1/151
Looks like no tags are added yet.
Name | Mastery | Learn | Test | Matching | Spaced | Call with Kai |
|---|
No analytics yet
Send a link to your students to track their progress
Geographic tongue

Erythema migrans

Hairy Tongue

Fissured tongue

Lingual Varicosities

Median Rhomboid Glossitis

Macoglossia

Ankyloglossia (tongue tie)

Nicotine stomatitis

Acute atrophic candidiasis

Candidiasis Pseudomembranous

Candidiasis chronic atrophic (denture stomatitis)

Candidiasis - Chronic Hyperplastic

Angular chelitis

Leukodema

Linea Alba

luekoplakia

Hairy Leukoplakia

White sponge Nevus

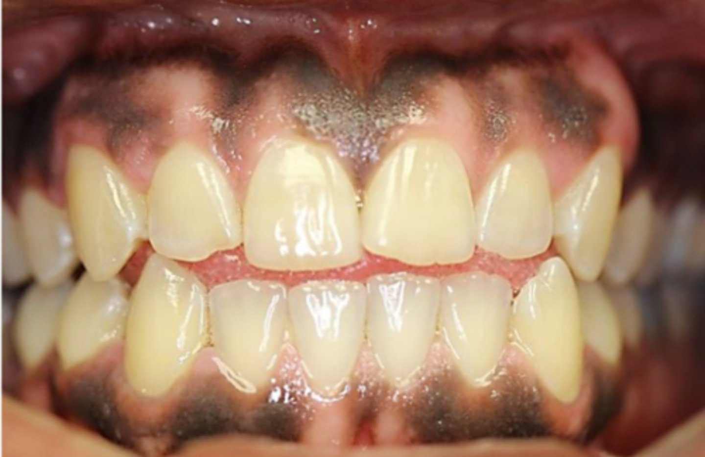
Physiologic pigmentation

Melanotic macule

amalgam tattoo (focal argyrosis)

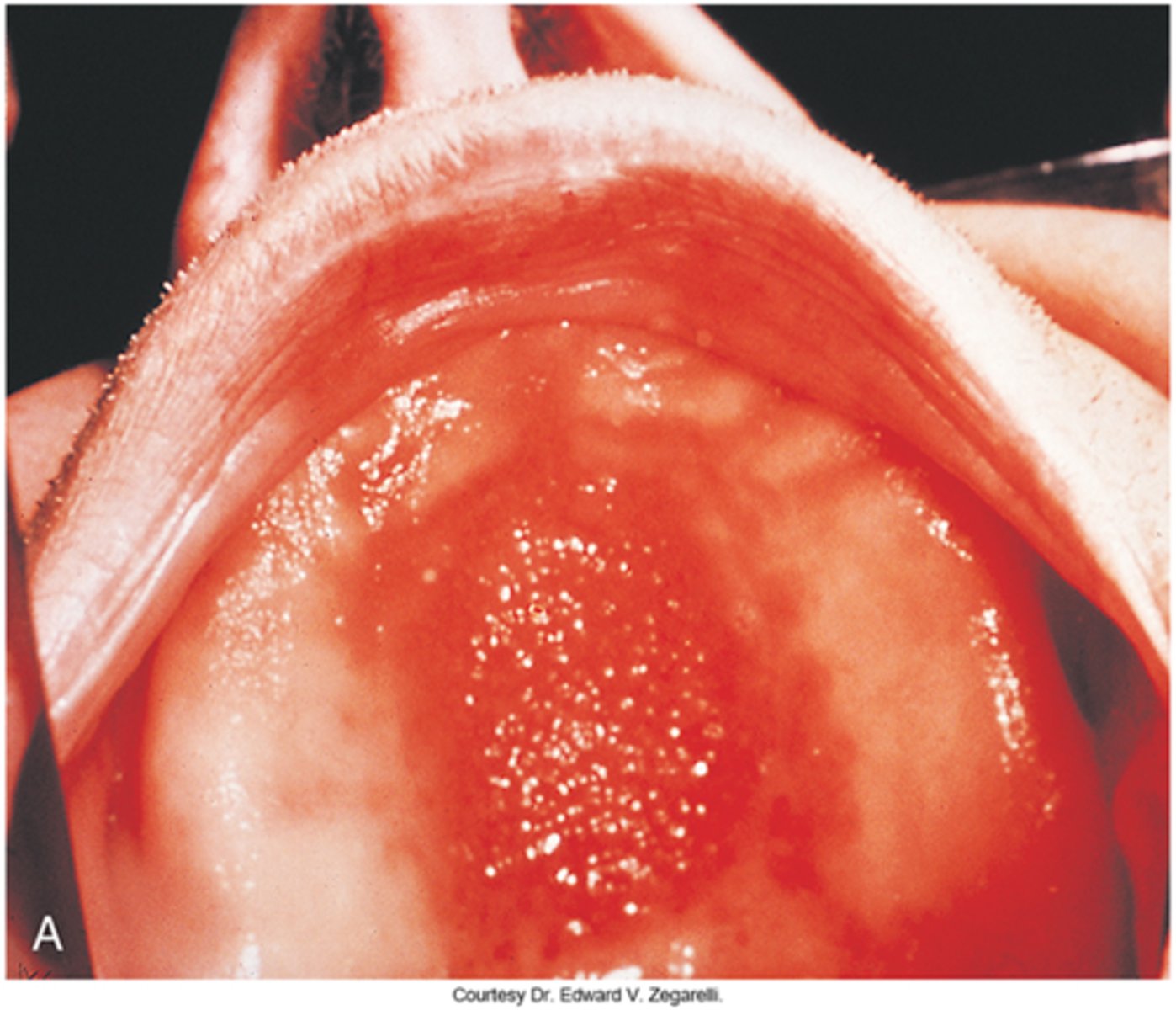
Fordyce granules

Addison's disease

Peutz-Jeghers syndrome

malignant melanoma

Irritation/ Traumatic Fibroma

Papilloma

varruca vulgaris

condyloma acuminatum

hemangioma

Epulis Fissuratum

Papillary hyperplasia of the palate

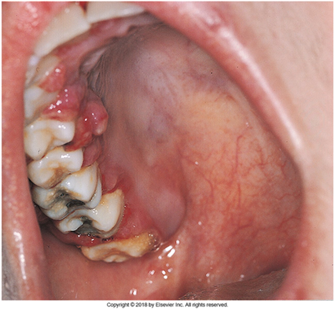
Pyogenic granuloma

Peripheral giant cell granuloma

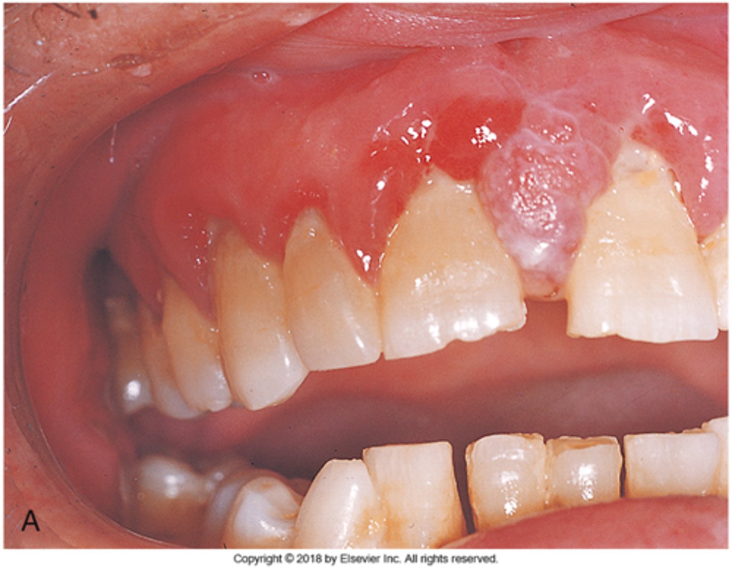
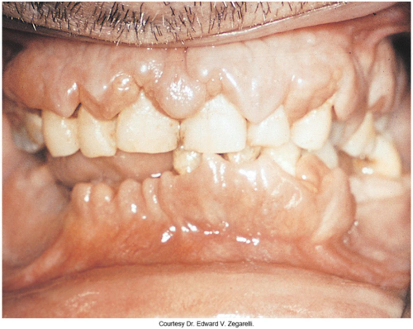
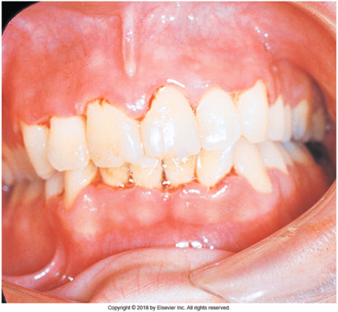
gingival hyperplasia

chronic hyperplastic pulpitis

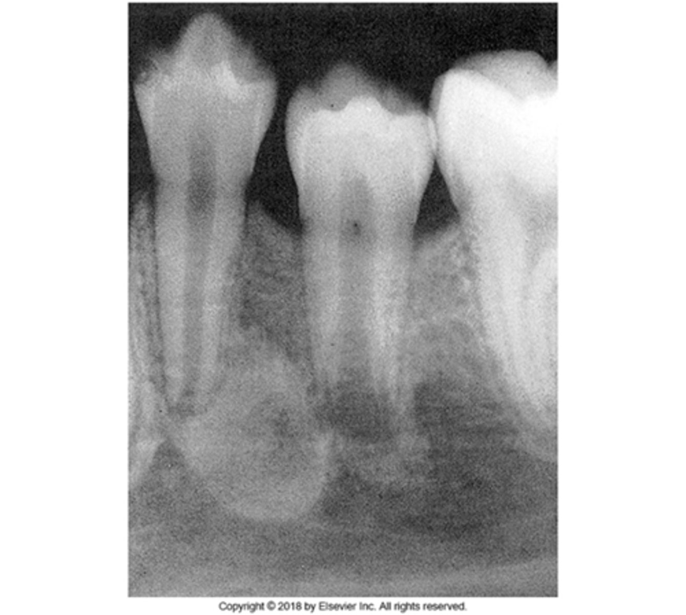
periapical abscess

Pericoronitis

Gingival Fibromatosis

Erythema multiforme

Stevens-Johnson Syndrome

Lichen Planus

lupus

Traumatic ulcer

Apthous ulcer (canker sore)

pemphigus

Pemphigoid

Cyclic Neutropenia

Papillon-Lefevre Syndrome

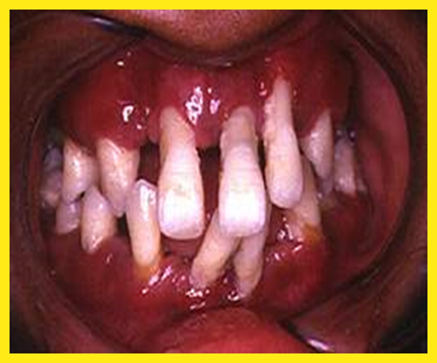
Necrotizing Ulcerative Gingivitis

Actinomycosis (lumpy jaw)

Syphilis

Congenital syphilis

Herpes simplex virus

Primary Herpetic Gingivostomatitis

Herpetic whitlow

infectious mononucleosis

Hand-foot-mouth disease

Herpangina

Varicella Zoster Virus

Tori - maxillary

mandibular tori

Exostoses

Condensing osteitis (focal sclerosing osteomyelitis)

Odontoma

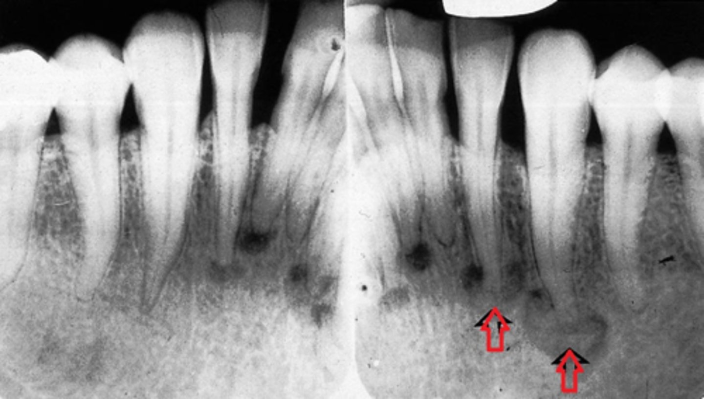
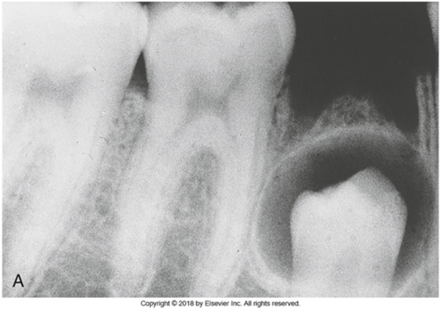
Periapical cemental dysplasia

Paget's disease (osteitis deformans)

Cherubism

Cleidocranial dysplasia

Gardner syndrome

osteogenesis imperfecta

cleft palate

osteoma

Osteosarcoma

multiple myeloma

Osteomalacia/rickets

Osteoradionecrosis (ONJ or ORNJ)

Radicular cyst

Residual cyst

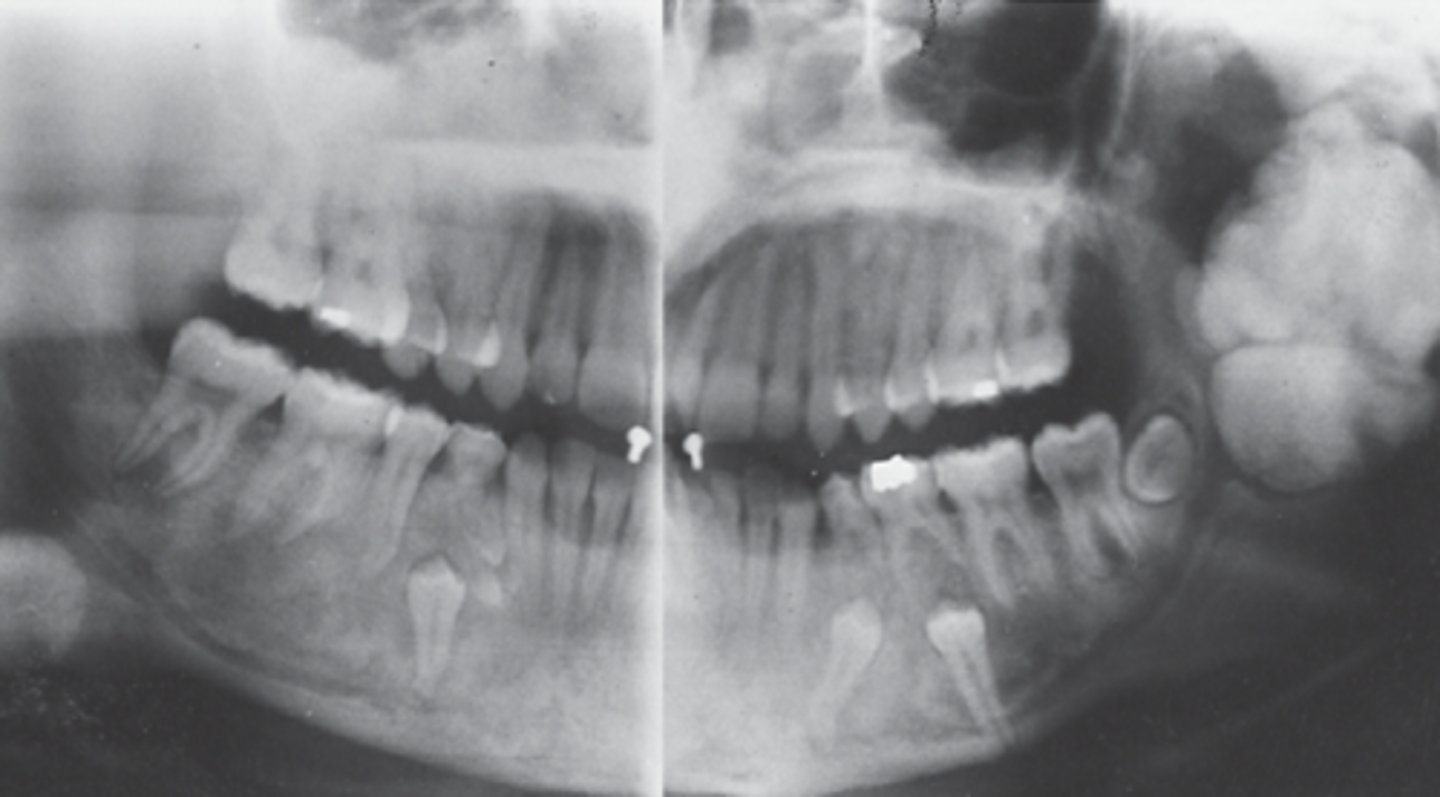
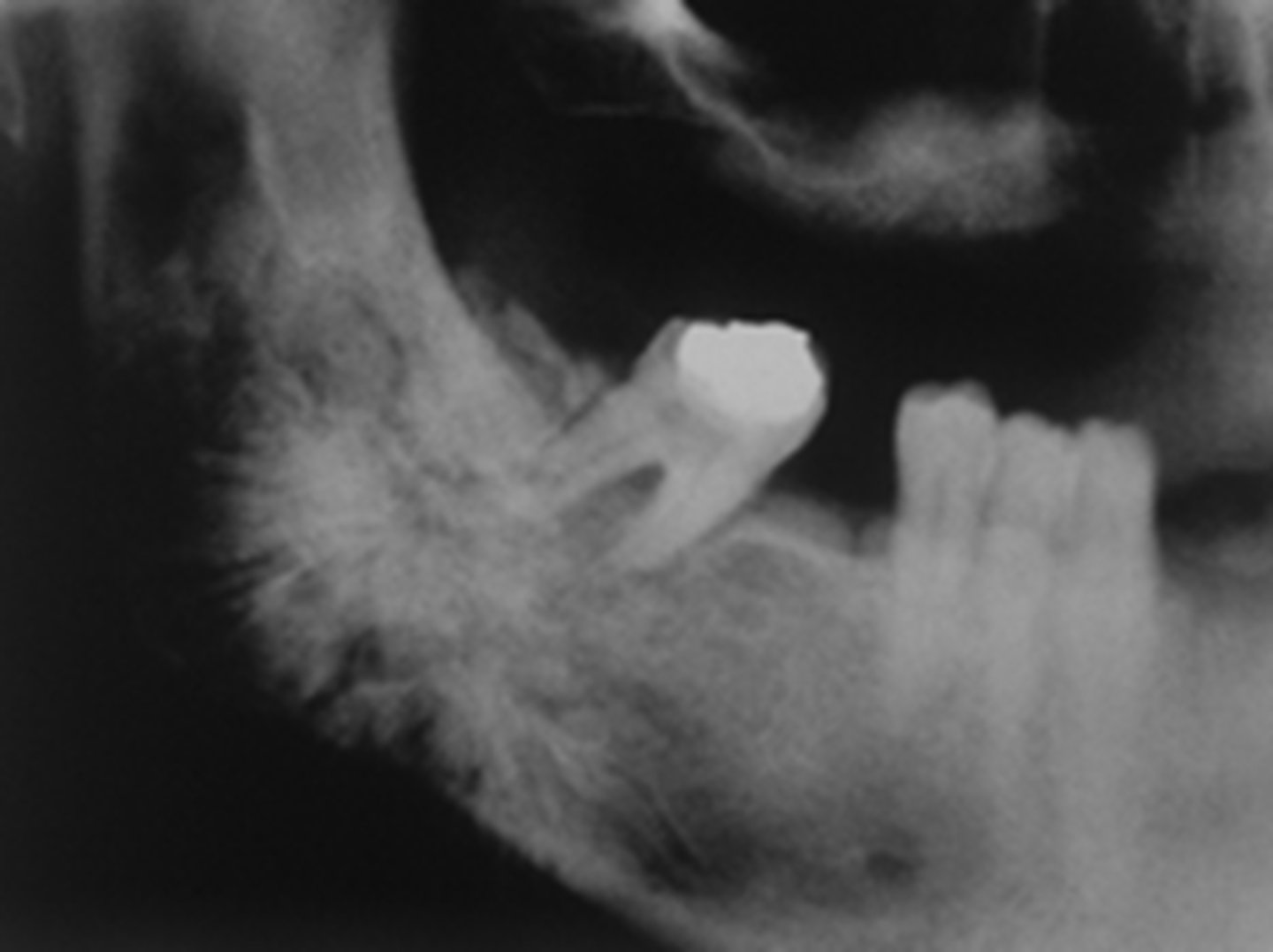
Dentigerous cyst (follicular cyst)

Primordial cyst

Odontogenic Keratocyst

Lateral periodontal cyst

Globulomaxillary cyst

Nasopalatine duct cyst

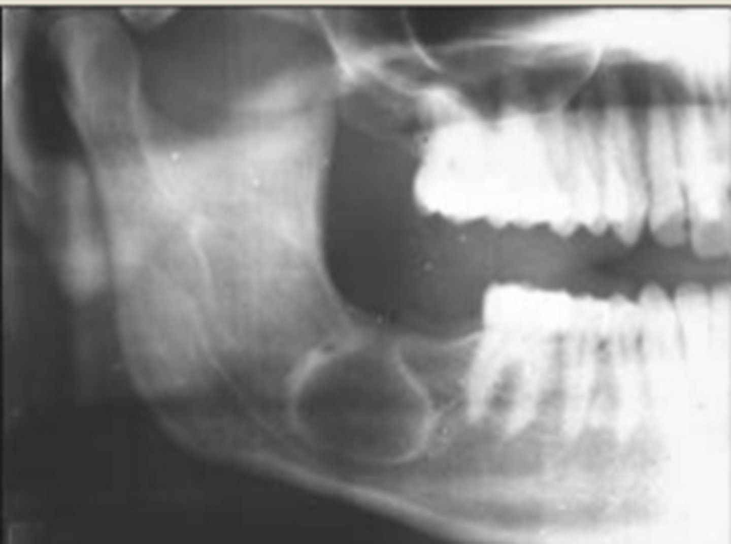
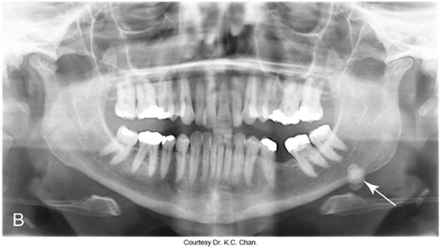
Stafne's Bone Cyst (Static Bone Cyst)

Mucocele

Ranula

Sialolithiasis (salivary stones)

Sjogren's syndrome

Necrotizing Sialometaplasia

Actinic Chelitis

Leukoplakia

Erythroplakia

benign mixed tumor

odontoma-compound

odontoma - complex

ameloblastoma

Neurofibromatosis
