1/9
Looks like no tags are added yet.
Name | Mastery | Learn | Test | Matching | Spaced | Call with Kai |
|---|
No analytics yet
Send a link to your students to track their progress

Skeletal muscle, nucleus, attached to bones, voluntary movement

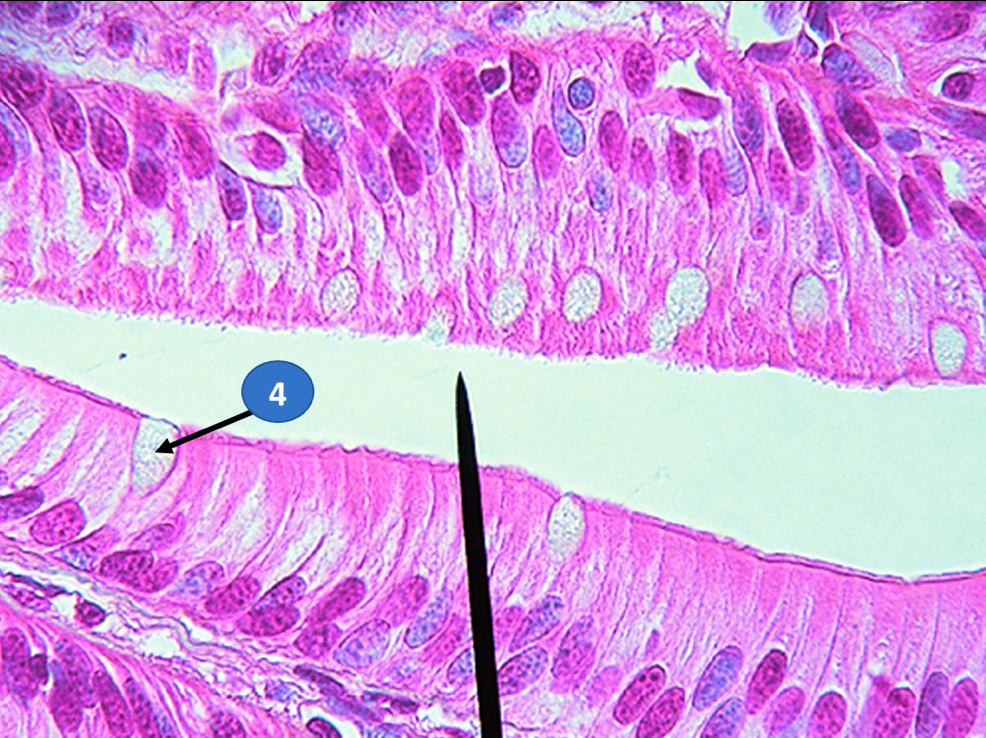
Non ciliated columnar , goblet cell, located in digestive tract, function: secretion and absorption

Elastic cartilage, elastic fibers, ear, support, flexibility

Areolar connective tissue, fibroblast, around blood vessels, in bone marrow, defense and repair, protection, and transport of nutrients.

Simple cuboidal epithelial tissue, cytoplasm, secretory glands, tubes of kidneys, ovaries, absorption, secretion, and protection.

Simple squamous epithelium tissue, plasma (cell) membrane, lungs, heart, blood vessels, diffusion of gases, nutrients, and waste products

Adipose connective tissue, vacuole (stores fat), under skin, around organs, cushioning, energy storage.

Fibrocartilage, lacuna, tendons, ligaments, Cushioning and Shock Absorption.

Cardiac muscle tissue, intercalated disc, heart, involuntary contraction of heart muscles.

Bone, lacuna, support and protection.