1/219
Looks like no tags are added yet.
Name | Mastery | Learn | Test | Matching | Spaced | Call with Kai |
|---|
No analytics yet
Send a link to your students to track their progress
Skeletal muscle

Skeletal muscle

Skeletal muscle

Smooth muscle

Skeletal muscle

visceral muscle

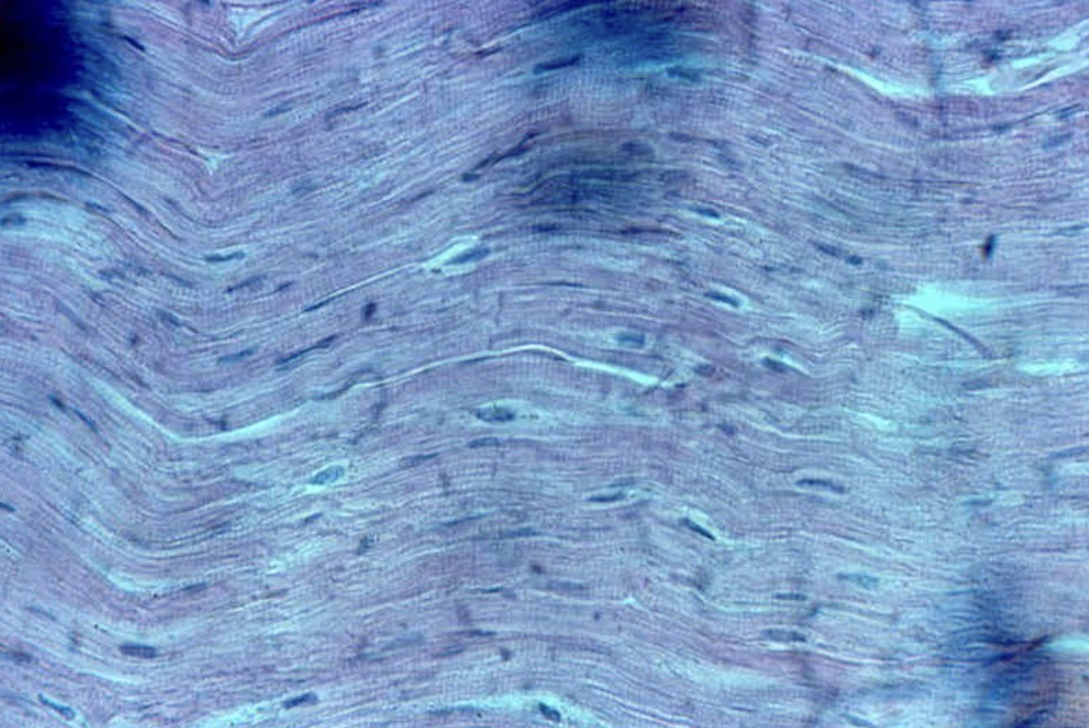
cardiac muscle

cardiac muscle

branching fibers of cardiac muscle

intercalated discs

Muscle spindle skeletal muscle

motor unit

frontalis
1 (red circle)

parathyroid gland
label 1

adrenal cortex
label 2

adrenal medulla
label 3

testis
label 5

ovaries
label 13

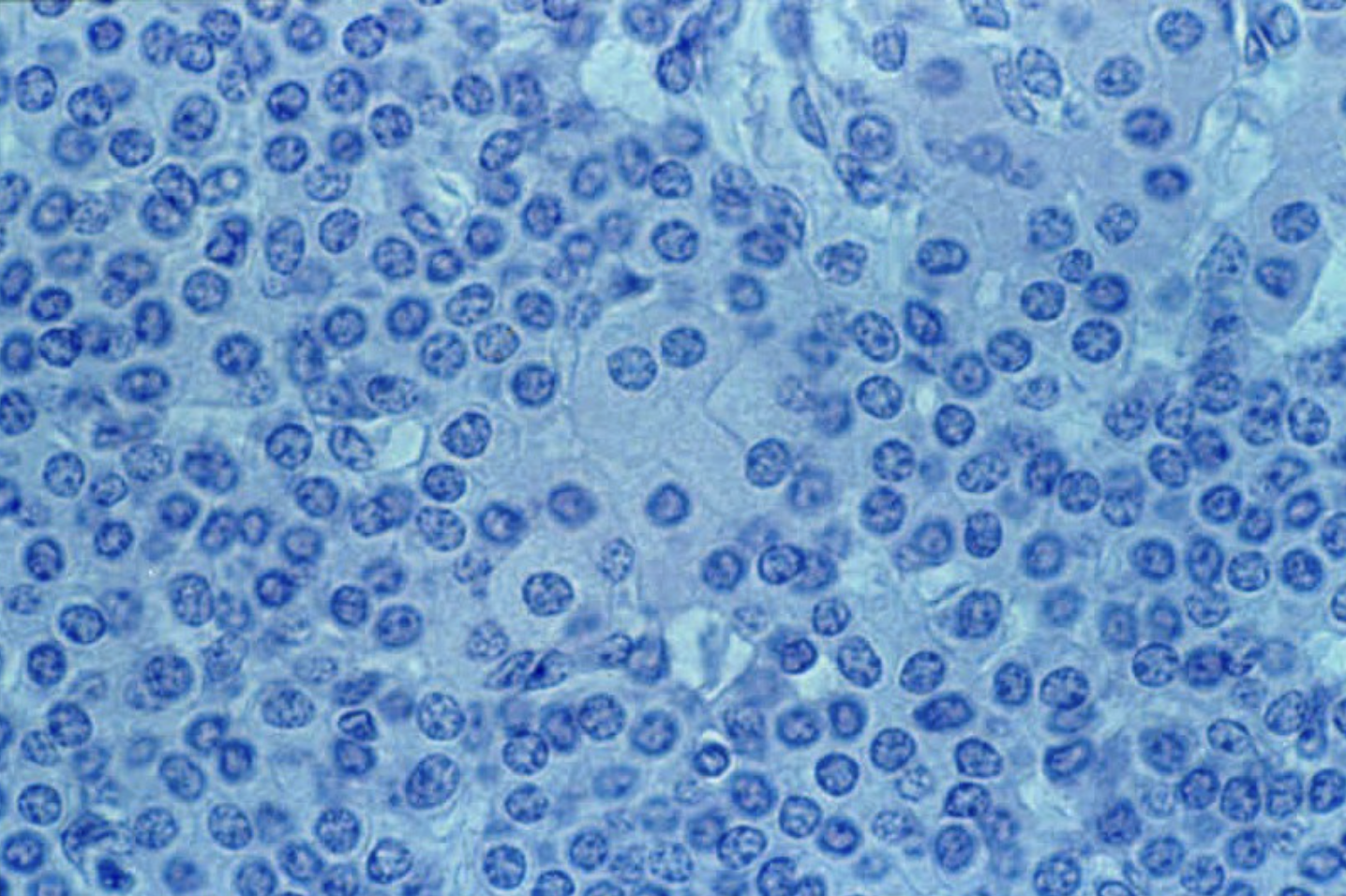
Islets of the pancreas
label 10

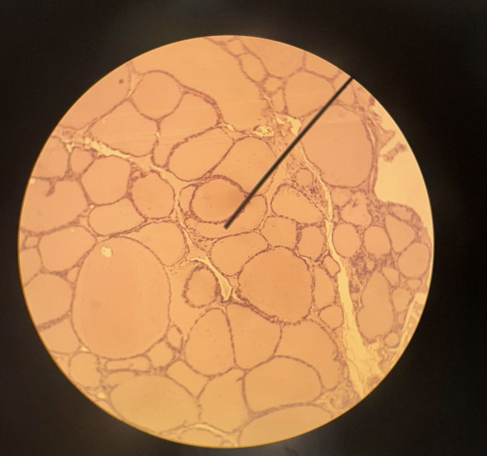
thyroid gland
label 9

AP (anterior pituitary)
label 1

intermediate pituitary
label 2

PP (posterior pituitary)
label 3

adrenal gland
4

kidney
14

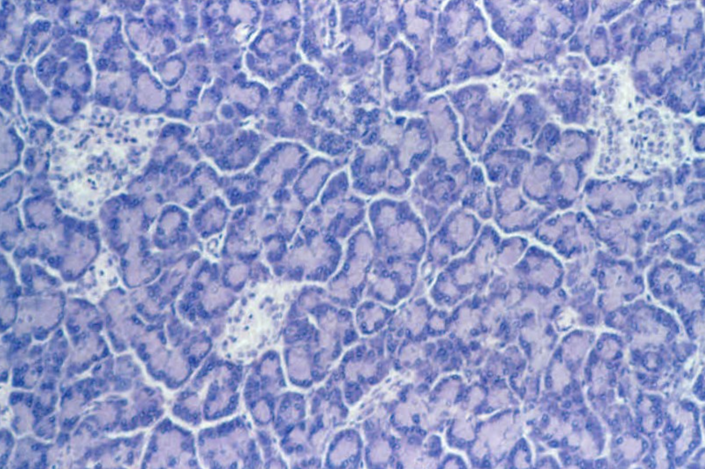
pancreas
15

parathyroid gland

pancreas tissue

choroid
1

sclera
2

iris
5

pupil
6

sclera
4

lacrimal gland
1

superior rectus
2

medial rectus
3

lateral rectus
4

tapetum lucidum

optic nerve

lens

cornea
what is being cut into

retina

vitreous humor

aqueous humor
1

vitreous humor
2

auditory canal
1

tympanic membrane
2

cochlea
4

stapes
7

vestibule
5

semicircular ducts
6

anterior semicircular duct

lateral semicircular duct

incus

stapes

malleus

auditory nerve

auditory tube
name this structure that makes up the inner/internal ear

Posterior gray horn
1

Lateral gray horn
2

Anterior gray horn
3

central gray commissure
name the yellow region

central canal

anterior median fissure
blue line

posterior median sulcus
blue line

dorsal root ganglion
1

dorsal root
2

white matter
3 is what type of matter

gray matter
4 is what type of matter

ventral root
6

spinal nerve
5

dorsal ramus
1

ventral ramus
2

white ramus
3

gray ramus
4

muscle cell
2

neuromuscular junction
2

motor neuron axon
3

CN I
Olfactory
CN II
Optic
CN III
Oculomotor
CN IV
Trochlear
CN V
Trigeminal
CN VI
Abducens
CN VII
Facial
CN VIII
Vestibulocochlear
CN IX
Glossopharyngeal
CN X
Vagus
CN XI
Accessory
CN XII
Hypoglossal
Olfactory Bulb, CN I
name the structure and what nerve goes through it

islets of langerhans

Internal ear

Cerebellum

Taste buds

thyroid gland

Intercalated disc
Name this structure

Cardiac muscle
name the muscle type

Central canal
name this structure

CN III, IV, V1, VI
what cranial nerves pass through the superior orbital fissure
