1/14
Looks like no tags are added yet.
Name | Mastery | Learn | Test | Matching | Spaced | Call with Kai |
|---|
No analytics yet
Send a link to your students to track their progress
Was bildet das MRT ab?
Protonendichte und Zusammensetzung des Gewebes
Benutzt MRT ionisierende Strahlung?
Nein → Magnetfeld
Welche Medien sind signallos (schwarz)?
Knochen und Luft da kaum Protonendichte
Was ist das Prinzip des MRT?
Protonen besitzen einen Drehimpuls
lässt man ein magnetisches Wechselfeld mit der Resonanzfrequenz der Larmorfrequenz-Spins auf die Kerne einwirken = alle Kerne phasensynchron aus ihrer aktuellen Lage zum statistischen Feld ausgelenkt
HF-Impuls → Protonen aus Ordnung herausgeyeeted
bei Ende des Impulses wollen die Protonen in ihre ursprüngliche Lage zurück
Was versteht man unter T1?
Zeitkonstante für den Wiederaufbau der longitudinalen Magnetisierung (Mz) durch Energieabgabe an die Umgebung nach einem HF-Impuls.
Ist die Longitudinalmagnetisierung messbar?
Nein, nur die Transversalmagnetisierung wird gemessen!
Was versteht man unter T2?
Zeitkonstante für den Verlust der transversalen Magnetisierung (Mxy) durch Phasenzerfall der Spins untereinander, ohne Energieabgabe.
Ist T1 länger als T2?
Grundsätzlich Ja. (Skipiste! dauert lange zum hochkommen mit dem Lift und kurz zum runterfahren.)
Hat Wasser lange oder kurze T1/T2-Zeiten?
lange!
Analogie: Longdrink
man geht in eine Bar und steht für den Longdrink an → dauert lange (T1)
Longdrink trinken dauert auch lange (T2)
Hat Fett lange oder kurze T1/T2-Zeiten?
kurze!
Analogie: Fast Food
man muss im Megges nie lange warten (T1)
aufgegessen ist auch schnell (T2)

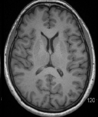
Was ist das Konzept von T1-gewichteten Bildern?
beruhen auf unterschiedlichen T1-Eigenschaften der Gewebe
entscheidender Parameter: TR (time to repetition)
90° Impulse

Welche Strukturen sind im T1-Bild hell bzw. dunkel?
hell: Fette, Teile nach Kontrastmittelanreicherung → kurze T1-Relaxationszeit
dunkel: Muskel, Wasser, Liquor → lange Relaxationszeit (bis longitudinalmagn. wieder hergestellt ist)

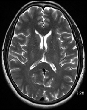
Was ist das Konzept T2-gewichteter Bilder?
Bilder, deren Signal auf unterschiedlichen T2-Eigenschaften der Gewebe beruhen
entscheidender Parameter: time to echo (TE)
bestimmt Gewebekontrast, i.d.R. lang
erst 90° Impuls → nach TE 180° Impuls → Protonen kehren Richtung um → Rephasierung → stärkeres Signal (Spin-Echo)
Je kürzer die TE desto stärker das Signal

Welche Strukturen sind auf dem T2-Bild hell bzw. dunkel?
Flüssigkeiten haben eine lange T2-Relaxationszeit = hell/weiss
Muskel und weisse Substanz = dunkel/dunkelgrau
Wie wird das MRT durchgeführt?
Vollnarkose und lange Untersuchungszeit