1/286
Looks like no tags are added yet.
Name | Mastery | Learn | Test | Matching | Spaced | Call with Kai |
|---|
No analytics yet
Send a link to your students to track their progress
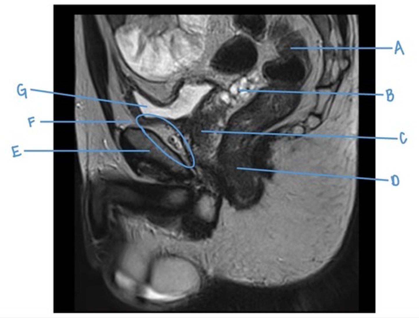
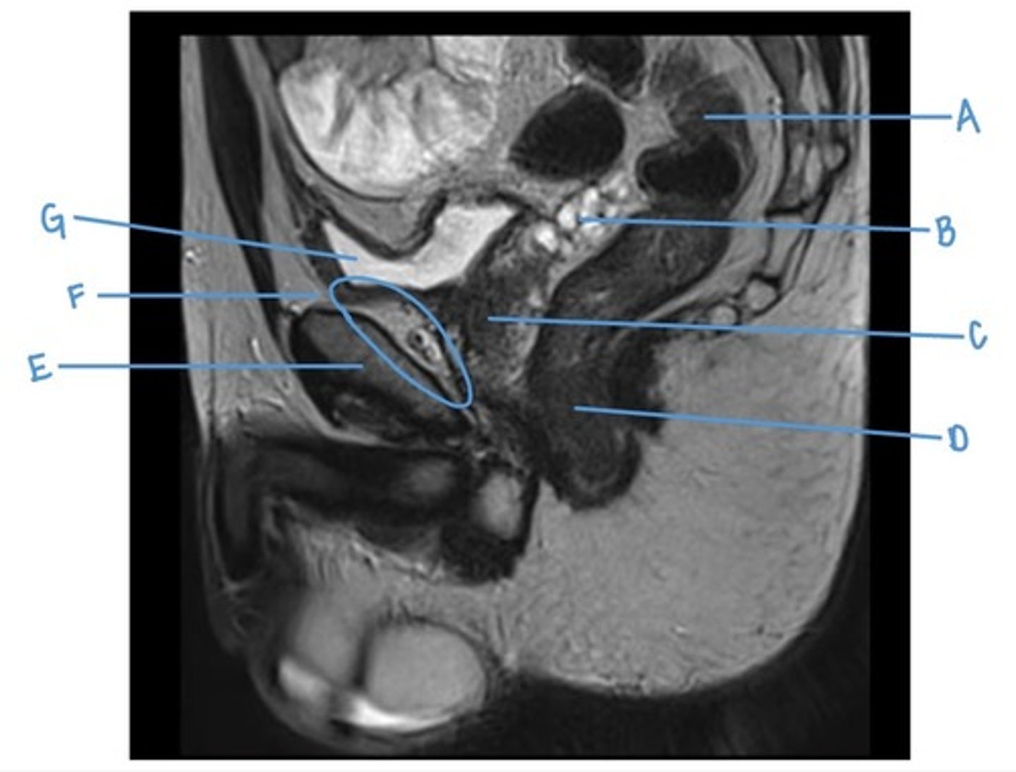
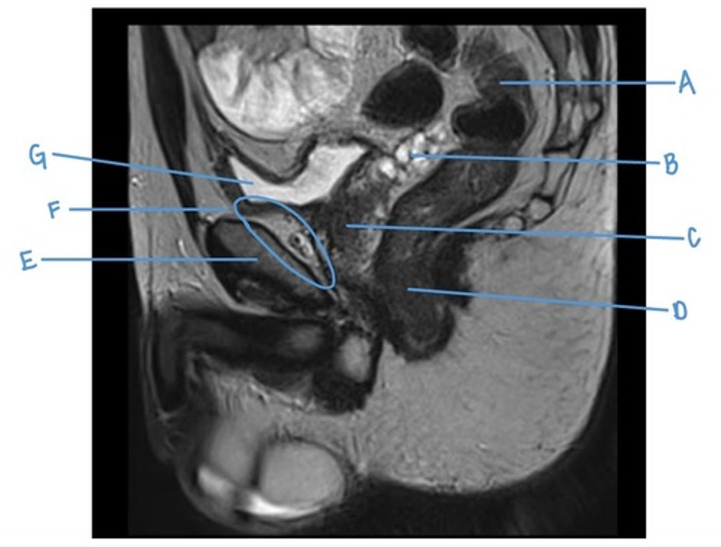
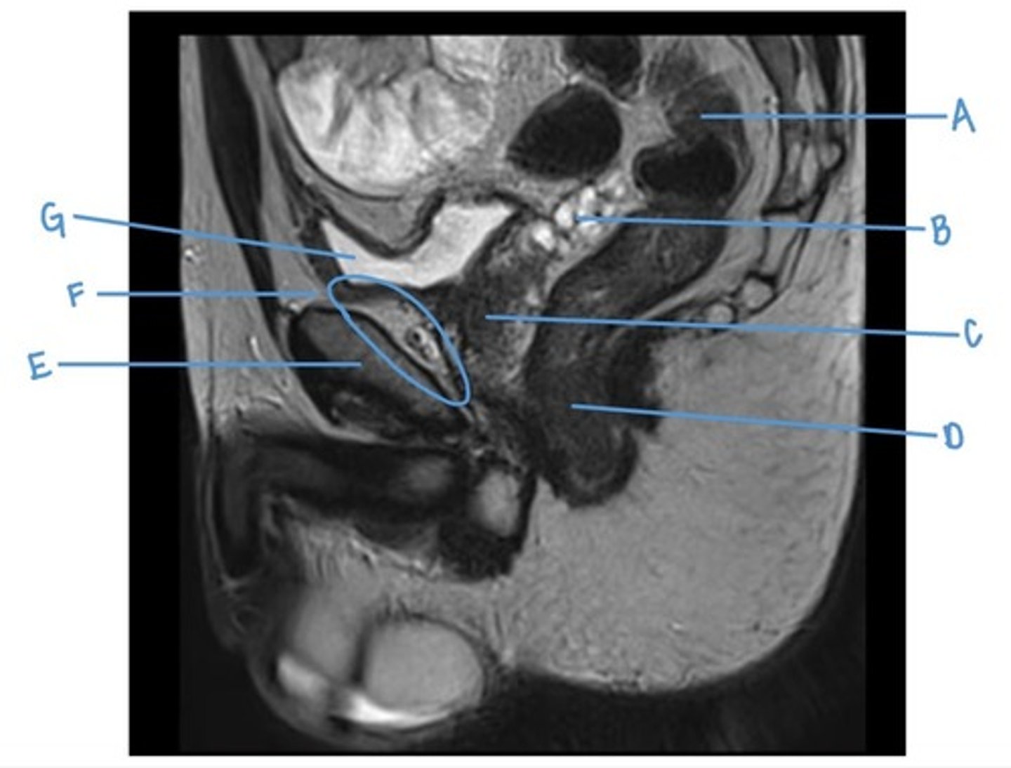
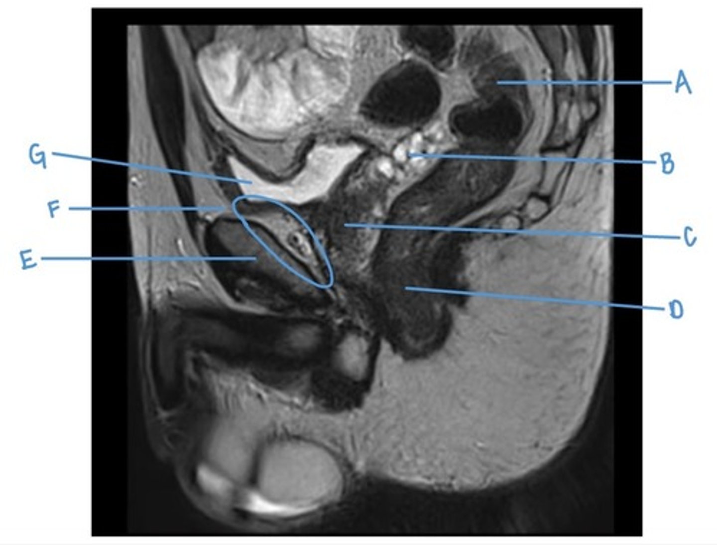
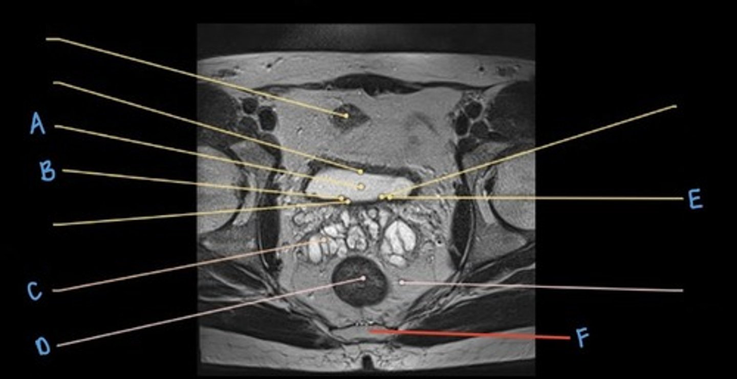
ureter
A & F

small intestine
B

bladder
C

prostate
D

sigmoid colon
E

iliacus muscle
G

psoas major muscle
H

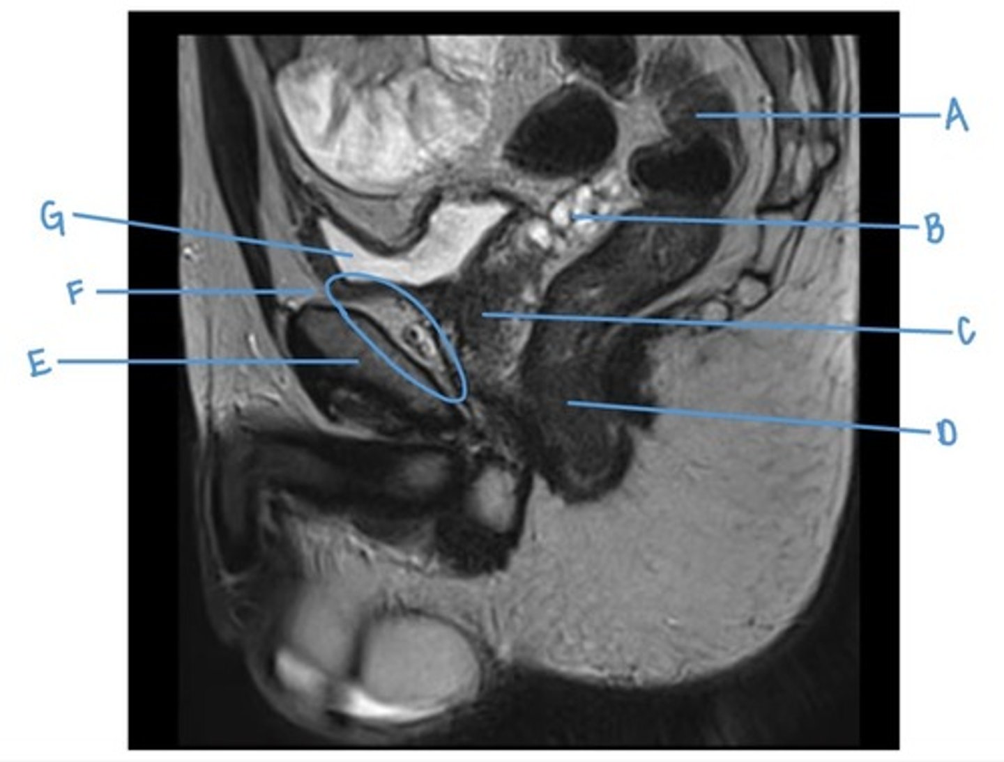
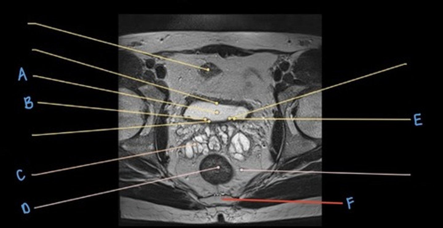
sigmoid colon
A

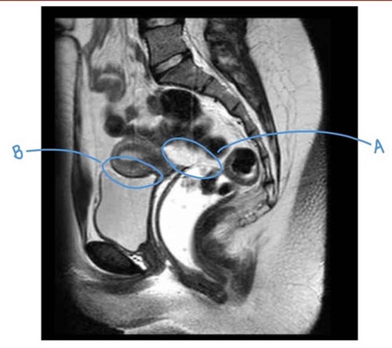
seminal vesicles
B

prostate
C

rectum
D

pubic symphysis
E

retro-pubic space
F

bladder
G

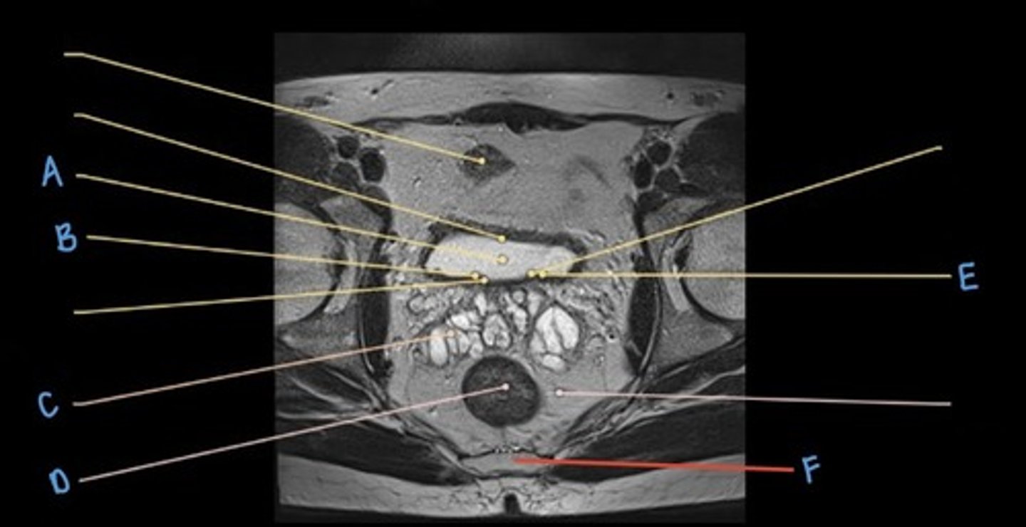
obturator externus muscle
A

obturator internus muscle
B

levator ani muscle (pubic diaphragm)
C

gluteus maximus muscle
D

pubic symphysis
E

rectus abdominus muscle
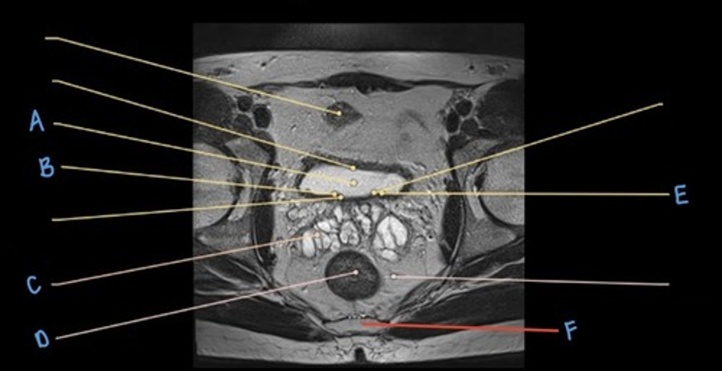
A

bladder
B

prostate
C

obturator internus muscle
D

levator ani muscle (pubic diaphragm)
E

gluteus maximus muscle
F

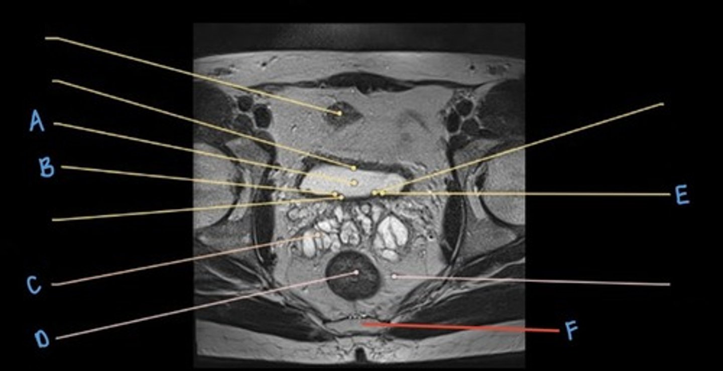
seminal vesicles
C

rectum
D

bladder
E

trigone of the bladder
F

obturator internus muscle
G

gluteus maximus muscle
H

bladder
A

ureter
B & E

seminal vesicles
C

rectum
D

coccyx
F

psoas major muscle
A

suspensory ligament of the ovaries
B & L

iliacus muscle
C

iliopsoas muscle
D

uterine (fallopian) tube
E & H

ilium
F

femoral head
G

myometrium
I

uterus
J

endometrium
K

bladder
B

descending colon
A

cecum
C

ileum
D

sacral promontory
A

sigmoid colon
B

vagina
C

rectum
D

urethra
E

pubic symphysis
F

retro-pubic space
G

bladder
H

uterus
I

ilium
A

iliacus muscle
B

suspensory ligament of the ovaries
C

perimetrium
D

sigmoid colon
E

gluteus maximus muscle
F

ovary
G

gluteus medius muscle
H

myometrium
I

gluteus minimus muscle
J

endometrium
K

uterus
L

rectus abdominus muscle
A

rectum
B

coccyx
C

coccygeus muscle
D

prostate
E

recto-uterine pouch
A

vesico-uterine pouch
B

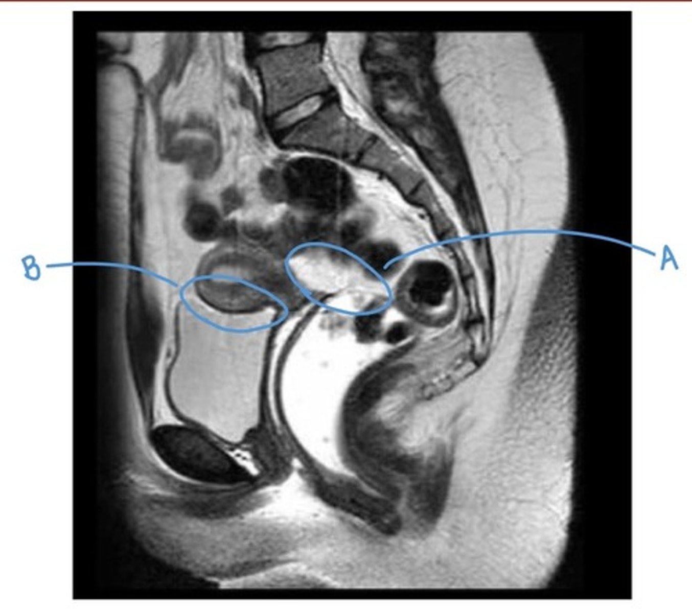
testis
A

pubic symphysis
B

bladder
C

seminal vesicles
D

retro-vesicle pouch
E

rectum
F

sacrum
G

prostate
H

levator ani muscle (pubic diaphragm)
I

ilium
A

prostate
B

obturator internus muscle
C

ischium
D

rectum
E

levator ani muscle (pubic diaphragm)
F

seminal vesicles
G

bladder
H

superior pubic ramus
A

rectus abdominus muscle
B

iliopsoas muscle
C

obturator internus muscle
D

rectum
E
