1/172
Looks like no tags are added yet.
Name | Mastery | Learn | Test | Matching | Spaced | Call with Kai |
|---|
No analytics yet
Send a link to your students to track their progress
Clavicles
A.

Manubrium
B.

Sternal angle
C.

body of sternum
D.

Heart
E.

Xiphoid process
F.

Lateral sternum
What position?

sternoclavicular joint
A.

Trachea
B.

Vertebral body
C.

Heart
D.

Diaphragm
E.

Oblique ribs
What position?


L5 R transverse process
A.

L4 Lower lateral portion
B.

L4 spinous process
C.

L3 R inferior articular process
D.

L4 L superior articular process
E.

L1-2 intervertebral disk space
F.

AP Lumbar
What position?

L2 Transverse process
A.

L3 Pedicle
B.

L3 pars interarticularis
C.

L3 inferior articular process
D.

L4 Superior articular process
E.

L3-4 zygapophyseal joint
F.

Oblique lumbar
What position?

R sacroiliac joint
A.

L1 transverse process
B.

L2 spinous process
C.

L3-4 intervertebral space
D.

Ala of sacrum
E.

AP L spine
What position?

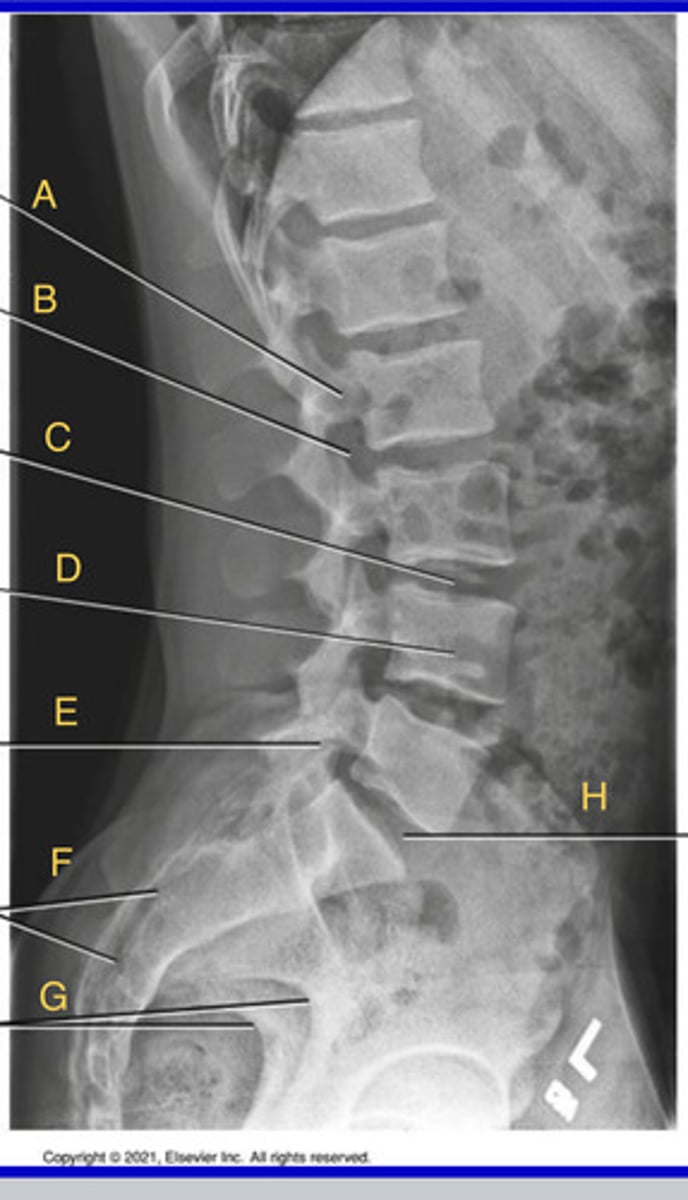
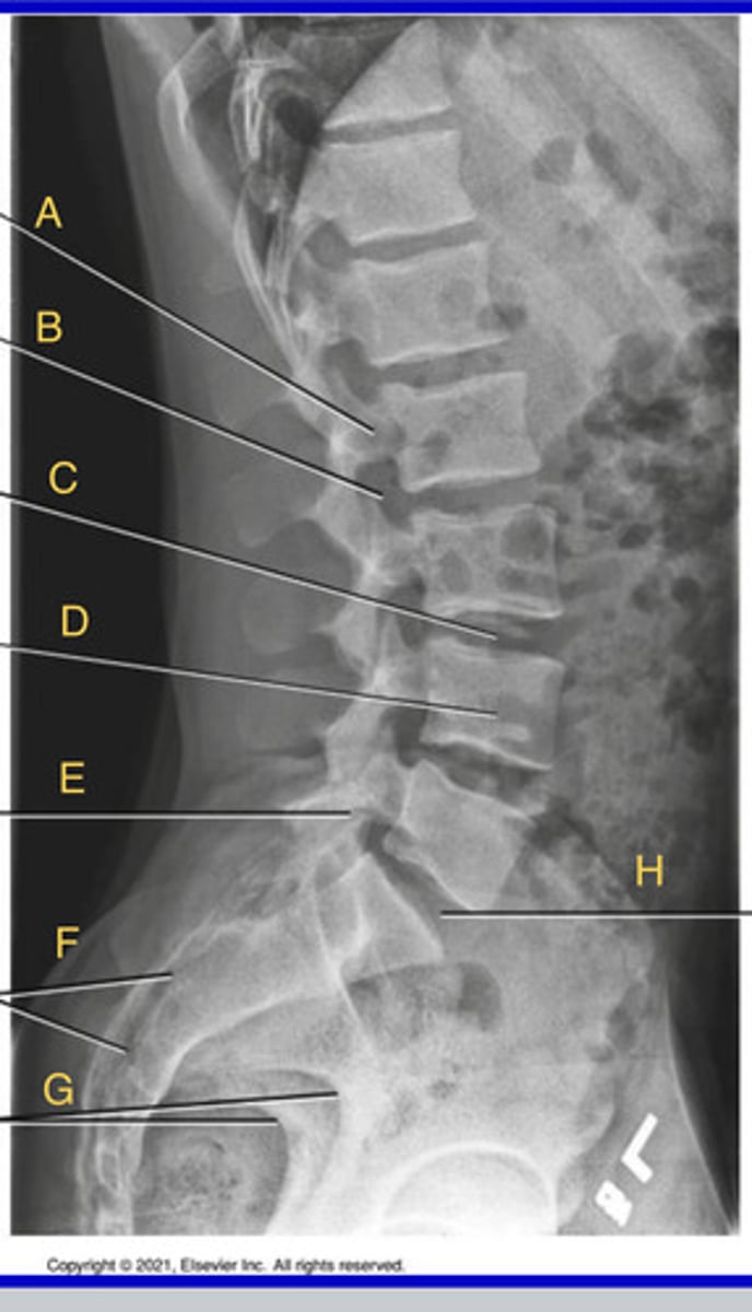
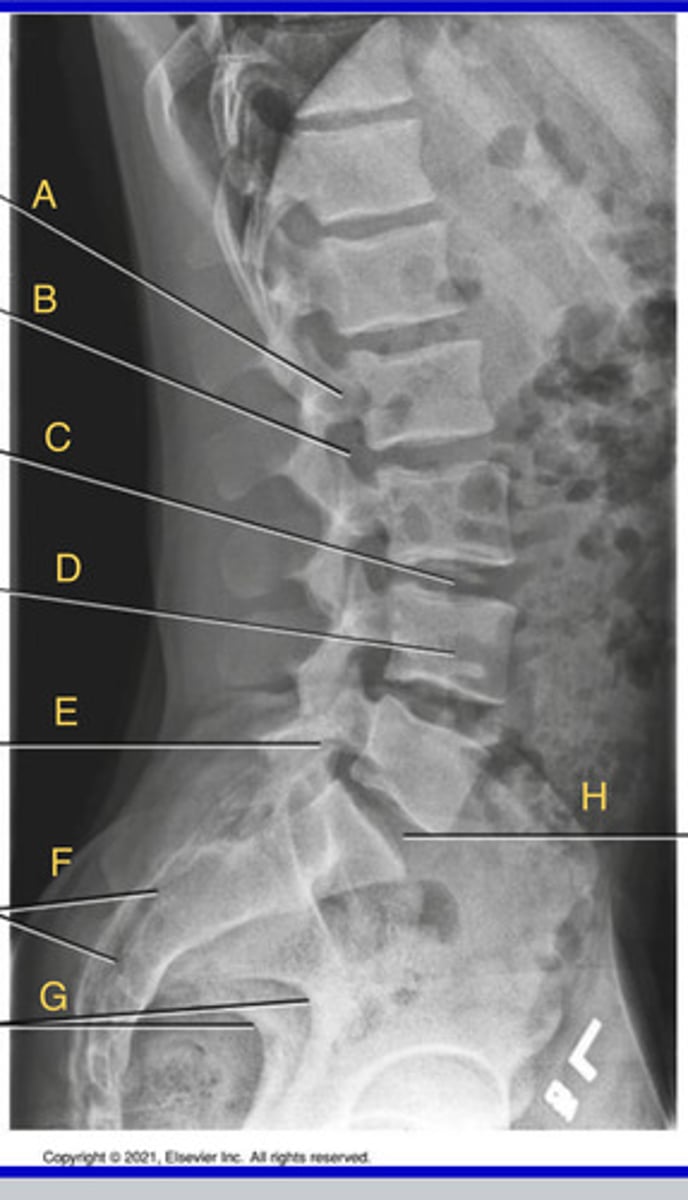
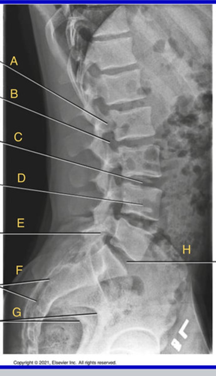
L2 body
A.

L3 transverse process
B.

L3-4 zygapophyseal joint
C.

L5, superior articular process
D.

L3 Pedicle
E.

L4 pars interarticularis
F.

L4 inferior articular process
G.

What position?
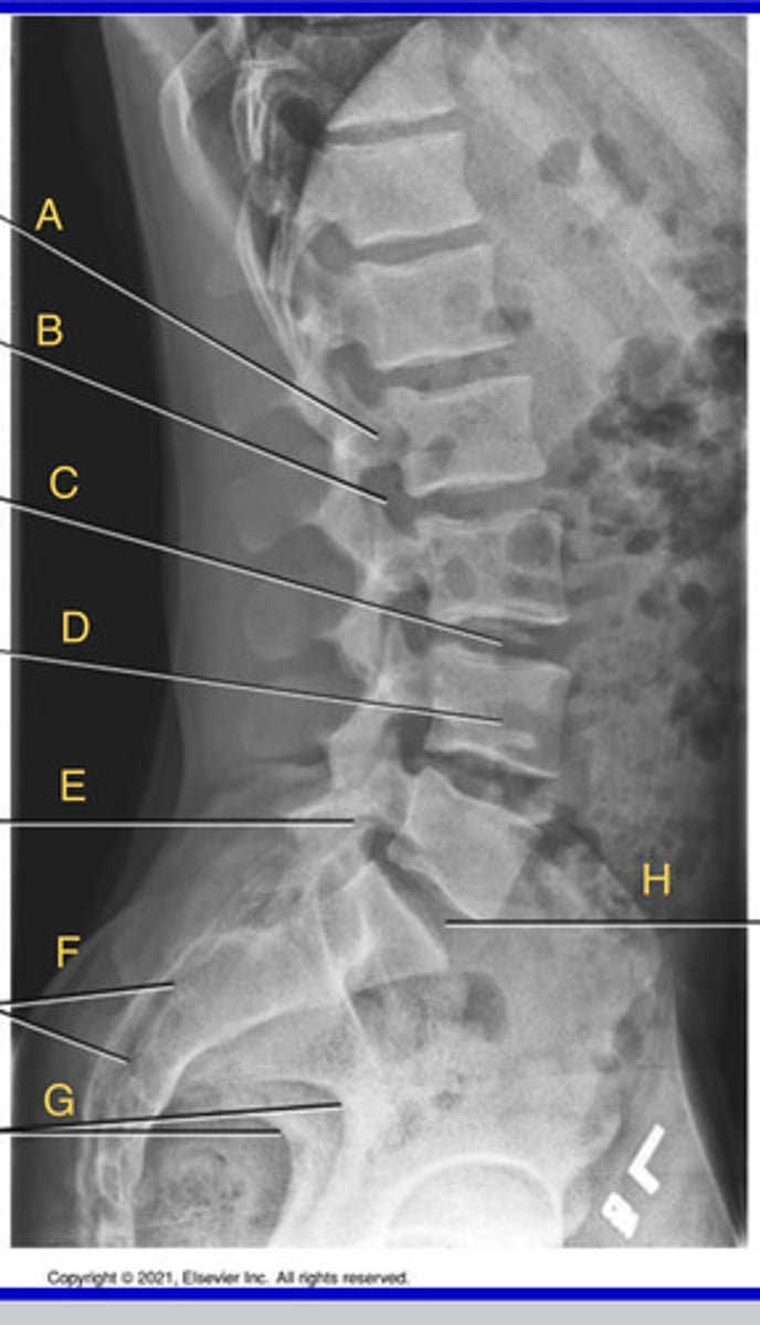
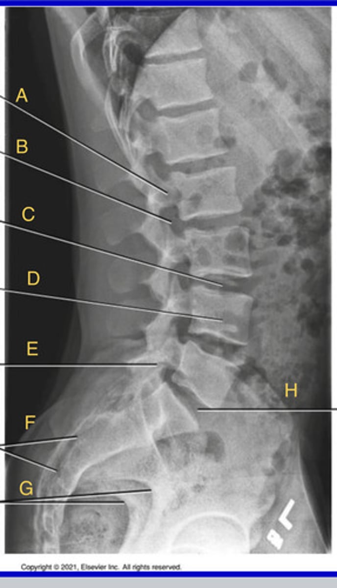
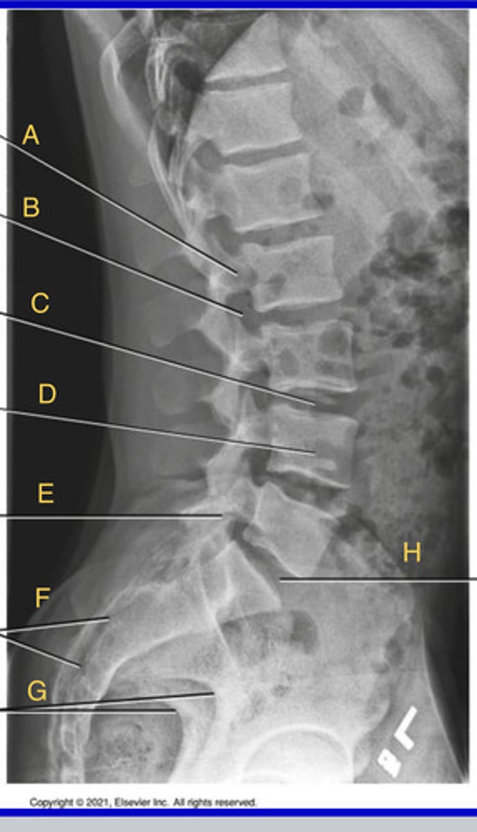
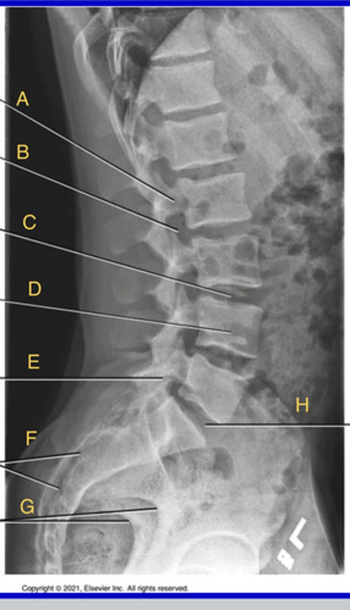
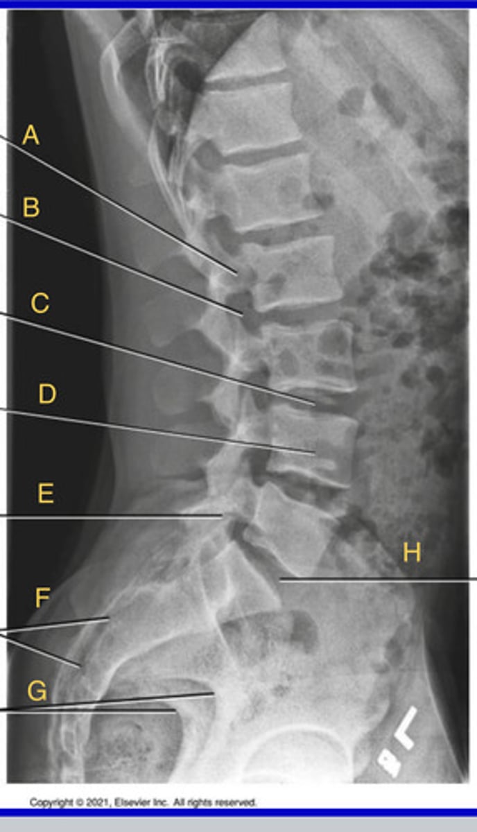
Oblique lumbar

L2 Pedicle
A.

L2-3 intervertebral foramina
B.

L3-4 intervertebral joint space
C.

L4 body
D.

L5-S1 articular process
E.

Sacrum
F.

Greater sciatic notch
G.

L5-S1 joint
H.

Lateral Lumbar
What position?

Superior articular process of sacrum
A.

Sacral foramina
B.

L5 body
C.

L ilium
D.

Sacrum
E.

Left sacroiliac joint
F.

apex of sacrum
G.

AP Axial Sacrum
What position?

Medial sacral crest
A.

Sacral horn
B.

Coccyx
C.

Greater sciatic notches
D.

Lateral Coccyx
What position?

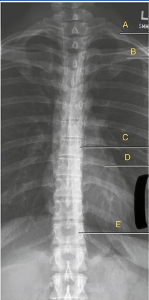
L 1st posterior rib
A.

L 10th posterior rib
B.

T11 spinous process
C.

T12 body
D.

T8-9 intervertebral disk space
E.

T7 body
F.

T1 body
G.

AP t-spine
What position?

T3 body
A.

T7 body
B.

T11-12 intervertebral foramen
C.

Lateral T-spine
What position?

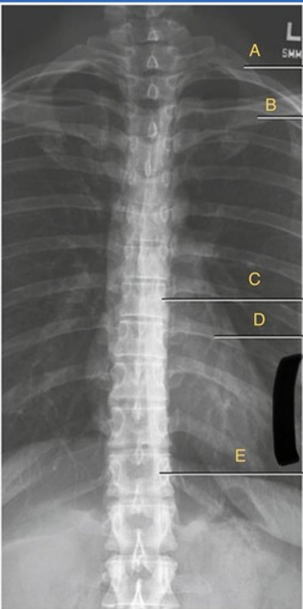
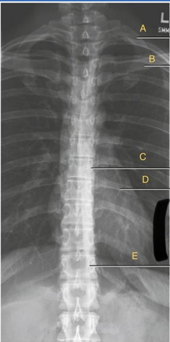
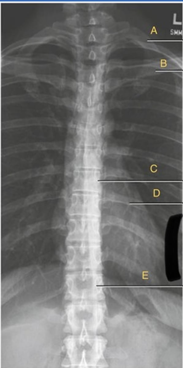
L 1st rib
A.

L clavicle
B.

T8 body
C.

T9 L posterior rib.
D.

T12 body
E.

AP T-spine
What position?

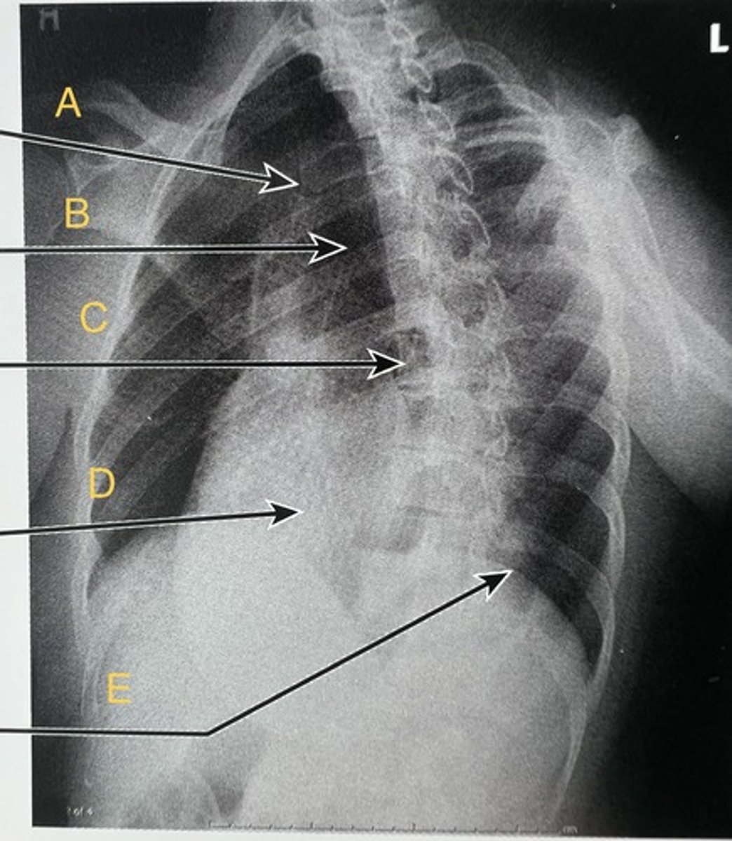
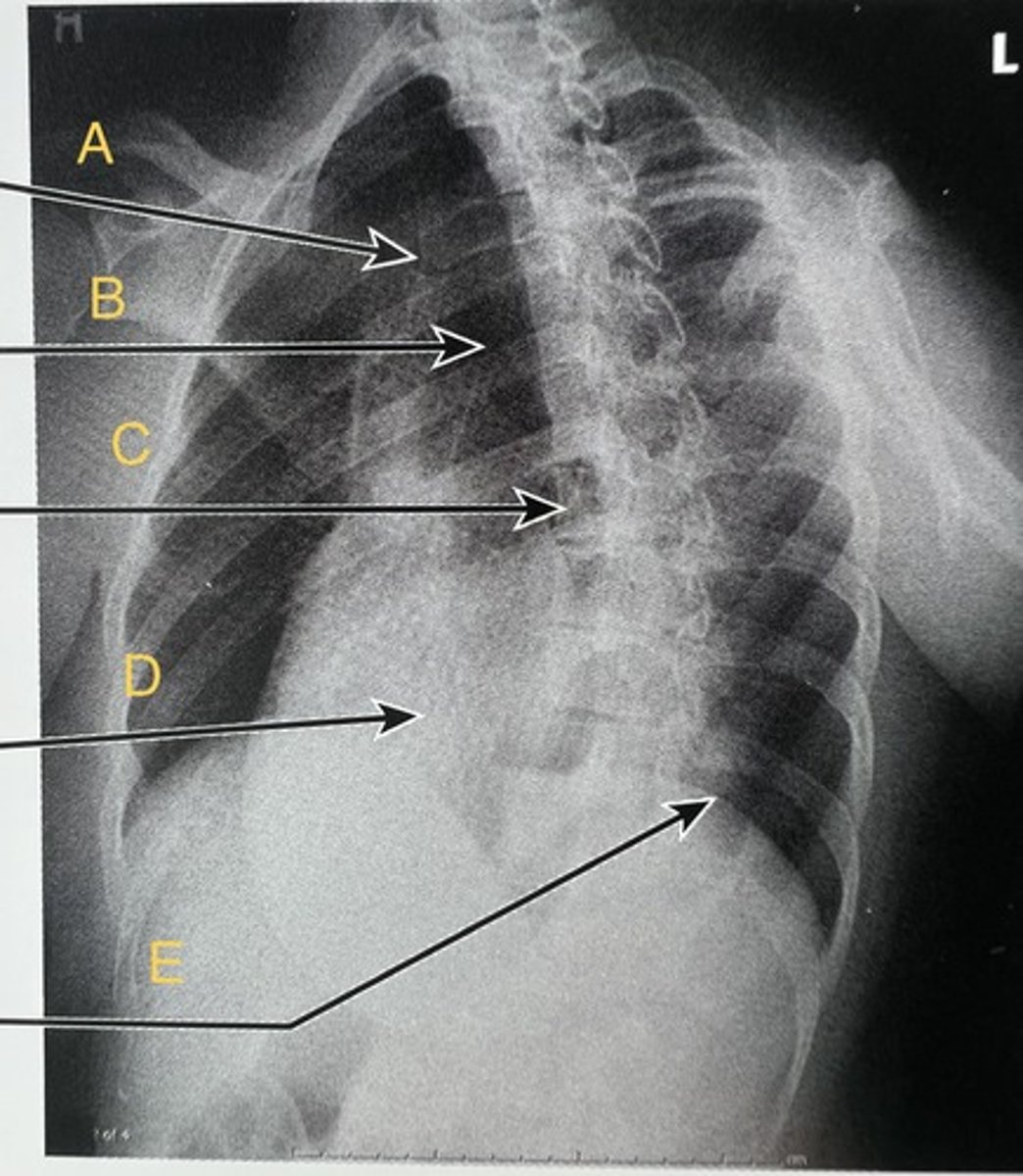
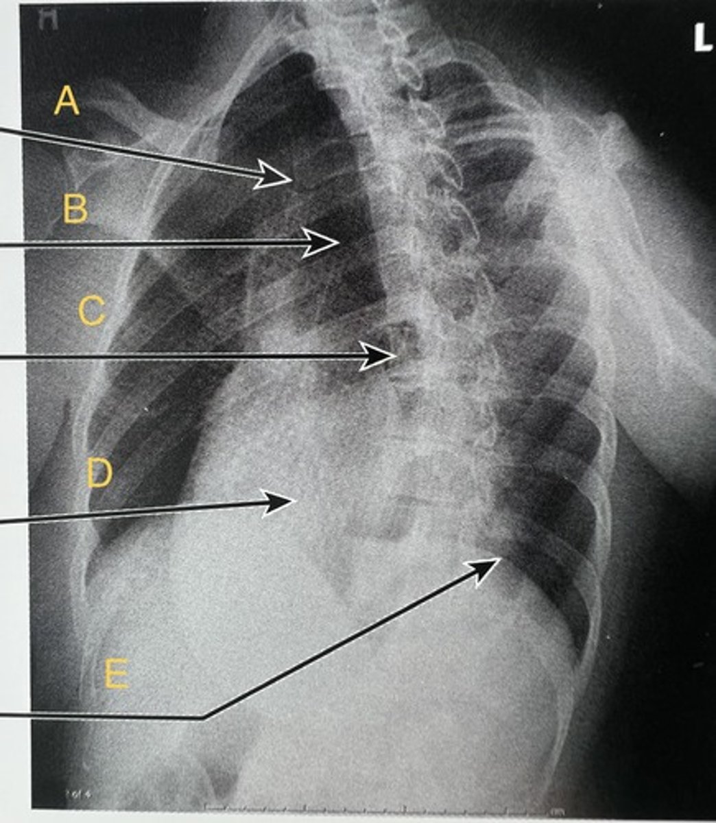
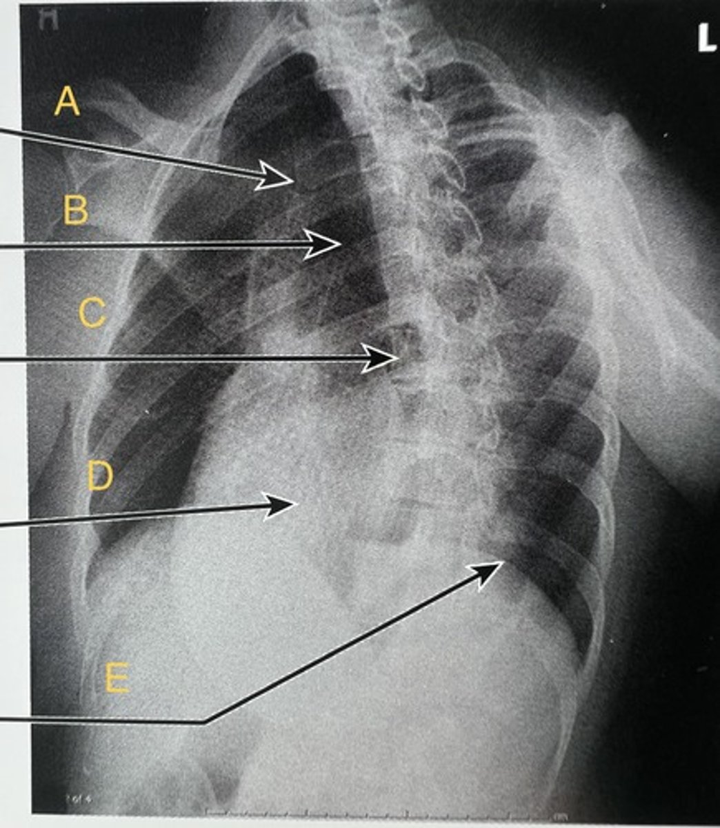
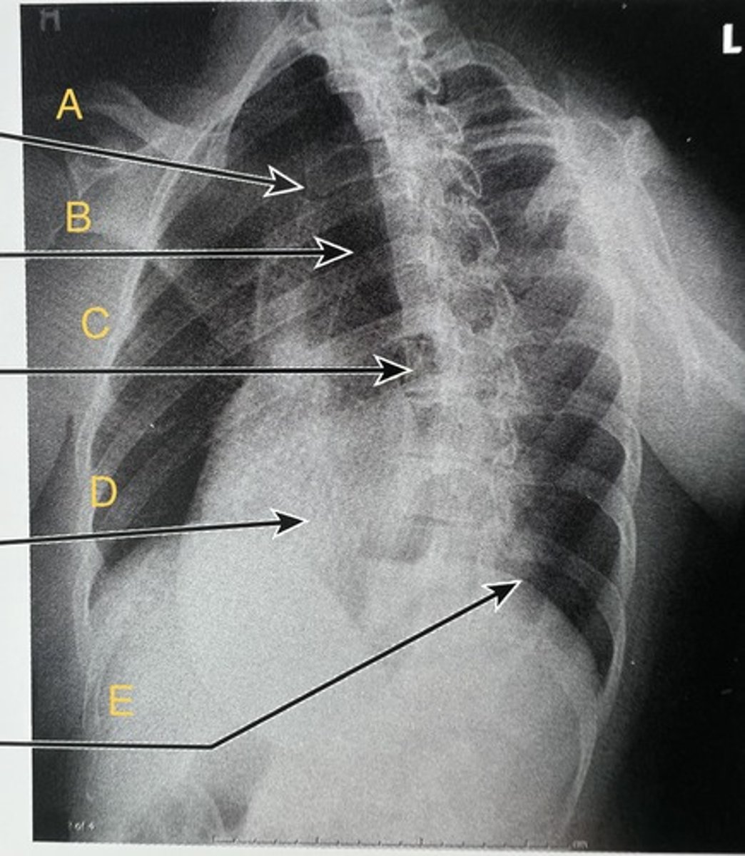
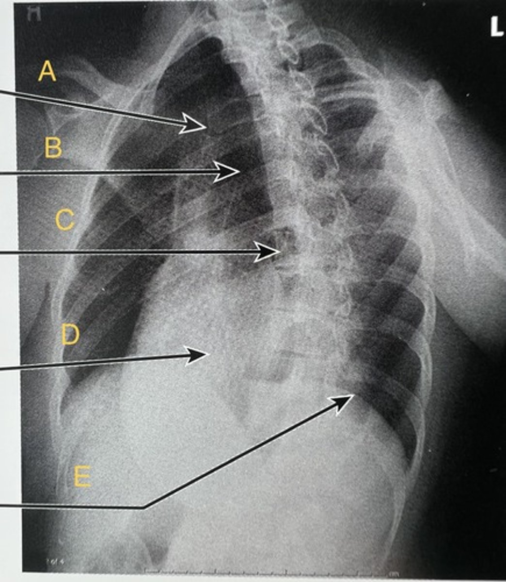
T3-4 intervertebral disk space
B.

T4 transverse process
C.

T5 Pedicle
D.

T7 spinous process
E.

T11 costovertebral joint
F.

T11 inferior articular process
G.

T12 superior articular process
H.

L 1st rib
I.

L 3rd posterior rib
J.

L 9th posterior rib
K

T3 body
A.

T12 floating rib
L
odontoid process
A.

Upper incisor
B.

C1 lateral mass
C.

C2 body
D.

C1-C2 - atlantoaxial joint
E.

Open mouth
What position?
