MLS 332 Unit 2 Part 3 Erythrocyte Abnormalities

0.0(0)
studied byStudied by 7 people
full-widthCall with Kai
GameKnowt Play
learnLearn
examPractice Test
spaced repetitionSpaced Repetition
heart puzzleMatch
flashcardsFlashcards
Card Sorting

1/84

encourage image

There's no tags or description

Looks like no tags are added yet.

Study Analytics
Name
Mastery
Learn
Test
Matching
Spaced

No study sessions yet.

85 Terms

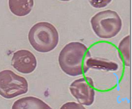
1
New cards

Microcytic RBC

small RBC

<80 fL

smaller than a small lymphocyte 

<p>small RBC</p><p>&lt;80 fL</p><p>smaller than a small lymphocyte&nbsp;</p>
2
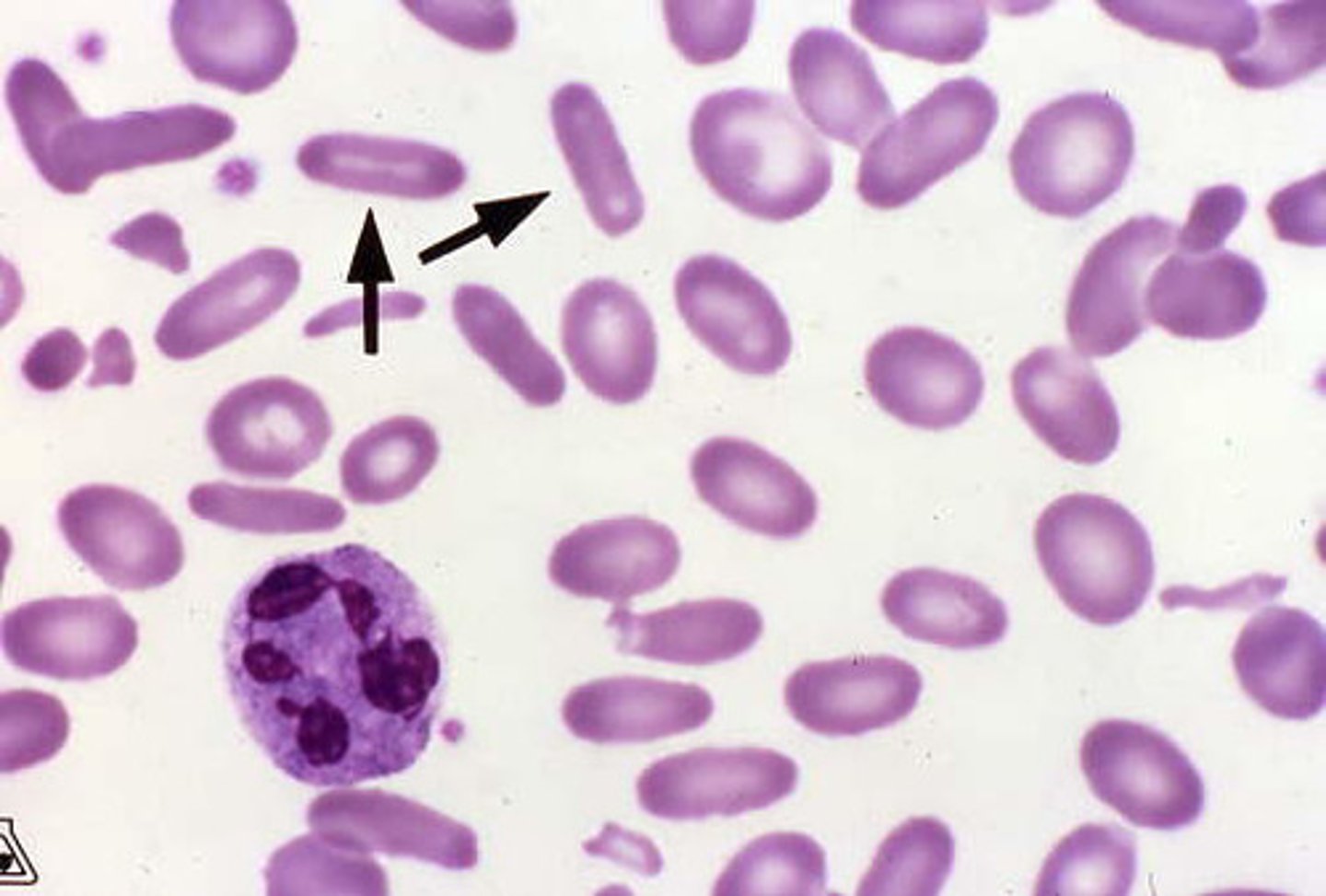
New cards

Mean Corpuscular Volume (MCV)

80-100 fL

Correlates to size of the RBCs on a blood smear

  • How big does the cell look on the size

3
New cards

Mean corpuscular hemoglobin (MCH)

28-34 pg - weight

  • average amount of hemoglobin in a RBC

4
New cards

Mean corpuscular hemoglobin concentration (MCHC)

32-36 g/dL

Correlates to hemoglobination on a blood smear

• Measures the concentration of hemoglobin in a given volume of packed red blood cells.

5
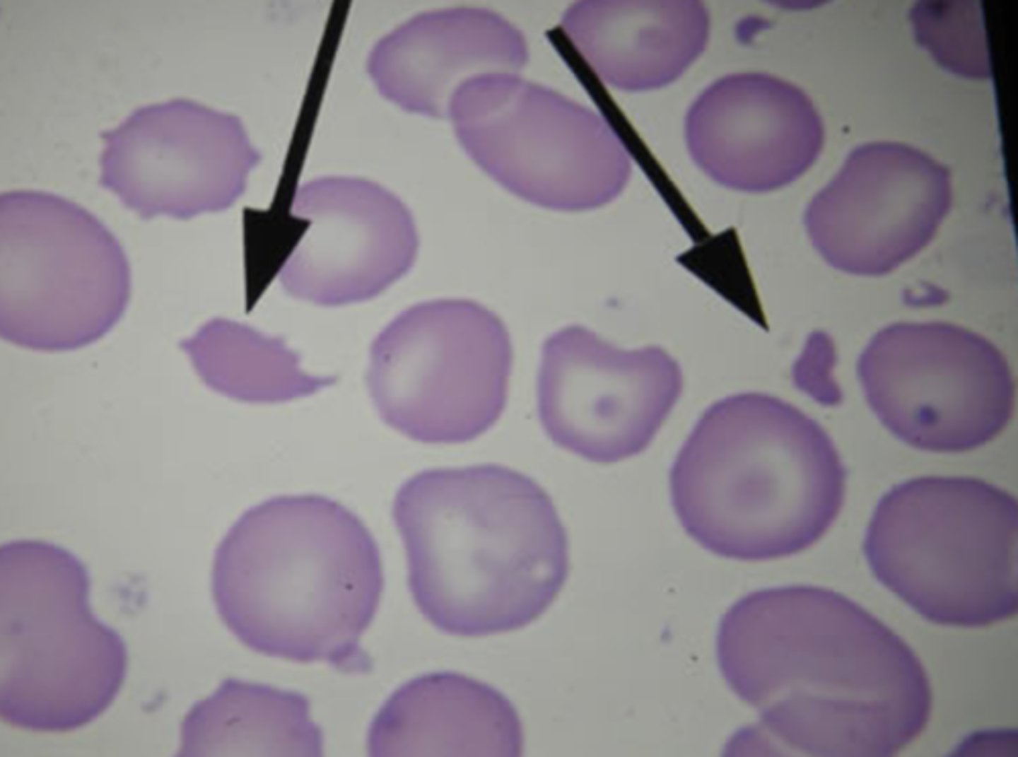
New cards

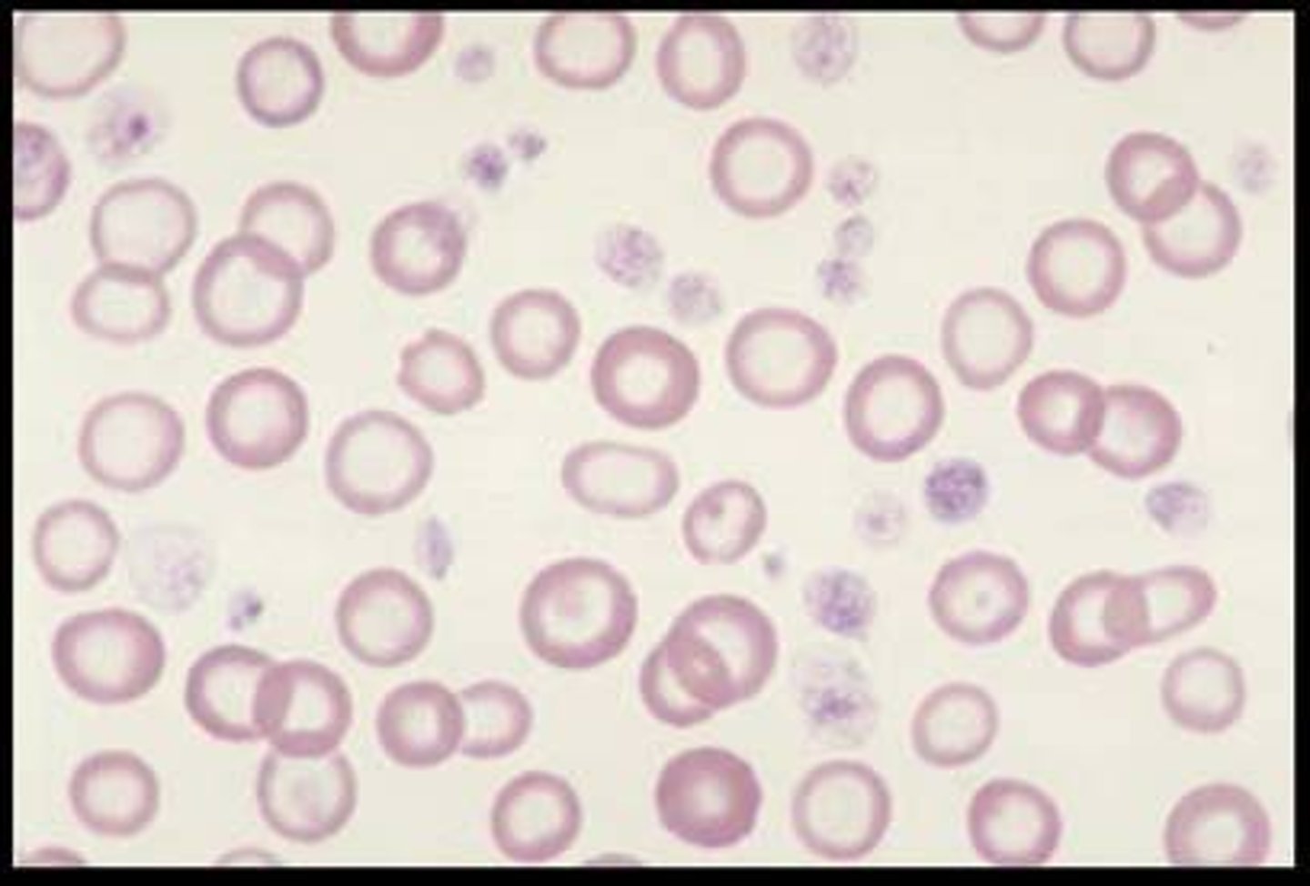
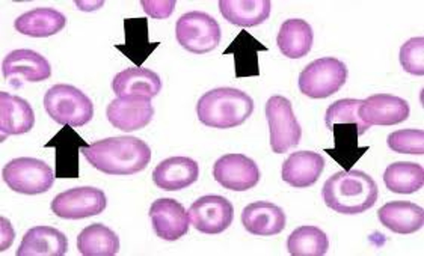
Poikilocytes

Change in Shape of RBC

6
New cards

Anisocytosis 

Variation in sizes of RBCs

Correlates with RDW

Red blood cell Distribution Width

*Do the Cells look uniform

<p><span>–</span><span style="font-family: &quot;Gill Sans MT&quot;;">Variation in sizes of RBCs</span></p><p><span>–</span><span style="font-family: &quot;Gill Sans MT&quot;;">Correlates with RDW</span></p><p><span>•    </span><span style="font-family: &quot;Gill Sans MT&quot;;">Red blood cell Distribution Width</span></p><p></p><p>*Do the Cells look uniform </p><p></p>
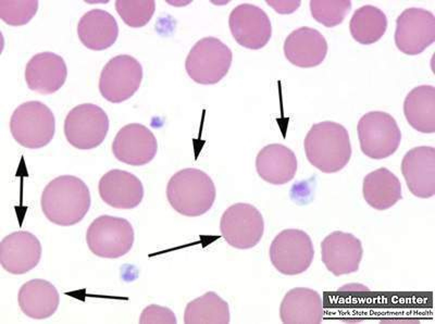
7
New cards

Normocytic RBC

normal size

(80-100 fL)

The same size as a small lymphocyte 

<p>normal size</p><p>(80-100 fL)</p><p>The same size as a small lymphocyte&nbsp;</p>
8
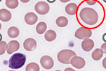
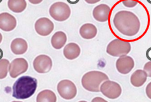
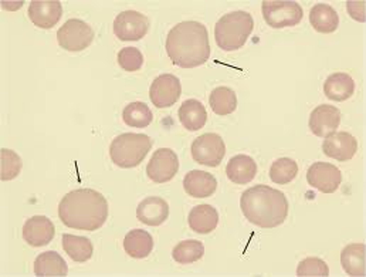
New cards

Macrocytic RBC

large RBC

(>100 fL)

Bigger than small lymphocyte 

<p>large RBC</p><p>(&gt;100 fL)</p><p>Bigger than small lymphocyte&nbsp;</p>
9
New cards

Hypochromic RBC

pale RBC (more white than pink)

The central pallor is the white part greater than one-third of the cell diameter.

<p>pale RBC (more white than pink)</p><p>The central pallor is the white part greater than one-third of the cell diameter.</p>
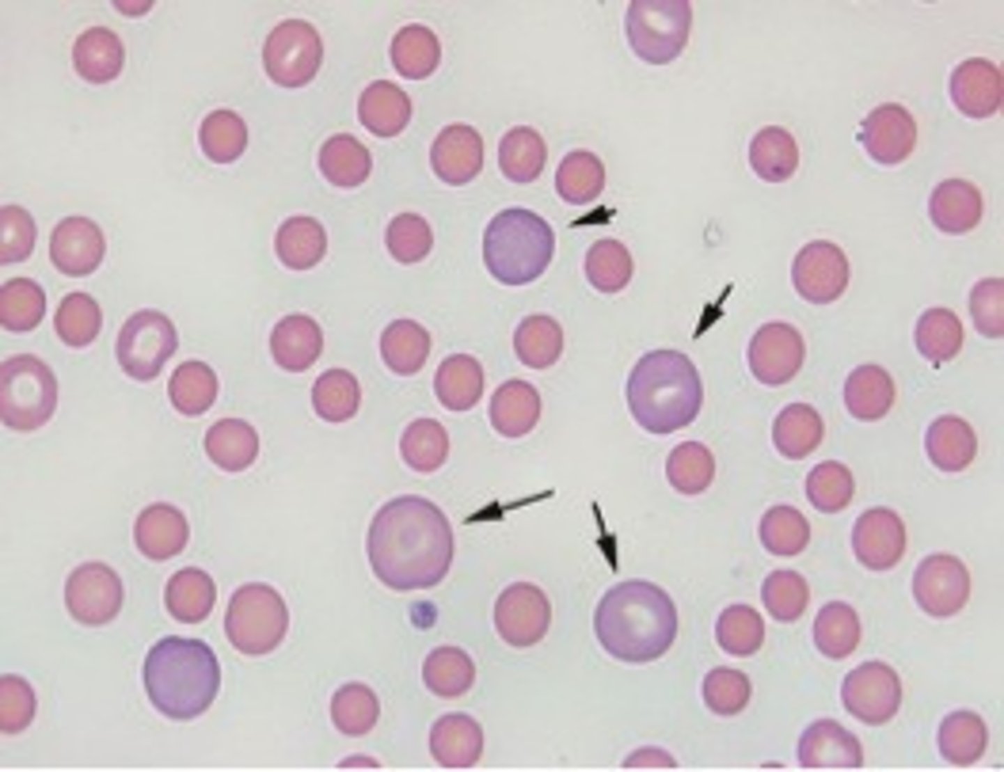
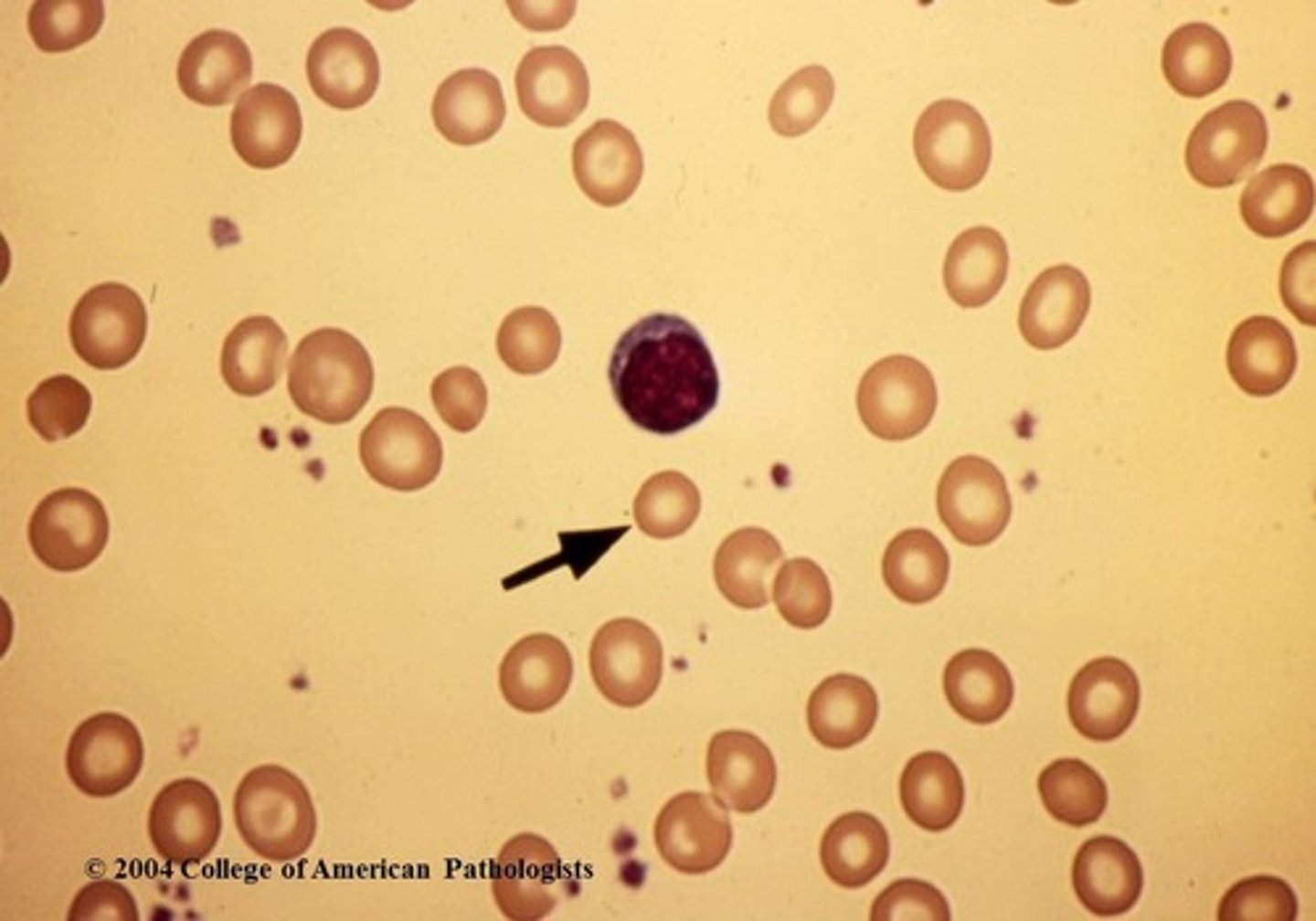
10
New cards

Normochromic RBC

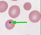
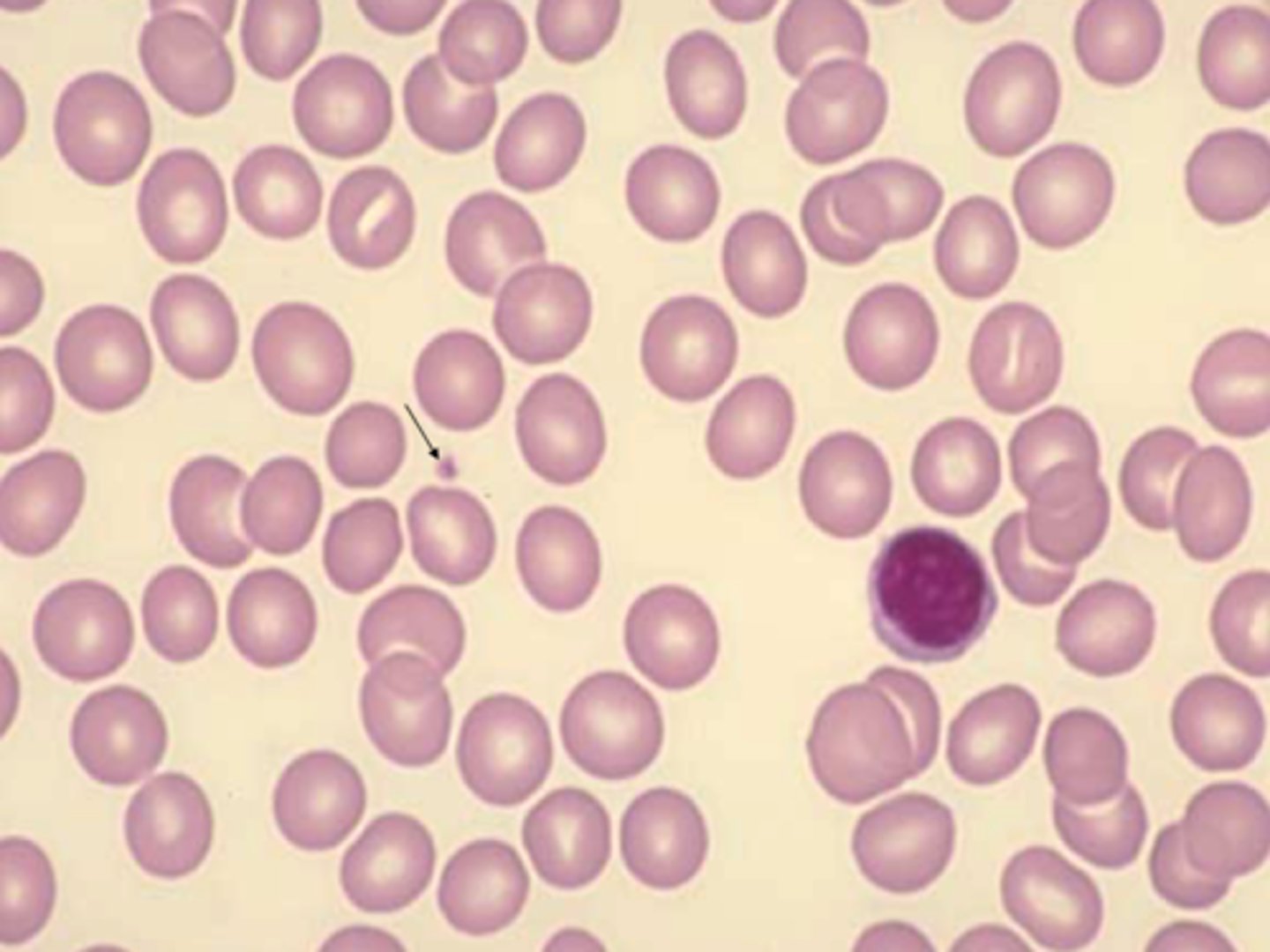
normal color (1/3 central pallor and 2/3 red part )

<p>normal color (1/3 central pallor and 2/3 red part ) </p>
11
New cards

Spherocytic RBC

darker than usual (little or no central pallor)

Loss of cell membrane so a smaller surface area to the same amount of volume from a normal RBC 

<p>darker than usual (little or no central pallor) </p><p>Loss of cell membrane so a smaller surface area to the same amount of volume from a normal RBC&nbsp;</p>
12
New cards

Acanthocyte Alternative Name

spur cell

13
New cards

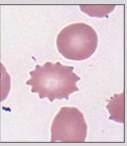
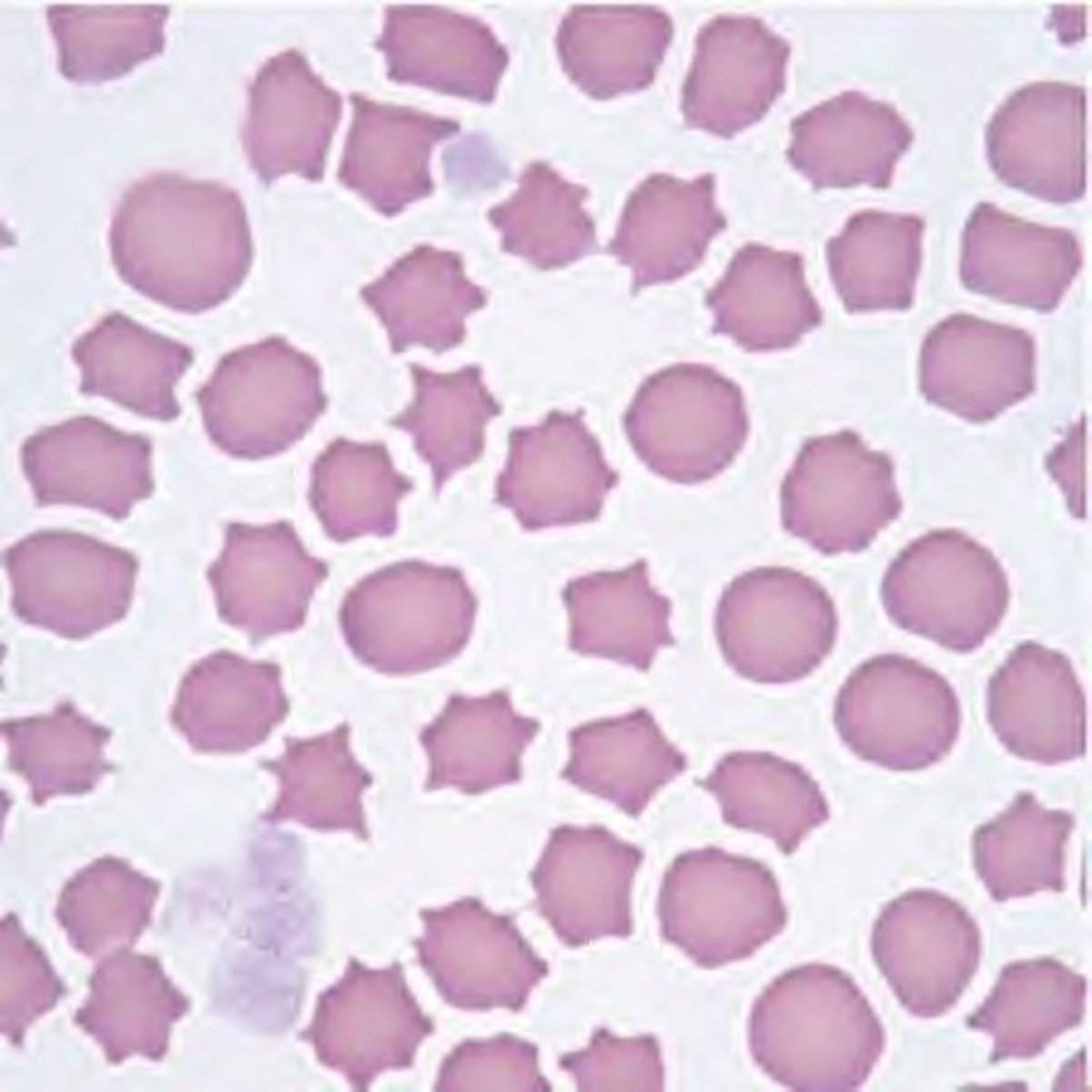
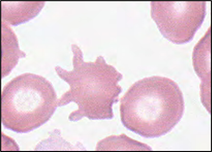
Acanthocyte Description

Red cells with spicules of varying length irregularly distributed over the surface; no central pallor

<p>Red cells <strong>with spicules of varying length </strong>irregularly distributed over the surface; no central pallor</p>
14
New cards

Acanthocyte Mechanism of Formation

Excess distribution of cholesterol in outer layer of membrane

15
New cards

Acanthocyte Associated Diseases

Abetalipoproteinemia, alcoholic liver disease, disorders of lipid metabolism, post-splenectomy - need to know yellow

<p>Abetalipoproteinemia, <strong><mark data-color="yellow" style="background-color: yellow; color: inherit;">alcoholic liver disease,</mark></strong> disorders of lipid metabolism, post-splenectomy - need to know yellow </p>
16
New cards

Codocyte Alternative Name

target cell

<p>target cell</p>
17
New cards

Codocyte Description

Thin and bell-shaped; on stained blood smears, appears as a target with a central bull's-eye, surrounded by a white zone and outer ring of hemoglobin

<p>Thin and bell-shaped; on stained blood smears, appears as a target with a central bull's-eye, surrounded by a white zone and outer ring of hemoglobin</p>
18
New cards

Codocyte Mechanism of Formation

Increased surface area-to-volume ratio

19
New cards

Codocyte Associated Diseases

Hemoglobinopathies, thalassemias, obstructive liver disease, iron deficiency anemia, splenectomy, renal disease, LCAT deficiency

20
New cards

Dacryocyte Alternative Name

Teardrop

<p>Teardrop</p>
21
New cards

Dacryocyte Description

Round cell with a single, elongated or pointed extremity; may be microcytic and/or hypochromic

<p>Round cell with a single, elongated or pointed extremity; may be microcytic and/or hypochromic</p>
22
New cards

Dacryocyte Mechanism of Formation

Result of prolonged squeezing through a small space (e.g., spleen or fibrous bone marrow) - is stretched out to far

23
New cards

Dacryocyte Associated Diseases

Myelophthisic anemias, primary myelofibrosis (PMF), thalassemias, iron deficiency anemia

24
New cards

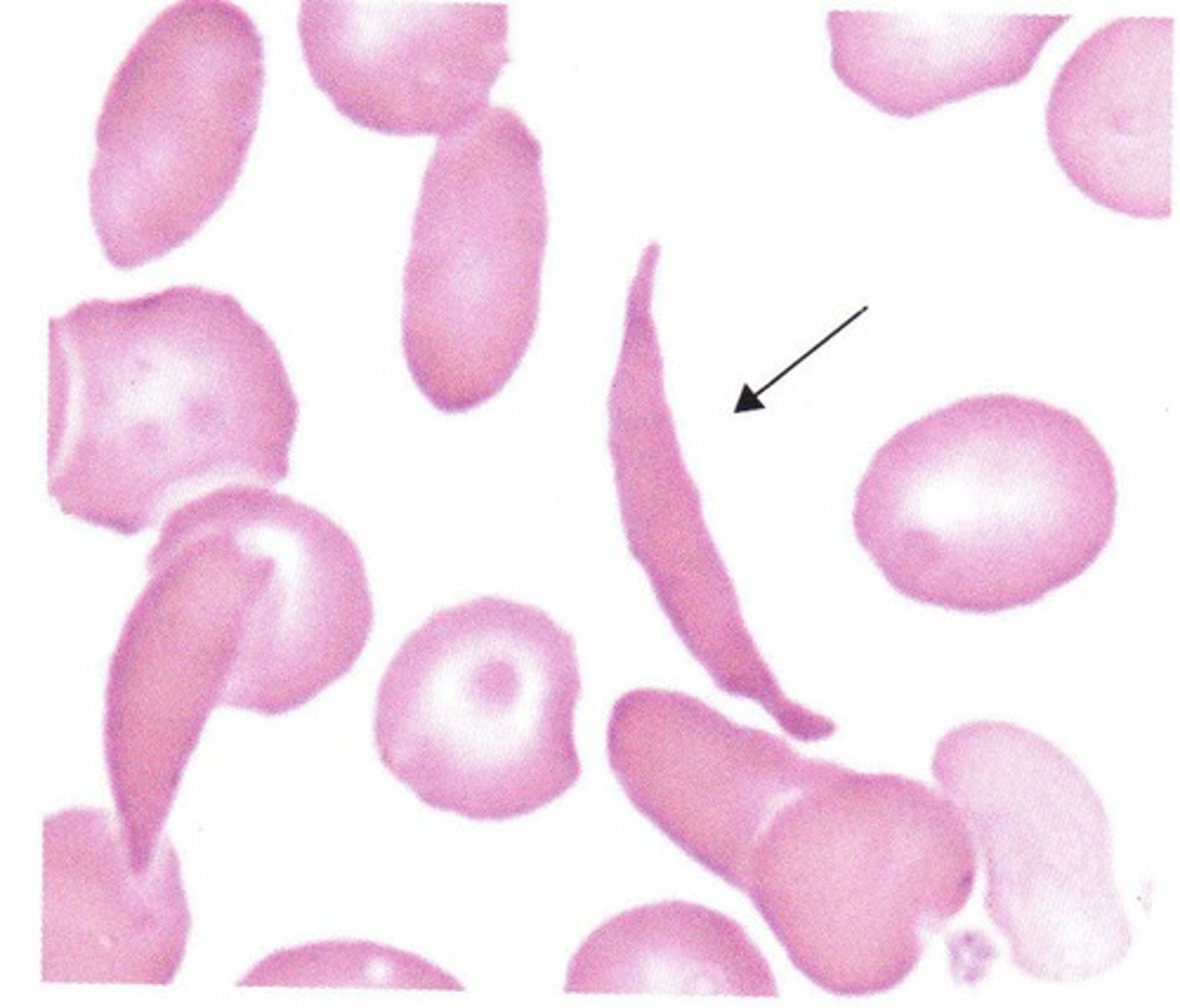
Drepanocyte Alternative Name

sickle cell - Is inherited and comes from the polymerization of Hemoglobin S

<p>sickle cell - Is inherited and comes from the polymerization of Hemoglobin S </p>
25
New cards

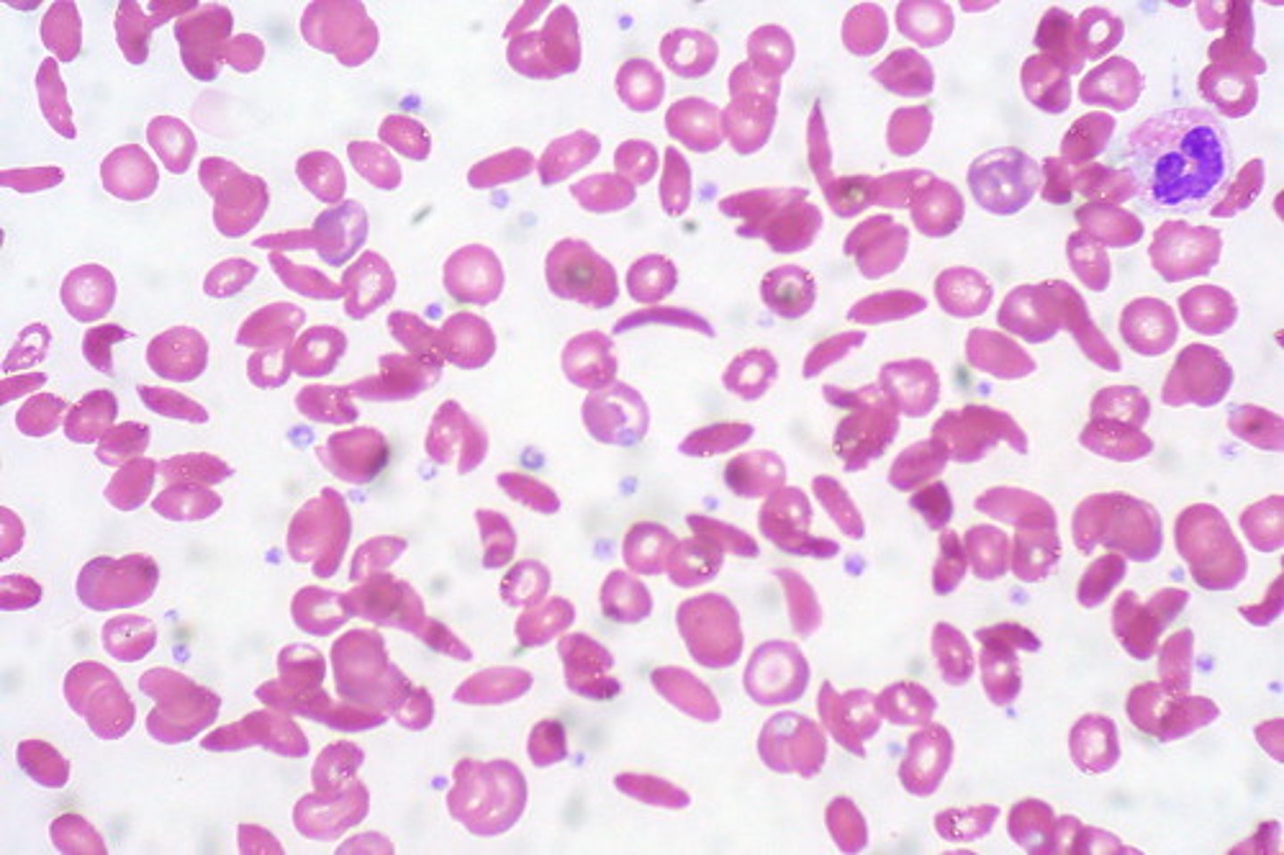
Drepanocyte Description

Contain polymerized hemoglobin showing various shapes; sickle-, crescent-, or boat-shaped

<p>Contain polymerized hemoglobin showing various shapes; sickle-, crescent-, or boat-shaped</p>
26
New cards

Drepanocyte Mechanism of Formation

Polymerization of hemoglobin S into rods stretches the cell and increased fragility

<p>Polymerization <mark data-color="yellow" style="background-color: yellow; color: inherit;">of hemoglobin S </mark>into rods stretches the cell and increased fragility</p>
27
New cards

Drepanocyte Associated Diseases

Sickle cell disorders (Sickle Cell Anemia) is only inherited and needs to have hemoglobin S

<p><strong><mark data-color="yellow" style="background-color: yellow; color: inherit;">Sickle cell disorders (Sickle Cell Anemia</mark></strong>) is only inherited and needs to have hemoglobin S </p>
28
New cards

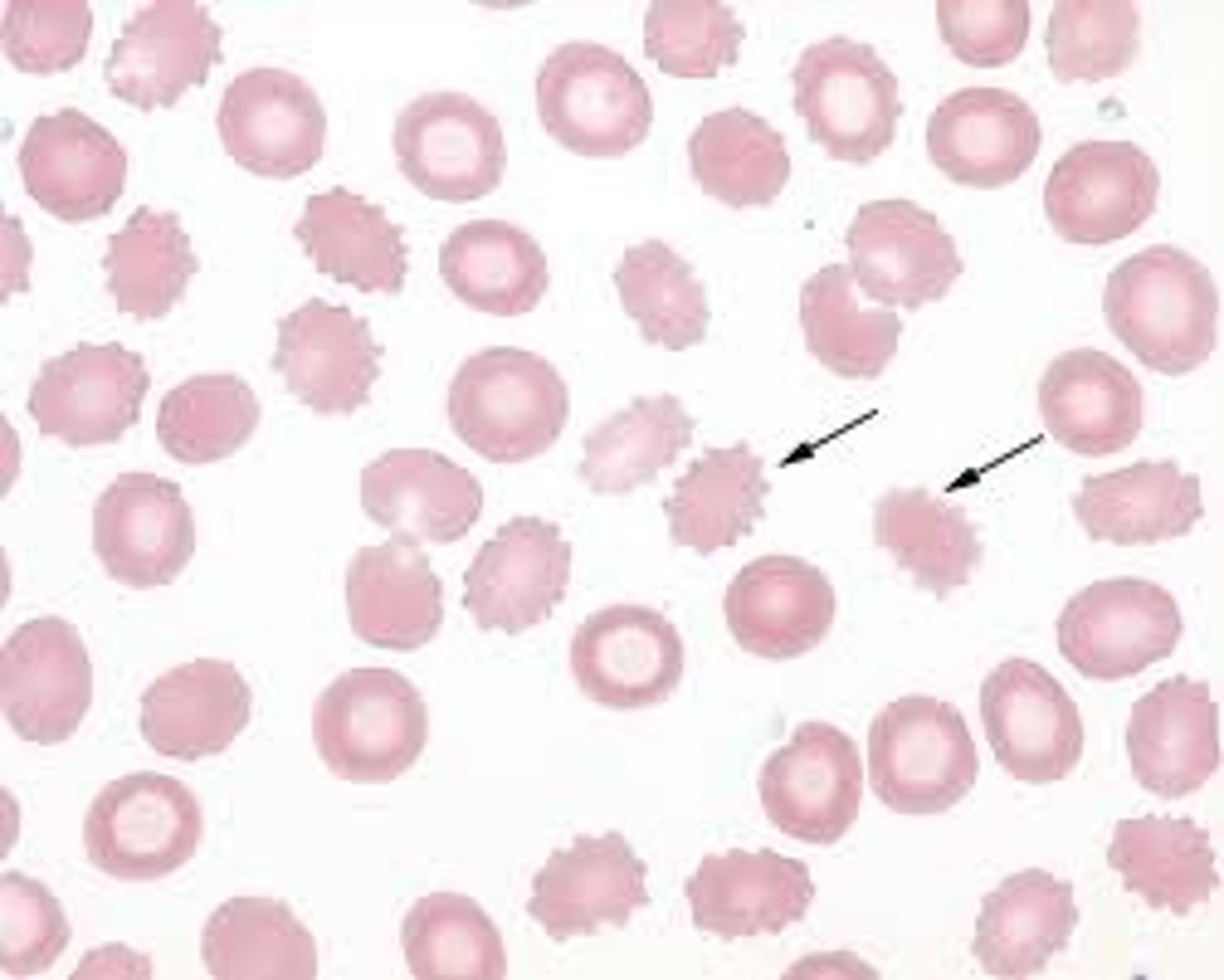
Echinocyte Alternative Name

spur cell

<p>spur cell</p>
29
New cards

Echinocyte Description

Spiculated red cells with short, equally-spaced projections over the entire surface

<p>Spiculated red cells with short, <strong>equally-spaced projections</strong> over the entire surface</p>
30
New cards

Echinocyte Mechanism of Formation

Increased area of the outer layer of membrane in comparison to the inner layer

31
New cards

Echinocyte Associated Diseases

Liver disease, uremia, pyruvate kinase deficiency, peptic ulcers, stomach cancers, heparin therapy

32
New cards

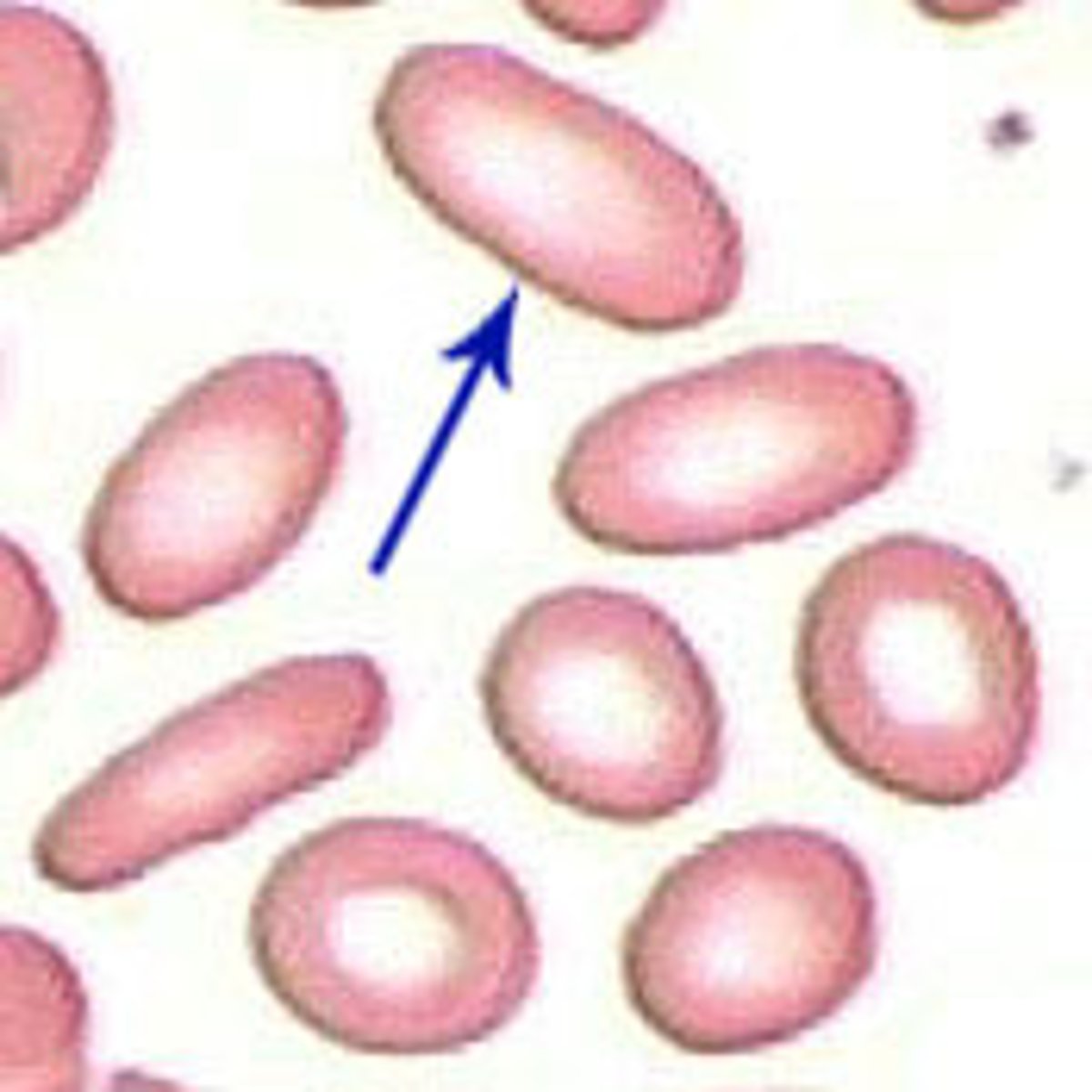
Elliptocyte Alternative Name

cigar cell

<p>cigar cell</p>
33
New cards

Elliptocyte Description

Elongated ellipsoid cell with parallel sides, and some have an area of central pallor, and some don’t, and hemoglobin at both ends

<p>Elongated ellipsoid cell with<strong> parallel sides</strong>, and some have an area of central pallor, and some don’t, and hemoglobin at both ends</p>
34
New cards

Elliptocyte Mechanism of Formation

Unknown; thought to be alterations in the membrane skeleton

35
New cards

Elliptocyte Associated Diseases

Hereditary elliptocytosis, iron deficiency anemia, thalassemia, anemia of chronic disease

<p><strong><mark data-color="yellow" style="background-color: yellow; color: inherit;">Hereditary elliptocytosis, iron deficiency anemi</mark>a</strong>, thalassemia, anemia of chronic disease</p>
36
New cards

Oval Macrocyte Description

Slightly elongated macrocytic RBC; width is not continuous

  • Has to be bigger in size

  • Has to be oval shaped

<p>Slightly elongated macrocytic RBC; width is not continuous</p><ul><li><p>Has to be bigger in size </p></li><li><p>Has to be oval shaped </p></li></ul><p></p>
37
New cards

Oval Macrocyte Mechanism of Formation

Abnormal maturation and nuclear/cytoplasmic in the bone marrow asynchrony of developing bone marrow cells

38
New cards

Oval Macrocyte Associated Disease

Megaloblastic anemias

<p><strong><mark data-color="yellow" style="background-color: yellow; color: inherit;">Megaloblastic anemias</mark></strong></p>
39
New cards

Schistocyte (fragment) Description

pieces of red cells; variety of shapes including triangles, commas

<p>pieces of red cells; variety of shapes including triangles, commas</p>
40
New cards

Schistocyte (fragment) Mechanism of Formation

mechanical damage to RBC

*The fragment is torn off and sealed back together

<p>mechanical damage to RBC </p><p>*The fragment is torn off and sealed back together </p>
41
New cards

Schistocyte (fragment) Associated Diseases

Hemolytic anemias, intravascular hemolysis, and severe burns

42
New cards

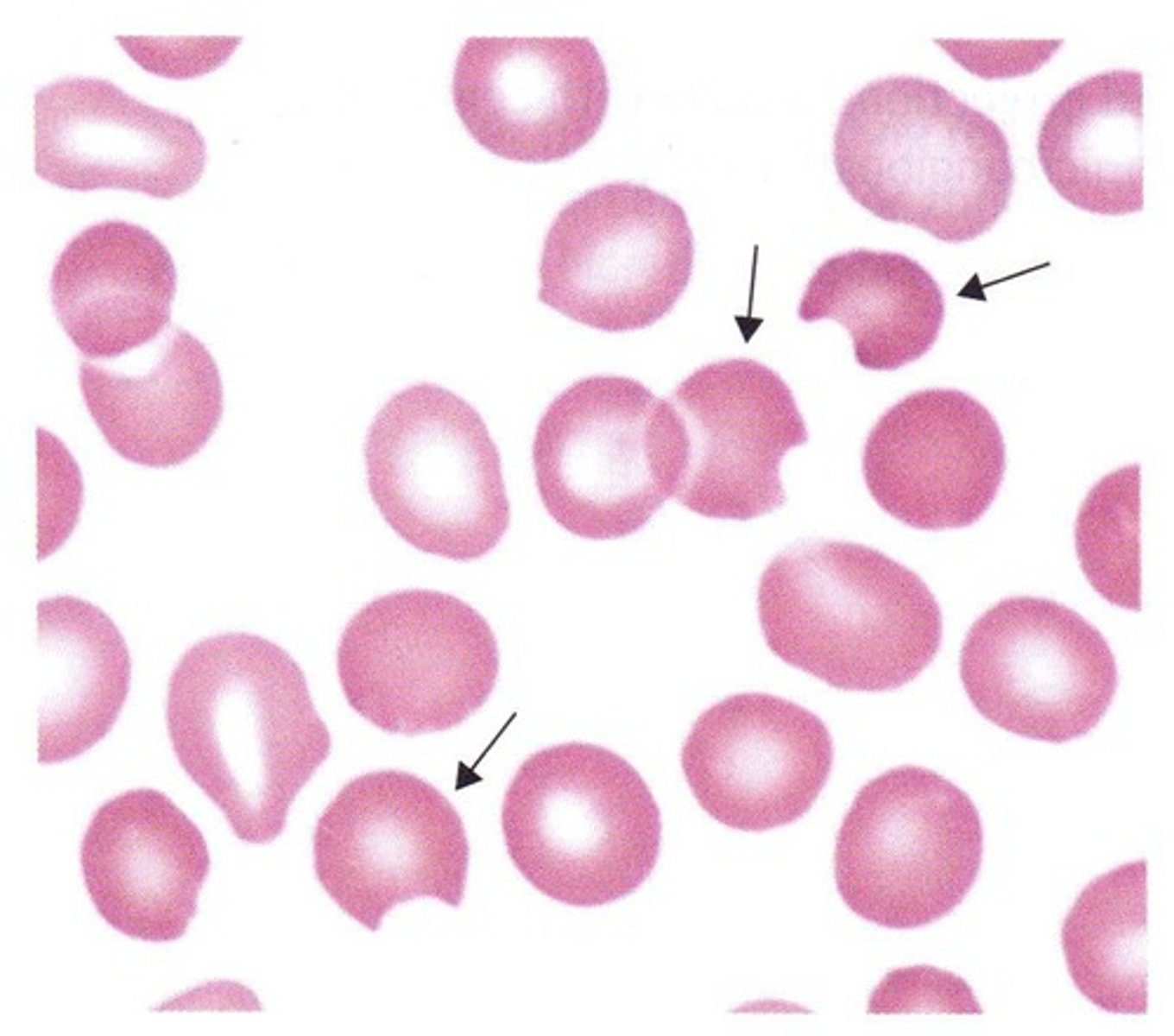
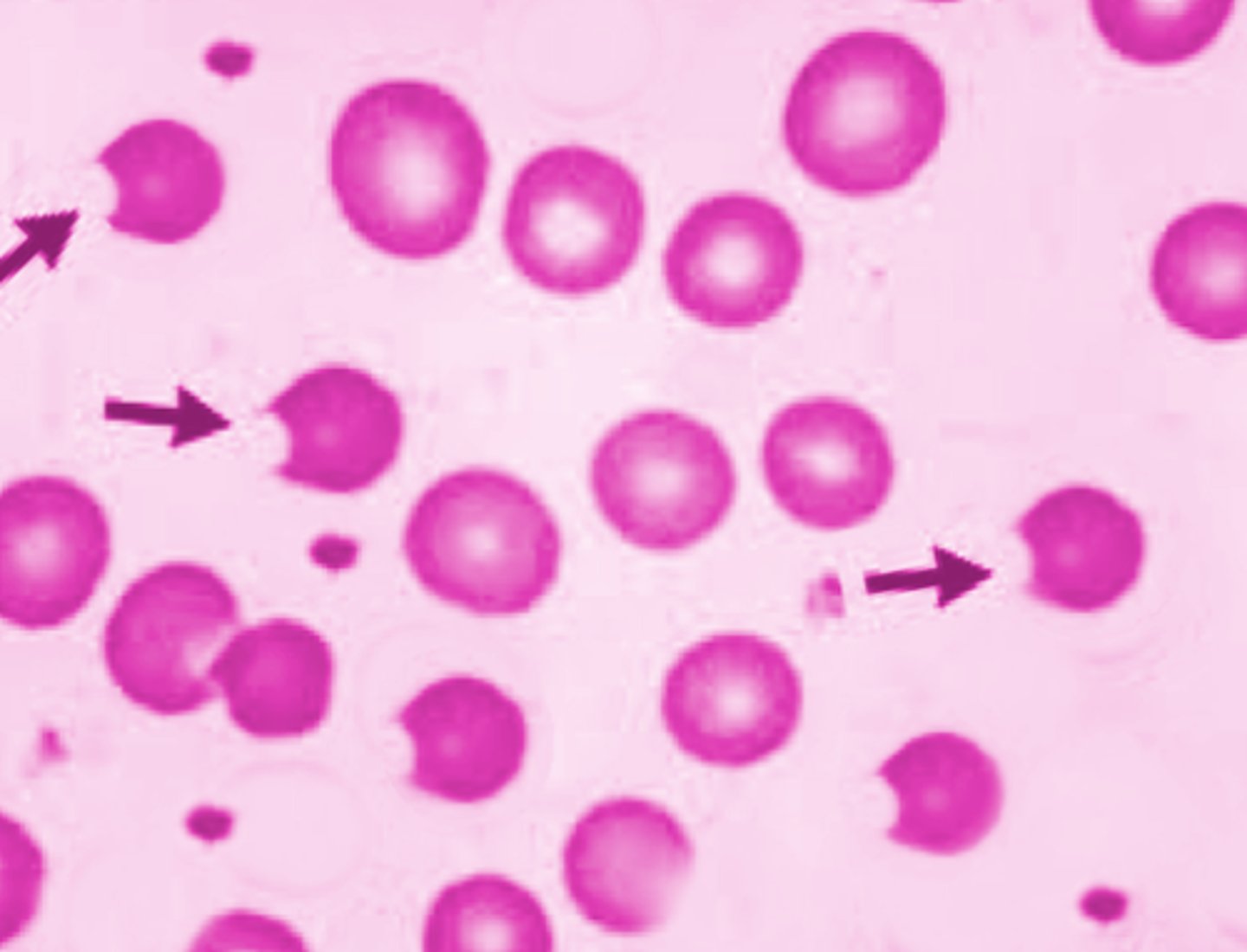
Schistocyte (bite cell) Description

RBC with one or two “bites” taken from it

<p><span style="font-family: &quot;Gill Sans MT&quot;;">RBC with one or two “bites” taken from it</span></p>
43
New cards

Schistocyte (bite cell) Mechanism of Formation

splenic pitting - because macrophages take a bite out

<p>splenic pitting - because macrophages take a bite out  </p>
44
New cards

Schistocyte (bite cell) Associated Disease

G6PD deficiency so the red cell will build oxidized hemoglobin so a clump forms and macrophages bit the oxidized part out 

<p><strong><mark data-color="yellow" style="background-color: yellow; color: inherit;">G6PD deficiency</mark></strong><mark data-color="yellow" style="background-color: yellow; color: inherit;"> </mark>so the red cell will build oxidized hemoglobin so a clump forms and macrophages bit the oxidized part out&nbsp;</p>
45
New cards

Schistocyte (keratocyte) Description

"helmet cell"

<p>"helmet cell"</p>
46
New cards

Schistocyte (keratocyte) Mechanism of Formation

impalement of RBC on fibrin strand

<p>impalement of RBC on fibrin strand</p>
47
New cards

Schistocyte (keratocyte) Associated Diseases

hemolytic anemias and glomerulonephritis

48
New cards

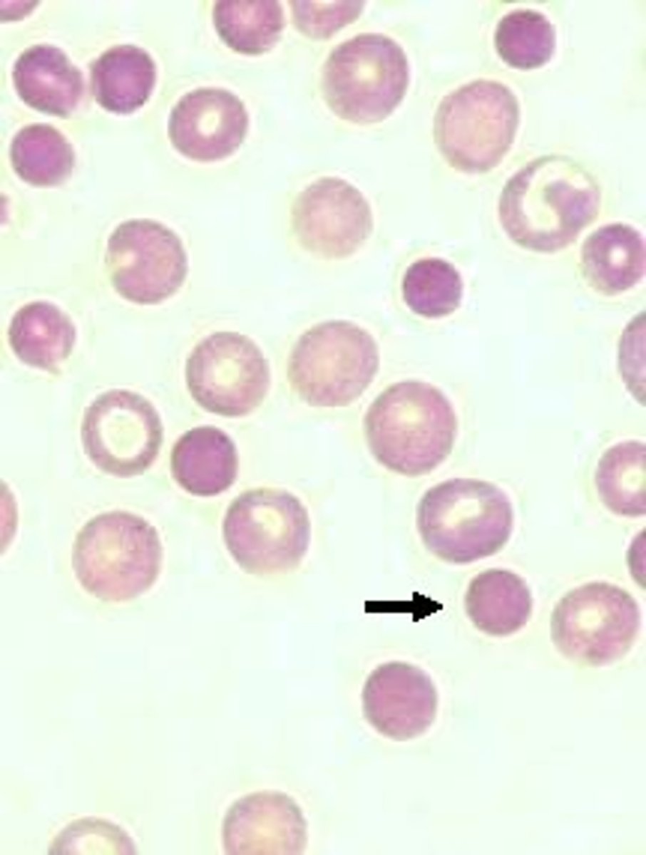
Spherocyte Description

Spherocytic red cells with dense hemoglobin content; complete lack of central pallor

<p>Spherocytic red cells with dense hemoglobin content; complete lack of central pallor</p>
49
New cards

Spherocyte Mechanism of Formation

Decreased surface area-to-volume ratio

<p><strong>Decreased surface area-to-volume ratio</strong></p>
50
New cards

Spherocyte Associated Diseases

Hereditary spherocytosis, immune hemolytic anemias, severe burns

<p><strong><mark data-color="yellow" style="background-color: yellow; color: inherit;">Hereditary spherocytosis</mark></strong>, immune hemolytic anemias, severe burns</p>
51
New cards

Stomatocyte Alternative Name

Mouth Cell - Uniconcave or cupshaped RBC; on stained smear has an oval or slit-shaped central pallor

<p>Mouth Cell - <span style="font-family: &quot;Gill Sans MT&quot;;">Uniconcave or cupshaped RBC; on stained smear has an oval or slit-shaped central pallor</span></p>
52
New cards

Stomatocyte Mechanism of Formation

Increased lipid content or area of the inner layer of cell membrane as compared to outer layer

53
New cards

Stomatocyte Associated Diseases

Hereditary stomatocytosis, lead poisoning, often artifact and stumble open it by chance 

54
New cards

Basophilic Stippling Description

Round or irregularly shaped granules of variable number and size, distributed throughout the RBC

  • If you need to squint to see it than it not their

<p>Round or irregularly shaped granules of variable number and size, distributed throughout the RBC</p><ul><li><p>If you need to squint to see it than it not their </p></li></ul><p></p>
55
New cards

Basophilic Stippling Composition

Aggregates of ribosomes(RNA) and mitochondira

56
New cards

Basophilic Stippling Associated Diseases

Lead poisoning, thalassemia, anemias associated with abnormal hemoglobin synthesis (SIDEROBLASTIC ANEMIA)

57
New cards

Cabot Ring Description

Appear as a figure-8, ring, or incomplete ring. (very rare)

<p>Appear as a figure-8, ring, or incomplete ring. (very rare)</p>
58
New cards

Cabot Ring Composition

Remnant microtubules of the mitotic spindle

<p>Remnant microtubules of the mitotic spindle</p>
59
New cards

Cabot Ring Associated Diseases

Severe anemias and dyserythropoiesis

<p>Severe anemias and dyserythropoiesis</p>
60
New cards

Howell-Jolly Bodies Description

Small, dark purple, round bodies located in the periphery of the cell; usually occur singly

*All Inclusion are in Red

<p>Small, dark purple, round bodies located in the periphery of the cell; usually occur singly </p><p>*All Inclusion are in Red  </p>
61
New cards

Howell-Jolly Body Composition

DNA inclusion

62
New cards

Howell-Jolly Body Associated Diseases

Post-splenectomy, megaloblastic anemias, functional asplenia, and severe anemia

63
New cards

Heinz Body Description

Bluish-purple round-shaped bodies of varying sizes, usually near cell membrane

(can't see on normal stain)

ONLY VISIBLE ON A SUPRAVITAL STAIN, NOT WRIGHT’S STAIN

<p>Bluish-purple round-shaped bodies of varying sizes, usually near cell membrane</p><p>(can't see on normal stain)</p><p><span style="font-family: &quot;Gill Sans MT&quot;;"><strong><em>ONLY VISIBLE ON A SUPRAVITAL STAIN, NOT WRIGHT’S STAIN</em></strong></span></p>
64
New cards

Heinz Body Composition

Denatured, precipitated hemoglobin that forms within red blood cells, often associated with oxidative stress

<p><strong>Denatured, precipitated hemoglobin</strong>&nbsp;that forms within red blood cells, often associated with oxidative stress </p>
65
New cards

Heinz Bodies Associated Diseases

G6PD-deficiency, unstable hemoglobin disoders, oxidizing drugs/toxins, post-splenectomy 

<p><strong>G6PD-deficiency, unstable hemoglobin disoders,</strong> oxidizing drugs/toxins, <strong>post-splenectomy</strong>&nbsp;</p>
66
New cards

Pappenheimer Body Description

Grape-like clusters of bluish/purple aggregates, usually found in the periphery of the cell

<p>Grape-like clusters of bluish/purple aggregates, usually found in the periphery of the cell</p>
67
New cards

Pappenheimer Body Composition

Iron and Protein

68
New cards

Pappenheimer Bodies Associated Diseases

Sideroblastic anemia, thalassemia, other severe anemias (sickle cell anemia)

69
New cards

Hemoglobin C Crystal Description

dark red, hexagonal "crystals" within RBCs made out of hemoglobin C 

<p>d<strong>ark red, hexagonal "crystals"</strong> within RBCs made out of<strong> hemoglobin C&nbsp;</strong></p>
70
New cards

Hemoglobin C Crystal Mechanism of Action

Intracellular crystallization of hgb C

<p>Intracellular crystallization of hgb C</p>
71
New cards

Hemoglobin C Crystal Associated Diseases

Hemoglobin C disease is Inherited

72
New cards

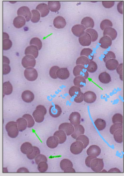
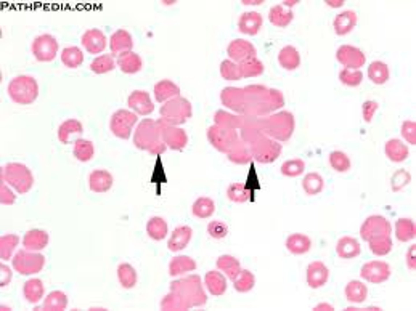
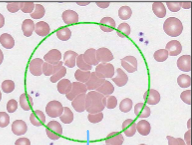
Agglutination Description

Rosette-like clusters of RBCs throughout the peripheral blood smear

<p>Rosette-like clusters of RBCs throughout the peripheral blood smear </p>
73
New cards

Agglutination Mechanism of Formation

Caused by antigen/antibody interactions between sensitized red blood cells

<p>Caused by antigen/antibody interactions between sensitized red blood cells</p>
74
New cards

Agglutination Associated Diseases

Autoimmune Anemias

<p><mark data-color="yellow" style="background-color: yellow; color: inherit;">Autoimmune Anemias </mark></p>
75
New cards

Rouleaux Description

RBCs stacked together in rows, appearing as a "stack of coins"

<p>RBCs stacked together in rows, appearing as a "stack of coins"</p>
76
New cards

Rouleaux Mechanism of Action

Excess plasma proteins cause RBCs to be "sticky"

<p><strong>Excess plasma protein</strong>s cause RBCs to b<strong>e "sticky"</strong></p>
77
New cards

Rouleaux Associated Diseases

Multiple myeloma or other disorders associated with increased globulins/paraproteins

<p><strong><mark data-color="yellow" style="background-color: yellow; color: inherit;">Multiple myeloma</mark></strong> or other disorders associated with increased globulins/paraproteins </p>
78
New cards

Babesia Description

ring-like organsims seen BOTH intracellularly and extracellularly

<p>ring-like organsims seen BOTH<strong> intracellularly and extracellularly </strong></p>
79
New cards

Malaria Description

ring-like organisms found only intracellularly, as well as in different stages 

<p>ring-like organisms f<strong>ound only intracellularl</strong>y, as well as in different stages&nbsp;</p>
80
New cards

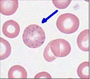
Polychromasia Description

Immature red blood cells that lack a nucleus but are larger in size than a mature red blood cell and have a purplish color

*the purplish color is picking up residual RNA up Azure B in Wright Stain )

<p><strong>Immature red blood cells that lack a nucleus but are larger in size than a mature red blood cell and have a purplish color</strong></p><p>*the purplish color is picking up residual RNA up Azure B in Wright Stain ) </p>
81
New cards

Polychromasia Mechanism of Action

Bone marrow releases red blood cell precursor earlier than is normal

<p>Bone marrow releases red blood cell precursor earlier than is normal</p>
82
New cards

Polychromasia Associated Diseases

Various anemias, normal newborn

<p>Various anemias, normal newborn</p>
83
New cards

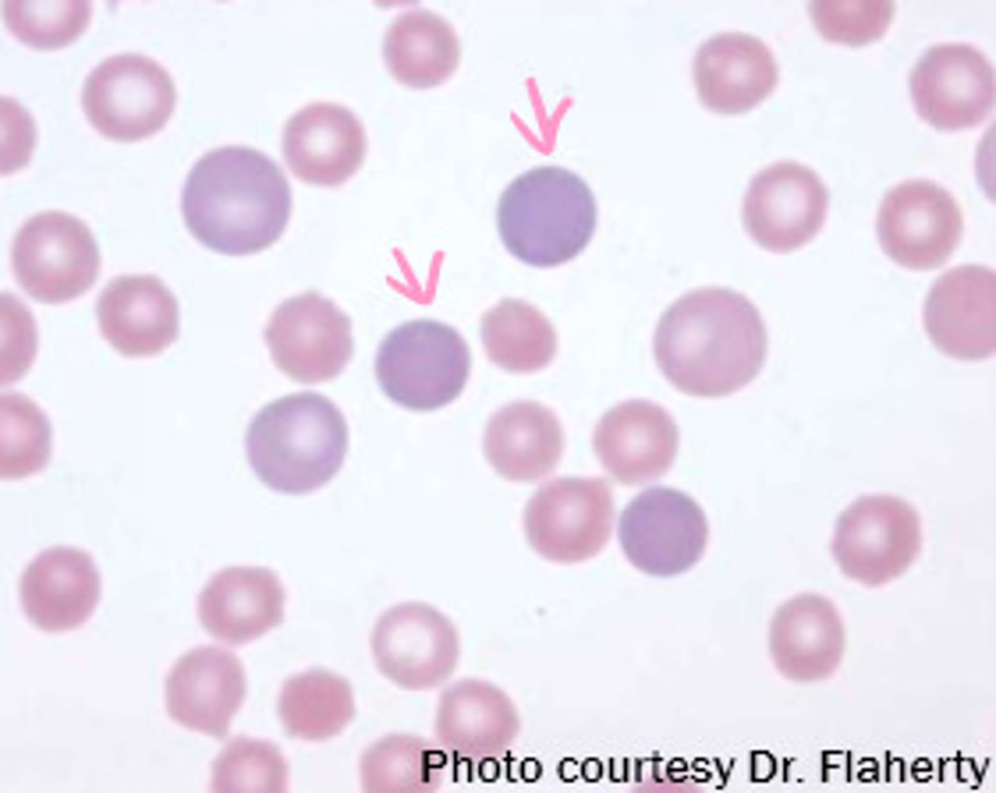
Nucleated Red Blood Cell (nRBC) Description

An immature stage of the erythrocyte that still has a nucleus. Normally not found in the peripheral blood of a healthy adult.

<p>An immature stage of the erythrocyte that still has a nucleus. Normally not found in the peripheral blood of a healthy adult.</p>
84
New cards

Nucleated Red Blood Cell (nRBC) Mechanism of Formation

Bone marrow releases red blood cell precursor earlier than is normal

<p>Bone marrow releases red blood cell precursor earlier than is normal</p>
85
New cards

Nucleated Red Blood Cell (nRBC) Associated Diseases

Various anemias and normal newborn

<p>Various anemias and normal newborn</p>