1/35
Looks like no tags are added yet.
Name | Mastery | Learn | Test | Matching | Spaced | Call with Kai |
|---|
No analytics yet
Send a link to your students to track their progress
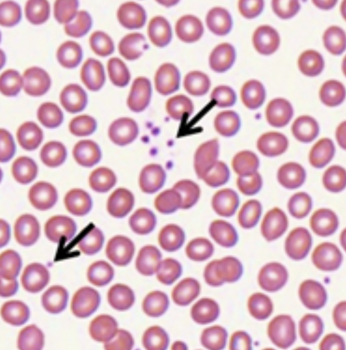
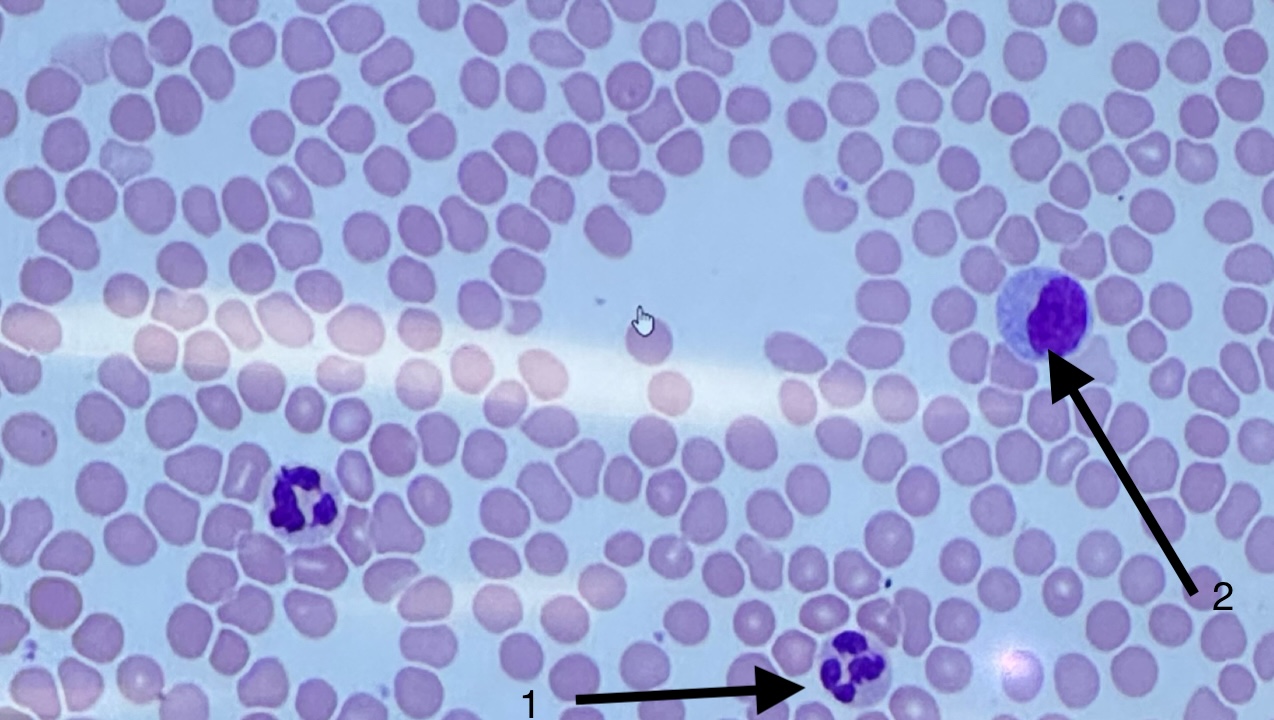
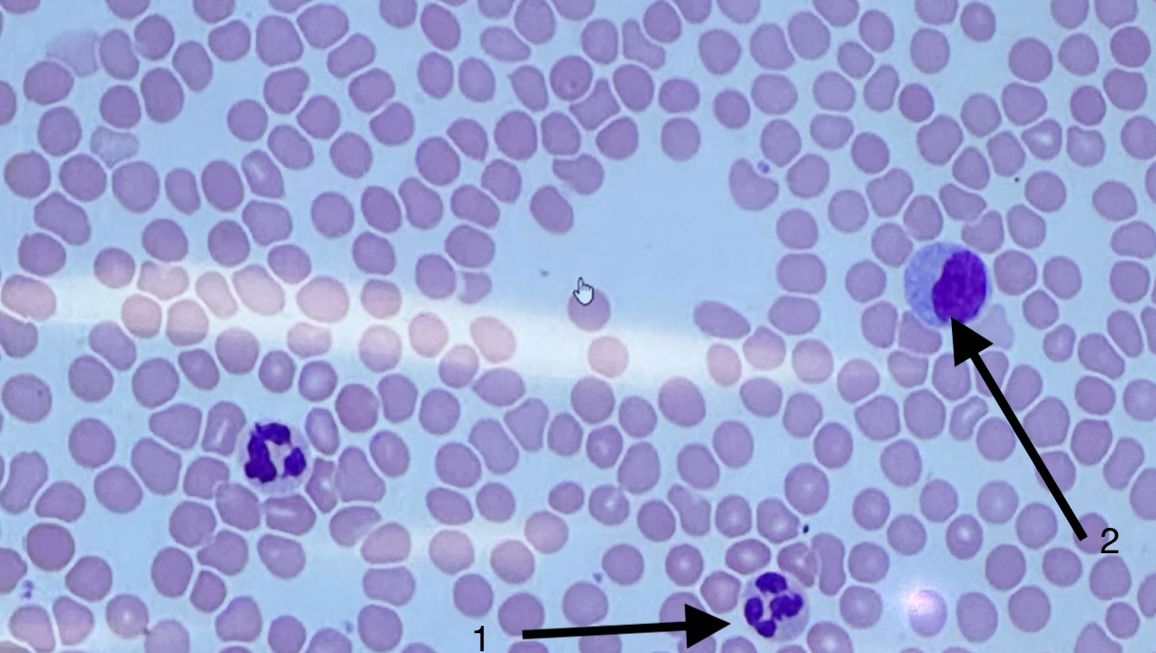
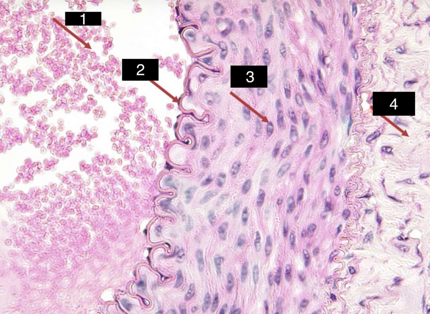
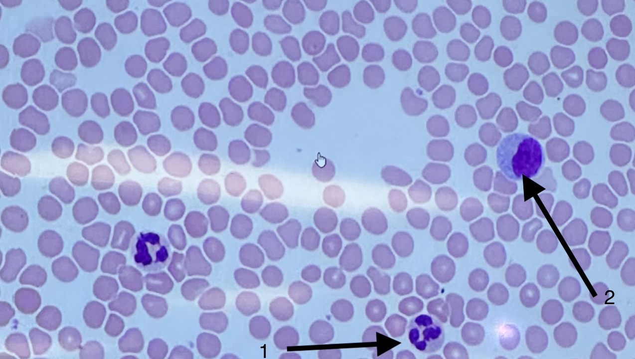
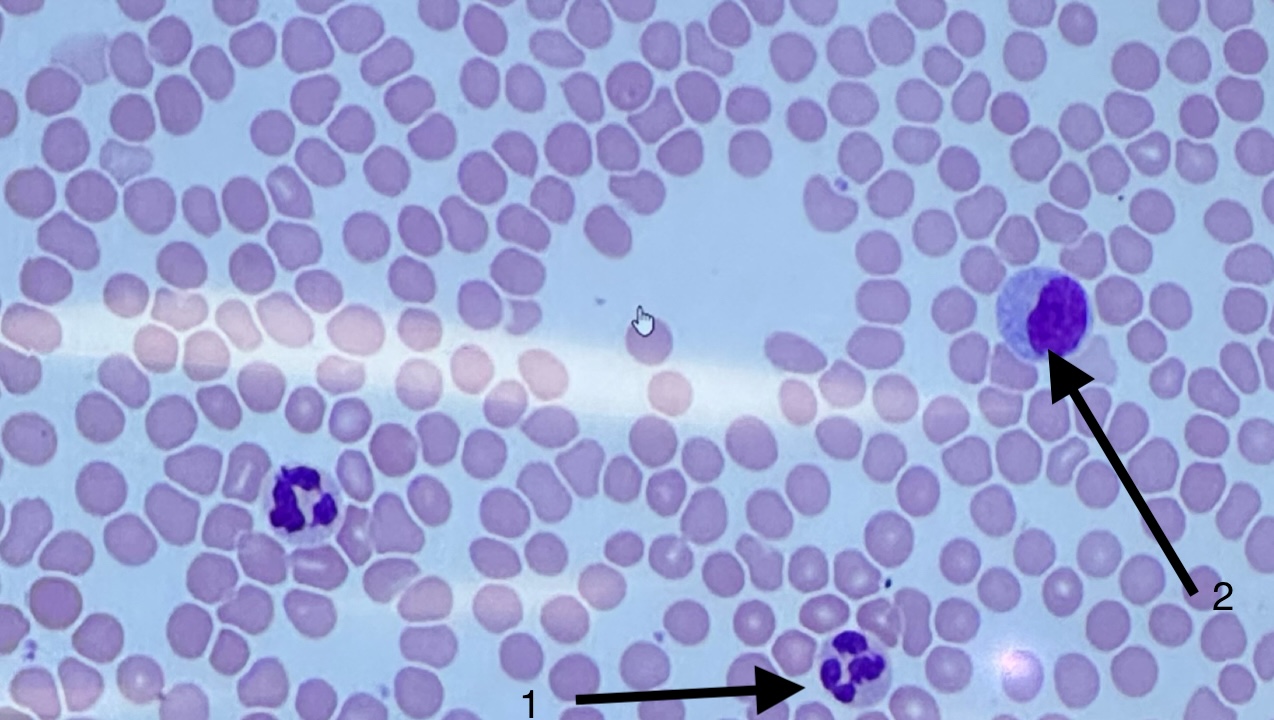
blood

erythrocytes
2

platelets

neutrophils
1

lymphocytes

monocytes
2

cardiac muscle
slide

cardiocyte
whole thing

nucleus
2

intercalated disc
1

artery slide

artery - tunica intima
2

artery - tunica media
3

artery - tunica adventitia
4

vein - slide

vein - tunica intima
1

vein - tunica media
2

vein - tunica adventitia
3

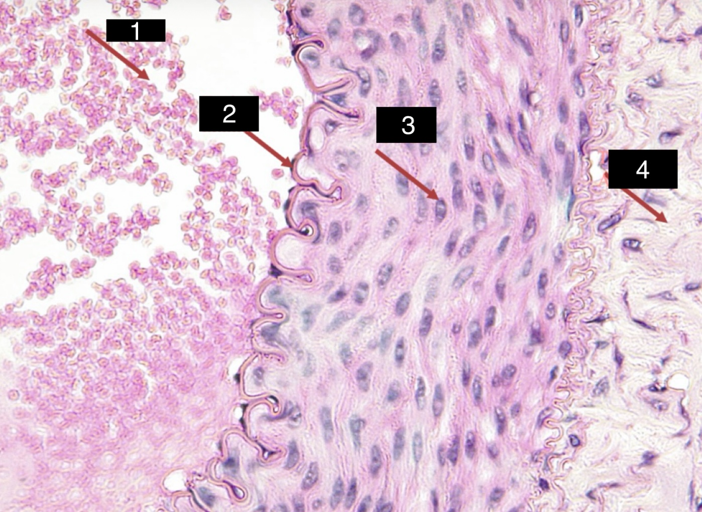
trachea
slide

psuedostratified ciliated columnar epithelium
1

lamina propria
2

tunica submucosa
3

tracheal cartilage
4

trachealis muscle

tunica adventitia
5

lungs
slide

alveoli
1

bronchiole
2

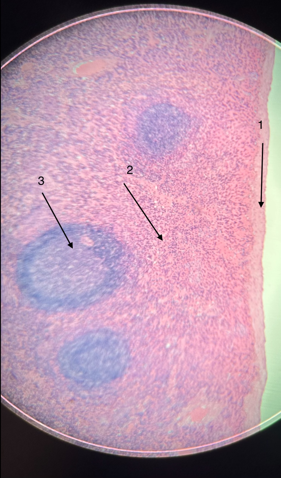
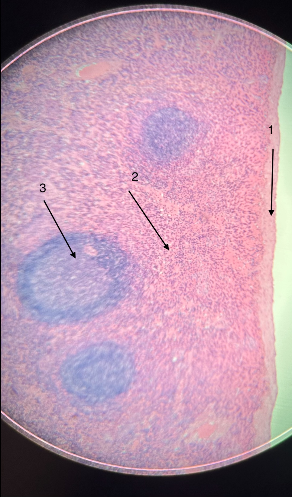
lymph node
slide

capsule
1

cortex
2

medulla
3

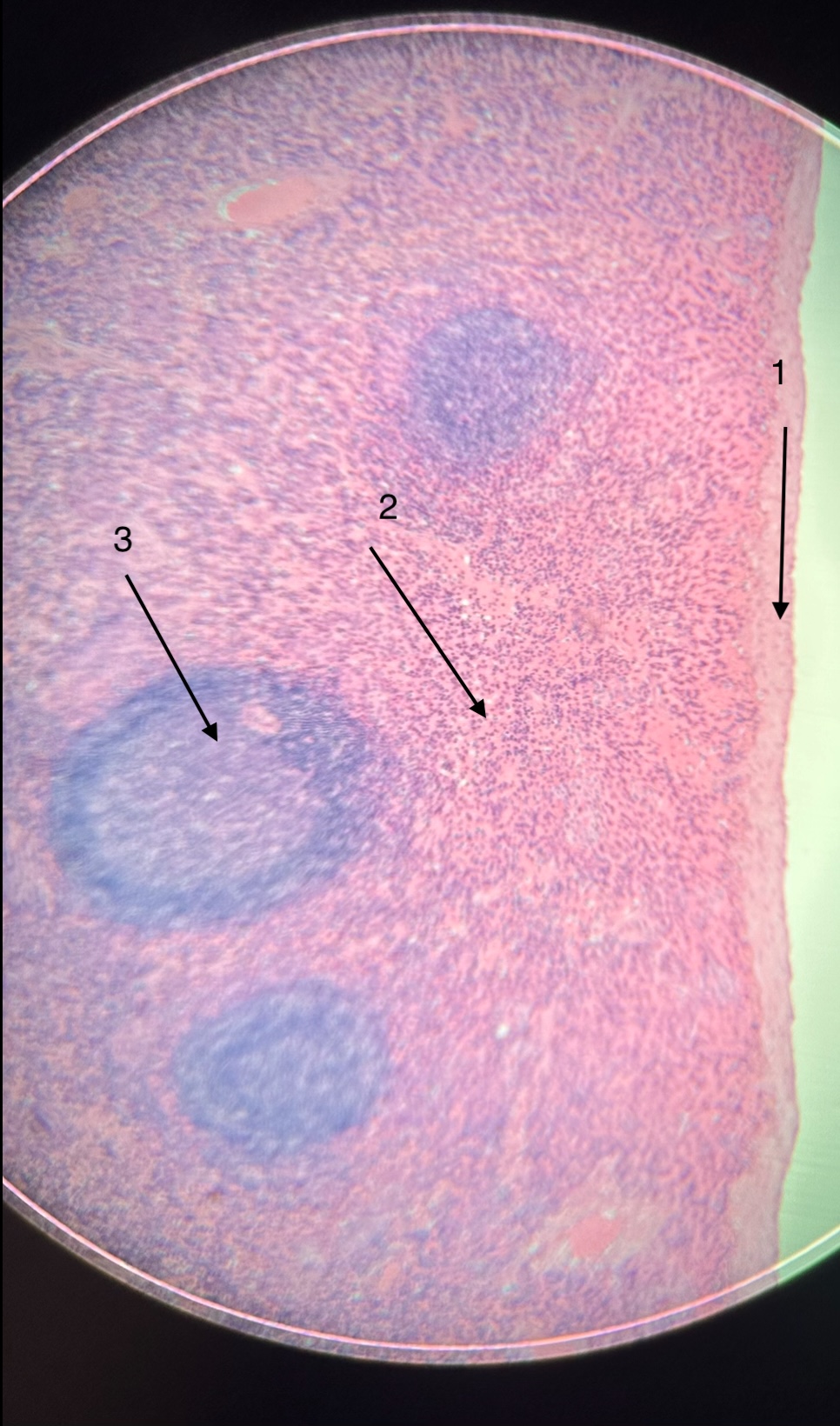
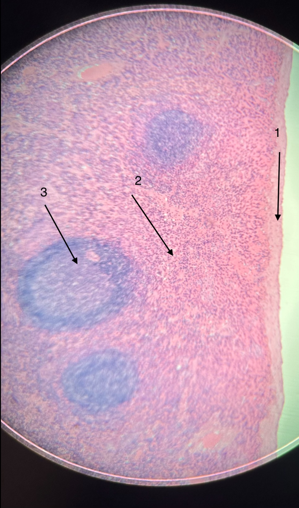
spleen
slide

capsule
1

red pulp
2

white pulp
3
