1/79
Name | Mastery | Learn | Test | Matching | Spaced | Call with Kai |
|---|
No analytics yet
Send a link to your students to track their progress

Flat Primary Lesions
Appear quickly then disappear
Macule: circumscribed, flat, ≤1 cm, color change, non-palpable
Patch: macule >1 cm

Elevated Solid Primary Lesions
Papule: sm solid elevation ≤1 cm
Plaque: flat-topped elevation formed by coalescing papules
Nodule: solid elevation >1 cm, extends into deeper layers
Tumor: lg mass involving skin or SQ tissue

Elevated Fluid Filled Primary Lesions
Pustule: sm pus-filled epidermal elevation
Vesicle: sharply circumscribed, clear fluid-filled elevation
Cyst: epithelium-lined cavity with fluid or solid contents
Wheal: circumscribed, raised lesion due to edema; transient

Secondary Lesions Involving Hair
Alopecia: hair loss, partial or complete
Primary or secondary
Comedone: dilated follicle filled with keratin/sebum
hormone change / cushings
Follicular Casts: keratin & debris around hair shaft at follicle opening
doodles


Secondary Lesions Involving Flaking and Dryness
Lichenification: thickened, hyperpigmented, alopecic, hyperplastic skin
Elephant skin
Scale: loose fragments of stratum corneum
Crust: dried exudate on surface
Epidermal Collarette: circular rim of scale, remnant of ruptured pustule/vesicle
Secondary Lesions Involving Skin Breaks and Loss of Continuity
Excoriation: self-induced erosions/ulcers
scratch
Seborrhea: dandruff
sicca - dry
oleosa - oily
Erosion: shallow epidermal defect, heals without scarring
Ulcer: deeper defect exposing dermis, heals with scarring
Fissure: linear crack through epidermis into dermis
paw pads, noses

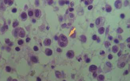
Cytology
Use: secondary infections, IM/neoplastic dx, therapy response
Not a biopsy substitute (gold standard)
Collection:
Acetate tape (#1): tape → stain → slide → dry → examine
Swab: external canal → roll on slide → heat fix → stain
Direct impression: slide pressed on lesion → dry/heat fix → stain
Direct pustule impression: lance pustule w/ needle → smear debris on slide
Dry scraping: dull scalpel scrape seborrhea → transfer debris → heat fix → stain
Evaluation:
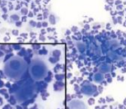
Normal: epithelial cells, sm # of bacti/yeast, melanin/keratohyaline granules
Abnormal: Inflam cells, 1> bacti/oif, > 4 yeast/oif

Skin Scraping for Dermatology
Purpose: detect sm ectoparasites
Demodex, Sarcoptes, Cheyletiella
Methods:
Dry scraping: scalpel scrape seborrhea → transfer debris → heat fix → stain
Deep skin scrape: oil skin/slide → Dull #10 blade at 45° angle until bleeding
Superficial skin scrape: for mites that live at surface

Hair Sampling for Dermatology
Trichogram: Pluck hairs → mount → look for follicular casts, dermatophyte spores, parasites
DTM: Hair pluck inoculated on medium → look for Microsporum, Trichophyton
Fine Needle Aspiration
Use: sample deep lesions, nodules, tumors, cysts
distinguish inflam vs neoplastic
MCT, histiocytomas, lipomas, cysts
Technique:
Clip, prep skin
6-ml syringe + 22:20 ga needle
Aspirate lesion → expel on slide → smear into monolayer → air dry → stain
Cutaneous Bacteriology
Location: Superficial epidermis & hair follicle infundibulum
Types:
Resident: Multiply normally on skin
Dogs: Micrococcus spp, CON-staph, α-hemolytic strep, Clostridium, P acnes, Acinetobacter, COP-staph, various G- aerobes
Cats: Micrococcus, CON-staph, COP-staph, α-hemolytic strep, Acinetobacter
Transient: Present, but not significant unless pathogenic
Dogs: E coli, Proteus, Corynebacterium, Bacillus, Pseudomonas
Cats: β-hemolytic strep, E coli, Proteus, Pseudomonas, Alcaligenes, Bacillus, CON/COP staph
Secondary invaders: Infect damaged tissue
Pyoderma
MOA: Cutaneous, pus-forming bacteria
Common in dogs, rare in cats
Risks: Thin S. corneum, fewer lipids, higher pH, bite wound abscesses (cats)
Class:
Surface: Hot spots, intertrigo, bacteria overgrowth
Superficial: SBF, impetigo, mucocutaneous pyoderma
S pseudintermedius
Deep: Furunculosis, cellulitis, acral lick dermatitis, interdigital nodules
Superficial bacterial folliculitis
MOA: cutaneous, metabolic, immune, neoplasia underlying dx
S. pseudintermedius: Primary cutaneous pathogen
Very resistant: tolerates heat, dehydration, antiseptics
MRSP: resistance to β-lactams + FQs + Sulfas
Transmissible w/ active lesions, can be normal flora
S schleiferi: subsp Schleiferi (Coag -), subsp Coagulans (Coag +)
2 types
Cs: pustules, macule, pustule, collarettes, alopecia
Dt: cytology (tape #1, scrape, smear), culture/cytology (poor rxn to tx)
Tx: Topical antimicrobials (#1), systemic antibios (Tx fail in 2w, deep Dx, compliance)
1st line: 1st-gen cephalosporins (cephalexin, cefadroxil), Clindamycin, Lincomycin
2nd line: Cefovecin, Cefpodoxime, FQs, Doxy, Potentiated sulfonamides
Culture req
MDR: Rifampin, Amikacin, Chloramphenicol

Intertrigo
Et: skin folds, superficial
Facial, lip, cork-screw tail, vulva
Cs: erythematous, macerated folds, malodor, dental dx, UTI, scooting
non painful/pruritic
Tx: weight loss, Sx excision/amputation, cleansing wipes, med shampoo, topical antibiotic
Good prognosis


Impetigo
Pustular Dermatosis- non-haired skin
Et: parasites, poor nutrition, dirty enviro
Non-contagious, superficial
Sig: young dogs
Cs: sm nonfollicular pustules/papules
not painful or pruritic, non-haired skin (inguinal/axillary)
Tx: topical/shampoo/oral antibiotics (mupirocin, chlorhexidine)

Bullous Impetigo
Distinctive pustular dermatosis
Et: subcorneal/intragranular pustules w/ neutrophils, acantholysis
Superficial, S pseudintermedius
Sig: puppies & immunosuppressed adults
Cs: lg flaccid pustules, erythematous margins, collarette
Nonpruritic, non-follicular, groin/axillae region

Mucocutaneous Pyoderma
Infection of mucocutaneous junctions
Et: Staph, Superficial
Sig: GSD predisposed - LIPS most common
Cs: swelling, erythema, painful/pruritic, ulceration, fissuring, depigmentation!!
lips, nose, eyelids
confused with lip fold dermatitis
Ddx: autoimmune disorders, epitheliotropic lymphoma
Tx: oral antibiotics
slow response, relapses common


Pyotraumatic Dermatitis
Hot Spot
Et: fleas (#1), allergies, hot humid weather, thick/long coats
Superficial
Cs: rapidly enlarging erythematous alopecic, weepy skin, well-demarcated, pruritic, self-inflicted
Tx: flea control, clean, topical drying agents, antibiotics, steroids

Chin Pyoderma
Et: granulomatous trauma response
Deep, Furunculosis
Sig: Lg young short-coated dogs
Cs: comedones, pustules, draining tracts w/ serosanguinous discharge
Nonpainful and nonpruritic
Dt: cytology, skin scrap, DTM, histopath, culture
Tx: min trauma, shampoo/topical antibios (mupirocin, peroxide)
Post-Grooming Furunculosis
Et: contaminated grooming tools w/ Pseudomonas aeruginosa, deep infection
Sig: Lg wired-coat dogs, <48h post grooming
Cs: pustules, hemorrhagic fistulae, painful, fever
dorsal trunk
Thick hair shafts
Dt: cytology, skin scrap, DTM, histopath, culture
rods
Tx: avoid contaminated grooming products

Acral Lick Granuloma
Et: compulsive licking, deep staph infection, furunculosis
Sig: middle-aged/older, Dobermans, Danes, Goldens, Labs, GSDs
Cs: firm, proliferative, ulcerative alopecic lesions
Dt: histopath, culture
Tx: E-collar, antibios (6-8w), amitriptyline, laser ablation, topical DMSO/steroid

Canine Pedal Furunculosis
Et: Deep infection
Sig: short coated breeds
Dt: skin scrapings, cytology, biopsy, culture/sensitivity
Tx: steroids, antibiotics, topical DMSO, cyclosporine, sx/laser removal, tetracycline, niacinamide


Malassezia
Et: Commensal superficial yeast, inflam & hypersensitivity, immune dysfunction
symbiotic relationship w/ Staph!!
Types:
Lipid dependent: M furfur, M globosa, M restricta, M sympodialis
Non-lipid dependent: M pachydermatis (grow on Sabouraud’s)
Id: Oval to peanut-shaped, bowling pin, snowman, thick cell wall w/ outer lamellar layer
double walled
Sig: Basset hound, cocker spaniel, Shih Tzu, setter, Dachshund, poodle, Boxer, GSD, KCCS, summer/humid months, concurrent dermatoses
Cs: pruritus, malodor, lichenification, hyperpigmentation, brown claws, dermatitis, black waxy otitis externa, feline acne
Groin, Interdigital, Ear canals, Oral cavity, Tail base
greasy, waxy, scaly, crusty
Dt: Cytology (tape/scrape), biopsy, culture
Tx: topical and systemic antifungals

Antifungal medications
Azoles: inhibit ergosterol synthesis
Drug interactions: Inhibition of CP450
Rxn: GI upset
Hepatotoxicity, hair lightening
Terbinafine: inhibits squalene epoxidase, ergosterol synthesis block (Lamisil athlete foot cream) antifungal
Griseofulvin: fungistatic, binds microtubules + disrupts mitosis
works on Microsporum/Epidermophyton/Trichophyton (ringworm)
not effective against Malassezia
Topicals: lime sulfur dip, miconazole, chlorhexidine

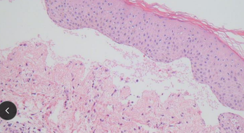
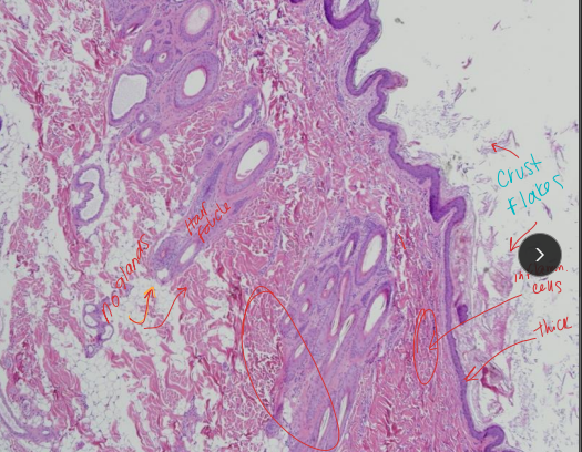
Dermatophytosis
Et: Superficial Microsporum/Trichophyton/ Epidermophyton infection of keratinized tissue
M canis: most common & most zoonotic
Epi: Zoophilic = animals, Geophilic = soil, Anthropophilic = humans
Cs: follicular dx, wide spread alopecia, pustule, erythema, crusts/scales, Kerion rxn (nodules), Onychomychosis

Dt: biopsy, PCR, dermoscopy, culture, Wood’s lamp
Combo tests, no gold standard
M canis: white/woolly w/ yellow-orange underside

M gypseum: flat, suede/granular, tawny/cinnamon color

T mentagrophytes: white/cream powdery, underside brown/tan/red (rodent exposure)

Tx: Systemic + topical antifungals, enviro cleaning w/ bleach/ formalin/ enilconazole, lime dips, sulfur

Lifestyle of parasites
Live on the skin and feed on debris
Cheyletiella, biting lice
Live on the skin but periodically penetrate the surface for feeding
Fleas, sucking lice, ticks
Live within the skin
Demodex, Sarcoptes

Scabies (Sarcoptes scabiei)
Et: contagious, not seasonal
Id: cup caruncle, terminal anus, unjointed pedicles
Life cycle 21 days
Sig: dogs <2y, groups, rural fox contact
Cs: papulo-crusting, “beeswax” crusts
elbows, hocks, periocular, ear, no haired areas

Dt: skin scrap (superficial, multiple spots), cytology, trial tx, serology
Tx: treat all, prednisone, lyme sulfur/Amitraz dips, Selamectin/Advantage Multi/Fipronil topicals, Ivermectin, Milbemycin


Notoedric Mange (Notoedres cati)
primarily cats
Et: obligate parasite, contagious, cats, foxes, dogs, rabbits, humans
Id: sm, dorsal anus, unjointed stalks
look like scabies, but smaller
Large amount of mites found
Cs: very pruritic, small papules → crust, thick skin, alopecia, gray crust
ears, face, eyelids, neck, feet, perineum
Tx: treat all, Lime sulfur/amitraz dips, Ivermectin, Doramectin, Selamectin, Fipronil

Otodectes cynotis (Ear Mite)
Ectopic infestations
Et: Obligate, non-burrowing, cats, dogs, foxes, humans
deep in ear, near ear drum
Id: short unjointed pedicles, whip setae on hind legs (F), transverse genital opening (F) → 6 legged larva, adult 8 legs (males) / females 6 legs
Cs: bilateral otitis externa, dark brown ceruminous, head shaking, scratching ears, hematomas, circling, convulsions
Dt: direct otoscopy, microscopy
Tx: clean ears, treat all, tresaderm drops, ivermectin, Fipronil, Selamectin, Advantage-multi


Cheyletiella (“Walking Dandruff”)
21 day life span
Et: dogs (C yasguri), cats (C blakei), rabbits (C parasitovorax), humans (zoonotic)
Id: 4 pairs of legs w/ combs (not claws), accessory mouthparts, palpi w/ hooks
larva → 6 legs, adults → 8 legs
Cs: pruritus, hypersensitivity, scale, dorsal alopecia, oily coat
Dt: superficial scrape, combing, tape preps, fecal floats (cats)
Tx: flea control, Frontline, Revolution, Advantage-multi, lime sulfur dips, ivermectin, milbemycin
if Tx fails check for nasal seq


Pediculosis (Lice)
21 days life span
Et: Neglect dx, host specific, direct contact, winter, obligate parasite
Anoplura (sucking): slow, easy to find, cause anemia, irritability
Mallophaga (chewing): fast, hard to find, feed on debris & hair, very irritating
Id: sm, dorsoventrally flat, wingless; 1-2 claws on legs; reduced eyes
Cs: Mousy odor, Intense pruritus, excoriations, flea bite/miliary dermatitis
Under hair mats, ears, body openings
Dt: microscopic ID; tape, scrapings, combing, biopsy, nits on hair shaft
Tx: treat all, groom, clean, pyrethrin/carbamate shampoos, 2% lime sulfur dips, ivermectin, Fipronil, imidacloprid
susceptible to almost all parasiticidal agents
Repeat tx in 10-14d: life cycle is 12-21d


Demodicosis
Aka: demodectic mange, follicular mange, red mange
Et: Normal fauna, obligate parasite, live on hair folicle
Demodex canis, D injai (long-bodied), D cati (follicular), D gatoi (contagious, superficial, S. corneum only, cats)
Sig: Bulldog, Shar-Pei, Pit bull, Westie, Staffordshire, Siamese/Burmese
juvenile demodicosis heritable → don’t breed affected dogs
Cs: alopecia, erythema, scaling, follicular hyperkeratosis, seborrhea, pyoderma, edema, plaques, nodules, lymphadenopathy, otitis externa
Dx: deep skin scrapings (squeeze skin), trichography, biopsy (granulomatous)
Tx: self limiting if mild, Amitraz, Ivermectin, Moxidectin, Milbemycin, Doramectin, Isoxazolines, lime sulfur dips, carbaryl shampoos, Benzoyl peroxide gel
Tx 4 w past 2nd negative skin scrape
> 50% of cases🡪 no underlying dx = reduced recovery

Hypersensitivity Reactions
Pruritus #1 cause = allergies
Ddx:
Allergies: atopy, food hypersensitivity, flea hypersensitivity
Infections: bacterial, fungal
Parasites: fleas, scabies, demodex
Other: neoplasia
Dt: IDAT (Type 1 rxn, $), serum test (no drug withdrawls)
Tx: Immunomodulation, symptomatic therapy, avoidance
No cure → only control!

Atopy (Canine Atopic Dermatitis)
Et: genetic, inflam pruritic allergic skin dx
IgE-mediated Type I hypersensitivity
Sig: 6m-3y, retrievers, terriers, bulldogs, setters, shar-peis
Cs: Puritis, flexural lichenification, Staph pyoderma, Malassezia dermatitis
face, ears, feet, inguinal, axilla
Dt: rule out, CS
Need ≥3: Pruritus, facial/digital involvement, lichenification, chronic/relapsing dermatitis, genetics, onset <3 y, facial erythema/cheilitis, conjunctivitis, Staph pyoderma, hyperhidrosis, positive IDAT, elevated IgE/IgGd
Tx: ASIT, Glucocorticoids, Atopica, Apoquel, Cytopoint, Zenrelia

Allergy Treatments
Immunotherapy (ASIT): Tailored to allergens, least $ long term, few side effects, takes 6-12m for rxn
Glucocorticoids: pred, triamcinolone, dex; immunosuppression, metabolic effects
Cyclosporine (Atopica): Inhibits calcineurin; GI upset, ↑ ALP/ALT, ↑ cholesterol, hypoalbuminemia, UTI
Oclacitinib (Apoquel): JAK-STAT inhibitor; vomiting, diarrhea, ↑ infections, demodicosis, neoplasia risk; Not for <12 mo, breeding, pregnant/lactating
Lokivetmab (Cytopoint): Caninized anti-IL-31 monoclonal antibody; Blocks itch at receptor level; Monthly injection
Ilunocitinib (Zenrelia): JAK inhibitor; Potent pruritus control; may impact vax responses, discontinue 28–90 d before/after
Food Allergy (Cutaneous Adverse Food Reaction)
3rd most common hypersensitivity
Non seasonal
Cs: gen pruritus (dogs), otitis, pyoderma, head/neck pruritus (cats), alopecia, miliary dermatitis, eosinophilic granuloma complex, plaques, pustules, ulcers, lichenification, pigment changes, GI signs, sneezing, conjunctivitis, onychitis, anaphylaxis
Dt: food elimination diet trial + provocation for 8w (#1)
NEVER serum test for food allergies!!
Tx: Home-cooked novel protein, strict food trials (prescription)

Flea Allergy Dermatitis (FAD)
Et: Hypersensitivity 1 (immediate) → 4 Rxn to flea saliva
Ctenocephalides felis felis (cat flea) most common
start feeding ASAP, eggs not sticky (fall off <2h)
Wingless, 6 legs
Sig: 3-6y; dark moist enviro, base of carpet, den of host
Egg Emergence: pressure, CO2, heat
Cs: Pruritus → self trauma, pustules, crusts, sm erythema on caudal dorsal half (D), miliary dermatitis (C), EGC (C) bilaterally symmetric ventral alopecia (cats)
Racing stripe (cats), bilaterally symmetrical

Lesions on the caudal dorsal half of the body are due to FLEAS until proven otherwise!!!!!
Dt: History, lesions, fleas/flea dirt, rxn to tx, IDAT
Tx: flea collars, dips, shampoos, Adulticides (fipronil(frontline), imidacloprid, selamectin(revolution), nitenpyram(capstar), metaflumizone, dinotefuran(vectra), spinosad, pyrethrins)


Feline Atopic Skin Syndrome (FASS)
Et: allergic skin dx from enviro allergens
Sig: Young cats 6-24m-15y
Cs: pruritus, miliary dermatitis(MD), self-inflicted alopecia, EGC, otitis, conjunctivitis, chronic resp dx, asthma
face & neck



Eosinophilic Granuloma Complex (EGC)
Et: Group of reactive skin, mucocutaneous, and oral lesions in cats
Not a final diagnosis, indicates reactive pattern
Cs: 3 types: Indolent ulcer, Eosinophilic plaque and granuloma
Tx: glucocorticoids, antibiotics, antifungals, Atopica, cryosurgery, laser, sx excision


Feline Mosquito Bite Hypersensitivity
Et: Uncommon, seasonal, mosquitoes
affects pinnae & face
Sig: indoor, 9m-8yr
Cs: Erythema, papules → plaques, ulcers, necrosis, crusts, nodules, pigment changes, alopecia
Ears & face
Tx: Keep indoors, repellents, steroids - symptomatic tx

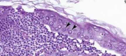
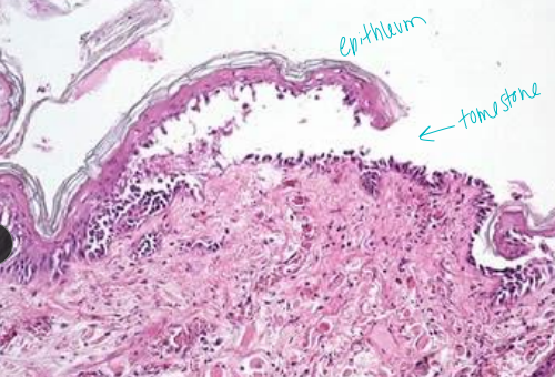
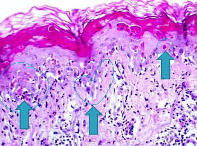
Pemphigus Foliaceus (PF)
“Blister”
Et: Viral, insects, genetic (HLA), penicillamine, phenylbutazone, UV light, chronic skin dx, stress
#1 intraepidermal vesiculo-pustular dx
Subcorneal and follicular
Sig: 5y, DSH
Cs: transient pustules → crusts/scaling, alopecia, polycyclic borders, systemic dx, likes haired skin, pruritus ¼ of dogs
face, ears, muzzle (#1) → 80%, footpads, claws (cats), nipples (cats)
Bilateral, symmetrical, rapidly progressive (3-12m)


Dt: Cytology w/ acantholytic keratinocytes in pustules, Biopsy w/ intragranular/subcorneal pustules + neutrophils/eosinophils




Pemphigus Vulgaris (PV)
Vesiculobullous, erosive to ulcerative disorder
Deeper then PF
Et: Suprabasliar vesicles and clefts, DSG 3
Cs: erosions, ulcers, pain, systemic dx
Oral/mucocutaneous, axillae, groin (friction), clawbeds
Secondary bacterial pyoderma and lymphadenopathy may be present
Dt: smears, biopsy, immunotesting
Tx: pred + azathioprine (D), chlorambucil (C)
Poor prognosis w/o Tx


Pemphigus Erythematosus (PE)
Rare
Et: Subcorneal pustules: Basal cell damage: DSG 1
Cs: Pustules, crusts, depigmentation, erythema, erosion
Face, nose, pinna
Dt: Microscopy; acantholysis + lichenoid interface dermatitis(pustules & inflammation)
Tx: glucocorticoids (pred, triam, dex)
Others: Azathioprine, Chlorambucil(cats), Cyclosporine, Mycophenolate mofetil, apoquel


Bullous Pemphigoid (BP)
Very Rare
Vesiculobullous, ulcerative disorder of the skin, oral mucosa or both
Dt: target hemidesmosomes @ BM for subepidermal (sub-basal) separation from dermis → skin sloughs off
Very deep & VERY PAINFUL
Sig: Collies & Dobermans
Cs: tense blisters, ulcers
Oral (80%), axillae, groin, footpad
Dt: biopsy needed (subepidermal vesicles + eosinophilia), IF
No acanthysis, non-inflammation blisters
Tx: Difficult! glucocorticoids, azathioprine, chlorambucil, tetracycline, erythromycin, avoid sun


Epidermolysis Bullosa Acquisita
Subepidermal blistering
Et: Rare, subepidermal Ab target → Type VII collagen
Sig: Lesions develop shortly after birth
Cs: Vesicles, bullae, erosions, ulcers
Footpads, oral, bony prominences → due to friction
Dt: biopsy (subepidermal clefting, min inflam!!), IF, EM, immunoblot, collagen VII ELISA
Tx: NO specific TX!, symptomatic, avoid trauma, antibiotics, should not be bred


Discoid Lupus Erythematosus (DLE)
Et: UV damage, Ab keratinocyte apoptosis, Benign cutaneous w/ NO systemic involvement
#2 IM skin disease in dogs (rare in cats) → PF is #1
Sig: Collies, GSDs, Shelties, Huskies, Brittany spaniels, GSPs
Cs: depigmentation, erythema, loss of cobblestone texture, ulcers, crusting, alopecia, permanent leukoderma
nose, muzzle bridge, lips, alar folds, (less common) ears/face(cats), eye lids, foot pads

Lesions starts: nasal planum and haired skin → up bridge of nose
Dt: biopsy, Immunopath (Ig, complement at BMZ)
Tx: UV protection topical steroids, topical tacrolimus, cyclosporine, Vit E, EFAs, glucocorticoids
Good prognosis, will scar
TX for life if severe dz


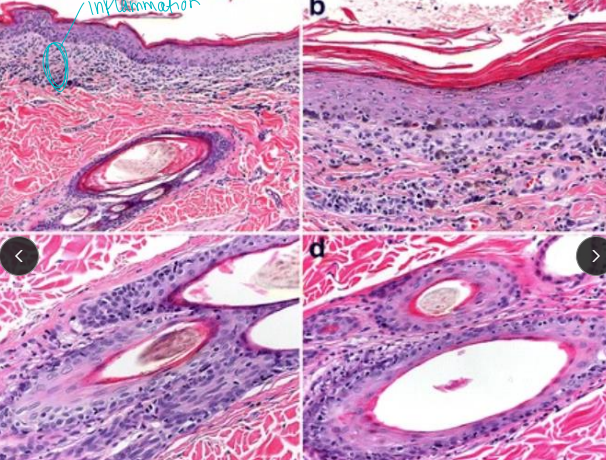
Vasculitis
Et: inflam of blood vessels; infections, IM dx, genetic, sun, drugs → tissue ischemia type 3 sensitivity
Sig: JRT, Scotties, GSDs, Greyhounds, Dachshunds, Rottweilers, Poodles, Silky terriers, Yorkies, Pekingese, Maltese
Cs: Petechiae, edema, plaques, nodules, alopecia, scarring, necrosis, ulcers (“punched out”), infarcts, systemic dx
extremities, ear/tail tip, pressure points, paw/claws, scrotum, oral, tail tip, systemic sings (ADR)

Dt: Lg punch/wedge biopsy!!, diascopy
neutrophilic/eosinophilic/lymphocytic perivascular inflam, fibrinoid degeneration, thrombi

Tx: pentoxifylline, pred, cyclophosphamide, azathioprine, tetracycline/niacinamide, dapsone, sulfasalazine, Vit E


Erythema Multiforme (EM)
Et: cell-mediated hypersensitivity, self limiting
Cs: erythema, macules, urticarial plaques, vesicles, bullae
Symmetrical groin, MCJ, oral, pinnae, footpads, trunk (C)
Cats: vesiculobullous and/or ulcerative and the trunk and MCJ
Look like a target → peripherally and clear centrally

Dt: biopsy
hydropic interface dermatitis, keratinocyte apoptosis, satellitosis of lymphocytes/macrophages

Tx: self limiting (wks), steroids, azathioprine, cyclosporine(suppresses lymphocytes), pentoxifylline, novel diet

Toxic Epidermal Necrolysis (TEN)
Extensive vesiculobullous/ ulcerative disorder of skin
and oral mucosa in dogs, cats
Rare, painful, ER setting “3rd degree burns”
Et: keratinocyte apoptosis, drug induced
Cs: vesicles, bullae, necrosis, collarettes, systemic dx, skin peels (nikolsky’s)
oral mucosa, MCJ, footpads
Dt: biopsy, CBC (neutropenia/neutrophilia), Nikolsky’s sign positive (skin shears with pressure)
Prognosis: guarded-poor

Canine Juvenile Cellulitis (Puppy Strangles)
Et: “Juvenile pyoderma, Puppy strangles Juvenile sterile granulomatous dermatitis and lymphadenitis”
Sig: puppies (3w-4m), Goldens, Dachshunds, Gordon Setters
Cs: inflam, pustules, draining tracts(trunk), crusts, lymphadenopathy, systemic dx
Face, ears, joints, submandibular LN
Dt: cytology/biopsy → negative
Tx: glucocorticoids → immuno dose


Plasma Cell Pododermatitis (Pillow Foot)
Et: IM, FIV, food allergies
Sig: cats; concurrent: stomatitis, renal amyloidosis, glomerulonephritis
Cs: feet w/ swollen, purplish, white striae, drain tracks

Dt: biopsy (mature plasma cell infiltrate, Russell bodies), hypergammaglobulinemia

Tx: doxycycline, steroids, cyclosporine, Sx


Dermatomyositis
RARE
Et: idiopathic IM dx (inflammation)of skin, CT, skeletal muscle
Sig: Collies, Shelties
Cs: pustules, vesicles, alopecia, ulcers
face, ears, tail, extremities, axilla/inguina → butterfly
fatal secondary amyloidosis possible
Dt: biopsy (follicular atrophy, perifollicular inflam), high CK/AST
Ddx: lupus erythematosus, nasal parakeratosis, erythema multiforme, pyoderma, pemphigus foliaceus, systemic lupus erythematosus, zinc-responsive dermatosis, vit A–responsive dermatosis, toxic epidermal necrolysis
Tx: pentoxifylline, predisolone


Urticaria & Angioedema
Et: mast cell/basophil degranulation, Type I/III HS rxn
after vaccines, acute, allergic (IgE)
Sig: short coat breeds
Cs: wheals, serpiginous arciform lesions, facial swelling
Urticaria= diascopy (lesions disappear)
Dt: CS & diascopy (lesions disappear)
Tx: remove trigger, epinephrine(if needed), glucocorticoids, antihistamines, pentoxifylline

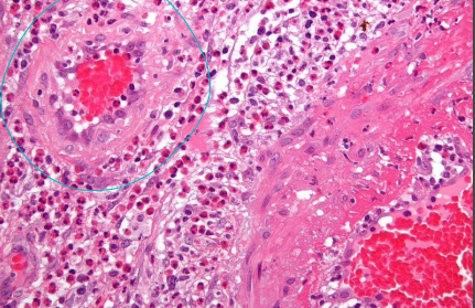
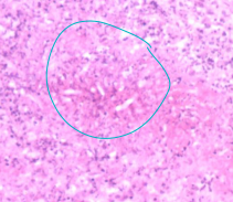
Bacterial Pseudomycetoma (Botryomycosis)
Et: Staph, trama, deep skin infection
Cs: firm nodules, draining fistulae, purulent exudate, grains (colonies)
Chronic, suppurative, granulomatous
Dt: culture, biopsy (granulomatous infiltrates w/ Splendore-Hoeppli material)
Tx: Sx excision, antibiotics (TMS, rifampin, β-lactamase resistant drugs)

Slow-growing Mycobacteria
Et: Deep skin infection
ID: acid fast rods, takes wks to grow
survive and replicate within phagocytes
Tuberculosis: systemic dx, LN enlargement, resp/GI lesions
M. tuberculosis, bovis, microti
Feline leprosy:
Et + Cs + Sig:
M. lepraemurium: young cats, head/limbs, painless nodules
M. visibile & novel: older cats, generalized nodules
Dt: biopsy, histopath - acid fast rods, PCR
Tx: wide Sx excision, antimicrobials
Canine leproid granuloma:
Sig: Boxers, short-coated breeds, insects
Cs: nodules on head
Tx: spontaneous, Sx excision, rifampin, doxycycline, clarithromycin

Rapid-growing Mycobacteria
Isolated from soil or bodies of water
Et: Deep skin infection of M. fortuitum, M. chelonae, M. abscessus, M. smegmatis; soil, water; opportunistic, trama
ID: acid fast, affinity for fat
Cs: panniculitis, lobar pneumonia, disseminated dx, alopecic nodules, draining tracts, thin skin, swellings
Neck, shoulders, flank, dorsum, Nearby subcutis thickens(cats)
Not painful/pruritic
Lipid vacuole

Dt: cytology (AFB staining), culture, deep biopsy
Tx: Sx removal, clarithromycin, doxycycline, FQ, amikacin, clean w/ bleach
some need life long tx


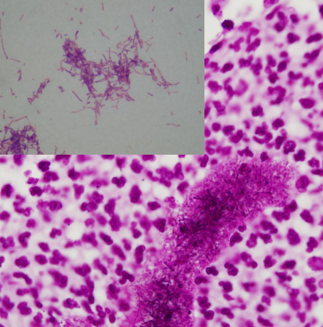
Actinomycosis
Et: Opportunistic, normal oral flora, Gram+, non-acid fast, filamentous anaerobes, trauma INNOCULATION
Cs: swelling, yellow sulfur granules, draining sinuses, malodorous exudate, pyotorax, abscess
Mouth, head/neck/thorax/abdomen
Dt: direct smears, biopsy, culture (Splendore-Hoeppli phenomenon) club shape surrounded by eosinophils
Tx: penicillin, clindamycin, erythromycin, rifampin, cephalosporins, Sx excision

Nocardiosis
Et: opportunistic, Gram+, partially acid-fast, filamentous aerobes; soil saprophytes; deep skin infection
branching
Sig: 2.5-11y, males
Cs: abscesses, draining lesions, actinomycotic mycetoma, systemic illness
Dt: culture, biopsy, CBC (anemia, leukocytosis w/ L shift, hyperproteinemia)
Tx: sulfonamides (1-12m)

Eumycotic Mycetoma
Et: fungal Soil saprophytes, Pseudoallescheria boydii deep skin infection
Unpigmented
Cs: 3 features: tumefaction, draining tracts, grains, solitary lesions
face/limbs
Dt: biopsy/culture
Tx: wide excision/amputation, antifungals

Phaeohyphomycosis
Et: saprophytic pigmented fungi, soil, wounds, deep skin infection
Sig: GSD
Cs: solitary nodules, ulcers
paw, leg, head/nose/pinna(cats)
Dt: biopsy, culture, cytology
No grains , blue grey color
Tx: Sx excision, azoles, amphotericin, cryosurgery

Hyalohyphomycosis
Et: Non-pigmented saprophytic fungi, woulds, soil, opportunistic deep skin infection
Sig: GSD predisposed
Cs: Pyogranulomatous inflammation
Claw beds, skin, eyes, joints, lungs, kidneys, liver
Dt: biopsy, culture, histopath
Tx: excision, azole, amphotericin

Zygomycosis
Et: Saprophytic spore molds, wounds, soil, deep skin infection
Mucorales: Rhizopus, Mucor, Absidia, Saksenaea
**Entomophthorales: Conidiobolus, Basidiobolus
Mortierellales: Mortierella
Cs: nodules, draining ulcers, sinusitis (Conidiobolus), trunk lesions (Basidiobolus)
Dt: biopsy/cytology (granulomatous dermatitis w/ eosinophils, poorly stained hyphae)
Tx: surgical excision, amphotericin B, azoles, potassium iodide


Pythiosis
Aquatic
Et: Pythium insidiosum deep skin infection
parasitic oomycete, not true fungus
Sig: Lg-breed, young male dogs w/ outdoor, water exposure, Gulf Coast US
Cs: Rare to have both forms
Cutaneous: firm boggy masses, ulceration, draining tracts, severe pruritus, self-mutilation, Extremely pruitic
GI: vomiting, diarrhea, weight loss, segmental thickening of GI tract, mesenteric LN involvement
Dt: cytology/biopsy (pyogranulomatous w/ eosinophils w/ clear hyphae)

Tx: Sx excision/amputation (#1)
antifungals ineffective

Lagenidiosis
Et: Oomycete deep skin infection
Sig: SE US, water-associated
Cs: multifocal nodules, draining tracts, systemic vasculitis
great vessels, regional LN, lungs, mediastinum
Dt: biopsy, culture, PCR
Tx: amputation
Grave prognosis if systemic

Cryptococcosis
Et: C. neoformans deep skin infection, yeast-like, inhalation pigeon dropping
Sig: Siamese, young Lg dogs
Cs: polyps, ulcers, abscess, upper resp dx, neuro/ocular signs, CNS dx
Nose, ears, paws
Dt: biopsy / cytology / direct smears (narrow-based budding yeast w/ capsule halo), latex agg (capsular antigen), biopsy (mucicarmine stain)

Tx: azoles, amphotericin B, flucytosine, Sx


Otitis
External canal: rolled annular cartilage
Et: bacti infection, Malassezia yeast, drug eruption, over-cleaning, FB, allergies, IM dx, metabolic dx
OM: Pseudomonas aeruginosa, S. pseudintermedius
Cs: malodor, head shaking, scratching, aural hematoma, hearing loss, behavior changes, pinnal alopecia
PE: Nose parallel to ventral, hand behind head, Pull pinnae towards you and rotate down
Dt: Cytology (OE), Culture (OM), biopsy, imaging, myringotomy
Tx: Ear cleaning, steroids, thiabendazole, dex, neomycin, NeoPolyB-HC, Miconazole, Tris-EDTA combos, hydrocortisone aceponate, miconazole, gentamicin, osurnia (OE)

Sebaceous Adenitis
Et: inflam disorder of sebaceous glands → destruction
Sig: plush coated dogs: Poodle, Akita, Vizsla, Samoyed, Chow, young adult to middle-aged
Cs: scaling, follicular casts, dry broken hairs (brown/red), nodular alopecia, fine white scaling, “Moth-eaten” alopecia
Bilateral symmetric, head, ears, dorsal trunk, tail, legs
Secondary pyoderma with resulting pruritus

Dt: Histopath
acanthosis, hyperkeratosis, follicular plugging, keratin sheathing hairs, absent sebaceous glands, granulomatous perifollicular inflam

Tx: Spontaneous, keratolytic shampoos, emollient/oil/ propylene glycol rinses, FA supplements, synthetic retinoids, cyclosporine, tetracycline, niacinamide


Hyperkeratose
Idiopathic Nasodigital Hyperkeratosis
Et: Senile change
Cs: hyperplastic keratin, verrucous ridges, splitting, margin debris
nasal planum & paw pads
Familial Footpad Hyperkeratosis
Sig: Irish Terriers, Dogue de Bordeaux, <6m
Cs: all pads affected, horn formation, lameness
Nasal Hyperkeratosis
Sig: 6-12m, Labs
Cs: Dry, rough, gray/brown keratin accumulation, fissures, loss of cobblestone texture, hypopigmentation
Tx: Soaking, Petroleum jelly, propylene glycol, tretinoin gel, Douxo spot-on, Bag Balm, Trim growths, Vit A, tacrolimus, topical steroids

Epidermolytic ichthyosis
Et: Prime disorders of Cornification, keratin 10 mutation
Sig: Norfolk Terriers
Cs: cobblestoned hyperpigmented scaling, discolouration, ear scaling, Erythema, keratinous debris, Alopecia, Lichenification,
at birth
Dt: Vacuoles and lysis of KC in spinous and granular cell layers, hypergranulosis, hyperkeratosis
Tx: salicylic acid, sulfur, tar, selenium sulfide, Emollients, moisturizers, humectants

Breed Specific ichthyosis
Genetic
Et:
Golden Retriever ichthyosis: Prime disorders of Cornification, PNPLA1 mutation
Large, soft, white to gray adherent scale
Bulldog ichthyosis: Prime disorders of Cornification, NIPAL-4 mutation
Large white to tan scales- generalized Severe Malassezia overgrowth
Cs: Erythema, keratinous debris, Alopecia, Lichenification, hyperpigmentation
Tx: salicylic acid, sulfur, tar, selenium sulfide, Emollients, moisturizers, humectants

Psoriasiform-Lichenoid Dermatosis
Et: Prime disorders of Cornification
Staph worsens dx
Sig: Cockers, Labs, Schnauzers, Setters; hyperkeratotic plaques, follicular casts
Cs: Erythema, keratinous debris, yellow plaques, Alopecia, Lichenification, hyperpigmentation
Non puritic, asymptomatic, symmetric
Tx: cephalexin

Schnauzer Comedo Syndrome
Blackheads
Et: genetic, disorders of Cornification
Sig: min schnauzers
Cs: Erythema, keratinous debris, Alopecia, Lichenification, hyperpigmentation
Tx: acne cleaning pads, alcohol, listerine, sulfur, tar, Benzoyl peroxide
JRT Ichthyosis
Et: Nonepidermolytic Ichthyosis, disorders of Cornification, TGM1
Cs: Large, thick, adherent, parchment paper-like scales
2nd Malassezia infections cause inflammation and pruritus
Tx: salicylic acid, sulfur, tar, selenium sulfide, Emollients, moisturizers, humectants

Zinc-Responsive Dermatosis
Et: Disorders of Cornification
Syndrome I: Huskies, Malamutes
Syndrome II: puppies on poor diets (excess Ca, phytates inhibit Zn absorption)
Cs: erythema, alopecia, scaling, facial crusting, dull coat, greasy skin, footpad hyperkeratosis, poor smell/taste
Dt: biopsy (parakeratotic hyperkeratosis, papillomatosis, spongiosis)
treat 2ndary infections 1st
Tx: correct diet, zinc supp, treat infections


Superficial Necrolytic Dermatitis
AKA: Necrolytic migratory erythema, hepatocutaneous syndrome, metabolic epidermal necrolysis
Et: nutritional imbalance (hypoaminoacidemia) due to hyperglucagonemia, liver dysfunction
Sig: older dogs
Cs: PU/PD, crusted erosions/ulcers → painful, high liver enzymes, hyperglycemia
muzzle, mucocutaneous junctions, distal limbs, pawpads

Dt: “red, white, blue” pattern (parakeratotic hyperkeratosis + keratinocyte vacuolation + basal hyperplasia) : thickened basal layer
Tx: amino acid supplementation
poor prognosis


Canine Cosmetic Pattern Baldness
Ventral-Type Alopecia (#1)
Sig: Dachshund, Chihuahua, MinPin, Whippet, Greyhound, Italian Greyhound, Terriers, Boxer, 6m
Cs: Symmetrical, progressive, ventral neck, chest, abdomen, caudomedial thighs, perineum, postauricular regions
Normal coat at birth
Pinnal Alopecia
Sig: Dachshund, Chihuahua, Boston Terrier, Whippet, Italian Greyhound, <1y
Dt: biopsy (in anagen, reduced size/diameter of air folicle)
Tx: none, melatonin trialed
Injection Reactions
Et: 2-4 months post-injection, rabies vax (inflam), steroid injection (non inflam)
Cs: erythematous firm plaque, SQ swelling, alopecia, hyperpigmentation, shiny skin
shoulders, back, posterolateral thighs
Dt: biopsy (panniculitis, dermal/pilosebaceous atrophy)
Tx: none, excision, Intralesional/systemic GC, pentoxifylline, dapsone
Post-Clipping Alopecia
Et: failure of hair regrowth post-clipping (follicular arrest)
Sig: long/thick coats; Siberian Husky, Chow
Tx: regrows after heavy shedding
Recurrent Flank Alopecia
Et: seasonal follicular dysplasia; fall/winter, photoperiod, genetics
Sig: Boxers, Bulldogs, Airedales, Schnauzers, Poodles, Frenchies
Cs: well-demarcated alopecia, hyperpigmentation, scaling, folliculitis
Symmetric, Sporadic, bon-pruritic, non-inflamed,
Dt: biopsy (dysplastic/atrophic, keratin-filled follicles w/ finger-like projections)
Tx: regrowth in 3-8m, melatonin


Canine Metabolic Pattern Baldness
Hypothyroidism
Et: decreased T4 & T3 production
Sig: Beagles, Dobermans, Setters, Ridgebacks, Giant Schnauzers, Deerhounds, Boxers, GSD, middle-aged, neutered/spayed dogs
Cs: symmetric alopecia, rat tail, brittle coat, hyperpigmentation, pyoderma, OE, seborrhea, facial myxedema(nasal balding), lethargy, mental dullness, weight gain, cold intolerance, exercise intolerance, anorexia
Dt: low tT4 + fT4, high TSH, high ALT/ALP, fasting hypertriglyceridemia, hypercholesterolemia
Tx: sodium L-thyroxine
Hyperadrenocorticism (Cushing’s Disease)
Et: excessive cortisol
Sig:
PDH: Sm breeds, middle-aged
ADH: Lg breeds, ⅔ female
Dt: endocrine testing
Cs: PU/PD, lethargy, weakness, pot belly, panting, neuro signs, stiff gait, alopecia, thin skin, bruising, comedones, hair color changes, vein dilation, hyperpigmentation, poor wound healing, Calcinosis cutis


Idiopathic Sterile Granuloma/Pyogranuloma
Sig: Collies, Weimaraners, Great Danes, Boxers, Goldens
Cs: Firm, painless, papules, nodules, alopecic, ulcerated lesions, orange-yellow friable plaques
Wax/wane, regress spontaneously, non pruritic
muzzle, periocular, pinnae, paws
Dt: No organisms on cytology/culture, biopsy (diffuse granulomatous dermatitis)
Tx: excision, glucocorticoids, tetracycline, niacinamide, azathioprine, cyclosporine, spontaneous

Systemic Antimicrobials
β-Lactams: HS, GI upset; synergistic w/ aminoglycosides, cephalosporins, polymyxin; antagonism w/ tetracycline/chloramphenicon; avoid w/ allopurinol as drug eruption risk in people
Macrolides: GI upset, hepatomegaly, cholestatic hepatitis, high liver enzymes
azithromycin, clarithromycin, erythromycin, tylosin
Lincosamides (Clindamycin): mild GI upset
Chloramphenicol: blood dyscrasias, BM suppression, aplastic anemia, GI upset, contradicted in liver dysfunction
Aminoglycosides: nephrotoxicity, ototoxicity, vestibulotoxicity, placental transfer
Tetracyclines: stained teeth, enamel hypoplasia, impaired bone growth, GI/hepatic toxicity, nephrotoxicity, esophageal strictures
Doxycycline, Minocycline
Fluoroquinolones: GI upset, neurotoxicity, arthropathy
enrofloxacin, marbofloxacin, ciprofloxacin
Sulfonamides: HS, hepatotoxicity, aplastic anemia, thrombocytopenia, neutropenia, crystalluria, KCS, thyroid suppression
Rifampin: High liver enzymes, rash, BM effects, GI upset, orange-colored urine/tears/sweat/saliva
Topical Therapy
Antipruritics: symptomatic therapy; mediator removal, counter-sensations (hot/cold), nerve blockade, moisturizing barrier, GC use
1% hydrocortisone, 0.01% fluocinolone, 2% diphenhydramine, 1% pramoxine
Emollients/Moisturizers: soften/lubricate skin, after hydration; hypoallergenic shampoos
fatty acids, lipids, urea, glycerin, colloidal oatmeal, chitosanide
Antibacterials
Chlorhexidine: antiseptic, yeast activity
Benzoyl Peroxide: antibacterial, keratolytic, follicular flushing, degreasing, anti-pruritic
Ethyl lactate: mild, degreasing, comedolytic, less drying than BPO
Antimycotics
azoles, chlorhexidine: antifungal
Sulfur: antifungal, antibacterial, antiparasitic, degreasing; cheap/nontoxic; bad odor, stains, cats need e-collar until dry