GENBIO: Classification of Tissues

0.0(0)
studied byStudied by 1 person
0.0(0)
full-widthCall with Kai
GameKnowt Play
New
learnLearn
examPractice Test
spaced repetitionSpaced Repetition
heart puzzleMatch
flashcardsFlashcards
Card Sorting

1/113

flashcard set

Earn XP

Description and Tags

pptx

Study Analytics
Name
Mastery
Learn
Test
Matching
Spaced

No study sessions yet.

114 Terms

1
New cards

Cell → Tissue → Organ → Organ System → Organism → Population → Community → Ecosystem → Biosphere

Levels of Biological Organization

<p>Levels of Biological Organization</p>
2
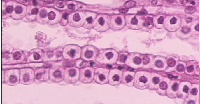
New cards

Structure

  • determines the function

  • the body plan, or the way the parts are arranged and made of

3
New cards

Function

  • the job for that part of the organism

4
New cards

Tissue

  • groups of cells with a common structure and function

  • different types of ___ have different structures that are especially suited to their functions

5
New cards

Animal Tissues

  1. Connective tissue

  2. Epithelial tissue

  3. Muscle tissue

  4. Nervous tissue

6
New cards

Connective tissue

knowt flashcard image
7
New cards

Epithelial tissue

knowt flashcard image
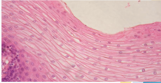
8
New cards

Muscle Tissue

knowt flashcard image
9
New cards

Nervous tissue

knowt flashcard image
10
New cards

Epithelium

a sheet of cells that covers a body surface or lines a body cavity

11
New cards

Simple squamous epithelium

(lining the air sacs of the lung)

<p>(lining the air sacs of the lung)</p>
12
New cards

Simple Cuboidal epithelium

(forming a tube in the kidney)

<p>(forming a tube in the kidney)</p>
13
New cards

Simple Columnar Epithelium

(Lining the intestine)

<p>(Lining the intestine)</p>
14
New cards

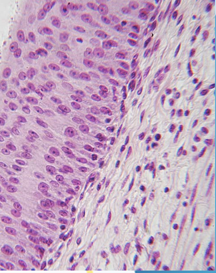
Stratified Squamous Epithelium

(Lining the esophagus)

<p>(Lining the esophagus)</p>
15
New cards

Stratified squamous epithelium

(human skin)

<p>(human skin)</p>
16
New cards

Functions of a Epithelium Tissue

  1. Protection — skin

  2. Absorption — stomach and intestinal lining (gut)

  3. Filtration — Kidney

  4. Secretion — forms glands

(exocrine glands, such as: salivary glands, sweat glands, and gastric glands)

17
New cards

Characteristics of Epithelium tissue

  1. Polarity — have an apical surface and attached basal surface

  2. Specialized contacts — fit closely together and form continuous sheets

  3. Supported by connective tissue — basal surface is attached to underlying connective tissue

  4. Avascular and innervated — has no blood vessels and supplied by nerve fibers

  5. Regeneration — can regenerate itself

18
New cards
<p>Apical Surface</p>

Apical Surface

the "top" or "free" surface of an epithelial cell that faces the external environment, a body cavity, or the lumen of an organ or duct.

19
New cards
<p>Basal Surface</p>

Basal Surface

the bottom-facing surface of a cell or tissue, specifically the edge that rests on a basement membrane and anchors it to underlying connective tissue.

20
New cards

Number of Cell layers

  • Simple

  • Stratified

  • Pseudostratified

  • Transitional

21
New cards

Simple 

consist of single cell layer that attached to the basement membrane

22
New cards

Stratified

composed of 2 or more layers stacked atop each other

23
New cards

Pseudostratified

a single layer of cells that appears to be multiple layers due to variance in heaight and location of the nuclei in the cells

24
New cards

Transitional

Cells are rounded and can slide across one another to allow stratching

25
New cards

Shape of Cells

  • Squamous

  • Cuboidal

  • Columnar

26
New cards

Squamous

flat, thin, scale-like cells

<p>flat, thin, scale-like cells</p>
27
New cards

Cuboidal

Cells that have a basic cube shape. Typically the cell’s height and width are about equal.

<p>Cells that have a basic cube shape. Typically the cell’s height and width are about equal.</p>
28
New cards

Columnar

tall, rectangular, or column shaped cells. Typically taller than they are wide

<p>tall, rectangular, or column shaped cells. Typically taller than they are wide</p>
29
New cards

Simple squamous epithelium

location: air sacs of lungs and the lining of the heart, blood vessels, and lymphatic vessels

<p>location: air sacs of lungs and the lining of the heart, blood vessels, and lymphatic vessels</p>
30
New cards

Simple cuboidal epithelium

Location: in ducts and secretory portions of small glands and in kidney tubules

<p>Location: in ducts and secretory portions of small glands and in kidney tubules</p>
31
New cards

Simple columnar epithelium

Location:

Ciliated tissues are in bronchi, uterine tubes, and uterus,

smooth (nonciliated tissues), are in the digestive tract, bladder

<p>Location: </p><p><strong>Ciliated tissues</strong> are in bronchi, uterine tubes, and uterus, </p><p>smooth (<strong>nonciliated tissues</strong>), are in the digestive tract, bladder</p>
32
New cards

Simple squamous epithelium

knowt flashcard image
33
New cards

Simple cuboidal epithelium

knowt flashcard image
34
New cards

Simple columnar epithelium

knowt flashcard image
35
New cards

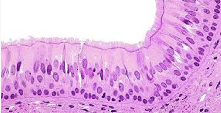
Pseudostratified columnar epithelium

Ciliated tissue lines the trachea and much of the upper respiratory tract

<p>Ciliated tissue lines the trachea and much of the upper respiratory tract</p>
36
New cards

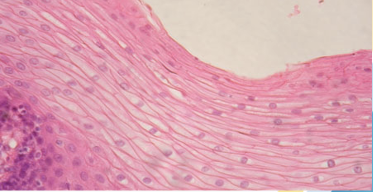
Stratified squamous epithelium

Line the esophagus, mouth, and vagina

<p>Line the esophagus, mouth, and vagina</p>
37
New cards

Stratified cuboidal epithelium

Sweat gland, salivary glands, and the mammary glands

<p>Sweat gland, salivary glands, and the mammary glands</p>
38
New cards

Pseudostratified columnar epithelium

knowt flashcard image
39
New cards

Stratified squamous epithelium

knowt flashcard image
40
New cards

Stratified cuboidal epithelium

knowt flashcard image
41
New cards

Stratified Columnar epithelium

The male urethra and the ducts of some glands

<p>The male urethra and the ducts of some glands</p>
42
New cards

Transitional epithelium

Line the bladder, urethra, and the ureters

<p>Line the bladder, urethra, and the ureters</p>
43
New cards

Stratified Columnar epithelium

knowt flashcard image
44
New cards

Transitional epithelium

knowt flashcard image
45
New cards

Connective Tissue

Supporting tissue that surrounds other tissues and organs

Functions: Protect, support, and bind together parts of the body. Also, it store nutrients and runs through organ capsules and in deep layers of skin giving strength

Characteristics: They occur throughout the body. Tend to be very vascular (have rich blood supply) but not all.

46
New cards

Types of Connective Tissues

  1. Collagenous connective tissue

  2. Reticular connective tissue

  3. Elastic connective tissue

47
New cards

Collagenous Connective Tissue

predominantly made up of type I collagen

48
New cards

Classification of Collagenous Connective Tissue

A. Loose Connective Tissue

B. Dense Regular Connective

C. Dense Irregular Connective 

49
New cards

Loose Connective Tissue

Areolar Connective Tissue — cushion around organs, loose arrangement of cells and fibers.

<p>Areolar Connective Tissue — cushion around organs, loose arrangement of cells and fibers.</p>
50
New cards

Dense Regular Connective Tissue

tendons and ligaments, regularly arranged bundles packed with fibers running same way for strength in one direction

<p>tendons and ligaments, regularly arranged bundles packed with fibers running same way for strength in one direction</p>
51
New cards

Dense Irregular Connective tissue

skin, organ capsules, irregular arranged bundles packed with fibers for strength in all

<p>skin, organ capsules, irregular arranged bundles packed with fibers for strength in all</p>
52
New cards

Reticular Connective Tissue

  • formed type III collagen (protein found in bondes and cartilage)

  • internal supporting framework of some organs, delicate network of fibers, and cells directions

<ul><li><p>formed type III collagen (protein found in bondes and cartilage)</p></li><li><p>internal supporting framework of some organs, delicate network of fibers, and cells directions</p></li></ul><p></p>
53
New cards

Classification of Reticular Connective Tissue

A. Adipose Tissue

54
New cards

adipose Tissue

storehouse for nutrients, packed with cells and blood vessels

<p>storehouse for nutrients, packed with cells and blood vessels </p>
55
New cards

Elastic Connective Tissue

  • formed by type II collagen, component of joint cartilage

often found in bronchi, trachea, blood vessels, and hollow organs

<ul><li><p>formed by type II collagen, component of joint cartilage</p></li><li><p> </p></li></ul><p>often found in bronchi, trachea, blood vessels, and hollow organs</p>
56
New cards

Specialized Connective Tissue

Cartilage:

a) Hyaline

b.) Elastic

c.) Fibrocartilage

  1. Bone (osseous tissue)

  2. Blood

57
New cards

Cartilage

  • provides strength with flexibility while resisting wear, i.e. epiglottic, external ear, larynx

  • cushions and shock absorbs where bones meet, i.e. intervertebral discs, joint capsules

<ul><li><p>provides strength with flexibility while resisting wear, i.e. epiglottic, external ear, larynx</p></li><li><p>cushions and shock absorbs where bones meet, i.e. intervertebral discs, joint capsules</p></li></ul><p></p>
58
New cards

Cartilage

cushion between joints, not as rigid as bone, not as flexible as muscle

<p>cushion between joints, not as rigid as bone, not as flexible as muscle</p>
59
New cards

Ligaments

connect bones to bones

<p>connect bones to bones</p>
60
New cards

Tendons

Connects muscle to bone

<p>Connects muscle to bone</p>
61
New cards

Hyaline Cartilage

exists on the ventral ends of ribs, in the larynx, trachea, and bronchi, and on the articulating surface of bones. It gives the structures a definite but pliable form.

<p>exists on the ventral ends of ribs, in the larynx, trachea, and bronchi, and on the articulating surface of bones. It gives the structures a definite but pliable form.</p>
62
New cards

Elastic Cartilage

great flexibility so that it is able to withstand repeated bending. The chondrocytes lie between the ribers. It is found in the epiglottis (part of larynx), the pinnae (external ear flaps of many mammals)

<p>great flexibility so that it is able to withstand repeated bending. The chondrocytes lie between the ribers. It is found in the epiglottis (part of larynx), the pinnae (external ear flaps of many mammals)</p>
63
New cards

chondrocytes

specialized cells found only in cartilage, responsible for producing and maintaining the cartilage's extracellular matrix (ECM), which gives it its strength and flexibility

64
New cards
<p>Fibrocartilage</p>

Fibrocartilage

tough, very strong tissue found predominantly in the intervertebral discs and at the insertions of ligaments and tendons; it is similar to other fibrous tissues but contains cartilage ground substance and chondrocytes

<p>tough, very strong tissue found predominantly in the intervertebral discs and at the insertions of ligaments and tendons; it is similar to other fibrous tissues but contains cartilage ground substance and chondrocytes</p>
65
New cards

Bone

“osseous tissue“ — provides framework and strength for body; allows movements; stores calcium; contains blood forming cells

<p>“osseous tissue“ — provides framework and strength for body; allows movements; stores calcium; contains blood forming cells</p>
66
New cards

Bone marrow

acts as a factory for producing red blood cells, white blood cells, and platelets from stem cells.

67
New cards

Blood 

transports oxygen, carbon dioxide, and nutrients around the body’ immune response

<p>transports oxygen, carbon dioxide, and nutrients around the body’ immune response</p>
68
New cards

Muscle Tissue

  • responsible for body movement

  • moves blood, food, waste through body’s organs

  • responsible for mechanical digestion (mouth)

<ul><li><p>responsible for body movement</p></li><li><p>moves blood, food, waste through body’s organs</p></li><li><p>responsible for mechanical digestion (mouth)</p></li></ul><p></p>
69
New cards

Types of Muscle

  1. Smooth

  2. Skeletal

  3. Cardiac

70
New cards

Smooth Muscle

organ walls and blood vessel walls, involuntary, spindle-shaped cells for pushing things through organs

71
New cards

Skeletal Muscle

large body muscles, voluntary, striated muscle packed in bundles and attached to bones for movement

72
New cards

Cardiac Muscle

heartwall, involuntary, striated muscle with intercalated discs connecting cells for synchronized contractions during heart beat

73
New cards

Skeletal muscle

knowt flashcard image
74
New cards

Cardiac Muscle

knowt flashcard image
75
New cards

Smooth muscle

knowt flashcard image
76
New cards

Nervous Tissue

  • conducts impulses to and from body organs via neurons

  • controls all activities of the body

77
New cards

3 Elements of Nervous Tissue

  • Brain

  • Spinal cord

  • Nerves

78
New cards

Neuron

electrically excitable cells un the nervous system that function to process and transmit information

79
New cards

Parts of the neuron

  1. Cyton

  2. Axon

  3. Dendrites

<ol><li><p>Cyton</p></li><li><p>Axon</p></li><li><p>Dendrites</p></li></ol><p></p>
80
New cards

Cyton

A star shaped body called ____ (cell body) which has nucleus and cytoplasm

<p>A star shaped body called ____ (cell body) which has nucleus and cytoplasm</p>
81
New cards

Axon

A single long part called ____ that carries messages away from the Cyton

<p>A single long part called ____ that carries messages away from the Cyton</p>
82
New cards

Dendrites

short, branched part called _____ that carries messages towards cyton

<p>short, branched part called _____ that carries messages towards cyton</p>
83
New cards

Types of Neurons

  1. Sensory neurons

  2. Motor neurons

84
New cards

Sensory neurons

carry information obtained from the interior of the body and the environment to the CNS (central nervous system)

85
New cards

Motor neurons

carry impulses away from the CNS to the effector organs

86
New cards

Nueroglia

support and protect neurons; found in the nervous system

<p>support and protect neurons; found in the nervous system</p>
87
New cards
<p>VF fill at L6/S1</p>

VF fill at L6/S1

knowt flashcard image
88
New cards
<p><span>VLF fill at L6/S1</span></p>

VLF fill at L6/S1

knowt flashcard image
89
New cards

Plant tissues

  1. Meristematic or embryonic tissue

  2. Non-meristematic or permanent tissue

90
New cards

Meristematic or embryonic tissue

  • tissues comprise of cells which have the dividing capacity

  • immature and help plants to divide continuously

  • Types: Apical, lateral, and intercalary meristems (enlarge the cell and increase the length and width of the stem, roots, and leaves)

<ul><li><p>tissues comprise of cells which have the dividing capacity</p></li><li><p>immature and help plants to divide continuously</p></li><li><p>Types: Apical, lateral, and intercalary meristems (enlarge the cell and increase the length and width of the stem, roots, and leaves)</p></li></ul><p></p>
91
New cards
<p>Apical Meristems</p>

Apical Meristems

found at the tips of the shoots and roots which increase in length as the apical meristems produce new cells.

92
New cards
<p>Intercalary meristems</p>

Intercalary meristems

found at the vicinity of nodes which occurs at intervals along stems. Just like the apical meristems, they also increase the length of stems.

  • responsible for growth of plant from leaf and nodes

93
New cards

Lateral Meristems

increase the girth or diameter of plants. They are found along the sides of some roots and stems.

<p>increase the girth or diameter of plants. They&nbsp;are found along the sides of some roots and stems.</p>
94
New cards

Apical Meristems

Causes primary growth (lengthening of plant)

Occurs at tips of shoot and roots, Produces new leaves and flowers

95
New cards

Lateral Meristems

Causes secondary growth (widening of plant) occurs at the cambium, produces bark on trees

<p>Causes secondary growth (widening of plant) occurs at the cambium, produces bark on trees</p>
96
New cards

Non-meristematic or Permanent tissue

  • derivative of meristematic tissue

  • don’t have the dividing capability

  • aid in other functions like conductions of subsstances, storage of food etc.

  • Types: simple and complex permanent tissue

97
New cards

Simple permanent tissues

parenchyma, collenchyma, and sclerenchyma

<p>parenchyma, collenchyma, and sclerenchyma</p>
98
New cards

Parenchyma tissue

knowt flashcard image
99
New cards

Collenchyma Tissue

knowt flashcard image
100
New cards

Sclerenchyma Tissue

knowt flashcard image