microscopic A&P of skeletal muscles exercise 12

0.0(0)
Studied by 15 people
call kaiCall Kai
learnLearn
examPractice Test
spaced repetitionSpaced Repetition
heart puzzleMatch
flashcardsFlashcards
GameKnowt Play
Card Sorting

1/25

flashcard set

Earn XP

Description and Tags

Muscles and make up

Last updated 10:15 AM on 3/21/23
Name
Mastery
Learn
Test
Matching
Spaced
Call with Kai

No analytics yet

Send a link to your students to track their progress

26 Terms

1
New cards
Skeletal muscle
What muscle am I?
What muscle am I?
2
New cards
1\.Nuclei

2\.striations

3\.Muscle fiber
Skeletal muscle
Skeletal muscle
3
New cards
Cardiac muscle
What muscle am I ?
What muscle am I ?
4
New cards
1\. Intercalated discs

2\. striations

3\.Glycogen
Cardiac Muscle
Cardiac Muscle
5
New cards
Smooth muscle
what muscle am I ?
what muscle am I ?
6
New cards
Smooth Muscle
Smooth Muscle

1. Nuclei
2. Muscle cells
7
New cards
Skeletal Muscle
Skeletal Muscle
1\.Nucleus

2\.Muscle fiber

3\.Endomysium

4\.Striation
8
New cards
Cardiac Muscle cell
Cardiac Muscle cell
1\.Desmosomes

2\.Gap Junctions

3\.Endomysium

4\.Intercalated discs

5\. Mitochondrion

6\.Sarcolemma

7\.Nucleus

8\.Cardiac muscle cell
9
New cards
Cardiac Muscle
Cardiac Muscle
1\.Branched cardiac cell

2\.Intercalated disc

3\.Nuclei of cardiac cell
10
New cards
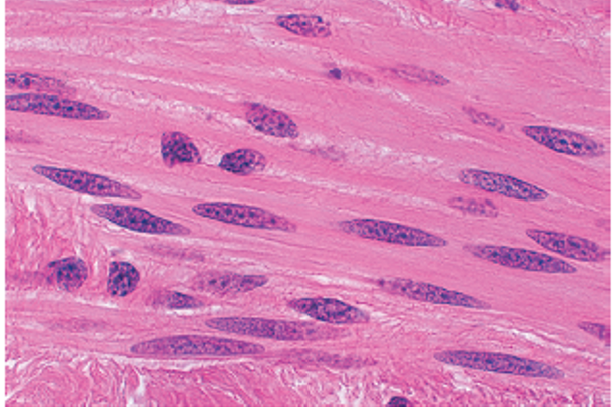
Smooth Muscle
Smooth Muscle
1\.Longitudinal smooth muscle fiber

2\.Smooth muscle cell

3\.Transverse smooth muscle fiber
11
New cards
Smooth Muscle
Smooth Muscle
1\.Smooth muscle fiber

2\.Central nuclei of smooth muscle fibers
12
New cards
1\.Tendon

2\.Fascia

3\.Skeletal muscle

4\.Muscle fascicle

5\.Nerve

6\.Blood vessels

7\.Epimysium

8\.Endomysium

9\.Muscle fiber

10\.Muscle Fascicle

11\.Perimysium

12\.Muscle fiber
1\.Tendon

2\.Fascia

3\.Skeletal muscle

4\.Muscle fascicle

5\.Nerve

6\.Blood vessels

7\.Epimysium

8\.Endomysium

9\.Muscle fiber

10\.Muscle Fascicle

11\.Perimysium

12\.Muscle fiber
1\.Tendon

2\.Fascia

3\.Skeletal muscle

4\.Muscle fascicle

5\.Nerve

6\.Blood vessels

7\.Epimysium

8\.Endomysium

9\.Muscle fiber

10\.Muscle Fascicle

11\.Perimysium

12\.Muscle fiber1
13
New cards
What is the highlighted area? What does it do?
What is the highlighted area? What does it do?
Tendon-attach muscle to bone thus movement
14
New cards
What is the highlighted area?
What is the highlighted area?
Epimysium
15
New cards
What is the highlighted area?
What is the highlighted area?
Perimysium
16
New cards
What is the Cylinder structure?
What is the Cylinder structure?
Fascicle
17
New cards
What is the web? What is the structure protruding out and what surrounds it?
What is the web? What is the structure protruding out and what surrounds it?

1. Endomysium
2. Individual muscle fiber surrounded by Sarcolemma with nuclei beneath
18
New cards
Connective tissue & Fascicles in order
Epimysium>Perimysium>Fascicle>Endomysium>Sarcolemma
19
New cards
Skeletal Muscle Fiber
Skeletal Muscle Fiber
1\.Muscle

2\.Fascicle

3\.Muscle fiber

4\.Nucleus

5\.Opening to T-tubules

6\.Mitochondrion

7\.Sarcoplasm

8\.Myofilaments

9\.Sarcomere

10\.Myofibrils

11\.Sarcolemma

12\.Terminal Cisternae

13\.T-tubule

14\.Triad

15\.Sarcastic Sarcastic reticulum
20
New cards
Myofilaments (thick & thin)
Myofilaments (thick & thin)

1. Myosin molecule
2. Myosin Head
3. Tropomyosin (green)
4. G-actin (red single)
5. F- actin (red multiple)
6. Troponin (blue)
21
New cards
Sarcomere
Sarcomere

1. Z disc
2. Thin filament
3. myosin
4. M line
5. Thick filament
6. Actin
7. Tropomyosin
8. Troponin
9. Z disc
10. H zone
22
New cards
Components of Sarcomere
Components of Sarcomere

1. Sarcomere
2. Z disc
3. Z disc
4. Thick filament
5. Thin filament
6. m line
7. Thin filament
8. H zone
23
New cards
parts of the neuromuscular junction
parts of the neuromuscular junction

1. skeletal muscle fiber
2. Axon of motor nerve
3. Motor end plate
24
New cards
name the highlighted muscle, two origins, and the single intersection.
name the highlighted muscle, two origins, and the single intersection.

1. Sternocleidomastoid
2. Insertion: mastoid process of temporal bone
3. Origin: Sternum and clavicle
25
New cards
Muscle cell
Muscle cell

1. Triad (leaf)
2. Terminal Cisterns ( both sides if middle line)
3. T-tubule (middle line)
4. Mitochondrion
5. Sarcoplasmic reticulum (web)
6. Myofibril (thick)
26
New cards
neuromuscular junction
neuromuscular junction

1. motor nerve fibers
2. neuromuscular junction
3. muscular fibers

Explore top notes

note
DNA replication (slides)
Updated 1202d ago
0.0(0)
note
Chapter 18: Cell Death
Updated 981d ago
0.0(0)
note
Othello Act 1
Updated 844d ago
0.0(0)
note
Chapter 2 Notes
Updated 1113d ago
0.0(0)
note
Chapter 9: Pure Competition
Updated 1267d ago
0.0(0)
note
DNA replication (slides)
Updated 1202d ago
0.0(0)
note
Chapter 18: Cell Death
Updated 981d ago
0.0(0)
note
Othello Act 1
Updated 844d ago
0.0(0)
note
Chapter 2 Notes
Updated 1113d ago
0.0(0)
note
Chapter 9: Pure Competition
Updated 1267d ago
0.0(0)

Explore top flashcards

flashcards
Lvl 3: 3/3/23: U3, L1: Week C
20
Updated 1113d ago
0.0(0)
flashcards
Spanish 6B
45
Updated 852d ago
0.0(0)
flashcards
Psychology Module 55-56
32
Updated 162d ago
0.0(0)
flashcards
Subjuntivos Conjunciones
125
Updated 658d ago
0.0(0)
flashcards
ALL ASL so far
123
Updated 1219d ago
0.0(0)
flashcards
Lvl 3: 3/3/23: U3, L1: Week C
20
Updated 1113d ago
0.0(0)
flashcards
Spanish 6B
45
Updated 852d ago
0.0(0)
flashcards
Psychology Module 55-56
32
Updated 162d ago
0.0(0)
flashcards
Subjuntivos Conjunciones
125
Updated 658d ago
0.0(0)
flashcards
ALL ASL so far
123
Updated 1219d ago
0.0(0)