1/38
Looks like no tags are added yet.
Name | Mastery | Learn | Test | Matching | Spaced | Call with Kai |
|---|
No analytics yet
Send a link to your students to track their progress
Which gland has the product secreted via a duct?
Exocrine salivary glands
True or False: merocrine glands do not lose cytoplasm during the release of product.
TRUE
What are the five major salivary glands grossly visible?
Parotid
Mandibular
Zygomatic
Sublingual
Molar
What are the minor salivary glands within the oral cavity?
Labial
Lingual
Von Ebners
Buccal
Palantine
Which species has a difference in their mandibular salivary glands within secretion by the nature of the product? What is the difference?
Rodent - serous rather than mixed
Which species has differnces in their sublingual salivary gland secretiosn by nature of the product? What is it?
Rodent - mucous rather than mixed
What salivary gland is always serous regardless of species?
Parotid
What is the secretory product produced by mucous glands?
Mucinogen
What is the name of the arrnagment of mixed salivary glands?
Serous demilune
What is the function of myoepithelial cells?
surround the base of secretory cells to facilitate movement out of the cell via its contractile properties
Which ducts are wiuthin the lobule?
Intercalated and Intralobular (striated)
How do you differentiate Intercalated ducts versus intralobular (striated) ducts?
Intercalated: 4-8 cells in crosssection, VERY small in diameter, simple cuboidal
Intralobular: infoldings causing striation, greater than 8 cells in crosssection, simple columnar
What do the striations in intralobular ducts contain? Why?
They contain situations with mitochondria which creates energy for bicarbonate and potassium into the saliva and to extract sodium and chloride from saliva
What are the defining features of Interlobular ducts?
located in septa between lobules and completely surrounded by connective tissue
Boundaries of the Vestibule
Rostral: lips
Lateral: cheeks
Internal: teeth and gums
Bondaries of oral cavity proper
Rostral/Lateral: teeth and gums
Ventral: tongue and mucosa
Dorsal: hard and soft palate
Is there a Muscularis mucosa in the mouth?
No. Therefore there is a Lamina Propina - Submucosa
Mucocutaneous Junction
site of transition between epidermis and mucous membrane (lips)
Papillae
modifications of mucosa that are projections of tissue from the tongue surface
Which papillae do not contain taste buds?
Conical and Fungiform and both accesory papillae (lenticular & marginal)
Filiform Papillae: Taste Buds Present?, Location, Appearance, Special Species Differences
Taste Buds: NO
Location: dorsal surface of Rostral 2/3
Appearance: sharply pointed apex with broad base
Species Differences: Cat & Cow (keratinized for sandpaper tongue), Horse (no CT core only epithelium)
Fungiform Papillae: Taste Buds?, Location, Appearance
Taste Buds: Yes! - dorsal surface
Location: dorsal surface of Rostral 2/3
Appearance: mushroom with thin stalk
Conical Papillae: Taste Buds?, Location, Appearance, Species Differences
Taste Buds: No
Location: dorsal surface of caudal 1/3
Appearance: pointed apex with wide circular base
Species Differences: Horses (absent)
Vallate Papillae: Taste Buds?, Location, Appearance
Taste Buds: Yes! - lateral wall
Location: dorsal surface between rostral and causal junction
Appearance: large and round mushroom appearance that are submerged into the tongue surface (deep sulcus) with submucosal serous glands at the base (Von-Ebners)
Foliate Papillae: Taste Buds?, Location, Appearance, Species Differences
Taste Buds: Yes! - side of papillae but may degenerate in infancy
Location: dorsolateral surface of caudal 1/3
Appearance: trident like or leaf like projections seperated by sulci with Von Ebners glands
Species Differences: Cow (ABSENT), Cat (no taste buds)
Marginal Papillae
present in neonatal carnivores and pigs along the lateral margins of tongue apex that regress ~ 2 weeks
Lenticular Papillae
present in ruminants and humans that are lens shaped on the surface of torus linguae
What is the average ghost span of taste buds?
10 days
What nerves innervation the taste buds?
CN VII, IX, X

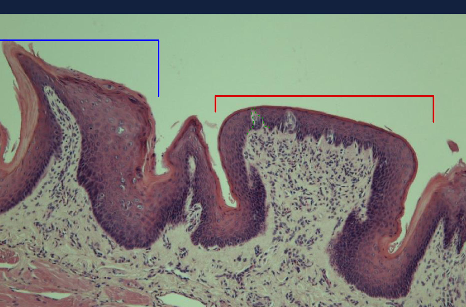
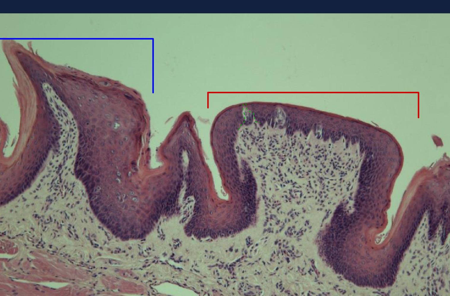
ID
Vallate Taste Bud

ID Blue
Filiform Taste Bud

ID Red
Fungiform Taste Bud

ID Blue
Conical Papillae

ID Red
Vallate Taste Bud

ID Green
Taste Buds

ID Orange
Von Ebner’s Gland

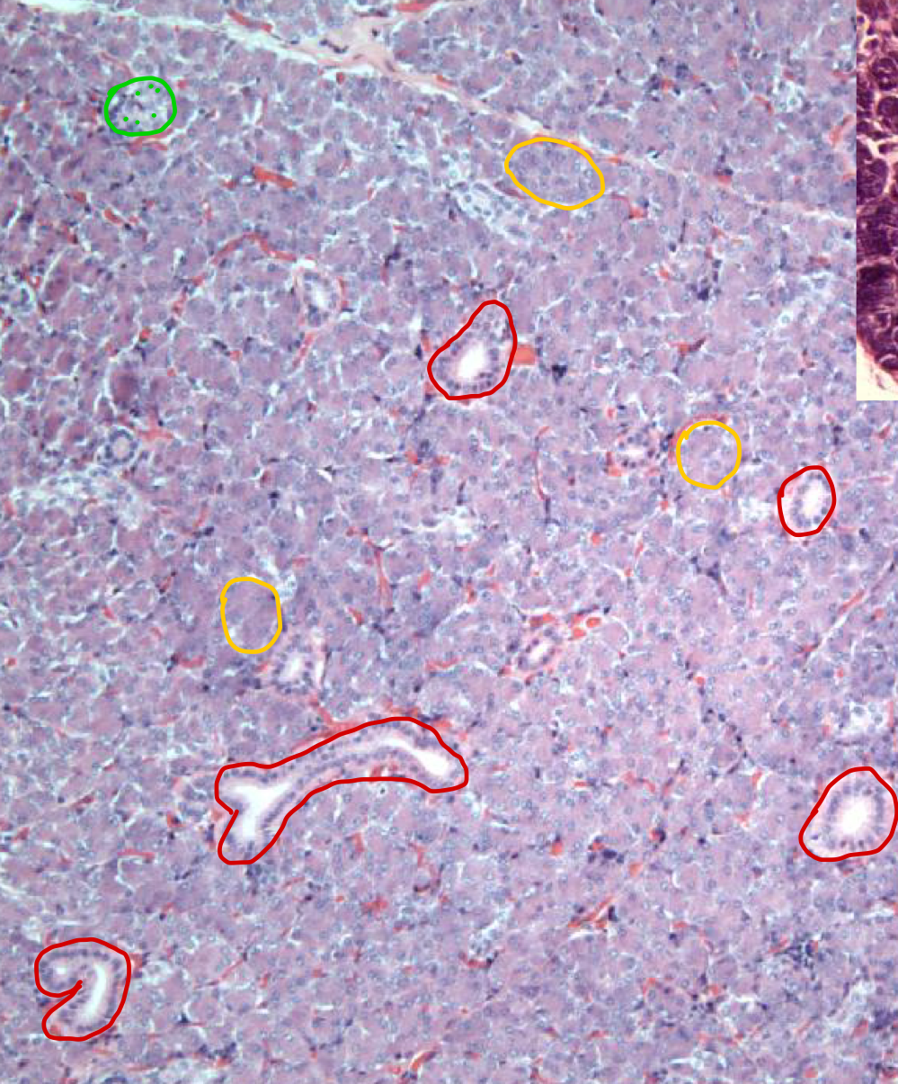
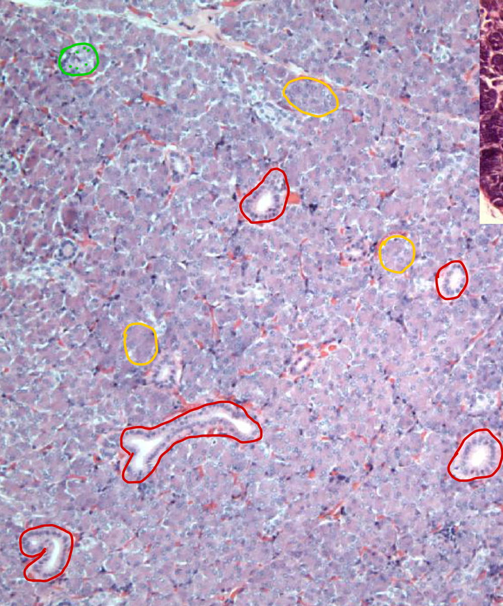
ID Green in a Salivary Gland
Intercalated Duct

ID Red in a Salivary Gland
Intralobular Ducts

ID Orange in a Salivary Gland
Individual Serous Acinus