1/81
Looks like no tags are added yet.
Name | Mastery | Learn | Test | Matching | Spaced | Call with Kai |
|---|
No analytics yet
Send a link to your students to track their progress

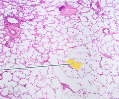
alveolar duct

alveolus

alveolar sac

4
arteriole

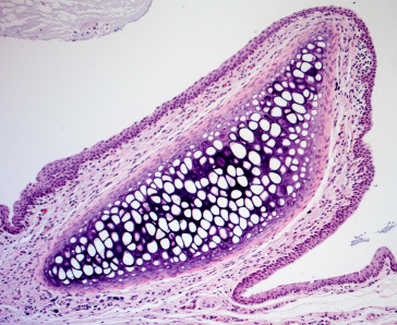
bronchiole

bronchiole

8
capillary

cardiac notch

carina

cribriform plate of ethmoid bone

cricoid cartilage

epiglottis

epiglottis

frontal sinus

horizontal fissure

hyoid bone

inferior nasal concha

laryngopharynx

larynx

left inferior lobe

left superior lobe

lingual tonsil

middle nasal concha

nares

nasal cavity

nasopharynx

oblique fissure

oropharynx

palatine tonsil

primary bronchus

pharyngotympanic tube

right inferior lobe

right middle lobe

right superior lobe

secondary bronchi

5
smooth muscle

sphenoid sinus

superior nasal concha

tertiary bronchi

thyroid cartilage

tongue

trachea

uvula

7
venule

vestibular folds

vocal fold

5
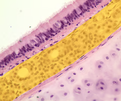
adventitia

hyaline cartilage ring

PCCE/mucosa

1
smooth muscle

submucosa

submucosal glands

Type I alveolar cell

Type II alveolar cell

diaphram

erector spinae

external intercostals

external obliques

internal intercostals

internal obliques

pectoralis minor

rectus abdominis

scalene

serratus anterior

sternocleidomastoid

transverse abdominis
Air inhaled/exhaled during normal, quiet breathing
tidal volume (TV)
Extra air that can be inhaled after a normal tidal breath
inspiratory reserve volume (IRV)
Extra air that can be exhaled after a normal tidal breath
expiratory reserve volume (ERV)
Air remaining in lungs after maximal exhalation
residual volume (RV)
Maximum air exhaled after maximal inhalation
vital capacity (VC)
Max air inhaled after normal exhalation
inspiratory capacity (IC)
Air remaining after normal exhalation
functional residual capacity (FRC)
Total volume in lungs after max inhalation
total lung capacity (TLC)

A
IRV

B
TV

C
ERV

D
RV

E
IC

F
FRC

G
VC

H
TLC