1/100
Looks like no tags are added yet.
Name | Mastery | Learn | Test | Matching | Spaced | Call with Kai |
|---|
No analytics yet
Send a link to your students to track their progress
What describes a numeric system describing all pregnancy outcomes?
Parity
What is synonymous with menstrual age?
Gestational age
What are the Germ Cell Layers that compose the embryonic disc?
Endoderm, Ectoderm, Mesoderm
Menstrual age, when is a morula formed?
Approx Day 17
When does the normal process of physiologic herniation occur?
8-12 weeks
What is the true age of the embryo or fetus?
Fetal age
What is an important role of the trophoblast ?
production of human chorionic gonadotropin
What accounts for the 2 weeks of 'pregnancy' in the beginning when you are not really pregnant while calculating due date?
Naegele’s Rule
What is the ability to survive in the extrauterine environment?
viability
What is the Rupture of a mature follicle with explosion of ovum?
ovulation
What hormone extends the life of the corpus luteum?
Human chorionic gonadotropin
When does a pregnancy secretes enough HCG to be detected?
9 days
Decidual reaction occurs regardless of implantation site. True or False
true
Where does fertilization occur?
ampulla

NOT BLACK ARROW
dark ring around gest sac
choronic cavity
What is the remaining endometrium not affected by embedded villi?
decidua vera
What is a fertilized egg?
zygote
The first ___ weeks the HCG levels double every other day
6
What forms the Thalami, corpus callosum and 3rd ventricle?
Diencephalan
What is the splitting of chromosomes?
cleavage / mitosis
What will develop into the embryo, amnion, umbilical cord, and the primary and secondary yolk sacs?
Inner cell layer

yolk sac
What forms the medulla, lower part 4th ventricle?
Myelencephalon
What is the hypertrophic changes in the endometrial cells?
decidualized endometrium
What is the term used where the villi has regressed and disappeared and becomes smooth completes the capsule for blastocyst?
Chorionic leave/Decidua Capularis
What is the inner single layer of the Trophoblast?
Cytotrophoblast
What refers to the length of time calculated from the first day of the last normal menstrual period to the point at which the pregnancy is being assessed?
Menstrual Age
What is the inner, thinner membrane of pregnancy?
Amniotic Membrane
What are the individual cells of the fertilization?
blastomeres
When does the morula enter the uterus?
day 4

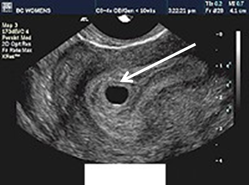
darkest circle
amniotic cavity
What is the term used where villi digs into endometrium?
Chorion Frondosum (fetal contribution)
Decidua Basalis (maternal contribution)
What will the regressed villi become?
chorion leave or smooth chorion
What sonographic sign Represents the amniotic sac- embryo/yolk sac complex?
Double bleb sign (seen around 4-5 weeks)
What forms the umbilical cord?
yolk stalk and allantois
When is the baby in utero referred to as the embryo?
week 1-10
What is the outer multi-celled layer of the Trophoblast?
Syncytiotrophoblast
What is the fetal contribution to the placenta?
Chorion Frondosum
What is a ball of 12 to 16 blastomeres?
morula

thin white curved line at top
amniotic membraine
What becomes an outpouching of the ileum in adults, known as Meckel’s diverticulum if it persists?
yolk sac
When does the Kidneys reach adult position?
week 11
What forms the pons, cerebellum, upper part 4th ventricle?
Metencephalon
Placenta can be seen at _____weeks
10
What forms the cerebral hemispheres, lateral ventricles?
Telencephalan

blastocele
blastocyst
blastomere
What is the most accurate way to date pregnancy?
crown rump length
What measurement remains accurate until the 8th week?
MSD – Mean Sac Diameter
What is the maternal part of the Decidualized Endometrium/maternal placental contribution?
decidua basalis
CRL is typically done up to ____weeks
12 (can be done up to 14 weeks)
When does the heart start to beat?
Week 5- 6
When does the neural tube form?
6 weeks

rhombencephalon
What structure will later be part of digestive tube for embryo?
yolk sac
What is the Outer ring of the Double Decidual Sac Sign?
decidua vera
Hematopoiesis (blood cell formation) is preformed by what structure until the eighth week?
yolk sac
What describes either dead or not capable of living in the extrauterine environment?
nonviable
When is organogensis is completed?
10 weeks
What are the two hyperechoic rings adjacent to gestational sac?
Double Decidual Sac Sign
The Rhombencephalon (hindbrain) divides into:
Metencephalon
Myelencephalon
What is the inner ring of the Double Decidual Sac Sign?
deciduas capsularis + chorion leave
Menstrual age, when does a zygote form?
Day 14
cleavage occurs in the fallopian tube and results in the formation of______________.
blastomeres

Crown rump length
Cardiac activity should definitively be seen in a CRL measuring
5-7 mm
G9P4135
describe each pregnancy
4 full term births
1 premature births
3 abortions
5 living children
When is the umbilical cord formed?
6 wekks
What will ultimately create the chorionic membrane and fetal contribution to the placenta?
Outer cell layer or trophoblast
What is having had several pregnancies?
multiparity
What is the First intragestational sac anatomy seen?
yolk sac
What substance cushions the vessels within the umbilical cord?
wharton’s jelly

Amniotic membrane
What is the number of pregnancies, including the present one?
gravidity
What cavity shrinks and is obliterated at 12 weeks?
chorionic cavity
What Controls formation of sex glands?
yolk sac

1 – decidua capsularis
2- Chorionic membrane
3 – amniotic cavity
4 – chorionic cavity
5- yolk sac
6 – decidua basalis
What is the developing fourth ventricle and posterior fossa that is seen as a cystic structure during the first trimester?
rhombencephalon
When does the Amnion and Chorion typically fuse?
Around 12 weeks
The Prosencephalon (forebrain) divides into:
Telencephalan
Diencephalan
Where is the yolk sac located?
in the chorionic cavity
What forms the aqueduct of Sylvius?
Mesencephalon
What provides nutrients to the developing embryo?
Yolk sac

placenta
What estrogenic hormone is produced by the placenta?
estriol
What peptide hormone is secreted by the placenta during pregnancy?
inhibin A
What seals the fertilized egg?
Zona pellucida
Menstrual age, when is implantation complete?
day 23
What hormone is produced by the trophoblasts and also is used as a tumor marker in nongravid patients and males?
Human chorionic gonadotropin
G7P3033
describe each pregnancy
3 full term births
0 premature births
3 abortions
3 living children
What vessels are contained the umbilical cord?
2 umbilical arteries
1 umbilical vein
What protein is produced by the fetal yolk sac, fetal gastrointestinal tract and the fetal liver; may also be produced by some malignant tumors?
Alpha-fetoprotein
What is the outer, thicker membrane of pregnancy?
Chorionic Membrane
What is the distal segment of the fallopian tube?
infundibulum

Double decidual sac sign
Typically seen around 7 weeks
What are the fingerlike extension of the fallopian tube located on the infundibulum?
FIMBRIAe
70% of all twins are?
Dizygotic (Fraternal)
What is also called extraembryoic coelom?
Chorionic cavity
What is the physiologic effect on the endometrium in the presence of a pregnancy?
Decidual reaction
What is the level of human chorionic gonadotropin beyond which an intrauterine pregnancy is consistently visible?
Discriminatory zone
G5P2204
describe each pregnancy
2 full term births
2 premature births
0 abortions
4 living children