1/48
Looks like no tags are added yet.
Name | Mastery | Learn | Test | Matching | Spaced | Call with Kai |
|---|
No analytics yet
Send a link to your students to track their progress

Moraxella catarrhalis

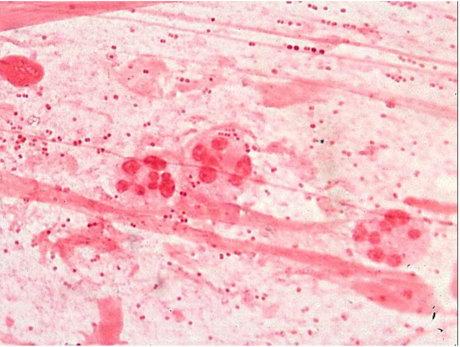
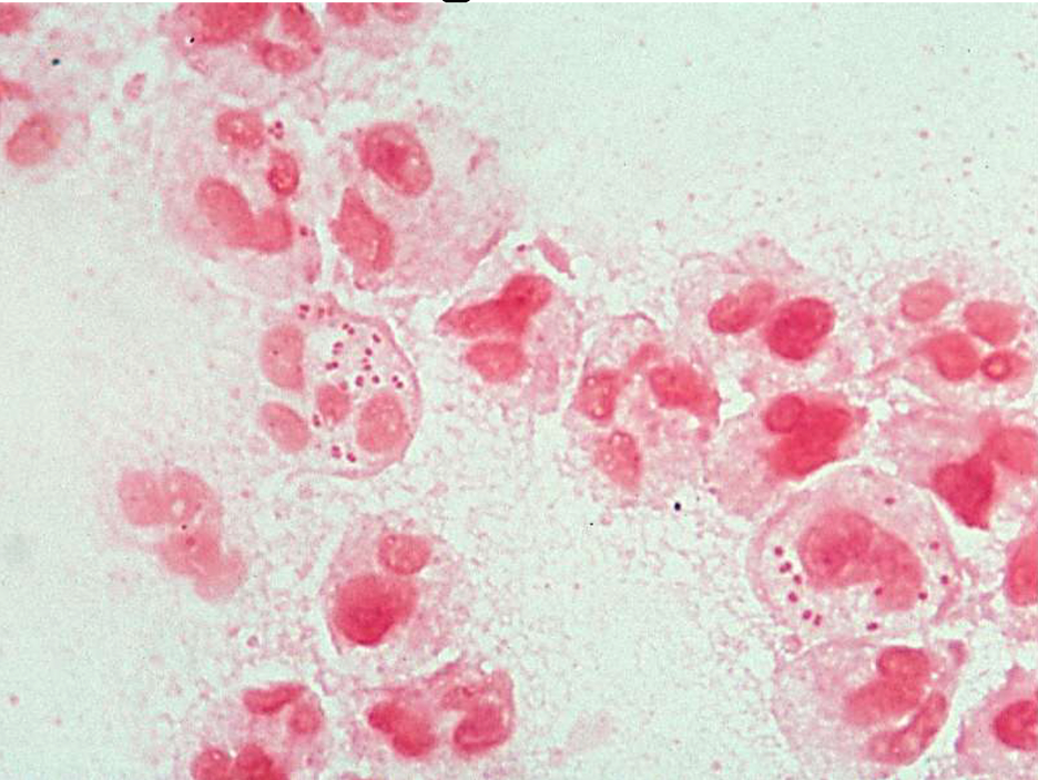
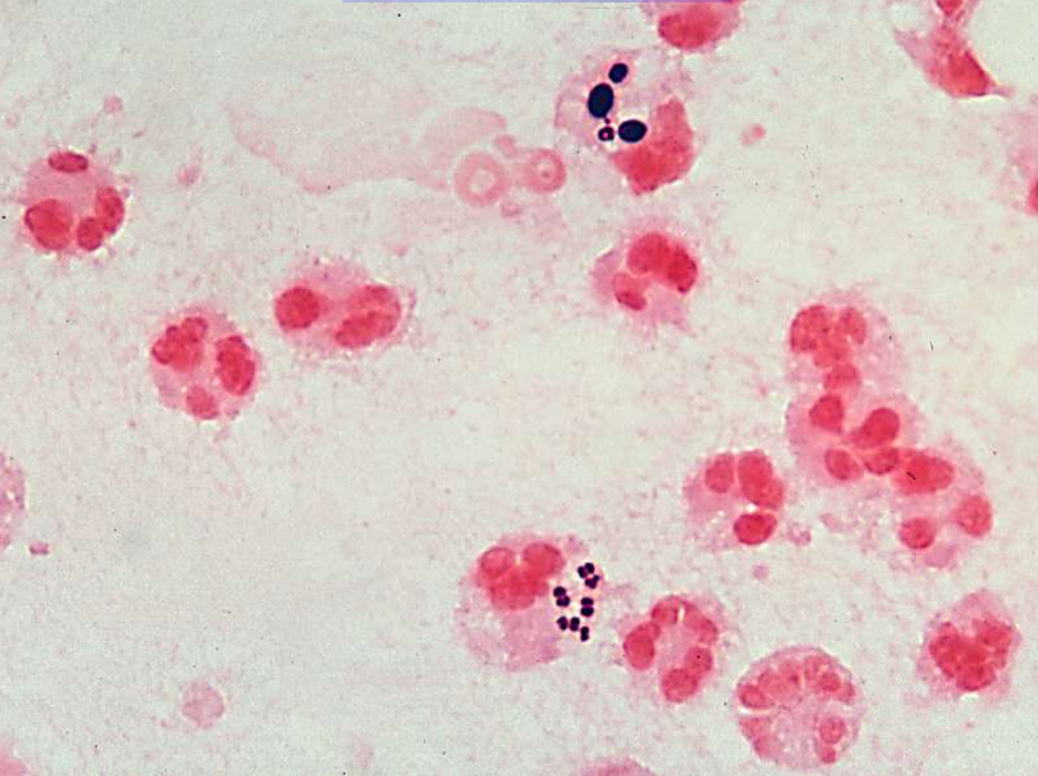
Neisseria gonorrhoeae

Neisseria meningitidis

Escherichia coli

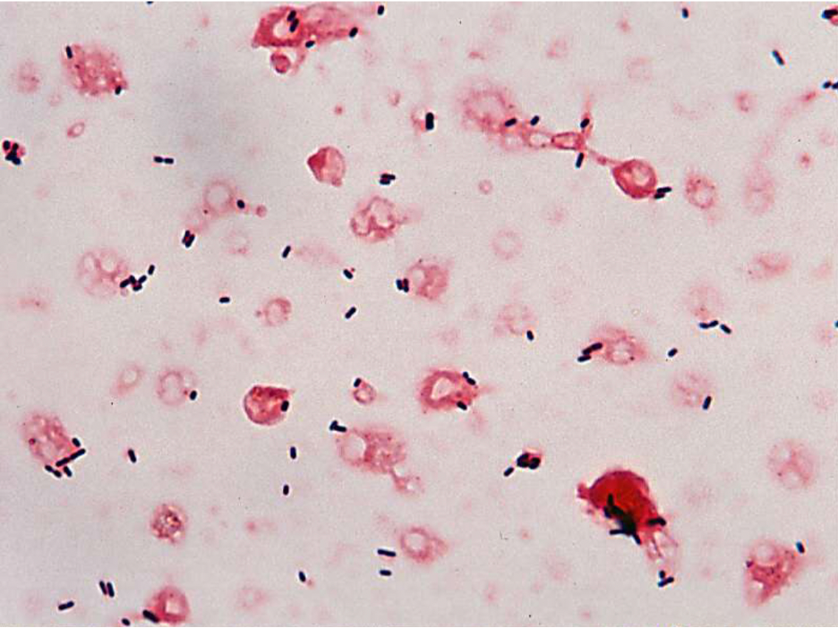
Haemophilus influenzae

Klebsiella pnuemoniae

Enterococcus

Micrococcus

Staphylococcus aureus

Candida albicans & Staphylococcus epidermidis

Streptococcus agalactiae

Streptococcus pneumoniae

Corynebacterium species (diphtheroids)

Listeria monocytogenes

Escherichia coli & Staphylococcus aureus

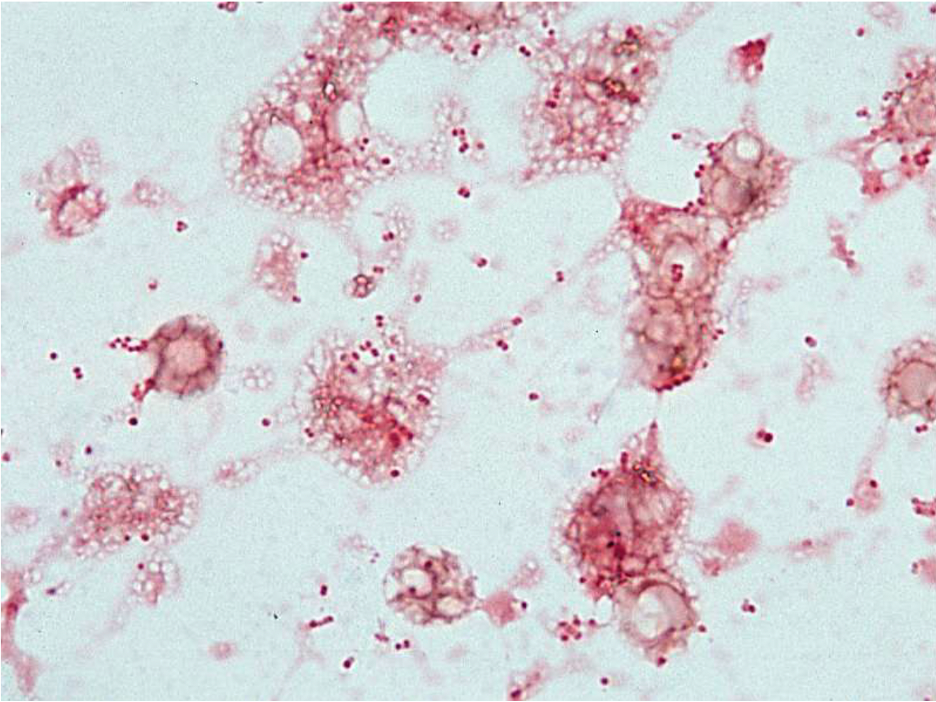
Candida albicans

Cryptococcus neoformans (India ink)

Aspergillus

Alternaria

Rhizopus

Cladosporium

Sporothrix schenckii

Microsporum canis

Trichophyton mentagrophytes

Penicillium

Fusarium

Sporothrix schenckii yeast

Sporothrix schenckii mold

Microsporum canis

Trichophyton mentagrophytes “grape like”

Trichophyton rubrum Microconidia “birds on a wire”

Fusarium falciforme

Candida albicans

Candida albicans

Cryptococcus

Cryptococcus

Aspergillus

Aspergillus fumigatus

Aspergillus flavus

Aspergillus fumigatus

Aspergillus flavus

Aspergillus terreus

Aspergillus in tissue

Aspergillus niger

Alternaria

Rhizopus

Cladosporium

Penicillium

Fusarium