1/57
Looks like no tags are added yet.
Name | Mastery | Learn | Test | Matching | Spaced | Call with Kai |
|---|
No analytics yet
Send a link to your students to track their progress

what type of tissue is this (subtype and type)
simple squamous epithelium
what is the main function of simple squamous epithelia
diffusion and filtration of materials, secretes lubricating substances
where are some common places to find simple squamous epithelia
air sacs of lungs, kidney glomeruli, lining of the heart, blood vessels and lymphatic vessels, etc.

what type of tissue is this (subtype and type)
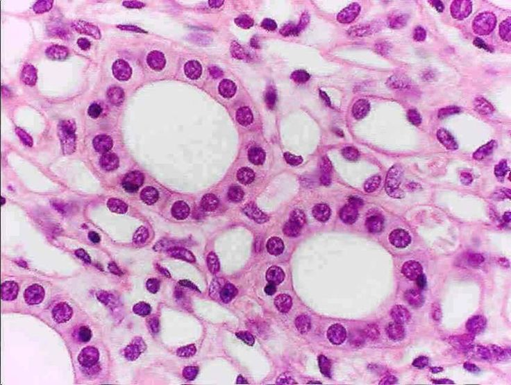
simple cuboidal epithelium
what is the function of simple cuboidal epithelium
secretion and absorption
where are common places to find simple cuboidal epithelia
kidney tubules, ducts and secretory portions of small glands, ovary surface

what type of tissue is this (subtype and type)
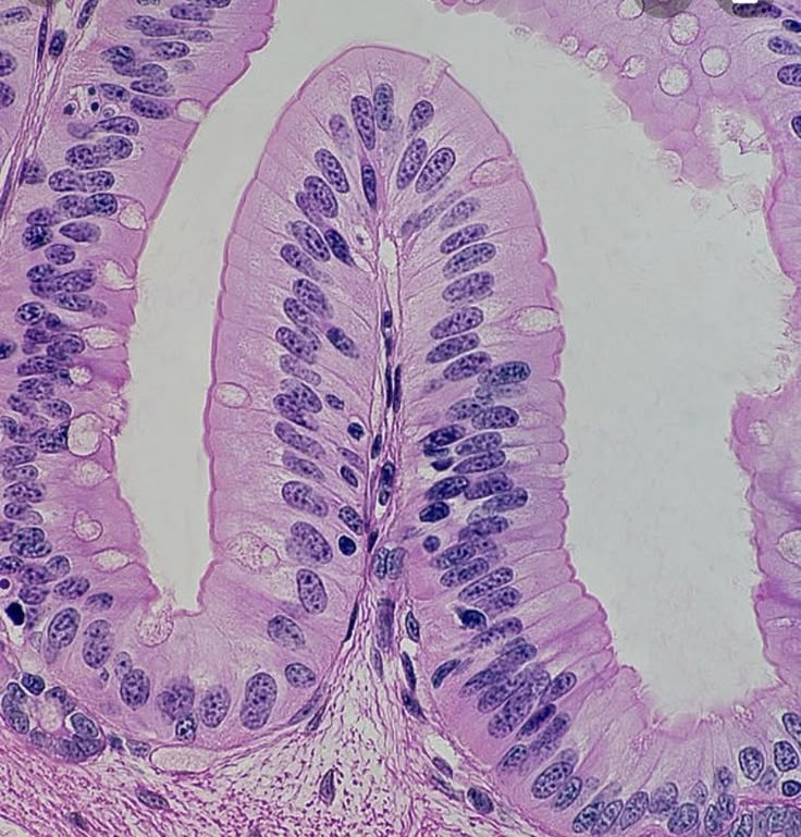
simple columnar
what are the two types of simple columnar epithelia
nonciliated and ciliated
what is the function of simple columnar epithelium
absorption, secretion of mucus, etc. the ciliated type propels mucus around
where would you find ciliated columnar epithelia
bronchi, uterine tubes and some regions of the uterus
where would you find non ciliated columnar epithelia
lines most of the digestive tract, gallbladder, and excretory ducts of some glands

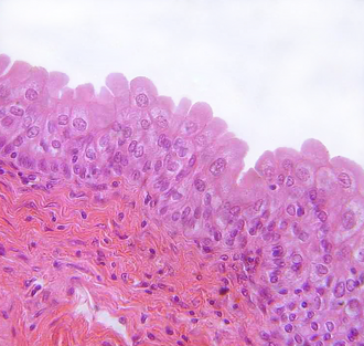
what type of tissue is this (subtype and type)
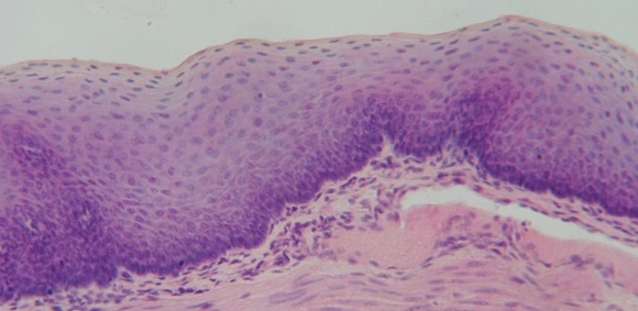
stratified squamous epithelium, non keratinized

what type of tissue is this (subtype and type)
stratified squamous epithelium, keratinized
what is the function of stratified squamous epithelium
protecting underlying tissues
where would you find nonkeratinized stratified squamous epithelia
forms the moist linings of the esophagus, mouth, and vag***
where would you find keratinized stratified squamous epithelia
forms the epidermis of the skin

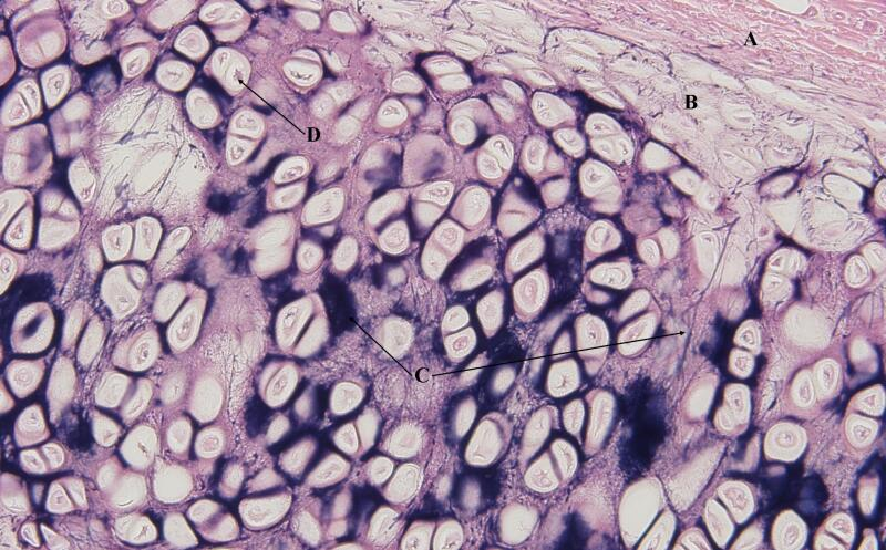
what type of tissue is this (subtype and type)
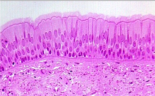
pseudostratified ciliated columnar epithelium
what is the function of pseudostratified ciliated columnar epithelium
secretion of mucus, propulsion of mucus by cilia
where would you find pseudostratified ciliated columnar epithelium
ciliated type lines the trachea and most of the upper respiratory tract

what kind of tissue is this (subtype and type)
transitional epithelium
what is the function of transitional epithelium
stretches and permits distension of certain hollow organs
where would you find transitional epithelium
lines the urinary system

what type of tissue is this (type and subtype)
areolar connective tissue
what is the function of areolar connective tissue
wraps and cushions organs, plays important role in inflammation
where would you find areolar connective tissue
widely distributed around the body

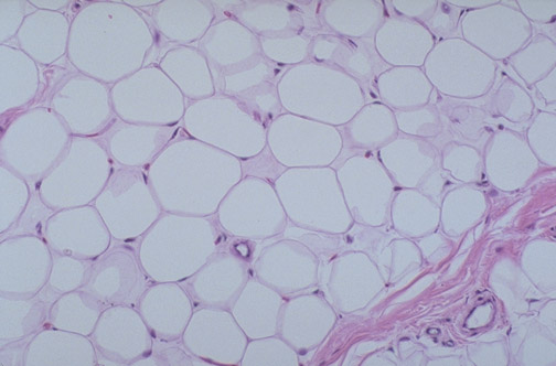
what type of tissue is this (subtype and type)
adipose connective tissue
what is the function of adipose tissue
reserves food fuel, insulates against heat loss, supports and protects organs
where would you find adipose tissue
under the skin in the subcutaneous layer, around the kidneys and eyeballs, and around places that need to be protected

what kind of tissue is this (subtype and type)
reticular connective tissue
what is the function of reticular connective tissue
forms the internal support framework for soft organs and supports other cell types like blood
where would you find reticular connective tissue
lymphoid organs

what kind of tissue is this (type and subtype)
dense regular connective tissue
what is the function of dense regular connective tissue
attaches muscles to bones or other muscles, withstands great tensile stress from ONE DIRECTION
where would you find dense regular connective tissue
tendons and ligaments

what kind of tissue is this (type and subtype)
dense irregular elastic tissue
what is the function of dense irregular elastic tissue
allows for recoil of tissue following stretching
where would you find dense irregular elastic tissue
walls of large arteries, walls of the bronchial tubes

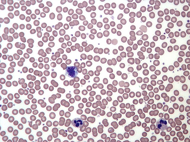
what kind of tissue is this (type and subtype)
fluid connective tissue (blood)
what is the function of fluid connective tissue
transport respiratory gases, nutrients, and waste
where would you find fluid connective tissue
in blood vessels

what kind of tissue is this (type and subtype)
hyaline cartilage, connective tissue type
what is the function of hyaline cartilage
supports and reinforces, has resilient cushioning properties, resists compressive stress
where would you find hyaline cartilage
forms most of the embryonic skeleton, covers end of long bones in joint cavities, forms costal cartilages of the ribs, and is the cartilage that makes up the nose, trachea, and larynx.

what kind of tissue is this (type and subtype)
elastic cartilage, connective tissue
what is the function of elastic cartilage
maintains the shape of the structure while allowing great flexibility
where would you find elastic cartilage
supports the external ear (pinna) epiglottis

what kind of tissue (subtype and type)
fibrocartilage, connective tissue
what is the function of fibrocartilage
tensile strength with the ability to absorb compressive shock
where would you find fibrocartilage
intervertebral discs, discs of knee joint

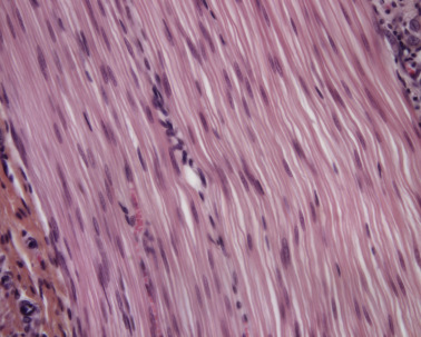
what kind of tissue is this (subtype and type)
skeletal muscle tissue

what kind of tissue is this (subtype and type)
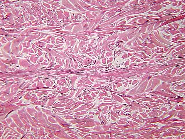
cardiac muscle tissue

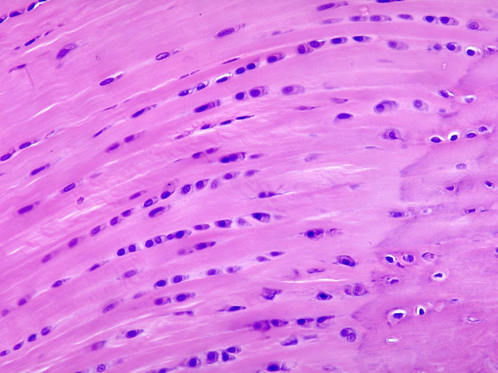
what kind of tissue is this
smooth muscle tissue

what kind of tissue is this
nervous tissue

what structure is this and where is it from
osteon, in bones

what structure is this
haversian canals
what are the four layers of the epidermis we talk about
stratum corneum
stratum granulosum
stratum spinosum
stratum basale
what is the type of epidermis only found in thick skin
stratum lucidum
what is the acronym for the 4 layers of normal epidermis layers
cohn’s grubby spider basement