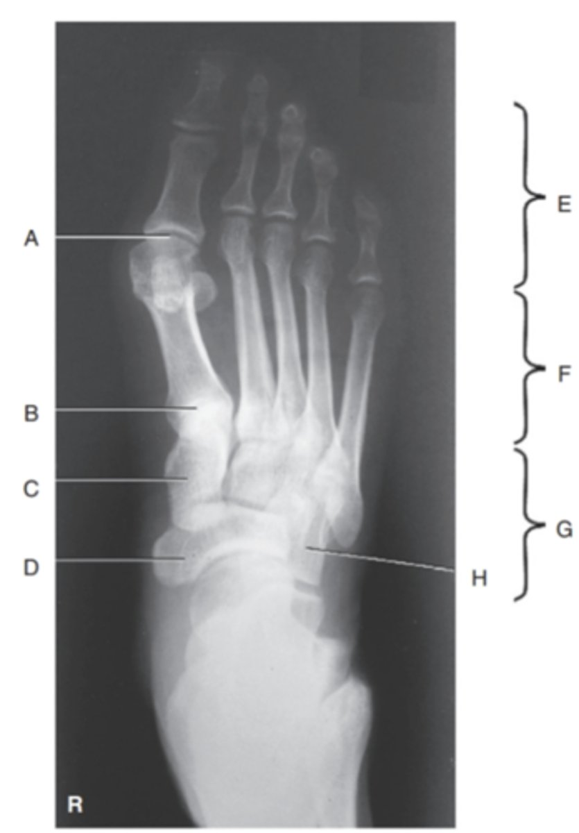
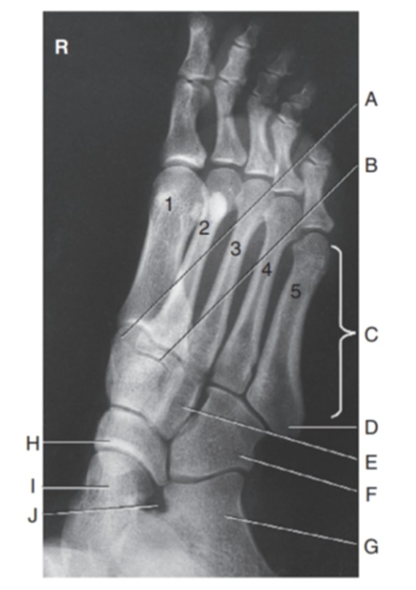
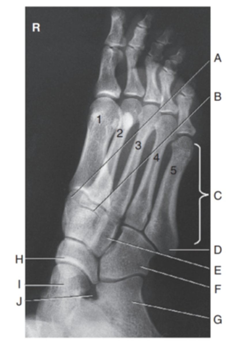
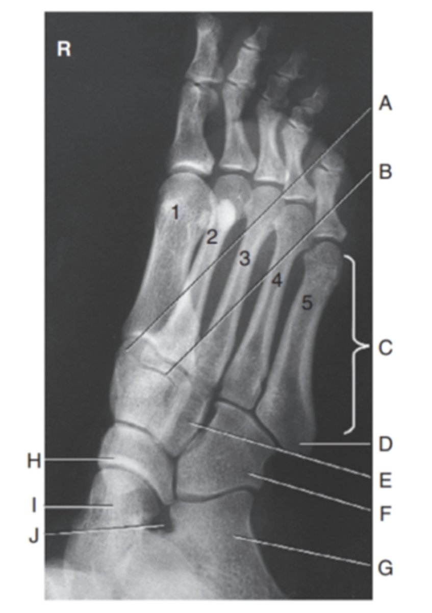
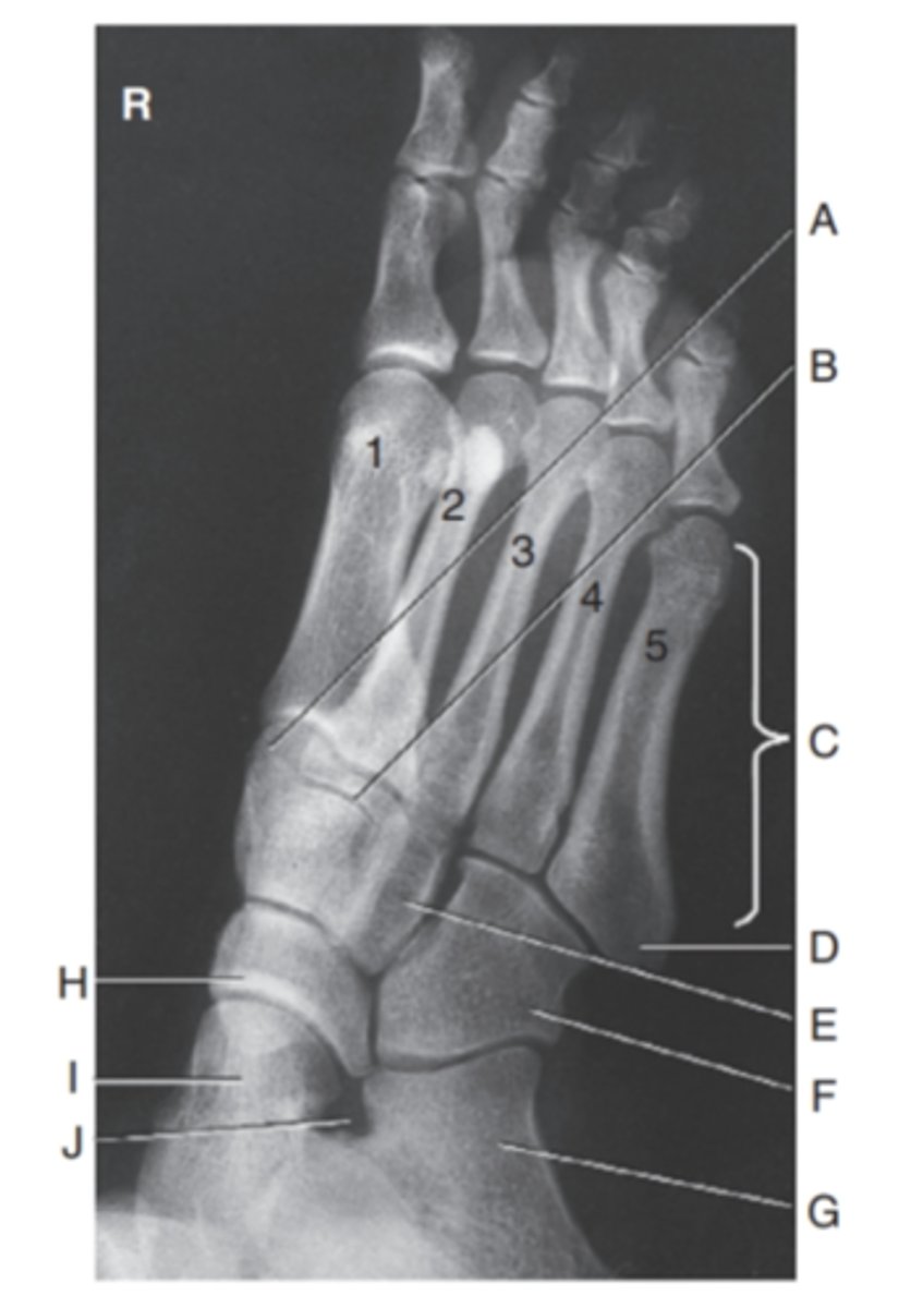
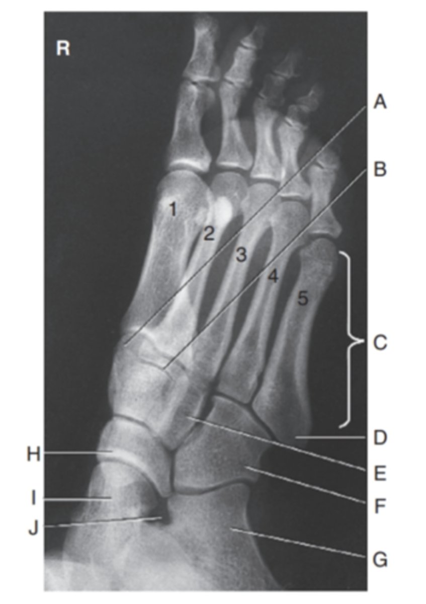
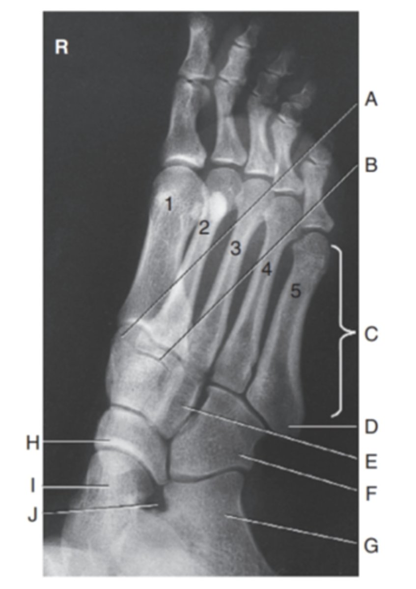
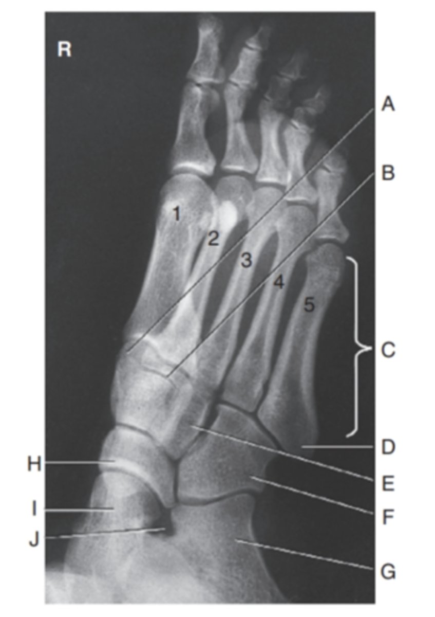
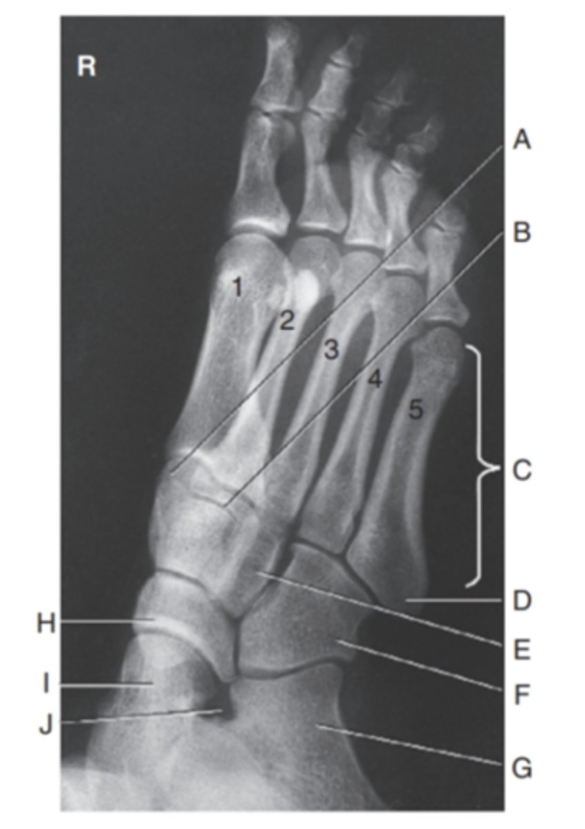
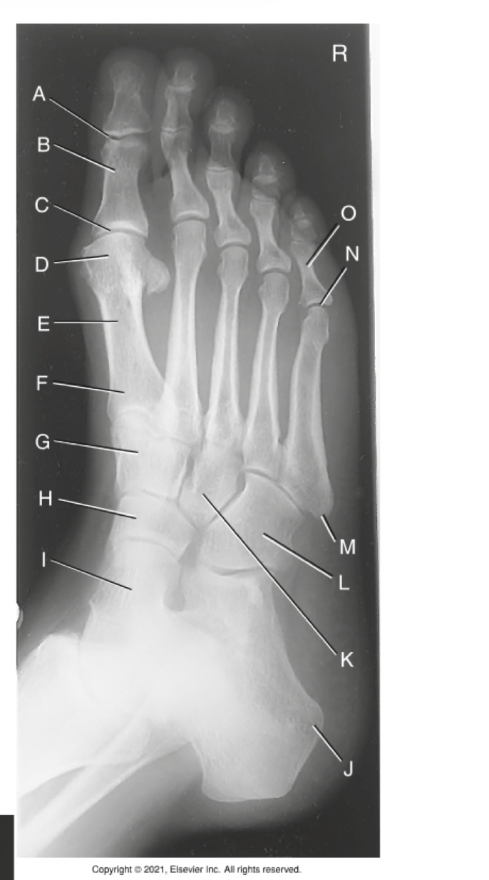
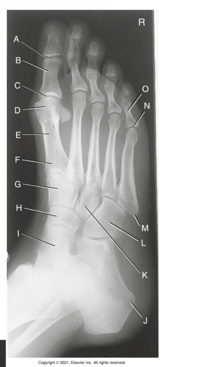
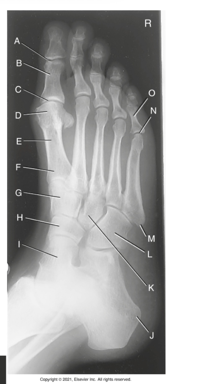
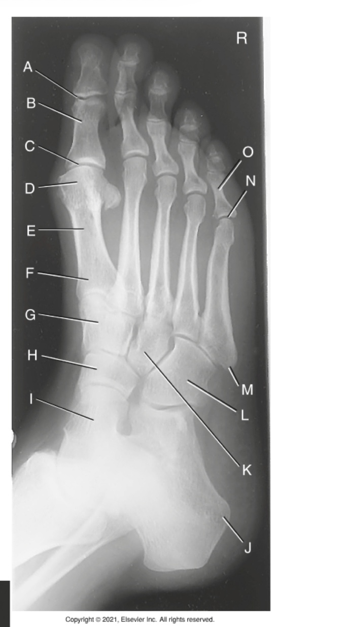
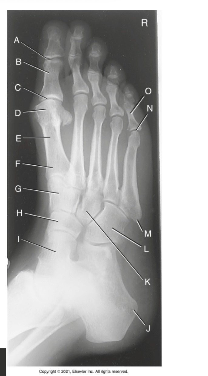
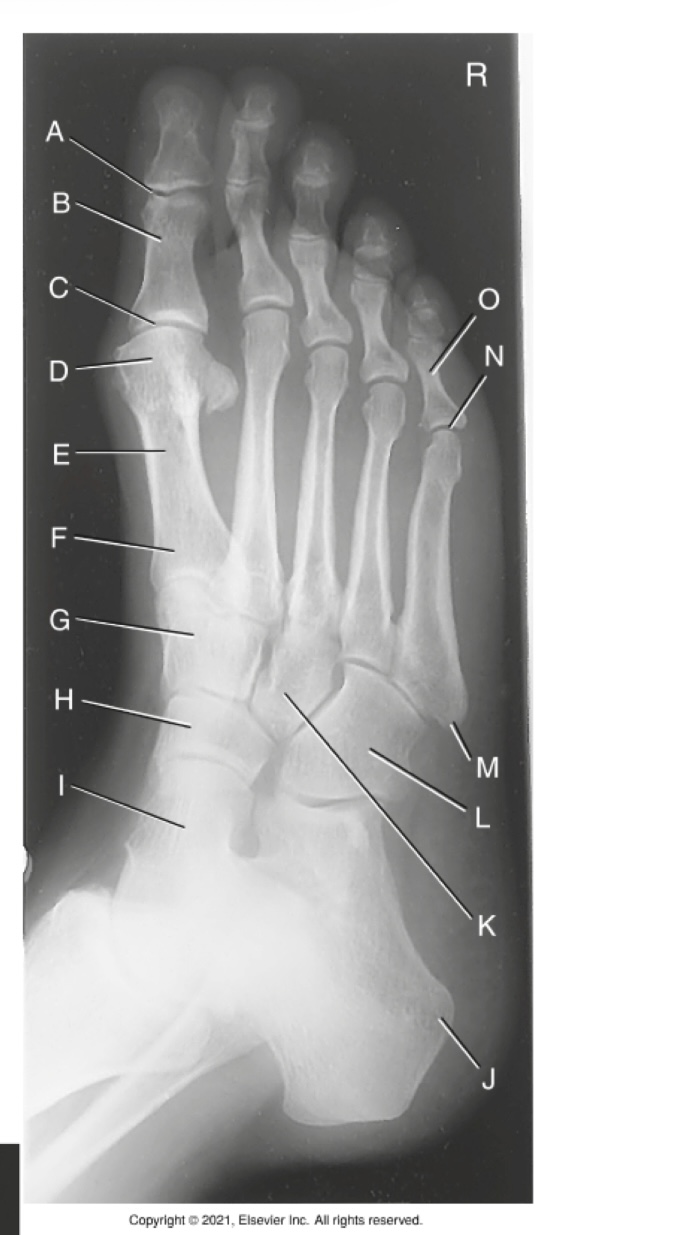
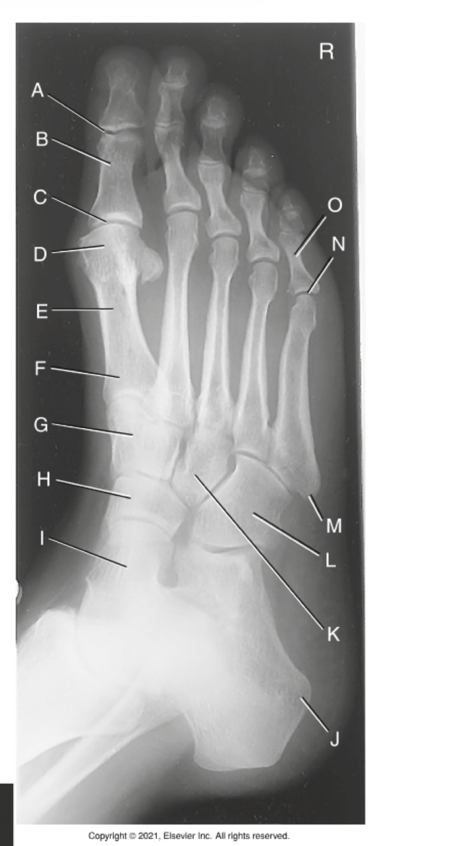
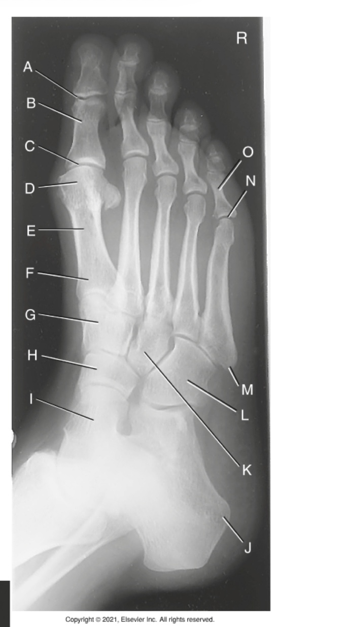
A
Interphalangeal joint of 1st digit

B
Proximal phalanx of 1st digit

C
Metatarsophalangeal joint of 1st digit (MTP joint)

D
Head of 1st metatarsal

E
Body of 1st metatarsal

F
Base of 1st metatarsal

G
Second/ intermediate cuneiform

H
Navicular

I
Talus

J
Tuberosity of calcaneus

K
Third / lateral cuneiform