1/483
Looks like no tags are added yet.
Name | Mastery | Learn | Test | Matching | Spaced | Call with Kai |
|---|
No analytics yet
Send a link to your students to track their progress
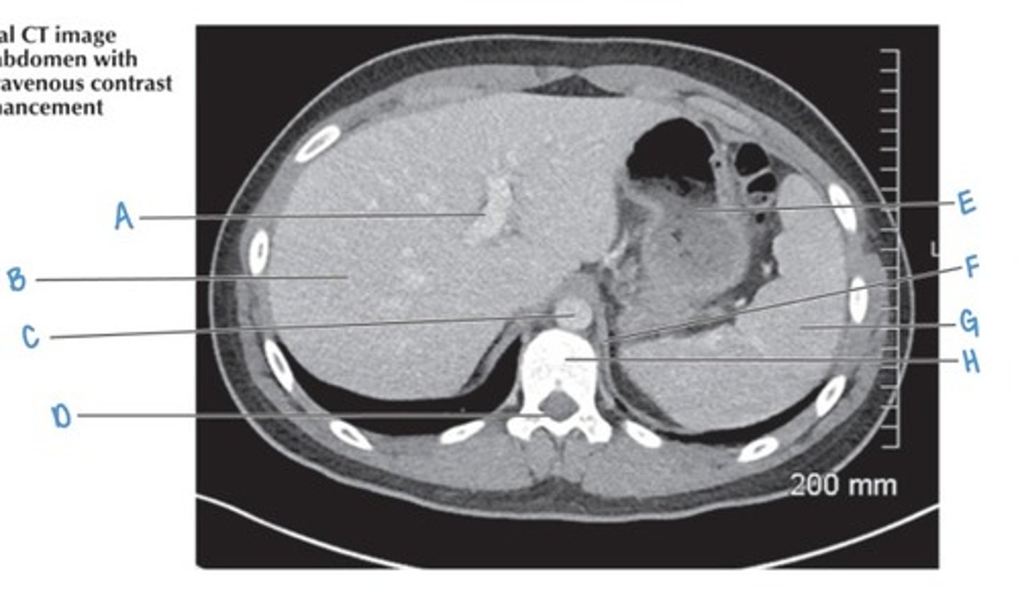
kidney
A

ascending colon
B

right hepatic vein
C

inferior vena cava
D

gastroesophageal junction
E

stomach
F

tail of pancreas
G

spleen
H

aorta
I

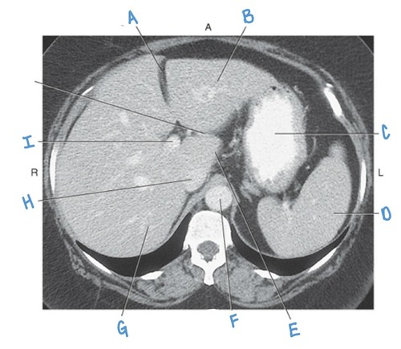
inferior vena cava
A

right hepatic vein
B

middle hepatic vein
C

left hepatic vein
E

gallbladder
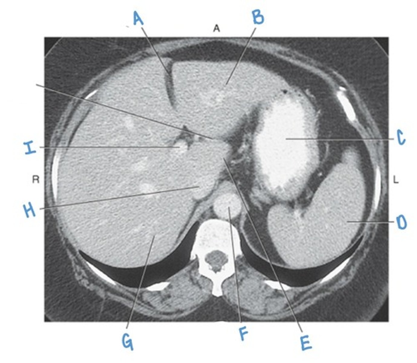
A

body of pancreas
B

splenic vein
C

spleen
D

aorta
E

inferior vena cava
F

right lobe of the liver
G

portal vein
H

portal vein
A

right lobe of the liver
B

aorta
C

spinal canal
D

stomach
E

left crus
F

spleen
G

vertebral body
H

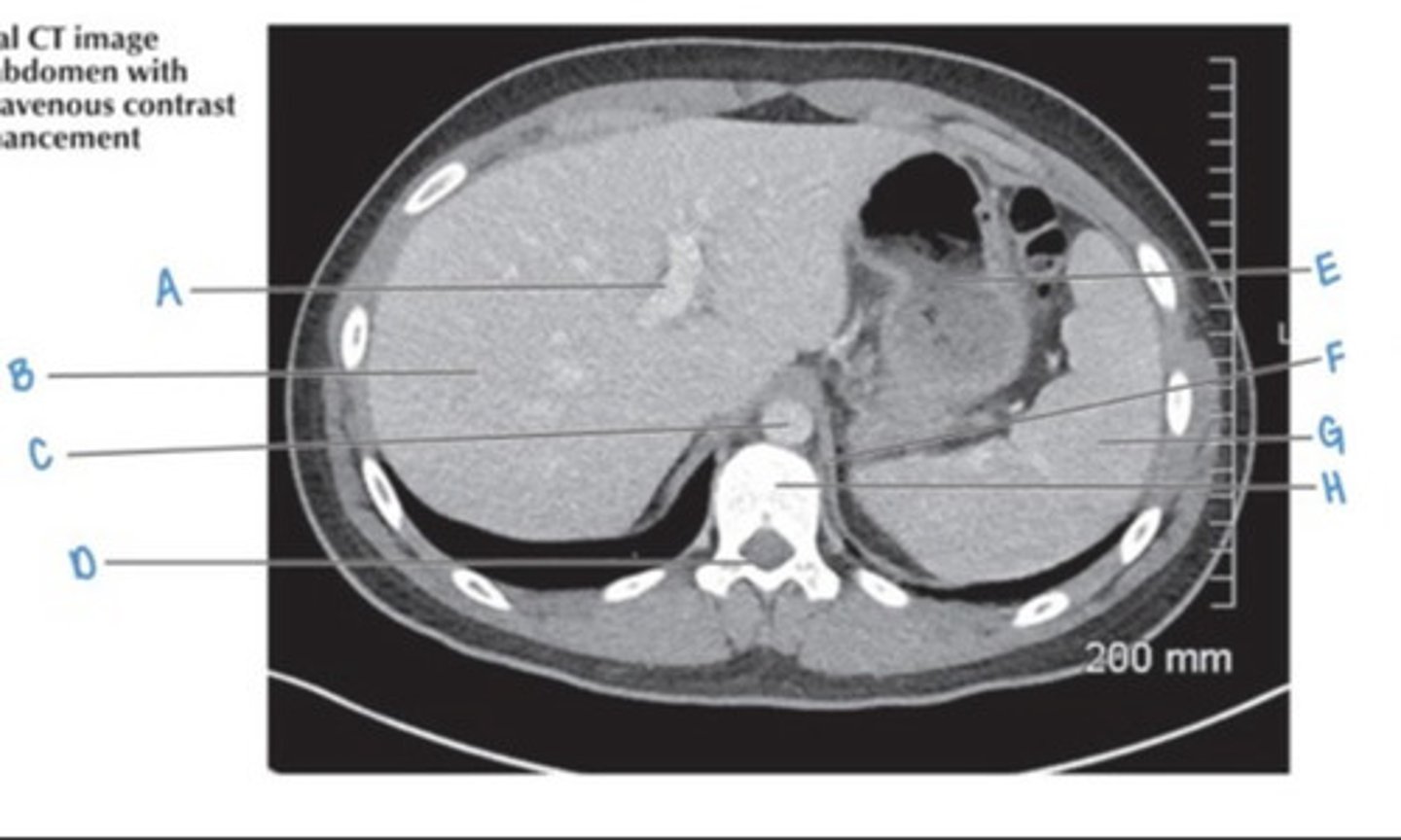
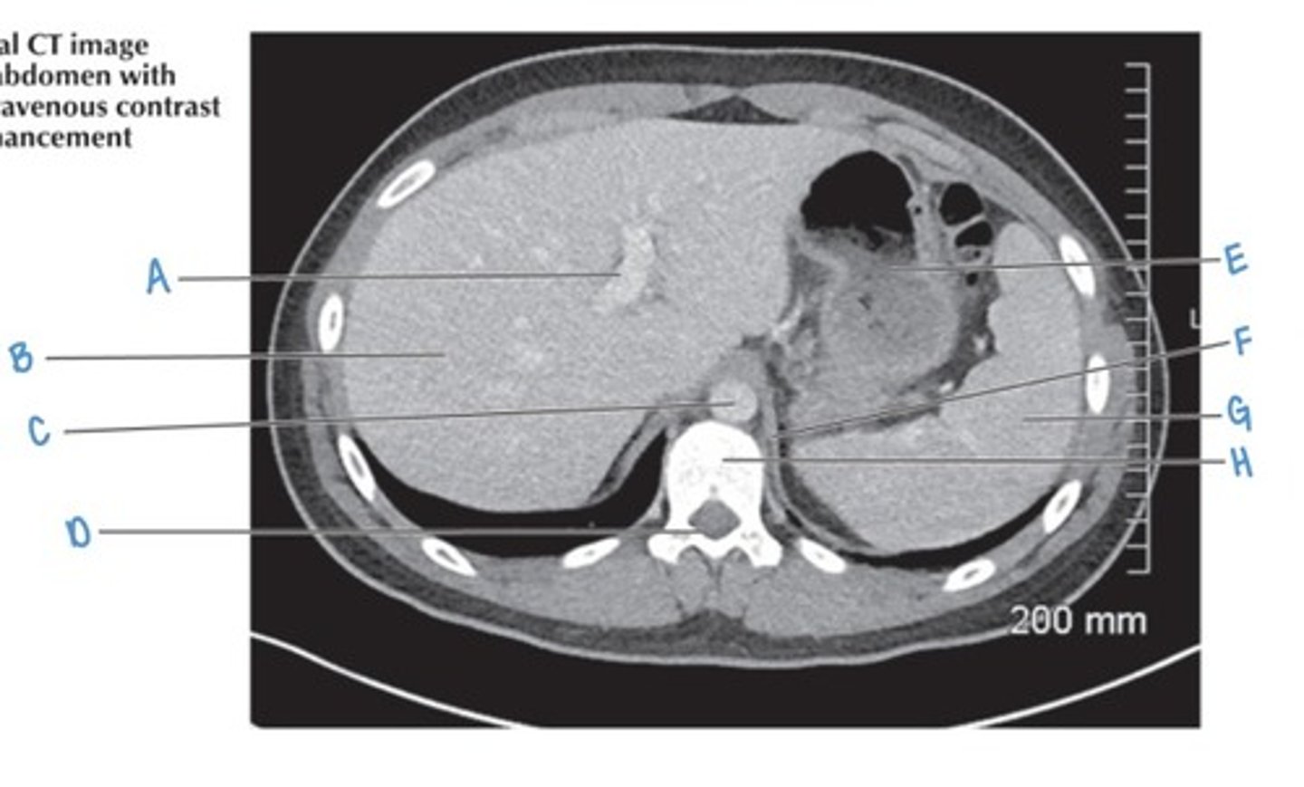
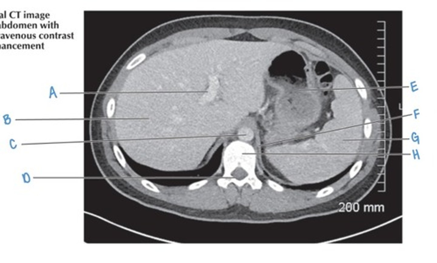
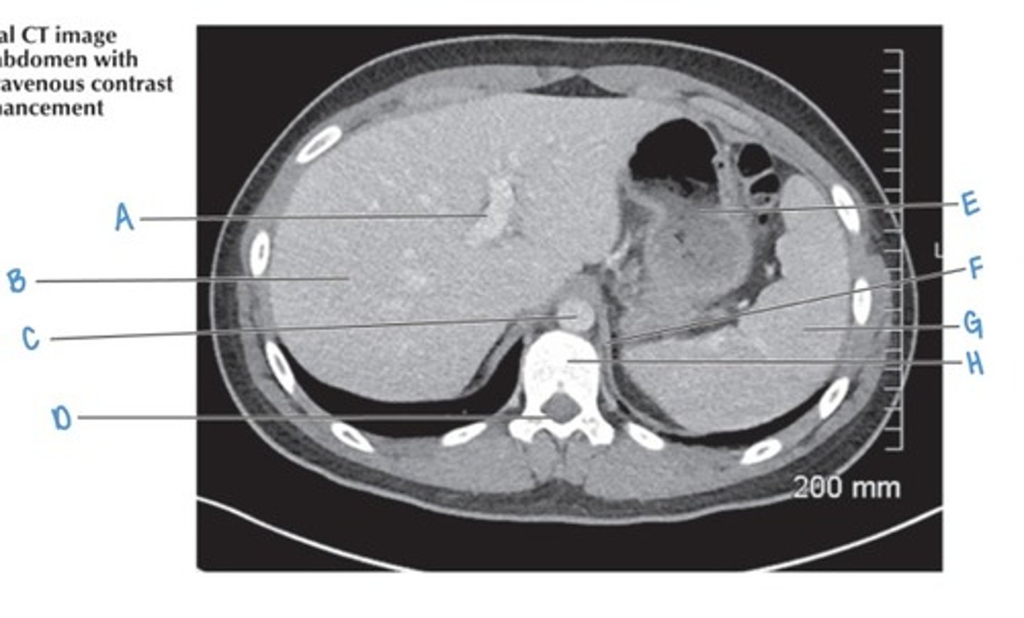
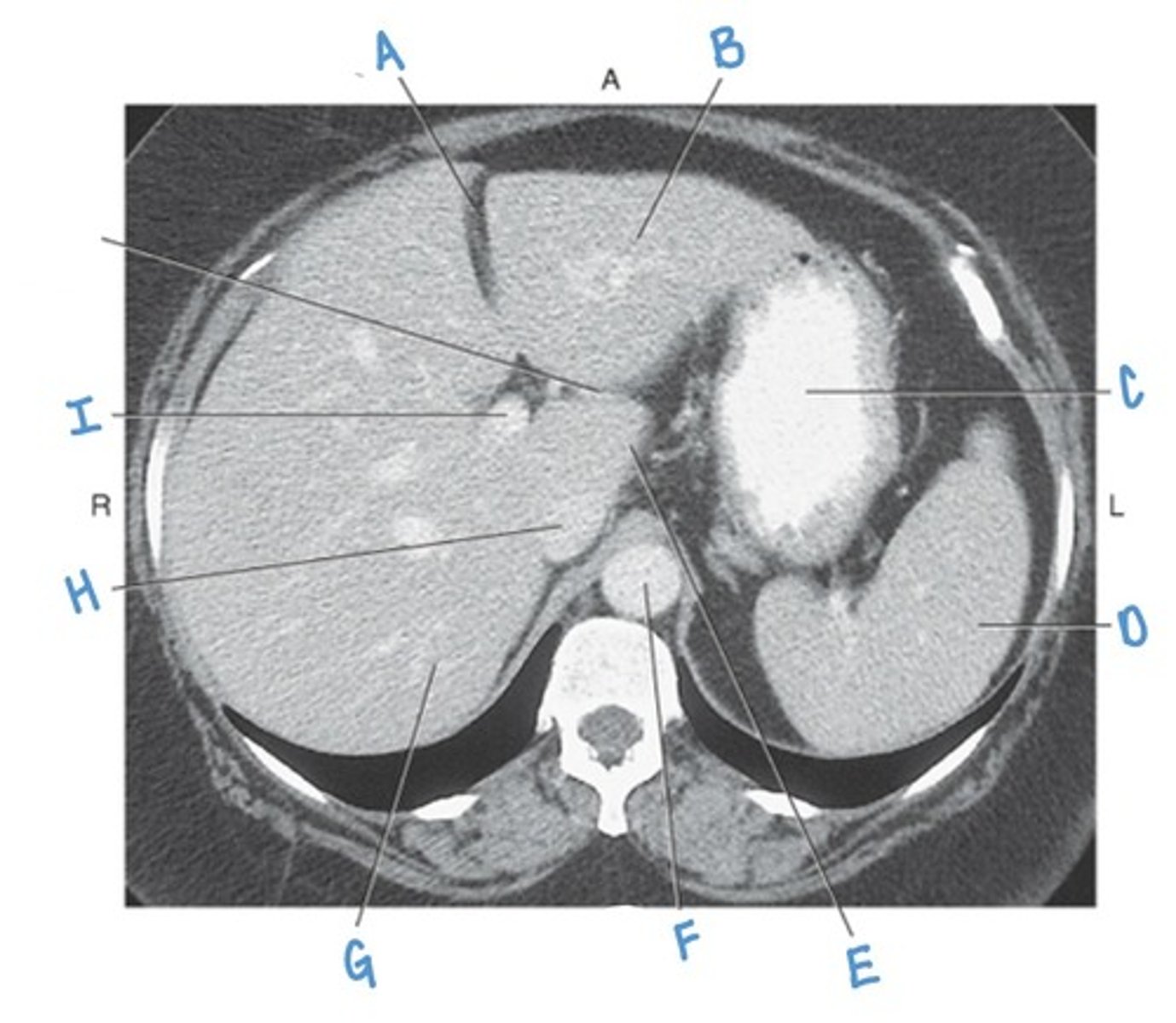
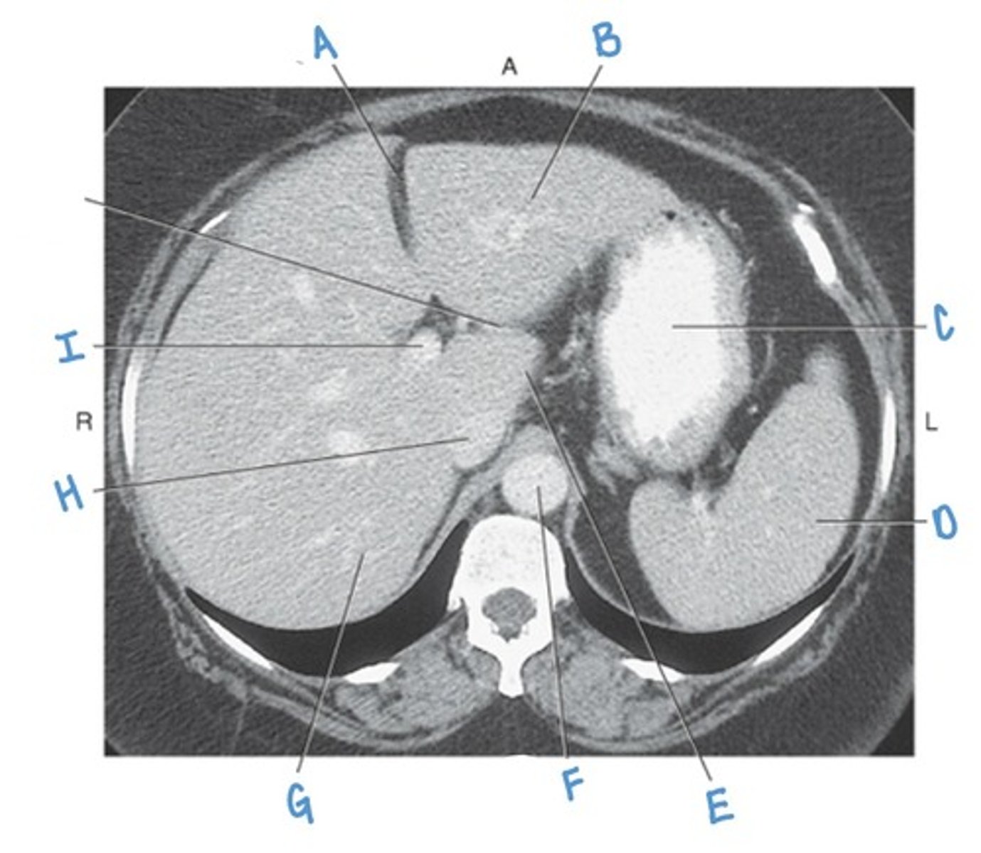
quadrate lobe of the liver
A

stomach
B

caudate lobe of the liver
C

spleen
D

right lobe of the liver
E

inferior vena cava
F

portal vein
G

falciform ligament
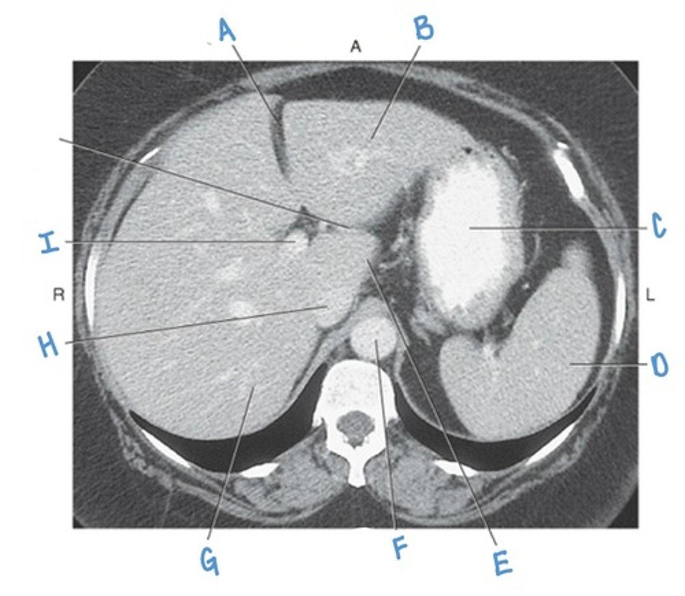
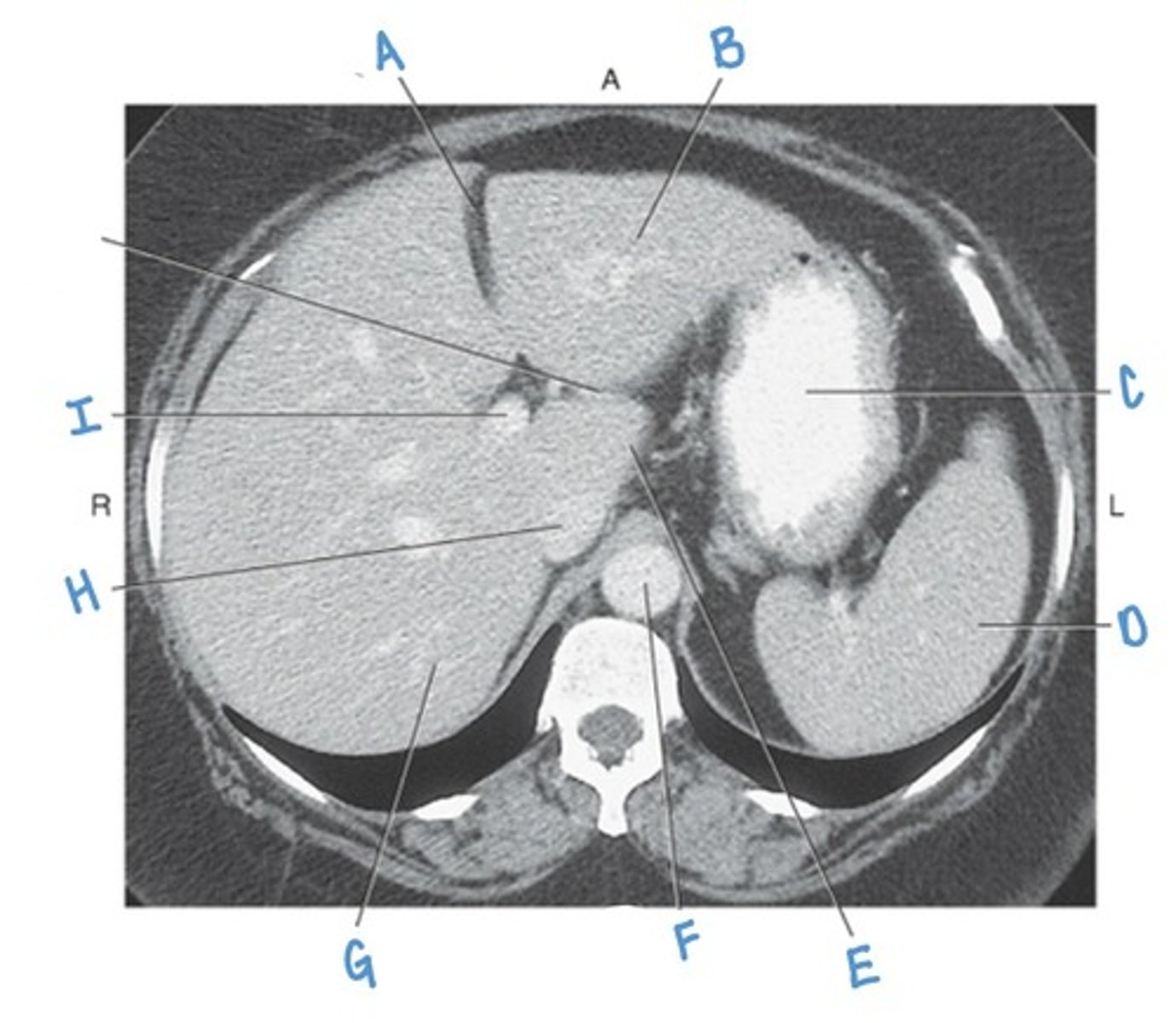
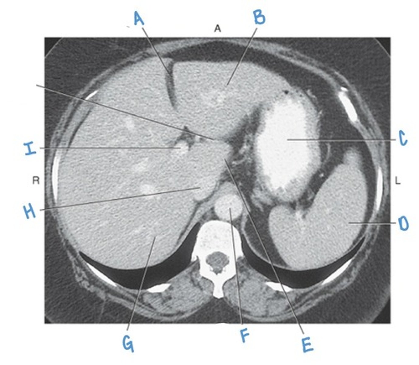
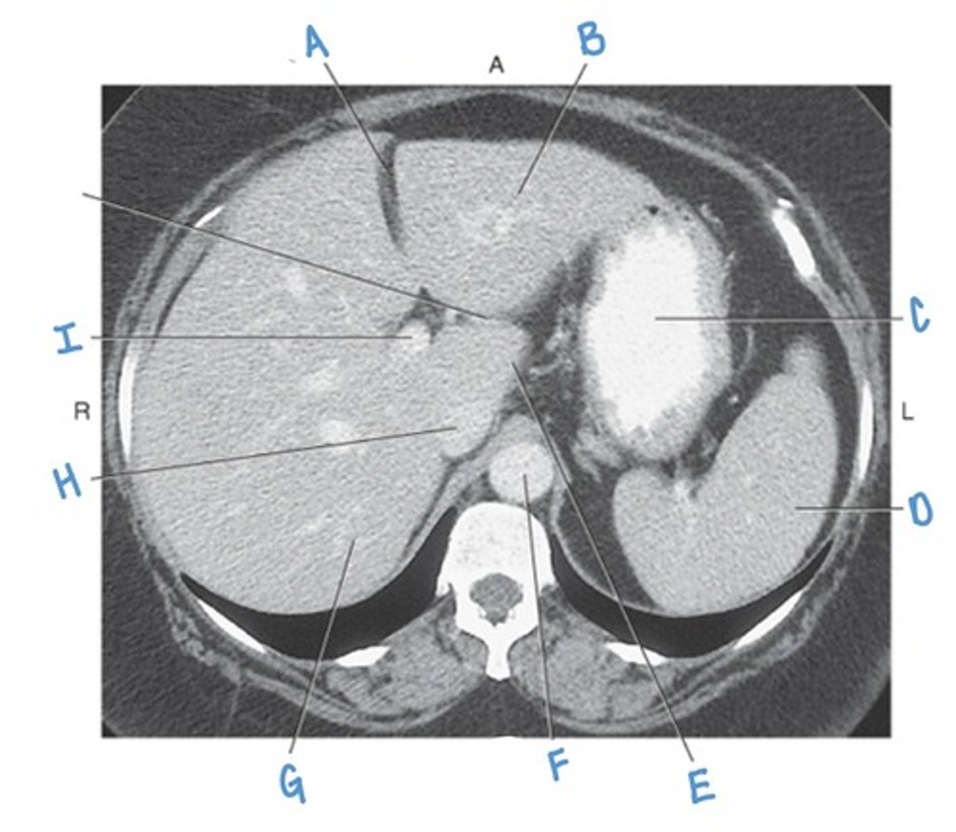
A

left lobe of the liver
B

stomach
C

spleen
D

caudate lobe of the liver
E

aorta
F

right lobe of the liver
G

inferior vena cava
H

portal vein
I

fundus of the stomach
D

body of the stomach
A

duodenal bulb
B

pylorus
C

falciform ligament
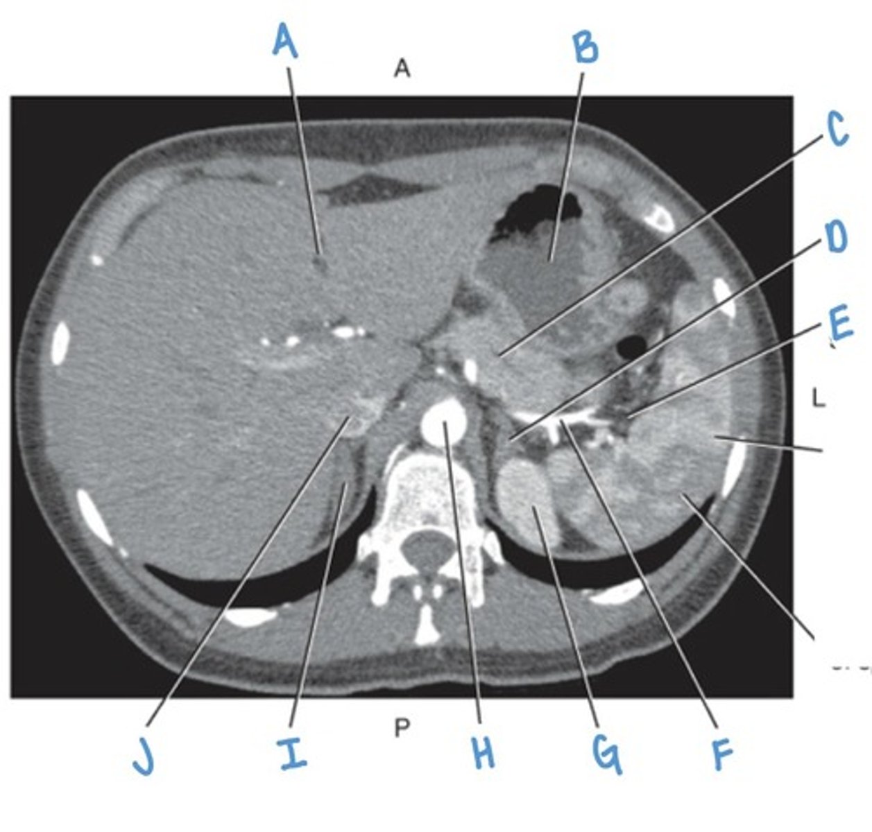
A

stomach
B

body of pancreas
C

left adrenal gland
D

hilum of spleen
E

splenic artery
F

left kidney
G

aorta
H

right adrenal gland
I

inferior vena cava
J

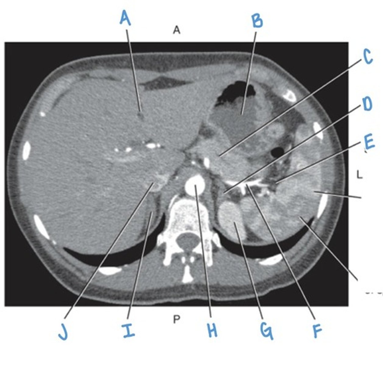
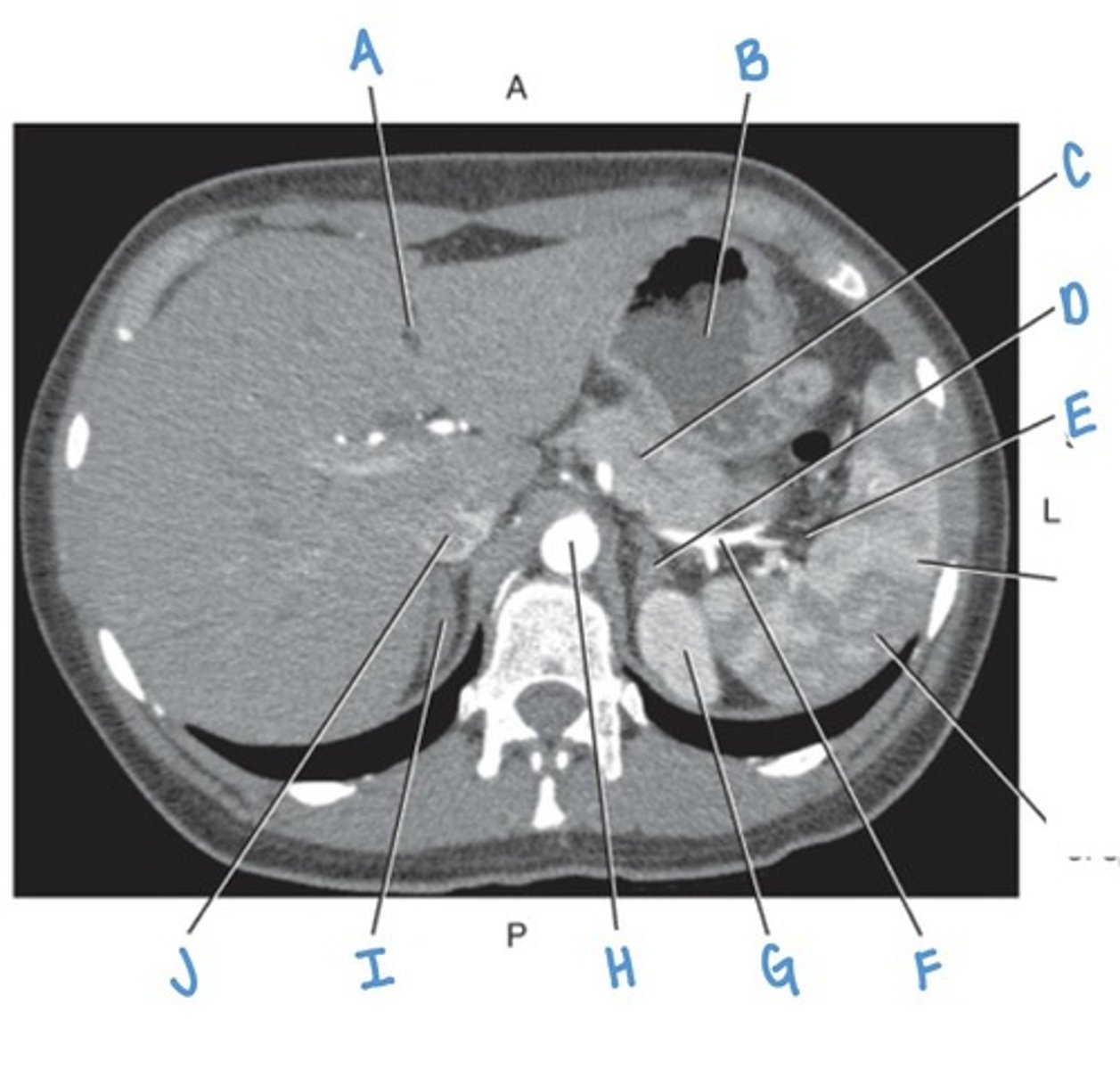
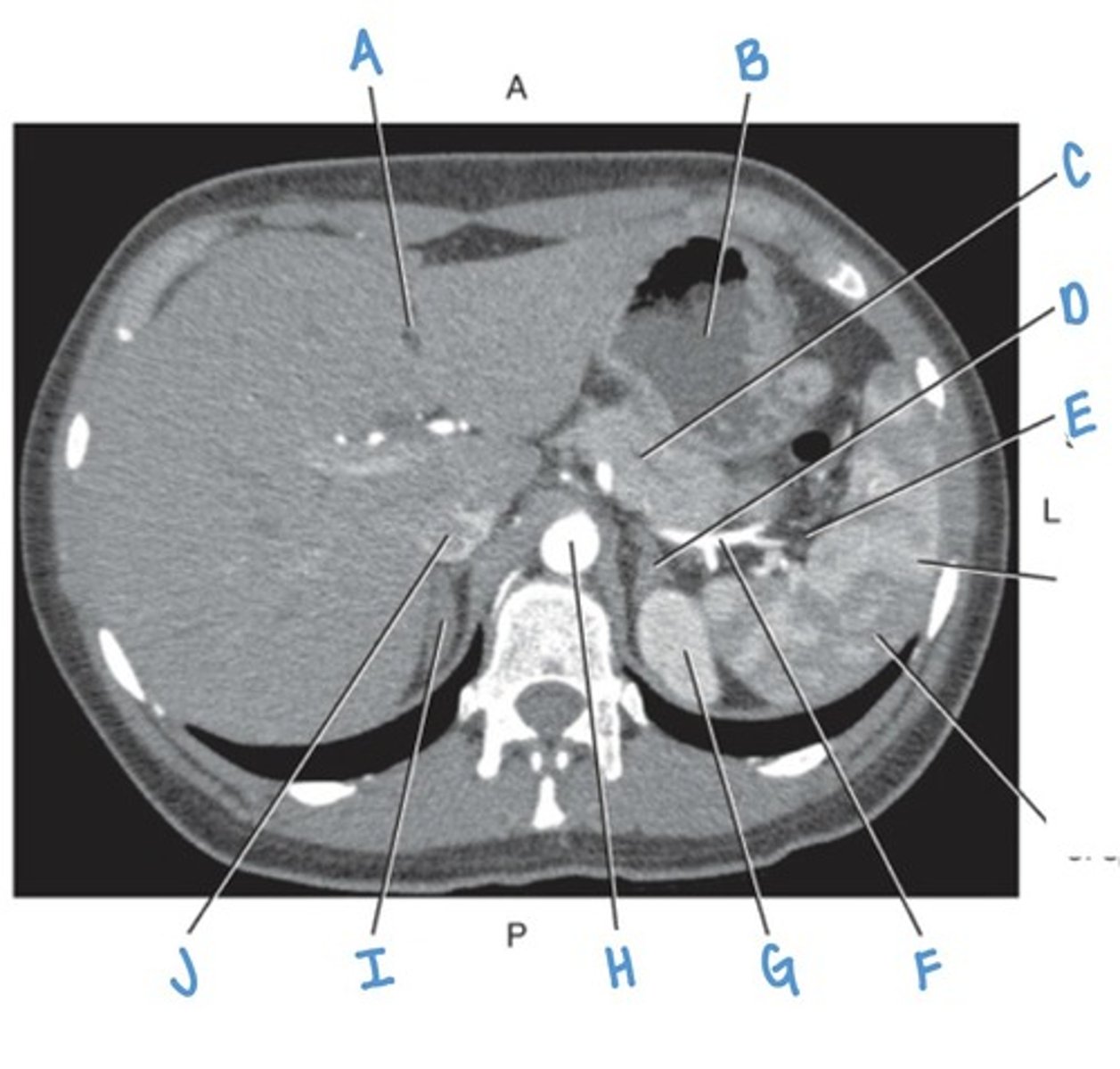
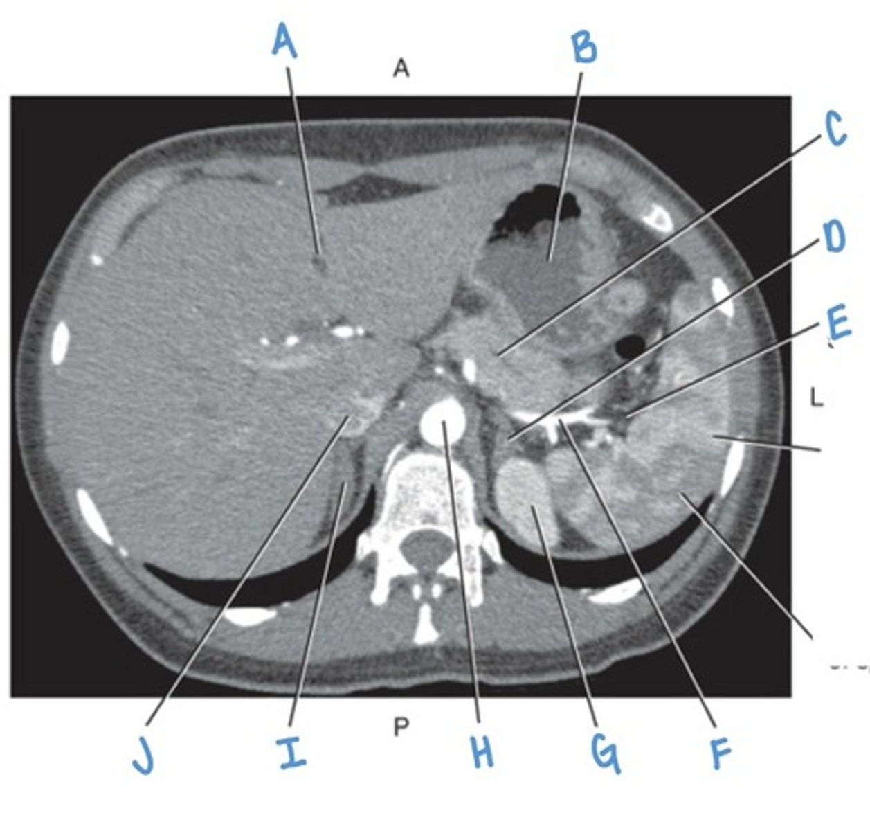
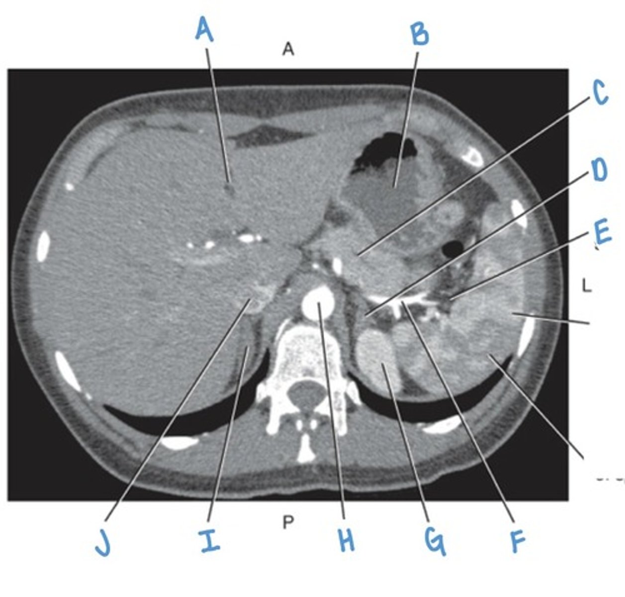
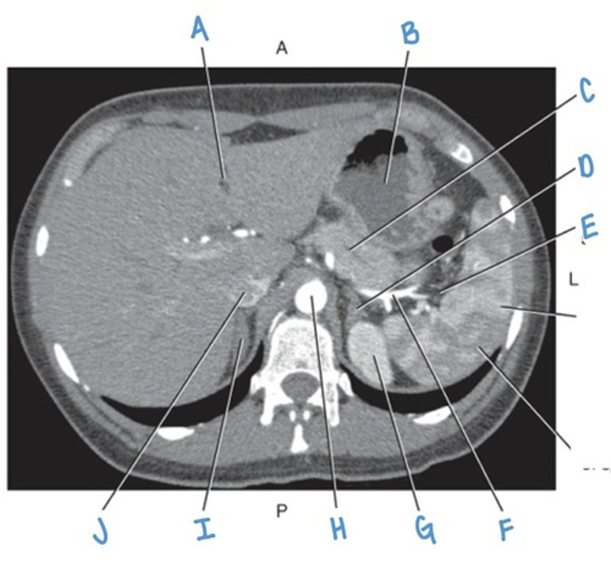
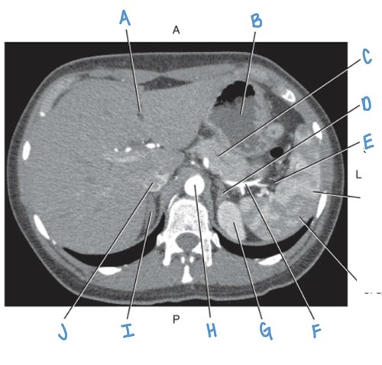
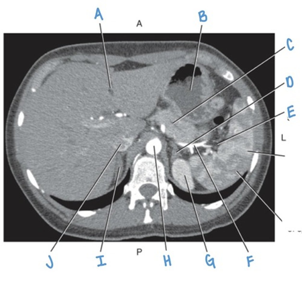
celiac trunk
A

left gastric artery
B

stomach
C

spleen
D

splenic artery
E

right crus
F

right adrenal gland
G

inferior vena cava
H

splenic artery
A

celiac trunk
B

common hepatic artery
C

left gastric artery
D

renal fascia
A

right perirenal space
B

liver
C

right adrenal gland
D

stomach
E

spleen
F

left perirenal space
G

posterior pararenal space
H

psoas major muscle
I

right kidney
A

anterior pararenal space
B

left kidney
C

left perirenal space
D

posterior pararenal space
E

renal fascia
F

liver
A

adrenal gland
B

right kidney
C

morrison's pouch
D

transverse colon
E

iliac crest
F

right lobe of the liver
A

peritoneum
B

inferior vena cava
C

aorta
D

left kidney
E

retroperitoneum
F

spleen
G

body of pancreas
H
