1/12
Looks like no tags are added yet.
Name | Mastery | Learn | Test | Matching | Spaced | Call with Kai |
|---|
No analytics yet
Send a link to your students to track their progress
Amoeba
Kingdom: Protista
Phylum: Amoebozoa

amoeba parts
pseudopodia, nucleus, ectoplasm
Ceratium
Kingdom: Protista
Phylum: Dinoflagellata

Ceratium parts
Theca ( armored plates)
Longitudinal flagellum (sulcus)
Transverse Flagellum (cingulum)
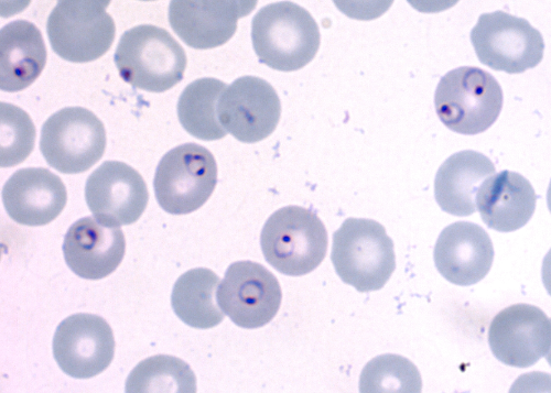
Plasmodium spp.
Kingdom: Protista
Phylum: Apicomplex

Stentor
Kingdom: Protista
Phylum: Ciliata (Ciliophora)
Stentor parts
Cilia
Macronuclear nodes
Holdfast
Vorticella
Kingdom: Protista
Phylum: Ciliata (Ciliaophora)

Vorticella parts
Cilia
Stalk
Contractile Vacuole
Peristome
Spirogyra
Kingdom: Protista
Phylum: Chlorophyta

Chlamydomonas
kingdom: protista
Phylum: chlorophyta
Order: Chlamydomonales

volvox
Kingdom: protista
Phylum: Chlotophyta
Order: volvocida

Volvox Parts
Flagella
daughter colony
cytoplasmic fibre