1/46
Looks like no tags are added yet.
Name | Mastery | Learn | Test | Matching | Spaced | Call with Kai |
|---|
No analytics yet
Send a link to your students to track their progress

scrotum

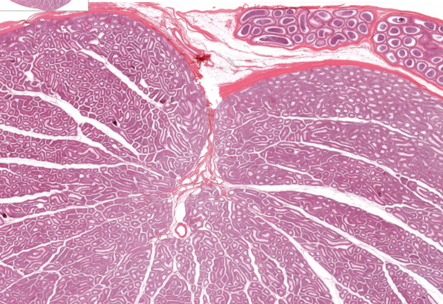
testis

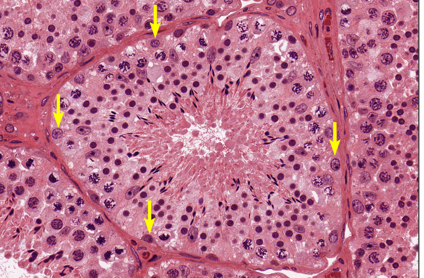
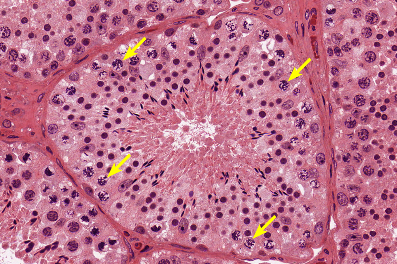
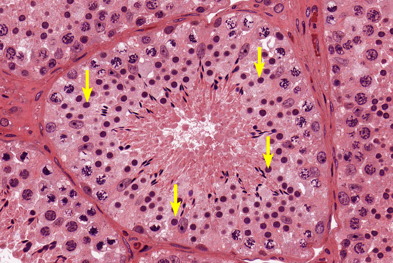
histo
testis

tunica albuginea

tunica vaginalis

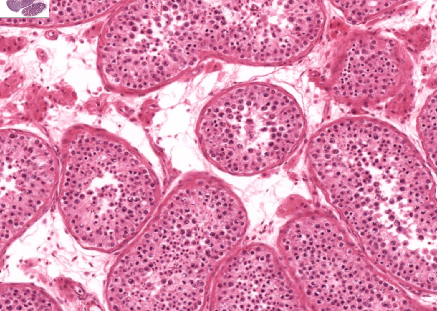
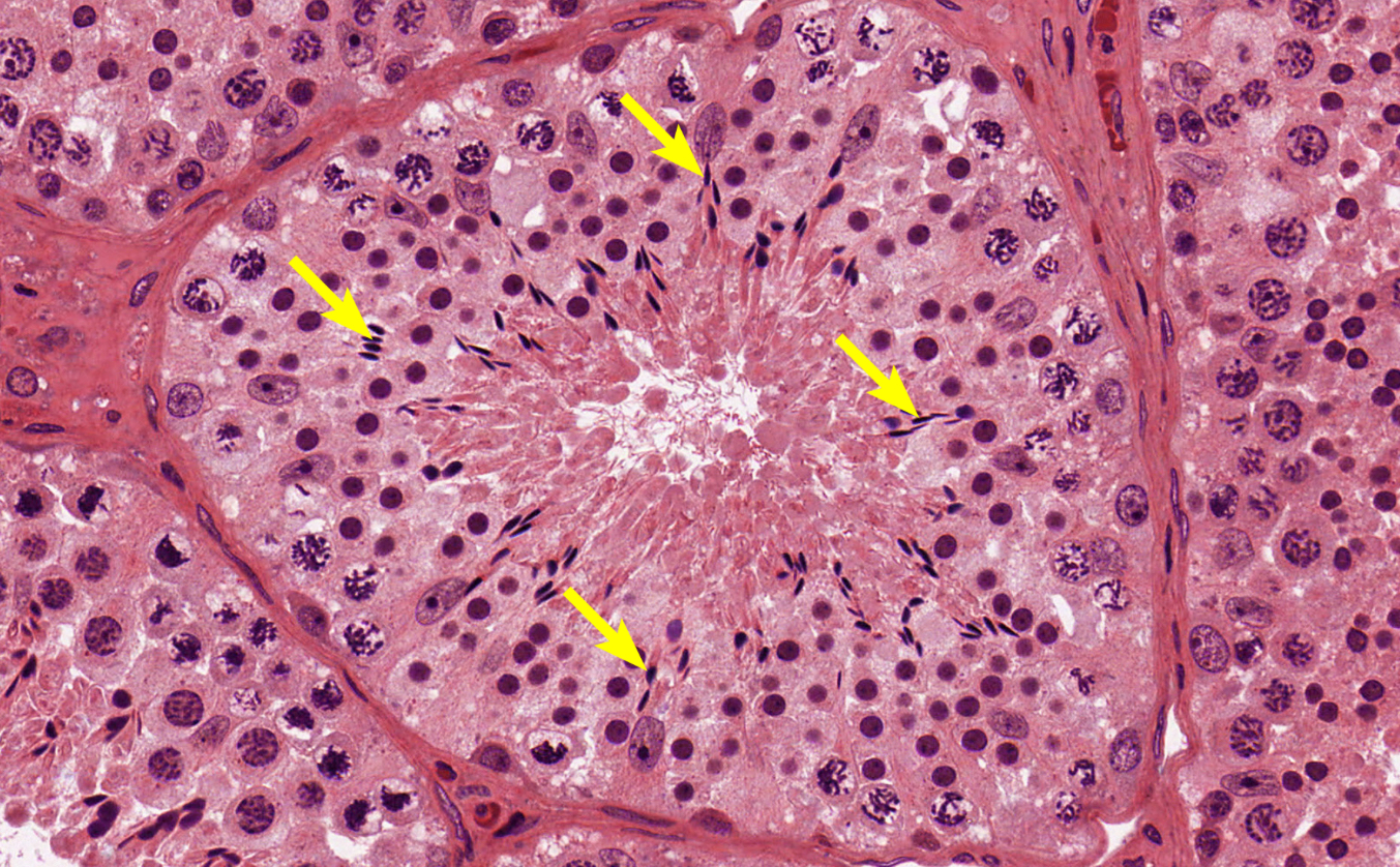
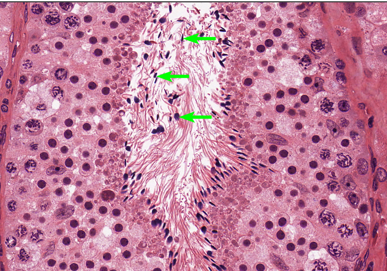
seminiferous tubule

histo; each “circle”
seminiferous tubule

histo; “clumps” between circles
leydig cell

lobule

septum

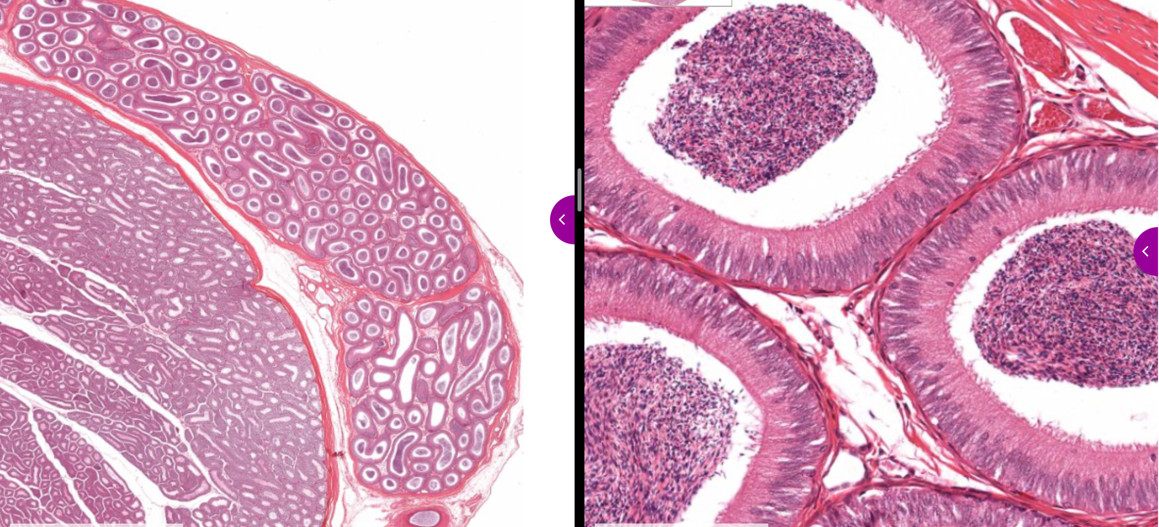
rete testis

efferent ductule

all parts
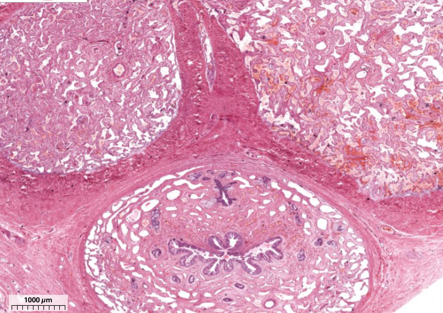
epididymis

histo
epididymis

of epididymis
head

of epididymis
body

of epididymis
tail

spermatic cord

ductus deferens

ampulla of ductus deferens

ejaculatory duct

seminal gland

prostate gland

bulbourethral gland

whole
urethra

histo
urethra

prostatic urethra

membranous urethra

spongy urethra

type
juvenile penis

histo; as a whole
penis

type
post-pubescent penis

as a whole
erectile tissue

corpus cavernosum

corpus spongiosum

external urethral orifice

prepuce

glans penis
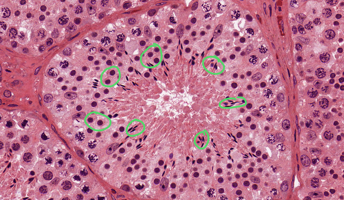
process of producing sperm
spermatogenesis

histo; larger nucleus but pretty solidified
spermatogonia

histo; large nucelus, but starting to break apart, can see little dots in the nucleus
primary spermatocyte

histo in general;
spermatid

histo specific; small condensed dark nucleus
spermatid-early

histo specific; flattened long nucleus and cell
spermatid-late

histo; flattened nucelus and cell but within the mess, has tails
spermatozoon

specific type
post-pubescent penis

specific type
juvenile penis