1/122
Phyla: Phaeophyta (brown ["phaeo-"] algae), Chlorophyta (green algae)
Name | Mastery | Learn | Test | Matching | Spaced | Call with Kai |
|---|
No analytics yet
Send a link to your students to track their progress
T or F: There are ~1,500 species of the the phylum Phaeophyta.
T.
Fill in the blanks: Phaeophyta seaweeds are almost all (a: location-related) seaweeds.
a: marine
Where are Phaeophyta brown mosses located?
At shallow depths (from sea level to ~30 m).

T or F: Phaeophyta are often dominant seaweeds, especially in temperate regions.
T.

What is the growth form of the vegetative body of Phaeophyta brown moss?
Thallus.
Fill in the blanks: For Phaeophyta brown moss, thalli range from (a: simple / complex) (b: branched / unbranched) filaments to (c: size) seaweeds.
a: simple
b: branched
c: large


Refer to this picture and fill in the blanks: Large seaweeds of Phaeophyta can form a (a).
Kelp forest.
Fill in the blanks: Thallus of many larger brown algae are differentiated into (a), (b), and (c).
a: holdfast
b: stipe
c: blade

Label the structures of a brown algae thallus. (picture shows a brown algae of the genus Laminaria (kelps))


What are these balls on the thalli of brown algae? (picture shows a brown algae of the genus Fucus (rockweed))
Air bladder.
What is the function of the air bladders on the thallus of Phaeophyta brown algae?
To ensure buoyancy.

Identify the genus of this Phaeophyta brown algae.
Sargassum.

Label the structures of the thallus of Sargassum brown moss.


Example of Sargassum in Hong Kong.


What are these floating orange substances?
Sargassum.
Where is the phenomenon of floating Sargassum usually found at?
Sargasso Sea, near North America and South America.


Suggest a problem that arises when the Sargassum washes ashore.
Sargassum turns stinky as it starts to decompose.
What is a daily application of Phaeophyta brown algae?
As food.

What are the primary and accessory pigments of Phaeophyta cells?
Primary: chlorophyll a, chlorophyll c
Accessory: carotenoids, including fucoxanthin
In cells of Phaeophyta brown mosses, what masks the color of the chlorophyll?
Fucoxanthin.
What is food stored as in Phaeophyta cells?
Laminarin.
What is laminarin?
A polymer of glucose.
Where are laminarin stored in Phaeophyta cells?
Vacuoles.
Identify the primary photosynthetic pigment, accessory photosynthetic pigment, food storage, and location of food storage of the phyla Rhodophyta and Phaeophyta.
Rhodophyta —
Primary photosynthetic pigment: chlorophyll a
Accessory photosynthetic pigment: phycobilin
Food storage: floridean starch
Location of food storage: cytoplasm of cells
Phaeophyta —
Primary photosynthetic pigment: chlorophyll a, chlorophyll c
Accessory photosynthetic pigment: carotenoids, including fucoxanthin
Food storage: laminarin
Location of food storage: vacuole of cells
What is the intercellular region of Phaeophyta filled with?
Algin mucilage (海藻膠黏液).
For Phaeophyta brown algae, what is the function of algin in terms of survival under water?
To provide flexibility and toughness that allow seaweeds to withstand the mechanical stress imposed by waves and currents.
For Phaeophyta brown algae, what are the functions of algin in terms of surviving at low tide?
To prevent drying of seaweed. To prevent other organisms from colonizing surface of brown mosses.
For Phaeophyta brown algae, suggest 2 common applications of algin in daily life.
Stabilizer and emulsifier in foods, cosmetics, and paints.
Coating for paper.
What type of meiosis do most Phaeophyta brown algae undergo?
Sporic meiosis, with alternation of generations.

Fill in the blanks of a life cycle with sporic meiosis, with alternation of generations.

What type of meiosis do a minority of Phaeophyta brown algae undergo?
Gametic meiosis, without alternation of generations.

Fill in the blanks of a life cycle with gametic meiosis, without alternation of generations.

Which type of meiosis does Laminaria brown algae undergo?
Sporic meiosis, with alternation of generations.
Which type of meiosis does Sargassum brown algae undergo?
Gametic meiosis, without alternation of generations.
Which type of meiosis does Fucus brown algae undergo?
Gametic meiosis, without alternation of generations.

Identify the genus of this Phaeophyta brown algae.
Laminaria.
What is the dominant phase of Laminaria?
Sporophyte.
What is the sexuality of Laminaria gametophyte?
Unisexual.
T or F: Laminaria spores are motile.
T.
What is the name of motile spores (e.g. Laminaria spores)?
Zoospore.
T or F: Laminaria has both archegonium and antheridium.
F.
Laminaria does not have archegonium. Instead, it has oogonium.

Identify the male and female gametophyte of Laminaria brown algae (phylum Phaeophyta).
Left: female
Right: male

Identify the male and female gametophyte of Laminaria brown algae (phylum Phaeophyta).
Left: male
Right: female

What are the growth form of Laminaria gametophytes?
Filamentous.
T or F: Laminaria gametophytes are visible with bare eyes.
F.
Laminaria gametophytes are microscopic.
Fill in the blank: In the male gametophytes of Laminaria brown algae, sperms are contained in (a).
a: antheridia

Label the structures of a Laminaria male gametophyte.

In Laminaria male gametophyte, what are the ploidy levels of antheridium and sperm?
Antheridium: haploid (n)
Sperm: haploid (n)
Fill in the blanks: In Laminaria female gametophytes, eggs are contained in (a).
a: oogonia

Label the structures of a female gametophyte of Laminaria brown algae.

In Laminaria female gametophytes, what are the ploidy levels of oogonium and egg?
Oogonium: haploid (n)
Egg: haploid (n)

Label the structures of the mature sporophyte of Laminaria brown algae.

What are the ploidy levels of the structures that appeared in the life cycle of Laminaria brown algae (phylum Phaeophyta)?
Sporophyte
Holdfast
Stipe
Blade
Immature unilocular sporangia
Mature sporangia
Zoospore
Antheridium
Sperm
Oogonium
Egg
Zygote
Sporophyte: diploid (2n)
Holdfast: diploid (2n)
Stipe: diploid (2n)
Blade: diploid (2n)
Immature unilocular sporangia: diploid (2n)
Mature sporangia: diploid (2n)
Zoospore: haploid (n)
Gametophyte: haploid (n)
Antheridium: haploid (n)
Sperm: haploid (n)
Oogonium: haploid (n)
Egg: haploid (n)
Zygote: diploid (2n)

Identify the genus of this Phaeophyta brown algae.
Fucus.
T or F: The dominant phase of Fucus brown algae is gamete.
F. The dominant phase of Fucus is the mature thallus, i.e. diploid individual.

What is the growth form of the dominant phase of Fucus brown algae?
Thallus.
T or F: Fucus produces spores.
F.
Fucus does not undergo an alternation of generation. Fucus only produces diploid individual and gamete.
T or F: Fucus has both antheridia and archegonia.
F.
Instead of archegonia, Fucus has oogonia.

What are the swollen structures at the tip of thallus of Fucus brown algae?
Receptacle.


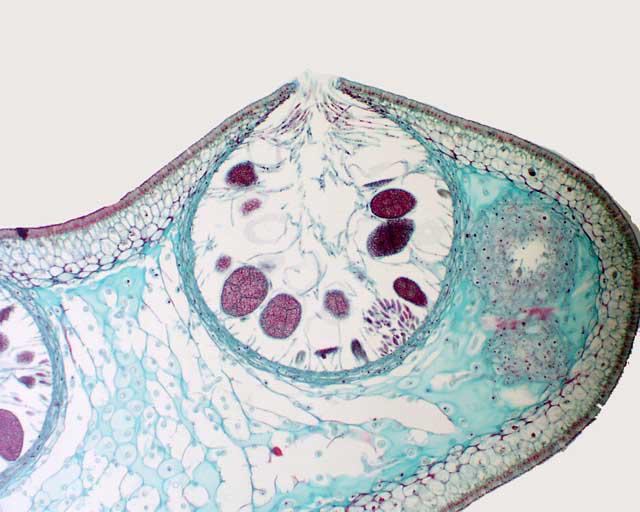
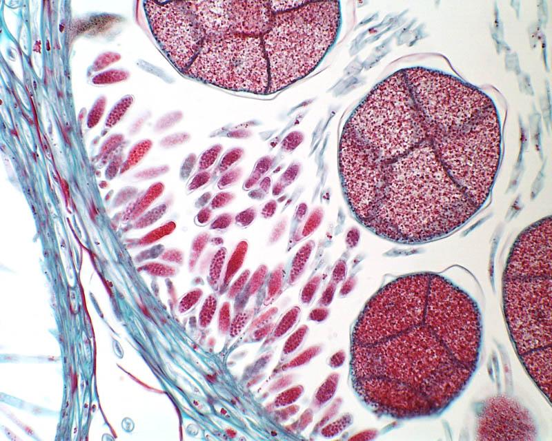
This picture shows the cross section of a Fucus receptacle. Identify a conceptacle.


Label an oogonium and antheridium of a Fucus conceptacle.

What is the ploidy level of Fucus oogonia? Why?
Diploid (2n). Fucus oogonia is part of the diploid individual.
What is the ploidy level of Fucus antheridia?
Diploid (2n). Fucus antheridia is part of the diploid individual.
What is the ploidy level of Fucus receptacle?
Diploid (2n).
What is the ploidy level of Fucus conceptacle?
Diploid (2n).

Based on the image, identify whether the Fucus oogonia are mature or immature.
Mature.

Based on the image, identify whether the Fucus oogonia are mature or immature.
Immature.

Based on the image, identify whether the Fucus oogonia are mature or immature.
Mature.

Identify these structures in the Fucus receptacle.
Antheridia.

What are the tiny balls inside the Fucus antheridia?
Sperms.
What are the ploidy levels of the structures that appeared in the life cycle of Fucus brown algae?
Mature thallus
Receptacle
Conceptacle
Oogonia
Egg sac
Egg
Archegonia
Sperm packet
Sperm
Zygote
Young diploid individuals
Mature thallus: diploid (2n)
Receptacle: diploid (2n)
Conceptacle: diploid (2n)
Oogonia: diploid (2n)
Egg sac: diploid (2n)
Egg: haploid (n)
Archegonia: diploid (2n)
Sperm packet: diploid (2n)
Sperm: haploid (n)
Zygote: diploid (2n)
Young diploid individuals: diploid (2n)

Fill in the blanks of the life cycle of Fucus brown algae (phylum Phaeophyta).

What is the phylum of green algae?
Chlorophyta.
T or F: Chlorophyta green algae has over 17,000 species.
T.
T or F: Like Phaeophyta, Chlorophyta green algae are all multicellular.
F.
Chlorophyta can be unicellular or multicellular.
Fill in the blanks: Chlorophyta green algae are mostly (a: habitat-related), some (b: habitat-related), some in symbiosis with (c) as (d).
a: aquatic
b: terrestrial
c: fungi
d: lichens
Give 2 examples of the aquatic habitats of Chlorophyta green algae.
Marine. Freshwater.
Give 3 examples of the terrestrial habitats of Chlorophyta green algae.
On tree trunks. On soil. On snow.

Identify whether this Chlorophyta genus is unicellular or multicellular.
Unicellular.


Identify whether this Chlorophyta genus is unicellular or multicellular.
Unicellular.


Are the green algae of the genera Chlorococcus and Chlorella motile?
No. They are non-motile.

Fill in the blanks: Chlamydomonas green algae is (a: motile / immotile) and (b: unicellular / multicellular / colonial).
a: motile
b: unicellular

Label the structures of a Chlamydomonas green algae.


Identify the genus of this Chlorophyta green algae.
Hydrodictyon.

Photo shows a Chlorophyta green algae of the genus Hydrodictyon. Fill in the blanks: Hydrodictyon (water net) green algae is (a: motile / immotile) and (b: unicellular / multicellular / colonial).
a: immotile
b: colonial

Fill in the blanks: For Hydrodictyon green algae, each colony consists of many (a: size), (b: shape) cells arranged in a (c) structure.
a: large
b: cylindrical
c: net-like

Identify the genus of this Chlorophyta green algae.
Volvox.

Describe the appearance of Volvox.
A hollow sphere made up of a single layer of hundreds to thousands of biflagellated cells.
For the Volvox green algae, where are juvenile spheroids formed?
In parent spheroid.

Identify the genus of this Chlorophyta green algae.
Oedogonium.

Fill in the blanks: Oedogonium green algae is (a: unicellular / multicellular / colonial) and (b: growth form).
a: multicellular
b: filamentous

Identify the genus of this Chlorophyta green algae.
Ulva.

What is another name for ulva?
Water lettuce / sea lettuce.

Fill in the blanks: Ulva green algae is (a: unicellular / multicellular / colonial) and (b: growth form).
a: multicellular
b: blade-like
T or F: Siphonocladus chlorophyta have coenocytic cells.
T.
What are coenocytic cells?
Cells with many nuclear divisions without accompanying cell wall division.

Fill in the blanks: Siphonous Chlorophyta have (a: size), (b: branched / unbranched), coenocytic cells.
a: large
b: branched


Are sea grapes / green caviar (Caolerpa lentillifera) siphonous?
Yes
What are the main photosynthetic pigments of Chlorophyta?
Chlorophyll a. Chlorophyll b.
In Chlorophyta cells, what are food stored as?
Starch.