1/56
Looks like no tags are added yet.
Name | Mastery | Learn | Test | Matching | Spaced | Call with Kai |
|---|
No analytics yet
Send a link to your students to track their progress
Image broadening
What is this image representing

Test to see how lateral resolution is on probe
What is this image representing

White structures are all the same size, but same appear wider because of the beam width. If this changes over time than lateral resolution is getting worse
How do you check lateral resolution with the test in the image

Move the focus down
How would you fix this image

Acoustic speckle
What artifact is making this liver look sick

Reverberation
What is this image demonstrating

Reverb from baby's skull
What is this image demonstration

Move probe around it
How would you correct for this artifact

Can hind anatomy of baby's brain
Why can this specific artifact be hurtful

Reverb from metal IUCD
What is this image demonstrating

Gas in duodenum causing ring down
What does this image represent

Reverb from surgery (tubes tied)
What does this image represent

How the diaphragm creates a mirror image
What is this image showing

Mirror image of liver
What are these images representing

Edge shadow
What does this image represent

Interpolation
What is causing the edge shadowing to appear "not that bad"

Reverb
What artifact is 1

Edge shadowing
What artifact is 2

Edge shadowing
What artifact is represented in this image

How Rectus abdominus causes refractive duplication
What does this image represent

Refractive duplication causing appearance of 2 gestational sacs
What does this image represent

Two aortas from refractive duplication
What does this image represent

Reverb
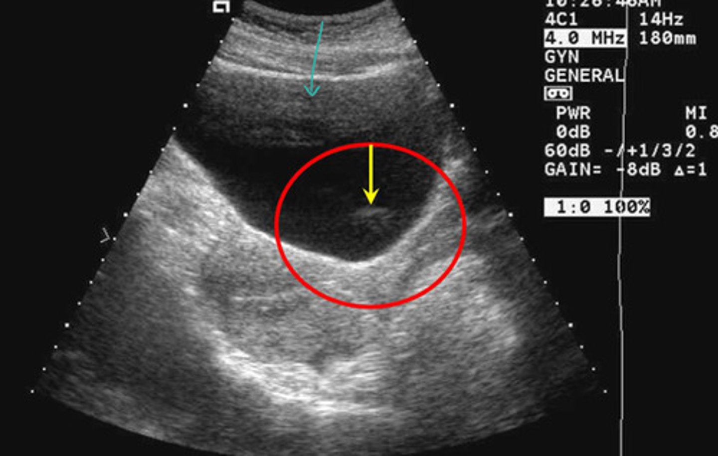
What kind of artifact is the teal arrow pointing to

Side lobes
What kind of artifact is the yellow arrow pointing to

Propagation speed error
What artifact causes this

Because machine put diaphragm deeper than it is from propagation speed error
Why is this measurement probably not accurate

SV is not in vessel but PRF is so high it is getting Doppler info from unknown depths
Explain why this image represents range ambiguity

Shadow from calcified plaque
What is this image representing

Calcified bones causing shadowing
What does this image represent

Echoes just from enhancement of above structure
Why are the echoes in the arrow is pointing to not that concerning

Focal enhancement
What artifact is represented by this image

Aliasing
What is causing the spectral to be like this

Aliasing
What artifact is this

Can't tell what direction blood is going
Why is aliasing bad

doppler slice thickness
artifact

Twinkle artifact
What artifact is shown in this picture

Doppler mirror image
What artifact is this

Doppler mirror image
What artifact is this

Doppler flash or clutter
What artifact is this

Doppler noise
What artifact is this

Electrons interference
What is fault is causing this

60Hz bandwidth artifact
What is this called

Point spreading
What does this image show

Comet tail artifact
What does this image show

Ring-down artifact
What does this image show

Refractive duplication
What does this image show

Shadowing
What does this image show

Spectral aliasing
What does this image show

Colour aliasing
What does this image show

Colour Doppler mirror image
What does this image show

Noise
What does this image show

Edge shadowing artifact
What type of artifact does this image show

Enhancing artifact
What type of artifact does this image show

Reverberation artifact
What type of artifact does this image show

Slice thickness artifact
What type of artifact does this image show

Mirror image artifact
What type of artifact does this image show

Speed error artifact
What type of artifact does this image show
