Cytology - Synovial Fluid

0.0(0)
studied byStudied by 0 people
0.0(0)
full-widthCall with Kai
GameKnowt Play
New
learnLearn
examPractice Test
spaced repetitionSpaced Repetition
heart puzzleMatch
flashcardsFlashcards
Card Sorting

1/48

encourage image

There's no tags or description

Looks like no tags are added yet.

Study Analytics
Name
Mastery
Learn
Test
Matching
Spaced

No study sessions yet.

49 Terms

1
New cards
term image

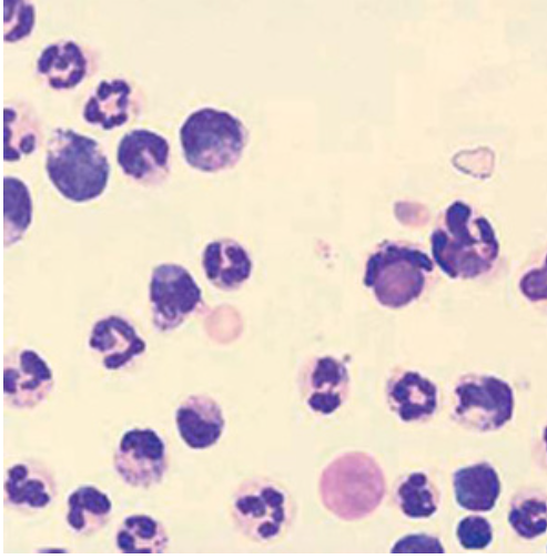
Acute suppurative arthritis

2
New cards
term image

Cartilage fragment and windrowing

3
New cards
term image

Cartilage

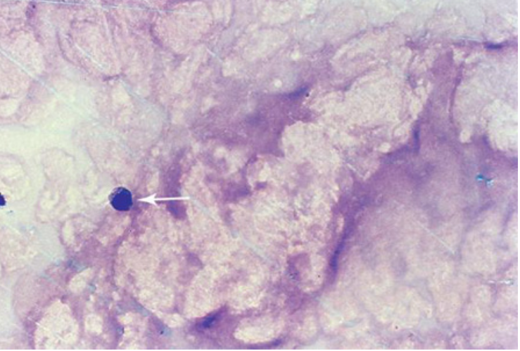
4
New cards
term image

Cat with arthritis

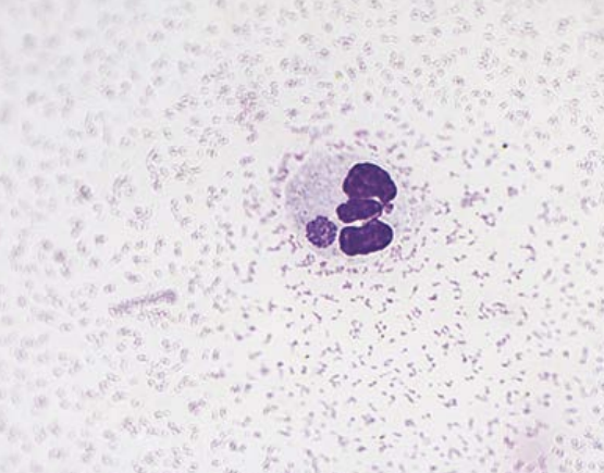
5
New cards
term image

CCL tear, nonsuppurative, lymphocytes including plasmacytoid inset

6
New cards
term image

Degenerative arthropathy

7
New cards
term image

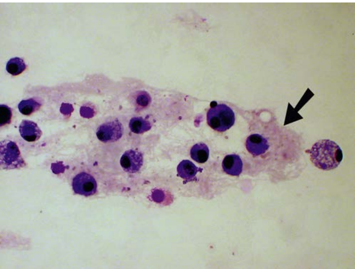
Degenerative arthropathy with both iatrogenic and pathologic hemorrhage - plt clump and erythrophage

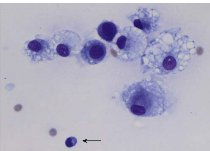
8
New cards
term image

Degenerative arthropathy with fibrin and collagen

9
New cards
term image

Degenerative arthropathy with fibrin

10
New cards
term image

Degenerative arthropathy with many fibrin strands

11
New cards
term image

Degenerative arthropathy

12
New cards
term image

DJD w osteoclast

13
New cards
term image

DJD, asterisks are glumps of mucin

14
New cards
term image

Ehrlichial polyarthritis in a dog

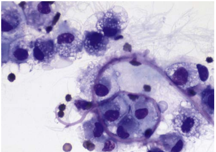
15
New cards
term image

Fibrin clot in a cat with severe blunt force trauma

16
New cards
term image

Fibroblastic proliferation, response to chronic joint dz

17
New cards
term image

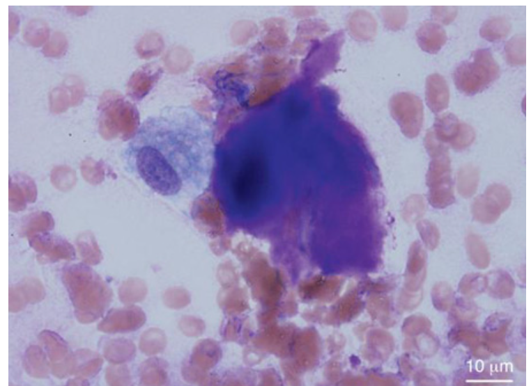
Hemarthrosis

18
New cards
term image

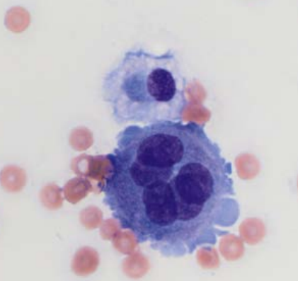
Histiocytic sarcoma

19
New cards
term image

Histoplasma capsulatum in a cat

20
New cards
term image

Iatrogenic blood contamination, note platelet clump

21
New cards
term image

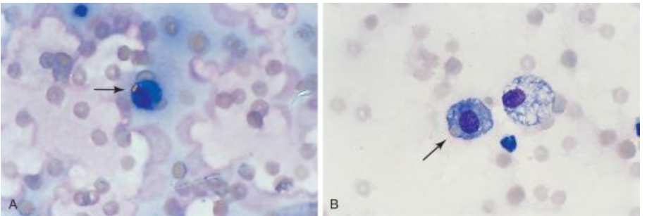
Immune-mediated polyarthritis, LE cell on right

22
New cards
term image

Immune-mediated polyarthritis, neutrophil with phagocytized material likely nucleic acid

23
New cards
term image

Incidental synovial lining cells including spindle-like appearance

24
New cards
term image

LE cell in suppurative joint disease

25
New cards
term image

Leishmania

26
New cards
term image

Leukophagia indicating ongoing inflammation in a dog with degenerative arthropathy

27
New cards
term image

Lupus erythematosus cell, arrowheads are free nuclear material from smudged inflammatory cells

28
New cards
term image

Metastatic bronchiolar-alveolar carcinoma

29
New cards
term image

Mixed-cell inflammation with calcium deposition, von kossa right, may be due to an earlier dz or systemic histoplasmosis

30
New cards
term image

Normal synovial fluid

31
New cards
term image

Osteoarthritis, nonsuppurative with an osteoclast

32
New cards
term image

Osteoclast due to articular cartilage erosion in degenerative arthropathy

33
New cards
term image

Osteosarcoma

34
New cards
term image

Partial CCL tear

35
New cards
term image

Partial CCL tear

36
New cards
term image

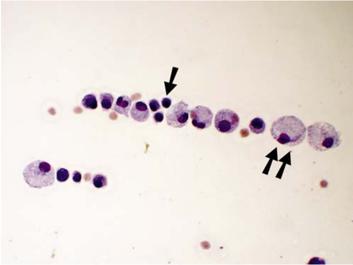
Ragocytes

37
New cards
term image

Reactive synovial tissue, low cell count and protein consistent w early DJD

38
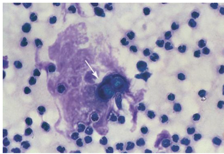
New cards
term image

Septic neutrophilic arthritis, single arrow is pyknotic cell, bacteria in double arrow

39
New cards
term image

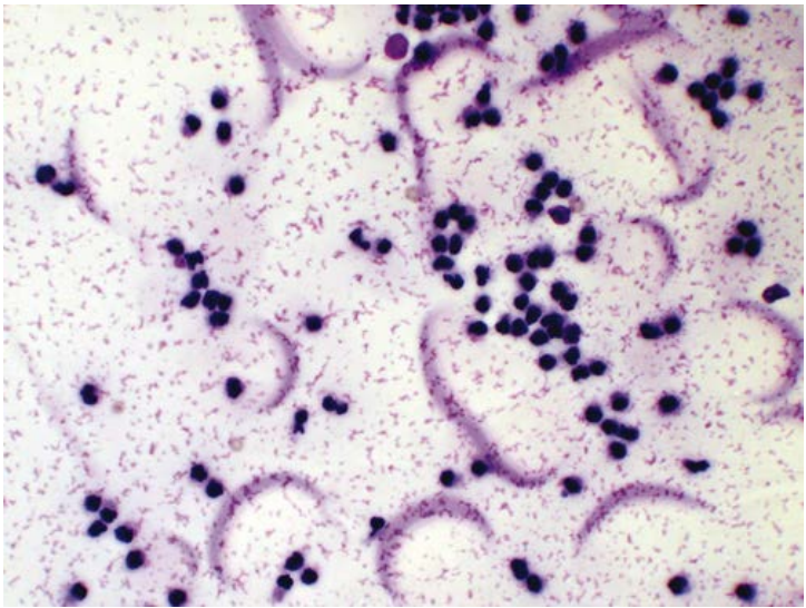
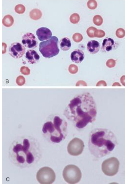
Septic suppurative arthritis

40
New cards
term image

Suppurative bacterial arthritis

41
New cards
term image

Suppurative due to lyme disease, nondegenerate, immune-mediate response

42
New cards
term image

Suppurative joint disease due to Ehrlichia ewingii

43
New cards
term image

Suppurative w blasto

44
New cards
term image

Suppurative with Anaplasma phagocytophilum or Ehrlichia ewingii

45
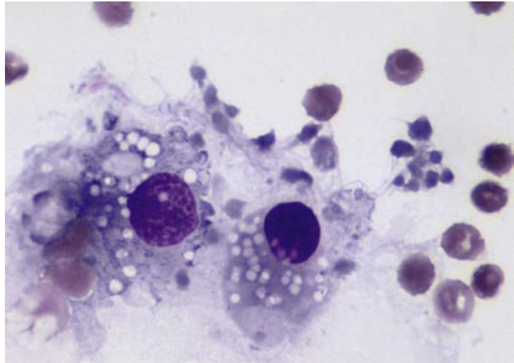
New cards
term image

Suppurative, macros containing histoplasma

46
New cards
term image

Synovial membrane hyperplasia

47
New cards
term image

Synovial sarcoma, ddx reactive synovial cells

48
New cards
term image

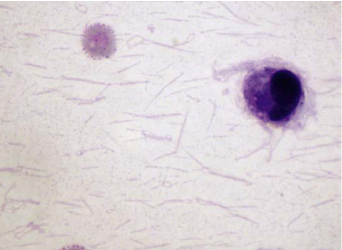
Synoviocyte against normal mucin bg

49
New cards
term image

Windrowing of large mononuclears from dog w DJD due to chronic bicipital tendosynovitis

Explore top flashcards

AP Lit-List #10
Updated 624d ago
flashcards Flashcards (20)
BIO 271 Exam 2
Updated 821d ago
flashcards Flashcards (196)
Operations Syllabus
Updated 810d ago
flashcards Flashcards (20)
INTB 200 Exam 2
Updated 495d ago
flashcards Flashcards (65)
CHEM
Updated 53m ago
flashcards Flashcards (30)
AP Lit-List #10
Updated 624d ago
flashcards Flashcards (20)
BIO 271 Exam 2
Updated 821d ago
flashcards Flashcards (196)
Operations Syllabus
Updated 810d ago
flashcards Flashcards (20)
INTB 200 Exam 2
Updated 495d ago
flashcards Flashcards (65)
CHEM
Updated 53m ago
flashcards Flashcards (30)