1/4
Looks like no tags are added yet.
Name | Mastery | Learn | Test | Matching | Spaced | Call with Kai |
|---|
No analytics yet
Send a link to your students to track their progress
Nondisjunction
An error in meiosis or mitosis in which members of a pair of homologous chromosomes or a pair of sister chromatids fail to separate properly from each other; results in the production of zygotes with abnormal chromosome numbers

Monosomy
A chromosomal abnormality consisting of the absence of one chromosome from the normal diploid number

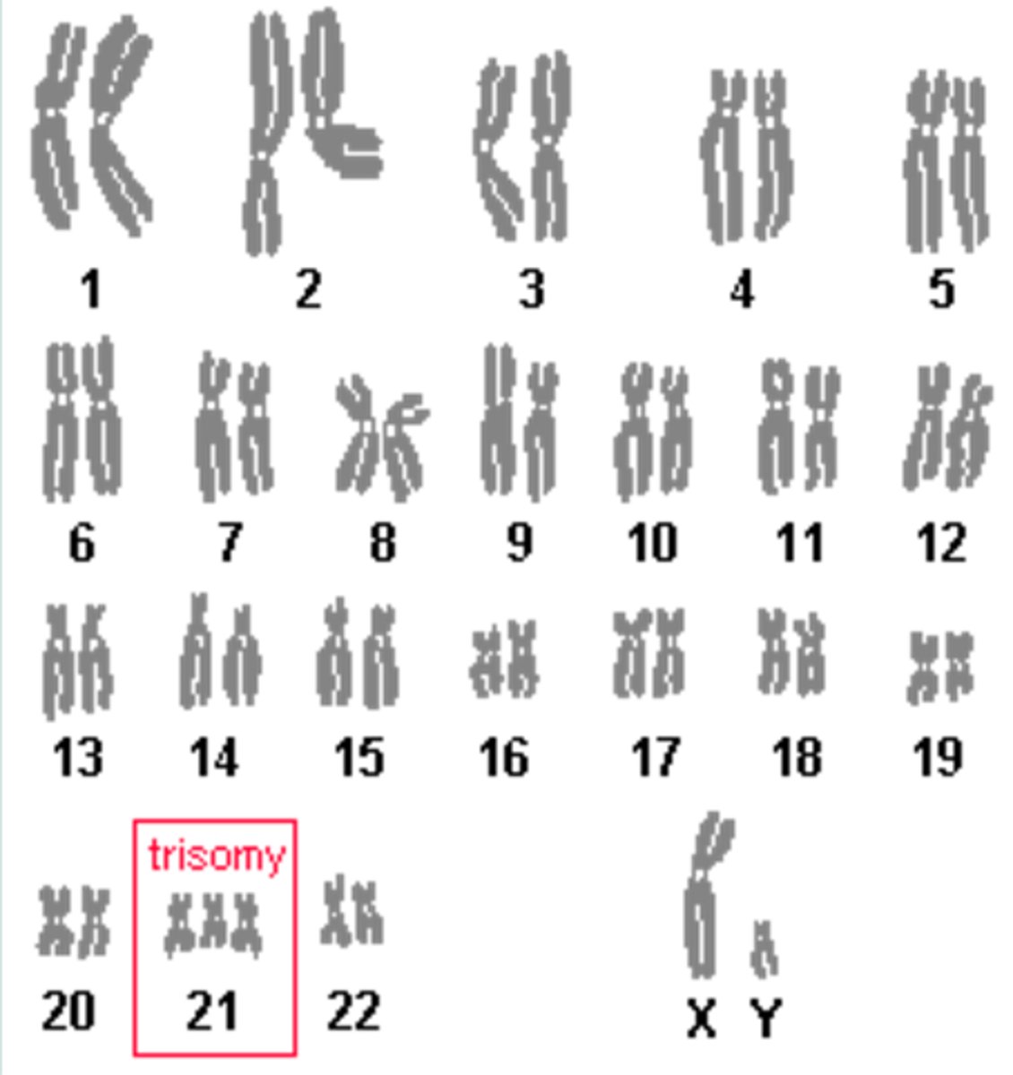
Trisomy
A chromosomal abnormality consisting of an extra copy of a chromosome from the normal diploid number, causes developmental abnormalities

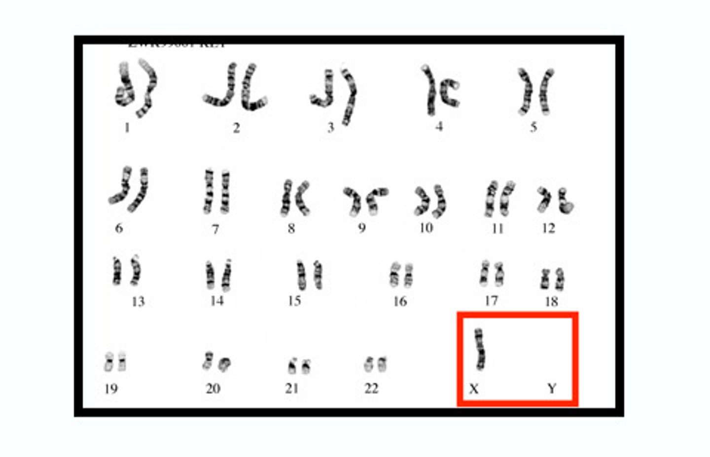
Human Karyotype
Diploid cells in humans have 23 sets of homologous chromosomes; each homologous set is made up of 2 homologues; sets 1-22 are autosomes and determine most of the traits; set 23 consists of the sex chromosomes

Down's Syndrome (Trisomy 21)
One of most common genetic disorder caused by chromosomal abnormality; babies born with three copies of chromosome 21; 90% cases the extra chromosome comes from the egg; affects 1 out of every 800 - 1000 babies born; occurs more frequently in women older than 35; symptoms include flat face, small broad nose, abnormal ears, large tongue, upward slanting eyes with small folds; increased risk of developing respiratory infections, gastro-intestinal obstructions, leukemia, heart defects, moderate to severe mental retardation; decreased life expectancy → only ½ live to 50
