1/71
Looks like no tags are added yet.
Name | Mastery | Learn | Test | Matching | Spaced | Call with Kai |
|---|
No analytics yet
Send a link to your students to track their progress
mammal tooth in situ

dentin
identify 1

root
identify 2

pulp
identify 3

periodontal ligament
identify 4

salivary gland composite

parotid gland
identify 1

submandibular gland
identify 2

sublingual gland
identify 3

stomach composite

mucosa
identify 1

submucosa
identify 2

muscularis externa
identify 3

serosa
identify 4

cardiac stomach

muscularis externa
identify 3

mucosa
identify 1

submucosa
identify 2

serosa
identify 4

pyloric stomach

mucosa
identify 1

submucosa
identify 2

serosa
identify 4

muscularis externa
identify 3

fundic stomach

mucosa
identify 1

submucosa
identify 2

serosa
identify 4

muscularis externa
identify 3

duodenum

villi
identify 7

mucosa
identify 2

submucosa
identify 3

serosa
identify 6

muscularis externa
identify 5

jejunum

villi
identify 1

mucosa
identify 4

submucosa
identify 5

muscularis externa
identify 6

colon

mucosa
identify 1

submucosa
identify 2

muscularis externa
identify 3

serosa
identify 4

liver

lobules
identify 1

central vein
identify 2

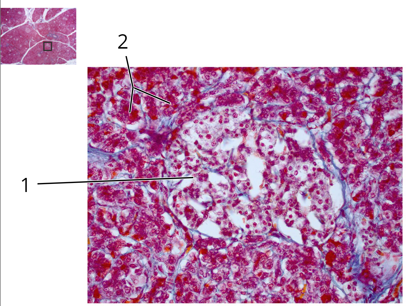
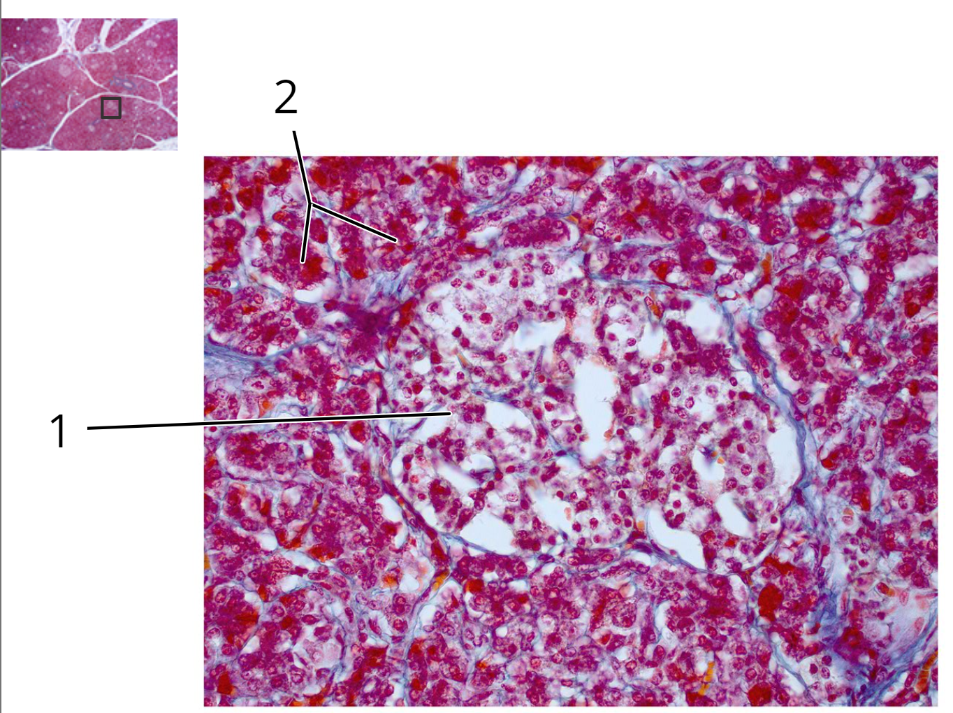
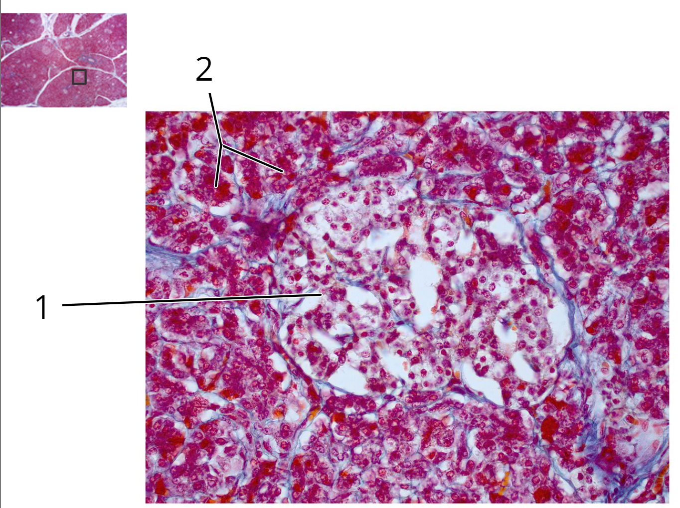
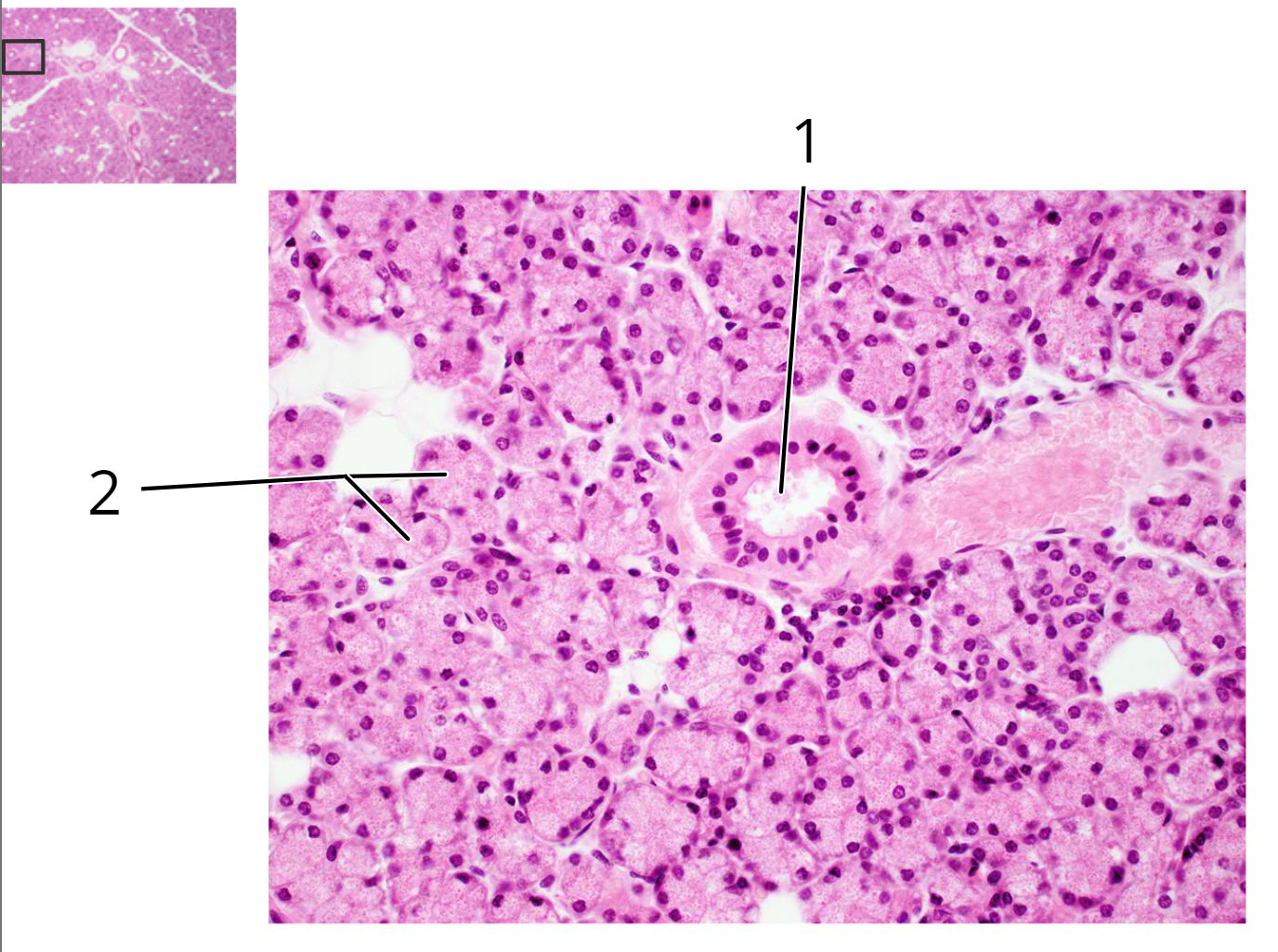
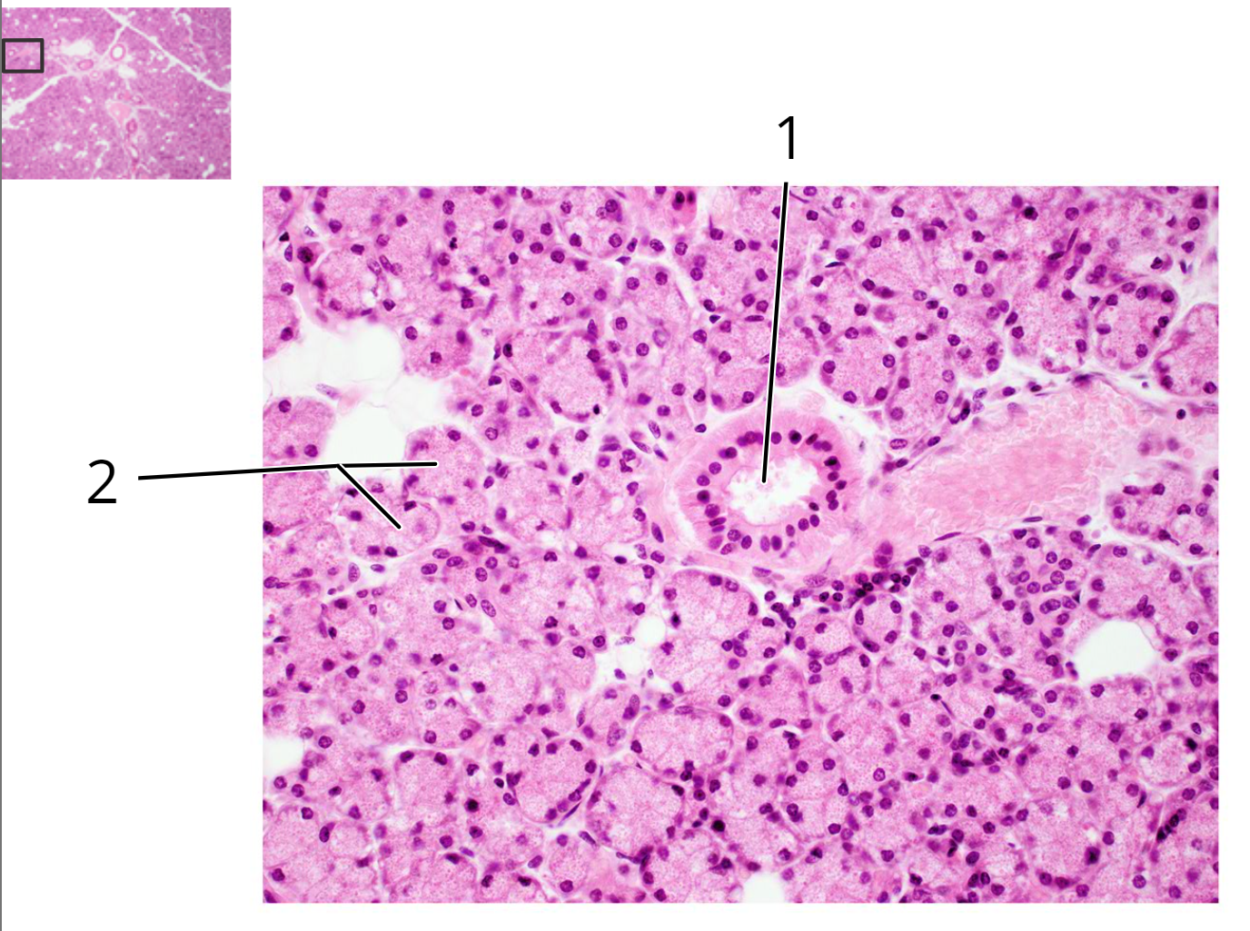
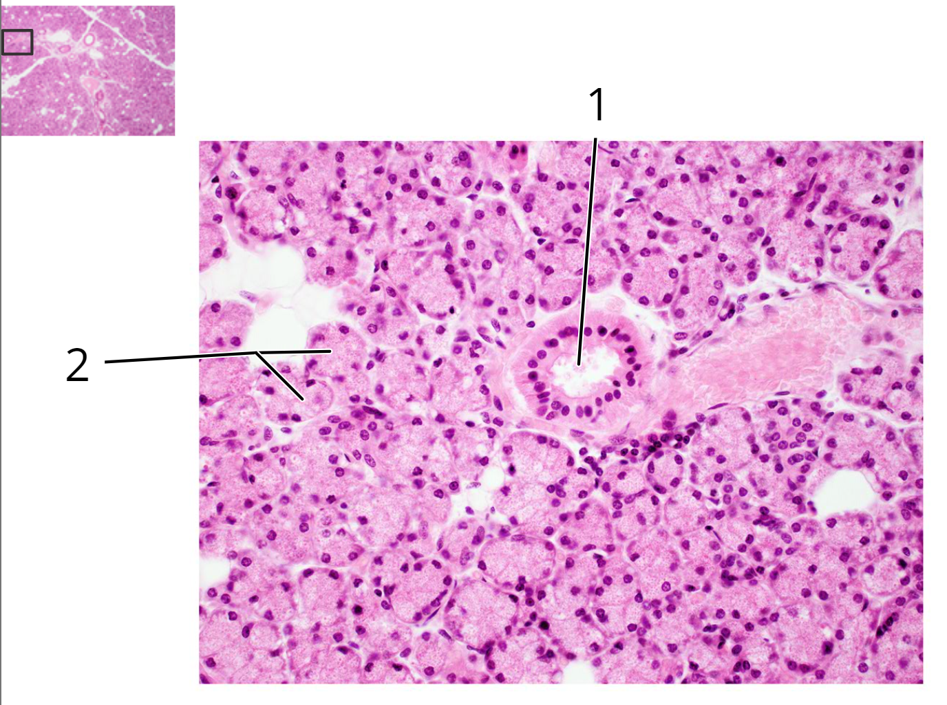
pancreas

pancreatic islet
identify 1

acinar cells
identify 2

acute suppurative appendicitis

rectum

mucosa
identify 1

muscularis externa
identify 4

submucosa
identify 3

muscularis mucosa
identify 2

ileum

submucosa
identify 3

muscularis externa
identify 5

submandibular gland

ducts
identify 1

mucous acini
identify 2

serous acini
identify 3

sublingual gland

mucous acini
identify 1

serous acini
identify 2

ducts
identify 3

lobules
identify 4

parotid gland

duct
identify 1

serous acini
identify 2
