1/719
Looks like no tags are added yet.
Name | Mastery | Learn | Test | Matching | Spaced | Call with Kai |
|---|
No analytics yet
Send a link to your students to track their progress

AKP store husdyr blok 1 2024
Du kaldes ud til en ko du har foretaget kejsersnit på for 10 dage siden: Såret ser ud som på billedet. Koen har temperatur 38,2, æder og har det fint. Der er en smule ømhed, men ingen varme omkring såret. Hvad vil du gøre ved såret?
1 Give 22.000 IE/kg penicillin-procain i 5 dage
2 Give et stramt bellyband på
3 Fortsætte med åben sårbehandling, så såret kan hele per sekundam
4 Lave en horisontal incision ventralt for såret for at skabe drænage
Det rigtige svar er 3

AKP store husdyr blok 1 2024
Hesten har haft et sår, der ikke har villet hele gennem 6 måneder. Hvad er det mest relevante diagnostiske tiltag for denne patient?
1 Tryktest af talocruralleddet
2 Svaberprøve til bakteriologisk undersøgelse af såret
3 Røntgenbilleder af hasen
4 Bøjeprøver
Det rigtige svar er 3

AKP store husdyr blok 1 2024
Denne 4 år gamle islandske hest er kommet på sommerfold og er over de seneste uger begyndt at klø sig i man og hale. Huden er fast og hærdet. Hvordan vil du beskrive disse hudforandringer i mankeregionen?
1 Alopeci, hypertrikose, urticarier
2 Alopeci, hyperkeratose
3 Ortokeratose, alopeci
4 Alopeci, lichenifikation
Det rigtige svar er 4
AKP store husdyr blok 1 2024
Kolik forårsaget af bændelorm skyldes?
1 Larvernes migration gennem leveren
2 Larvernes hybobiose i colon og caecum
3 Ormenes hæftning ved den ileocecale overgang
4 Larvernes migration i tarmenes blodkar
Det rigtige svar er 3

AKP store husdyr blok 1 2024
Denne Limosine ko på 750 kg er nedstemt, ingen ædelyst, T: 38,3°C, P: 80, R: 12. Hudtugor er meget nedsat. Hun vil helst ligge ned. Den har indfaldende hungergruber samt grøn, vandig, skummende gødning og få svage vomkontraktioner. Hvilke af de nævnte muligheder er den bedste væskebehandling?
1 40 L vand PO
2 20 L vand med proprionat, NaCl og B-vitamin PO og 10 L Ringer acetat IV.
3 20 L vand med proprionat, NaCl og B-vitamin PO og 20 L Ringer acetat med bicarbonat IV
4 20 L vand med proprionat, NaCl og B-vitamin PO og 10 L Ringer acetat med bicarbonat IV
Det rigtige svar er 3

AKP store husdyr blok 1 2024
Hvad beskriver bedst benstilling og klovform hos dette dyr?
1 Carpus varus, udadroteret, sakseklove, symmetriske klove
2 Carpus valgus, udadroteret, sakseklove, asymmetriske klove
3 Carpus varus, udadroteret, proptrækkerklove, asymmetriske klove
4 Carpus valgus, udadroteret, proptrækkerklove, symmetriske klove
Det rigtige svar er 2
AKP store husdyr blok 1 2024
Du laver drægtighedsdiagnostik via rektalpalpation på en ko, der blevet insemineret for 35 dage siden. Hvad palperer du efter, for at bekræfte drægtigheden?
1 Fosterdele
2 Ballottement
3 Uterus er uafgrænselig
4 Chorionslip og asymmetri mellem uterushorn
Det rigtige svar er 4
AKP store husdyr blok 1 2024
Du undersøger et 4 dage gammelt føl og diagnosticerer septisk artritis i det ene haseled samt navleinfektion. Der er ingen sår i relation til haseleddet. Hvilken blodparameter er mest korrekt at inkludere i din undersøgelse af dette føl?
1 Leukocytter
2 Albumin
3 IgG
4 Creatinin
Det rigtige svar er 3

AKP store husdyr blok 1 2024
Denne pony bliver præsenteret med nedstemthed og tegn på laminitis. Hvilke er den mest sandsynlige diagnose og med hvilken test kan du bekræfte din diagnose?
1 Equine metabolic syndrome - diagnosticeres med abnorm insulinrespons til glukoseapplikation i foderet eller per næsesvælgsonde som tegn på insulinresistens
2 Equine metabolic syndrome - diagnosticeres ved hjælp af body condition scoring og vejning af hesten
3 Pituitary Pars Intermedia Dysfunction (PPID) - diagnosticeres med dexamthasonsuppressionstest
4 Diabetes mellitus - diagnosticeres på grund af hyperglykæmi og glucosuri
Det rigtige svar er 1

AKP store husdyr blok 1 2024
Du tilkaldes til nedenstående hest. Hvad er den mest sandsynlige diagnose?
1 Svær astma
2 Spiserørsforstoppelse
3 Luftposeempyem
4 Akut hjertesvigt
Det rigtige svar er 2
AKP store husdyr blok 1 2024
Hvornår anbefales det at behandle føl for spolorm første gang?
1 3 uger efter fødslen
2 3 måneder efter fødslen
3 6 måneder efter fødslen
4 Midt om sommeren
Det rigtige svar er 2

AKP store husdyr blok 1 2024
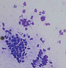
Hvilken diagnose kan stilles på en hest med nedsat præstation og denne bronchoalveolar lavage cytologirapport ?
1 Mild astma (IAD)
2 DDSP (Dorsal displacement soft palate)
3 EIPH (exercise induced pulmonary haemorrhage)
4 Svær astma (RAO)
Det rigtige svar er 1

AKP store husdyr blok 1 2024
Denne fem år gamle varmblodsvallak har pludselig fået svære hudforandringer på alle fire lemmer, hvor hesten har hvide sokker. Hesten går på døgnfold. Du ønsker at udtage en blodprøve for at undersøge årsagen til hudforandringerne nærmere. Hvilke værdier vil du have særligt fokus på?
1 Jern, SAA, Fibrinogen
2 Magnesium
3 Creatinin, urea, kalium
4 GGT, bilirubin, GLDH
Det rigtige svar er 4

AKP store husdyr blok 1 2024
En 20 år gammel travhest har længe haft problemer med equine recurrent uveitis (ERU) på venstre øje. Ved din undersøgelse i dag ser du dette. Ved tonometri måler du et intraokkulært tryk på 50 mmHg. Hvad er prognosen for syn på dette øje?
1 God
2 Reserveret
3 Slet
4 Det er ikke muligt at udtale sig om prognosen.
Det rigtige svar er 3

AKP store husdyr blok 1 2024
Hvilket kliniske tegn ses hos fåret og hvilke mulige årsager kan der være hertil?
1 Stiv nakke - Differential diagnoser: meningitis, cervical fraktur
2 Nystagmus - Differential diagnoser: Blindhed eller vestibulær lidelse
3 Opistotonus - Differential diagnoser: Blyforgiftning eller listeriose
4 Stjernekigger - Differential diagnoser: Polioencephalomalaci eller sulfatforgiftning
Det rigtige svar er 3
AKP store husdyr blok 1 2024
I vagten kaldes du ud til en liggende ko med hypocalcæmi, som du behandler med calcium. Da koen har rejst sig, afslutter du din kliniske undersøgelse og bemærker at hun er moderat dehydreret, men har ellers ingen bemærkninger. Du ønsker at støtte hende yderligere gennem væskebehandling. Hvad vil være den bedste behandling på dette tidspunkt?
1 5 L 7,5% NaCl IV
2 5 L ringer acetat IV
3 5 L elektrolyt vand PO
4 25 L postevand med 225 g NaCl PO
Det rigtige svar er 4
AKP store husdyr blok 1 2024
Du tilkaldes en 4. kalvsko, der har kælvet for 2 mdr. siden. Koen har været febril et par gange og har svingende ædelyst og nedsat ydelse. Ved auskultation af hjertet høres systolisk mislyd på højre side. Ved auskultation af lungerne høres bronkøs respiration over store områder. Hvad kan sandsynligvis forklare disse fund?
1 Anoreksi kan føre til fysiologisk hjertemislyd
2 Endokarditis på trikuspidalklapperne med embolisk spredning til lungerne
3 Perikarditis og pneumoni
4 Myokarditis med embolisk spredning til lungerne
Det rigtige svar er 2

AKP store husdyr blok 1 2024
Du foretager halthedsudredning af en 12 år gammel hest. Efter diagnostiske blokader finder du disse røntgenforandringer. Hvilken kombination af blokader kunne MEST SPECIFIKT lokalisere hestens halthed?
1 Ramusanalgesi og abaxial sesamoid analgesi
2 Hovledsanalgesi og kodeledsanalgesi
3 Ramusanalgesi og lav 6-punkts analgesi (ringblok over koden)
4 Hovledsanalgesi og lav 6-punkts analgesi (ringblok over koden)
Det rigtige svar er 1
AKP store husdyr blok 1 2024
I forbindelse med reproduktionskontrol i en malkekvægsbesætning undersøger du en ko, som er 28 dage efter kælvning. Koen har purulent vaginalt flåd, når den ligger ned, men er i øvrigt alment upåvirket. Hvad er den sandsynligste diagnose?
1 Pyometra
2 Metritis
3 Endometritis
4 Tilbageholdt efterbyrd
Det rigtige svar er 3
AKP store husdyr blok 1 2024
En hoppe er 21 dage efter forventet foling. Ejeren er bekymret over at hoppen ikke har folet. Hvad vil du gøre?
1 Lave vaginalundersøgelse for at se om cervix er åbnet og der eventuelt er en dystoki
2 Lave rektal ultralydsundersøgelse for at undersøge om hoppen er drægtig og fosteret er i live
3 Måle eCG i plasma for at bekræfte at hoppen er drægtig og fosteret har det godt
4 Inducere foling ved hjælp af oxytocin
Det rigtige svar er 2
AKP store husdyr blok 1 2024
Såkaldte “Progesterone-releasing intravaginal devices” (PRIDs) anvendes hos kvæg typisk til at behandle en reproduktionslidelse. Til behandling af hvilken tilstand, bruges PRIDs typisk (ofte i kombination med andre hormoner)?
1 Mumificeret foster
2 Cystisk ovariesygdom
3 Pyometra
4 Forlænget drægtighed
Det rigtige svar er 2

AKP store husdyr blok 1 2024
Du tilkaldes til et stort stutteri med flere ældre føl (2-4 måneder) med feber og takypnø. På baggrund af ultralydsskanning, anamnese og kliniske fund, hvad er så den mest sandsynlige diagnose og hvordan vil du bekræftige den?
1 E. coli pneumoni, Bekræftigelse med blodkultur
2 EHV-1 infektion, Bekræftigelse med antistof-måling i serum
3 Rhodococcus-infektion. Bekræftigelse med bakteriologisk kultur af trachealaspirat
4 Strept. equi infektion, bekræftelse med blodkultur
Det rigtige svar er 3
AKP store husdyr blok 1 2024
Du skal undersøge et 2 dage gammelt føl nærmere på grund af mulig septisk arthritis og vil gerne give det noget beroligende. Hvilke af følgende kombinationer vil du give føllet?
1 Acepromazin im, efterfulgt af detomidin og butorphanol iv
2 Xylazin og butorphanol iv, mepivacain som lokalanæstesi
3 Diazepam og butorphanol iv
4 Romifidin iv
Det rigtige svar er 3
AKP store husdyr blok 1 2024
Altrenogest kan hos hoppen ikke bruges til
1 at holde myometriet i ro hos en systemisk syg drægtig hoppe
2 at holde en hoppe i kunstig diøstrus
3 at inducere brunst hos en hoppe
4 at synkronisere cyklus hos hopper
Det rigtige svar er 3
AKP store husdyr blok 1 2024
Du tilser en kalv i praksis og finder den har inspiratorisk dyspnø, smertefuld tør hoste, trækker vejret med åben mund og har voldsom halitosis. Kalven har T 40,2, P 120, R 92. Der er ikke næseflåd. Du finder ru respiration bilateralt cranioventral, øget vesikulær respiration dorsalt. Hvad er den mest sandsynlige diagnose?
1 Enzootisk kalvepneumoni
2 Lungeorm
3 Difteritis
4 Pleuritis
Det rigtige svar er 3
AKP store husdyr blok 1 2024
Du afhorner en gruppe af kalve og bruger Xysol, Procamidor og Metacam i forbindelse med indgrebet. Hvilken tilbageholdelsestid for slagt angiver du på tilbageholdelsessedlen?
1 0 døgn
2 1 døgn
3 15 døgn
4 Kalvene skal ikke slagtes, så du udfylder ikke en tilbageholdelsesseddel
Det rigtige svar er 3
AKP store husdyr blok 1 2024
Når kalve når en vis alder er det kun dyrlægen der må afhorne dem. Hvad er denne alder?
1 1 mdr
2 2 mdr
3 3 mdr
4 4 mdr
Det rigtige svar er 3

AKP store husdyr blok 1 2024
Ved undersøgelse i klovboks, finder du dette. Hvilke diagnoser kan du stille på koen?
1 Digital dermatitis, balleråd, byld i den hvide linje, dobbeltsål
2 Sålesår, balleråd, separation i den hvide linje, dobbeltsål, spaltebetændelse
3 Sålesår, dobbeltsål, digital dermatitis, balleråd, separation i den hvide linje
4 Dobbeltsål, digital dermatitis, spaltebetændelse, separation i den hvide linje
Det rigtige svar er 3

AKP store husdyr blok 1 2024
Hvordan skal denne hest behandles?
1 Hesten skal have stor immobiliserende bandage og 12 ugers boksro
2 Hesten bør aflives
3 Hesten behøver ingen behandling
4 Den skal opereres
Det rigtige svar er 4
AKP store husdyr blok 1 2024
Du har stillet diagnosen dorsal dislokation af palatum molle. Du råder ejer til operation. Hvilken operation vil du anbefale?
1 Tie -back
2 Tie-forward
3 Ventrikulokordectomi
4 Ventriculektomi
Det rigtige svar er 2

AKP store husdyr blok 1 2024
Hvordan vil du behandle dette føl? Føllet er 4 måneder gammelt, og ejer mener at tilstanden har udviklet sig henover de seneste ca. 4 uger
1 Tenotomi af den dybe bøjesene
2 Tenotomi af den overfladiske bøjesene
3 Desmotomi af den dybe bøjesenes støttebånd
4 Desmotomi af gaffelbåndet
Det rigtige svar er 3

AKP store husdyr blok 1 2024
Du har kastreret en hest for 5 dage siden. Ejer tilkalder dig, da hun ikke synes, at såret ser ud til at hele, som det skal. Ved din kliniske undersøgelse finder du T 38,5, P 40 R 20. Hvordan vil du behandle hesten?
1 Åbne incisionen sterilt, give 5 dages antibiotika og NSAID, lade hesten få motion
2 Åbne incisionen sterilt, give 14 dages antibiotika og 5 dages NSAID, lade hesten få motion
3 Give 5 dages NSAID, lade hesten få motion
4 Det er ikke nødvendigt at gøre mere
Det rigtige svar er 1

AKP store husdyr blok 1 2024
Du modtager to røntgenbilleder fra en kollega, der er blevet kaldt ud til en hest med et indtrådt fremmedlegeme. Din kollega er i tvivl om, hvilken anatomisk struktur, der kan være blevet skadet af fremmedlegemet. Kan du hjælpe?
1 Den elastiske ballepude
2 Hovleddet
3 Den distale seneskede
4 Bursa podotrochlearis
Det rigtige svar er 4
AKP store husdyr blok 1 2024
Du kaldes ud til en hest som pludselig til morgen er ikke-vægtbærende halt på sit venstre forben, den har forøget digital puls. Hvad er den mest sandsynlige diagnose og hvilket diagnostisk tiltag kan bring dig videre?
1 Fraktur af hovbenet, røntgen
2 Fraktur af hovbenet, visitation af hov
3 Hovbyld, røntgen
4 Hovbyld, visitation af hoven
Det rigtige svar er 4
AKP store husdyr blok 1 2024
Du bliver kaldt ud til en hest med akute neurologiske symptomer og en kraftig hævelse bilateralt midt på halsen. Ejer fortæller at hesten er væltet på folden. Hvilken billeddiagnostisk undersøgelse vil du lave først?
1 Røntgen af hovedet
2 Ultralyd af cervikale vertebra i området for hævelsen
3 Røntgen af cervikale vertebra i området for hævelsen
4 Billeddiagnostik er ikke nødvendigt
Det rigtige svar er 3
AKP store husdyr blok 1 2024
Du laver reprotjek på en førstekalvs SDM ko med en huldscore på 1,75. Hun er 70 dage efter kælvning. Begge ovarier har en diameter på 2 cm uden mærkbare strukturer. Hvordan vil du beskrive denne kvies reproduktionsmæssige stadie.
1 Acyklisk
2 Østrus
3 Diøstrus
4 Drægtig
Det rigtige svar er 1
AKP store husdyr blok 1 2024
Du rektalundersøger en ko 9,5 måneder efter den er insemineret. Uterus er uafgrænselig, og med et hårdt indhold. Du kan ikke mærke fluktuation. Hvad er den mest sandsynlige diagnose?
1 Macereret foster
2 Forlænget drægtighed
3 Stenfoster
4 Endometritis
Det rigtige svar er 3

AKP store husdyr blok 1 2024
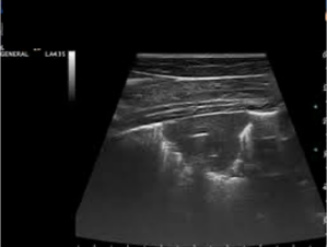
En hoppe er blevet scannet med henblik på insemination. Billedet viser venstre ovarie. De blå markeringer angiver målene på en struktur i ovariet på 35 x 31 mm. To dage før var der en follikel på 38 mm. Hvilken struktur ses på ovariet?
1 Granulosa-theca celle tumor
2 Follikelcyste
3 Luteincyste
4 Corpus hæmorrhagicum
Det rigtige svar er 4

AKP store husdyr blok 1 2024
Du udtager en svaberprøve fra uterus på en hoppe. Du skanner hoppen, og hun står med intrauterin væske (3 cm) og er i østrus. Dyrkning fra svaberen er steril. Dit cytologiske præparat er afbilledet nedenfor. Hvordan vil du tolke resultaterne fra svaberprøven og din skanning?
1 Cytologi er negativ (ingen inflammationsceller) og hoppen er derfor klar til inseminering
2 Cytologi er positiv (inflammationsceller), men da der ikke er vækst af patogener, er hoppen klar til inseminering
3 Cytologi er positiv (inflammationsceller). Selvom dyrkningen er negativ, er hoppen ikke klar til inseminering
4 Cytologi er negativ (ingen inflammationsceller), men da hoppen står med intrauterin væske bør hun behandles inden inseminering
Det rigtige svar er 3
AKP store husdyr blok 1 2024
En hingst skal screenes for kontagiøs equin metritis (CEM) forud for avlssæsonen. Fra hvilke anatomiske lokaliteter udtager du prøver til videre diagnostik?
1 Præputium, urethra og scrotum
2 Urethra, fossa urethralis, præputium
3 Urethra, fossa glandis og præputium
4 Urethra, fossa urethralis, fossa glandis og præputium
Det rigtige svar er 4

AKP store husdyr blok 4 2024
Hvad bestemmer længden på en Caslick suturering?
1 Dorsale kant af klitoris
2 Ventrale kant af klitoris
3 Ischium
4 Vulvo-vestibulum/ “Vestibulum sphincter”
Det rigtige svar er 3
AKP store husdyr blok 4 2024
Du tilser en kalv i praksis og finder den har inspiratorisk dyspnø, smertefuld tør hoste, trækker vejret med åben mund og har voldsom halitosis. Kalven har T 40,2, P 120, R 92. Der er ikke næseflåd. Du finder ru respiration bilateralt cranioventral, øget vesikulær respiration dorsalt. Hvad er den mest sandsynlige diagnose?
1 Enzootisk kalvepneumoni
2 Lungeorm
3 Difteritis
4 Pleuritis
Det rigtige svar er 3
AKP store husdyr blok 4 2024
En kalv på 50 kg med diarre er 10% dehydreret og har en SBE -10. Hvilken væske terapi skal den have?
1 10 liter væske med i alt 150mmol Isotonisk NaCl over 24 timer
2 20 liter væske med i alt 450mmol Isotonisk NaCl over 24 timer
3 10 liter væske med i alt 250mmol bicarbonat over 24 timer
4 20 liter væske med i alt 150mmol bicarbonat over 24 timer
Det rigtige svar er 3

AKP store husdyr blok 4 2024
Denne ko er halt og landmanden vil gerne vide hvorfor. Du undersøger koen i klovboks. Hvad er den sandsynlige årsag til haltheden?
1 Hulvæg og dobbeltsål
2 Laminitis
3 Digital dermatitits
4 Byld i den hvide linje
Det rigtige svar er 3
AKP store husdyr blok 4 2024
Du har behandlet en kalv med Trymox og Metacam. Du har også givet lidt Rompun for at få den til at stå stille, mens du undersøgte den. Hvilken tilbageholdelsestid skriver du på tilbageholdelsessedlen?
1 Den længste af de tre.
2 Alle tre, ellers er sedlen ikke fyldestgørende.
3 Den der gælder for det præparat, kalven har fået mest af.
4 Ingen, for landmanden siger, at kalven ikke skal slagtes.
Det rigtige svar er 1
AKP store husdyr blok 4 2024
Du tilkaldes for at lave en nødslagteattest (ejer-dyrlæge-erklæring) på en ko. Hvilken én af følgende køer kan nødslagtes?
1 En 3 år gammel Holstein-ko, der for to dage siden skred ud og har været liggende siden. Den er afebril og æder, mens den ligger.
2 En Jersey-ko, der kom til at hænge fast i inventaret til morgenmalkningen for to timer siden og nu slet ikke kan støtte på højre bagben. Landmanden tror benet er brækket og har givet koen metacam, mens han ventede på dig.
3 En drægtig Holstein-kvie, der faldt, da den skulle flyttes mellem to staldafsnit for en time siden. Den har en åben fraktur af venstre forben, men er ellers klinisk upåfaldende.
4 En højtydende Holstein-ko på 6 år, som er rendt igennem et hegn og har fået et meget dybt sår i bringen. Den blev behandlet for mastitis med mamyzin IM og penicillin IMM for fem dage siden.
Det rigtige svar er 3
AKP store husdyr blok 4 2024
En dyrlæge skal altid sedere og lokalbedøve kalve før afhorning. Hvad er den maximale alder på kalvene landmanden selv må foretage afhorningen af?
1 1 mdr
2 2 mdr
3 3 mdr
4 4 mdr
Det rigtige svar er 3
AKP store husdyr blok 4 2024
Hvornår ses uterusprolaps hyppigst hos ko?
1 Østrus
2 Diøstrus
3 Postpartum
4 I forbindelse med lødning
Det rigtige svar er 3
AKP store husdyr blok 4 2024
Hvorfor må du ikke behandle en ko i 6 drægtighedsmåned med glukokortikoider?
1 Det er teratogent
2 Det kan inducere abort
3 Det giver hypotension
4 Det giver placentaløsning
Det rigtige svar er 2
AKP store husdyr blok 4 2024
Kolik forårsaget af blodorm skyldes
1 Larvernes migration gennem leveren
2 Larvernes hybobiose i colon og caecum
3 Ormenes hæftning ved den ileocecale overgang
4 Larvernes migration i tarmenes blodkar
Det rigtige svar er 4

AKP store husdyr blok 4 2024
Du ser følgende endoskopibillede på en hest med inspiratorisk bilyd. Du råder ejer til operation. Hvilken operation vil du anbefale?
1 Tie-back og ventrikulokordektomi
2 Tie-forward og ventrikulokordektomi
3 Tying up
4 Tying - left
Det rigtige svar er 1
AKP store husdyr blok 4 2024
Du undersøger en hest hvor ejeren har bemærket stampen med benene og krustedannelse i kodebøjningen. Hvilken infektion er mest sandsynlig hos hesten?
1 Chorioptes
2 Sarkoptes
3 Psoroptes
4 Demodex
Det rigtige svar er 1
AKP store husdyr blok 4 2024
Du diagnosticerer infektion med equin coronavirus i en stor ridestald. Hvor lang tid vil du anbefale karantæne?
1 1 uge efter sidste hest har haft feber
2 2 uger efter sidste hest har haft feber
3 3 uger efter sidste hest har haft feber
4 6 uger efter sidste hest har haft feber
Det rigtige svar er 3

AKP store husdyr blok 4 2024
Hvad fejler denne hest?
1 Fraktur af kodebenet
2 Septisk artritis af kodeleddet
3 Ringfod (osteoartritis af kronleddet)
4 Ostechondrose i kronleddet
Det rigtige svar er 3

AKP store husdyr blok 4 2024
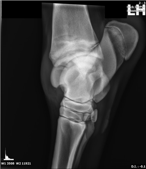
På dette røntgenbillede findes osteochondrose på et prædilektionssted i talocruralleddet hos hest. Hvilke andre prædilektionssteder for osteochondrose i talocruralleddet hos hest findes der?
1 Laterale trochlea, mediale malleol
2 Distale intermediærkam af tibia, laterale trochlea
3 Mediale kondyl, mediale malleol
4 Tuberositas tibia, distale intermediærkam
Det rigtige svar er 1

AKP store husdyr blok 4 2024
Du undersøger denne hest, som har vist følgende i løbet af de sidste dage. Ædelyst er normal. Hvilken af følgende hjernenerver kan være afficeret?
1 N. hypoglossus
2 N. accesorius
3 N. trigeminus
4 N. abducens
Det rigtige svar er 1
AKP store husdyr blok 4 2024
Du har udtaget en bronkoalveolar lavage (BAL) på en hest uden feber og med anamnese om nedsat præstation. Cytologisvaret viser at hesten har 27% neutofile granulocytter. Hvilken diagnose kan du stille på baggrund af BAL cytologisvaret?
1 Hesten er rask
2 hesten har mild-moderat astma
3 Hesten har svær astma
4 Hesten har pneumoni
Det rigtige svar er 3
AKP store husdyr blok 4 2024
Du har taget røntgenbilleder af lungerne på et 3 måneder gammelt føl med luftvejsymptomer og finder afgrænsede rundlige processer. Hvad er det mest sandsynlige kausative patogen?
1 Equin Herpes Virus 4
2 Rhodococcus equi (hoagii)
3 E.coli
4 Staphylococcus aureus
Det rigtige svar er 2

AKP store husdyr blok 4 2024
Hvilken intestinale lidelse er denne hest mest disponeret for?
1 Foramen epiploicum hernie
2 Colon volvolus
3 Ileumobstipation
4 Flexura pelvina forstoppelse
Det rigtige svar er 1
AKP store husdyr blok 4 2024
Du har en hest med akut colitis og er bange for laminitis som komplikation. Hvordan kan du mindske risikoen?
1 Cryoterapi af hovene
2 Åreladning
3 Sygebeslag med ringsko
4 Motion på hård underlag
Det rigtige svar er 1
AKP store husdyr blok 4 2024
Du undersøger en unghest med feber og hoste. Ved auskultation af lungerne hører du øget vesikulær lyd med pipen på venstre side. På højre side kan du næsten ikke høre noget. Hvordan vil du differentiere den mulige årsag videre?
1 Perkussion af lungerne
2 Kontrol af hjertestød
3 Auskultation af lungerne efter arbejde
4 Kontrol om ens luftstrøm fra begge nares
Det rigtige svar er 1
AKP store husdyr blok 4 2024
Du tilkaldes for at lave en sundhedskontrol på et 20 timer gammelt føl. Ejeren havde bemærket mælkeløb hos hoppen fra ca 1 uge inden foling. Føllet er frisk og har diet ca. hver time hos hoppen. Vil du lave nogen videre undersøgelser ud over din kliniske undersøgelse?
1 Jeg vil lave en ultralydsscanning af thorax, navle og hjerte for at kontrollere for mulig infektion
2 Jeg vil ikke lave noget videre, men anbefale ejeren at måle temperatur på føllet dagligt
3 Jeg vil måle IgG og se om den er over 800 mg/dl
4 Jeg vil tage en blodprøve og kontrollere for mulig infektion
Det rigtige svar er 3

AKP store husdyr blok 4 2024
Denne kvie præsenteres som på billedet. Hvis ejeren lader kvien være, hvordan vurderer du så prognosen for fuld restitution?
1 God
2 Reserveret
3 Slet
4 Det er det ikke muligt at udtale sig om
Det rigtige svar er 3
AKP store husdyr blok 4 2024
Induktion af ovulation hos hest kan opnås med?
1 Humant choriongonadotropin
2 Equint choriongonadotropin
3 Bovint choriongonadotropin
4 Prostaglandin
Det rigtige svar er 1
AKP store husdyr blok 4 2024
En hoppe skal insemineres med frost sæd. Hvor mange progressive motile sædsceller skal der være i den optøede inseminationsdosis?
1 500 mio
2 1000 mio
3 250 mio
4 750 mio
Det rigtige svar er 3

AKP store husdyr blok 4 2024
Du tilkaldes til en hest, der er blevet halt på venstre forben. Ved inspektion af benet finder du en benet hævelse. Hvilke blokader vil du anvende til at afgøre, om denne hævelse er årsag til haltheden?
1 Ramusanalgesi og subcarpal analgesi
2 Kodeledsanalgesi og subcarpal analgesi
3 Ramusanalgesi og subcarpal analgesi
4 Lav 4-punkts analgesi (ringblok over koden) og subcarpal analgesi
Det rigtige svar er 4

AKP store husdyr blok 4 2024
Hvordan vil du karakterisere denne syre-base udskrift og hvad fejler denne 4. kalvs ko der er anorektisk og nedstemt 3 uger efter kælvning højest sandsynlig?
1 Hypochloræmisk hypokalæmisk metabolisk alkalose som følge af penetrerende løbesår
2 Hypochloræmisk hypokalæmisk metabolisk alkalose som følge af højresidig løbedrejning
3 Hypochloræmisk hypokalæmisk respiratorisk alkalose som følge af bronchopneumoni
4 Hypochloræmisk hypokalæmisk metabolisk alkalose som følge af colitis
Det rigtige svar er 2
AKP store husdyr blok 4 2024
Du tilkaldes til et 10 dage gammelt føl, som er akut halt på venstre bagben grad 4/5 og med tempratur 39,5 celcius. Ved din kliniske undersøgelse finder du en mild ødematøs hævelse omkring venstre tarsus. Du udtager et ledaspirat fra tarso-kruralled og får følgende resultat: Totalprotein: 20 g/l. Celletal: 15.000/uL med 75% neutrofile. Hvordan vil du videre fortsætte?
1 Scintigrafi
2 Røntgenbillede
3 Metacam og boksro
4 Blodkultur
Det rigtige svar er 2

AKP store husdyr blok 4 2024
Ved obduktion af en 3. kalvsko, der som følge af længere tids sygdom, er aflivet 3 måneder efter kælvning, observeres følgende. Hvad er det mest sandsynlige kliniske fund ved undersøgelse inden aflivning?
1 Afmagring, blege slimhinder, nedsat vommotilitet
2 Afmagring, venestase, venepuls, ødem i doglap og abducerede albuer.
3 Afmagring, høj gødningsscore, melena, feber.
4 Afmagring, recidiverende feber, systolisk mislyd på hjertet.
Det rigtige svar er 2

AKP store husdyr blok 4 2024
Billedet viser udmalkning fra yver på indikatorpapir. Hvad kan du konkludere ud fra dette?
1 Venstre bagkirtel er gold. Venstre forkirtel har for lav pH i mælken, Højre bagkirtel har normal pH i mælken og højre forkirtel har for høj pH i mælken.
2 Venstre forkirtel har normal pH i mælken. Højre forkirtel og bagkirtel har forøget pH i mælken. Venstre bagkirtel er ikke undersøgt.
3 Venstre forkirtel og højre bagkirtel har normal pH i mælken. Højre forkirtel har forøget pH i mælken. Venstre bagkirtel er ikke undersøgt.
4 Venstre bagkirtel er ikke undersøgt. Venstre forkirtel har for lav pH i mælken. Højre forkirtel og højre bagkirtel har normal pH i mælken.
Det rigtige svar er 2
AKP store husdyr blok 4 2024
Hvilken del af hingstens ejakulat opsamles i et filter ved sædopsamling pga. dets negative effekt på sædcellernes motilitet?
1 1. fraktion (sædplasma)
2 2. fraktion (den spermierige fraktion)
3 3. fraktion (gelfraktion)
4 1. og 3. fraktion
Det rigtige svar er 3
AKP store husdyr blok 4 2024
Hvilket scanningsfund vil være indikation på endometritis hos en hoppe?
1 Pneumouterus
2 Intrauterin væske
3 Endometriecyster
4 Persisterende anovulatorisk follikel
Det rigtige svar er 2
AKP store husdyr blok 4 2024
Hvilken metode bruges til at vurdere om sædceller har en intakt celle-membran?
1 Eosin-nigrosin farvning
2 Progressiv motilitet
3 Neubauer tællekammer
4 Makler tællekammer
Det rigtige svar er 1
AKP store husdyr blok 4 2024
I forbindelse med reproduktionskontrol i en malkekvægsbesætning, undersøger du en ko, som er 30 dage efter kælvning. Ved palpation af ovarierne finder du store cyster i begge ovarier. Hvilken klinisk tilstand ses typisk hos en sådan ko?
1 Anøstrus
2 Purulent vaginalt flåd
3 Proøstrus
4 Kolik
Det rigtige svar er 1
AKP store husdyr blok 4 2024
I forbindelse med “nykælver check” i en malkekvægsbesætning, undersøger du en ko, som er 8 dage efter kælvning. Koen har purulent vaginalt flåd, når den ligger ned, men er i øvrigt alment upåvirket. Hvorledes vil du behandle denne?
1 Ilægge børstave
2 Systemisk antibiotika
3 Prostaglandin
4 Afvente om koen bliver spontant helbredt
Det rigtige svar er 4

AKP store husdyr blok 4 2024
Hvilken del af den kliniske undersøgelse er vigtigst hos denne hest?
1 Passiv flexion og extension af tåen
2 Sondering med myrtebladssonde
3 Palpation af såromgivelser
4 Observation af gangmønster i skridt
Det rigtige svar er 4

AKP store husdyr blok 4 2024
Du tilser en hest med et sår på piben efter et spark og beslutter dig for at tage røntgenbilleder. Du ser derved nedenstående læsion. Hvad er hestens prognosis quo ad tempus?
1 Såfremt tilstanden ikke kompliceres (af eks. gaffelbåndsskade), vil hesten kunne påbegynde træning 4 uger efter operation
2 Såfremt tilstanden ikke kompliceres (af eks. gaffelbåndsskade), vil hesten kunne påbegynde træning 8 uger efter operation
3 Sårfremt tilstanden ikke kompliceres (af eks. gaffelbåndsskade), vil hesten kunne påbegynde træning 12 uger efter operation
4 Hesten vil med stor sandsynlighed ikke komme tilbage i ridning
Det rigtige svar er 3
AKP store husdyr blok 4 2024
En hest indlægges med et stort sår på piben HB. Hvilke af nedenstående anamnestiske oplysninger er den vigtigste for din videre behandling af hesten?
1 Hvordan opstod skaden?
2 Hvornår opstod skaden?
3 Har hesten tidligere haft skader på dette ben?
4 Hvornår blev hesten sidst vaccineret?
Det rigtige svar er 4
AKP store husdyr blok 4 2024
Hvilke blodparametre anvendes til at diagnosticere tilstedeværelse af en inflammatorisk tilstand forud for anæstesi af hest?
1 Hæmatokrit, hæmoglobin og erythrocyttal
2 Fibrinogen, leukocyttal (WBC), serum amyloid A og jern
3 Creatin kinase, alanine transaminase (ALAT) og aspartat aminotransferase (ASAT)
4 Lymfocyttal, laktat dehydrogenase (LDH) og laktat
Det rigtige svar er 2

AKP store husdyr blok 4 2024
Hesten indlægges med en ca. 24 timer gammel øjenlågslaceration. Hvorledes vil du vurdere denne patients prognose quo ad restitutionam completam?
1 God; såret vil hele pænt uanset om det sutureres til heling per primam eller efterlades åbent til heling per secundam
2 Reserveret; et ældre sår vil have vanskeligt ved at hele uanset behandling
3 God; såret vil hele pænt, hvis det sutureres til heling per primam
4 Reserveret; eneste mulige behandling er at efterlade såret åbent til heling per secundam
Det rigtige svar er 3

AKP store husdyr blok 3 23/24
Du tilkaldes til en hest som er nedstemt. Ved din kliniske undersøgelse finder du blege-ikteriske slimhinder, puls 60/min, respiration 28/min og temperatur på 38.4. Du tager en blodprøve og ser følgende efter spinning af dit kapillarrør. Hvad er din tentative diagnose?
1 Hæmolytisk anæmi
2 Hyperlipæmi
3 Hepatitis
4 Myopati
Det rigtige svar er 1
AKP store husdyr blok 3 23/24
Du tilkaldes til en hest med pludselig opstået skæv hovedholdning. TPR er normal. Hvilken af følgende diagnostiske undersøgelser vil give mest diagnostisk information med henblik på årsag?
1 CT
2 Røntgen
3 Ultralyd
4 Hæmatologi
Det rigtige svar er 1
AKP store husdyr blok 3 23/24
Du har insemineret en hoppe med kølesæd (tappet samme dag). Hvor længe kan du forvente, at sæden minimum er fertil i hoppen efter inseminering?
1 12 timer
2 48 timer
3 72 timer
4 36 timer
Det rigtige svar er 2
AKP store husdyr blok 3 23/24
Du bliver kaldt ud til en kalv med vandig diarre, den er liggende og uvillig til at rejse sig. Den har ophørt sutterefleks, hudfold står i ca 6 sek og slimhinderne er lyserøde og tørre, med en kapillærfyldningstid på ca. 4 sek. Øjnene er indsunkne. Hvilke forskydninger i syre-base og elektrolytbalancen vil du forvente hos kalven?
1 Acidose og lav bicarbonat
2 Alkalose og hyperkloridæmi
3 Acidose og lav bicarbonat
4 Alkalose og hypokloridæmi
Det rigtige svar er 1

AKP store husdyr blok 3 23/24
Du foretager en endoskopiundersøgelse af en hest, der har nedsat præstationsevne og respiratorisk bilyd under arbejde. Hvad er din diagnose?
1 Dorsal dislokation af den bløde gane
2 Laryngshemiplegia sinistra
3 Epiglottisentrapment
4 Laryngshemiplegia dextra
Det rigtige svar er 3
AKP store husdyr blok 3 23/24
Ved auskulation af en 5 år gammel DV hoppe i forbindelse med en handelsundersøgelse har hesten en puls på 44 slag/minut i hvile, men hjerterytmen er uregelmæssig uregelmæssig. Hvilken supplerende undersøgelse vil du anbefale at få lavet for denne hest?
1 Blodprøve for vurdering af inflammationsparametre
2 Hjerte-elektrokardiogram (EKG)
3 Hjerteskanning (Ekkokardiografi)
4 Arteriel iltmætning
Det rigtige svar er 2
AKP store husdyr blok 3 23/24
Hvilket anthelmintika bør anvendes til behandling af spolorm ?
1 Fenbendazol
2 Ivermectin
3 Moxidectin
4 Praziquantel
Det rigtige svar er 1

AKP store husdyr blok 3 23/24
Du tilkaldes til en hest, idet ejer har observeret at manen er blevet grim og med uens længde. Hvad observerer du og hvad skyldes dette sandsynligvis?
1 Hypotrikose som følge af PPID
2 Knækkede og flossede hår som følge af kløe
3 Hypertrikose som følge af kløe
4 Knækkede og flossede hår som følge af PPID
Det rigtige svar er 2
AKP store husdyr blok 3 23/24
Du undersøger et 3 dage gammelt føl med diarre og feber. Du har mistanke om sepsis. Hvilke andre kliniske tegn vil du være meget opmærksom på?
1 Systolisk mislyd på venstre side
2 Effusion i led
3 Ikteriske slimhinder
4 Hvælvet pande
Det rigtige svar er 2
AKP store husdyr blok 3 23/24
Du scanner en hoppe i januar måned, og finder små inaktive ovarier. Cervix og uterus palperes med lav tonus. Hvilket cyklusstadie vil du vurdere, hoppen til at være i?
1 Østrus
2 Diøstrus
3 Anøstrus
4 Transitionsfasen (forår)
Det rigtige svar er 3
AKP store husdyr blok 3 23/24
Hvad er det optimale tidspunkt for insemination af en normal fertil hoppe med frostsæd efter administration af Chorulon (hCG)? Du har to inseminationsdoser til rådighed?
1 24 og 48 timer efter Chorulon administration
2 24 og 40 timer efter Chorulon administration
3 12 og 24 timer efter Chorulon administration
4 12 timer efter Chorulon administration. Du vælger at inseminere med begge doser samtidig
Det rigtige svar er 2
AKP store husdyr blok 3 23/24
Hvornår vil du indgive prostaglandin til en ko i forbindelse med brunstsynkronisering
1 Østrus
2 Diøstrus
3 Anøstrus
4 Proøstrus
Det rigtige svar er 2
AKP store husdyr blok 3 23/24
Hvordan vil du behandle et vaginalprolaps hos en ko, der er konstant prolaberet ud?
1 Anlæg epidural, reponer, læg en Bühnersutur
2 Anlæg epidural, reponer og indgiv oxytoxin
3 Anlæg epidural, reponer og læg en tobaksposesutur
4 Send koen til slagtning
Det rigtige svar er 1
AKP store husdyr blok 3 23/24
En hoppe skal insemineres efter foling, men du ønsker ikke at bruge følbrunsten. Med hvilket hormon kan du "short cycle" hoppen, således at den første "rigtige" brunst efter foling starter tidligere end dag 30?
1 GnRH
2 PGF-2 alfa
3 Oxytocin
4 Progesteron
Det rigtige svar er 2
AKP store husdyr blok 3 23/24
Hvor deponeres sæden i en hoppe ved insemination med optøet frostsæd?
1 Vagina
2 Ampulla
3 Corpus uterus
4 Cervix
Det rigtige svar er 3
AKP store husdyr blok 3 23/24
En SDM ko kælvede for 10 dage siden og har stinkende flåd fra vulva. Ved rektalundersøgelse føles uterus uafgrænselig. Koen er afebril, uforstyrret almenbefindende og har god ædelyst. Hvordan vil du behandle koen?
1 Koen har ikke behov for behandling på dette tidspunkt
2 Du lægger børstave i uterus
3 Du giver meloxicam systemisk og børstave i uterus
4 Du giver ceftiofur systemisk
Det rigtige svar er 1
AKP store husdyr blok 3 23/24
Hvilke parametre fra en standard sædundersøgelse indgår i beregningen af, hvor mange inseminationsdoser, der kan fremstilles ud fra en hingsts ejakulat?
1 Progressiv motilitet, ejakulatets volumen og koncentration
2 Progressiv motilitet, gelfraktionens volumen og koncentration
3 Procent morfologiske normale sædceller, ejakulatets volumen og koncentration
4 Procent morfologiske normale sædceller, gelfraktionens volumen og koncentration
Det rigtige svar er 1
AKP store husdyr blok 3 23/24
En ejer af en gedebesætning ønsker at vide om hundyrene er drægtige. Hvordan vil du undersøge dyrene med henblik på drægtighedsbestemmelse?
1 Måle progesteronsulfat
2 Måle choriongonadotropin
3 Lave balottement
4 Lave transabdominal ultralydsscanning
Det rigtige svar er 4

AKP store husdyr blok 3 23/24
Du kastrerer en hest stående. Få timer efter operationen ringer ejer og beder dig om at komme tilbage så hurtigt som muligt. Hvordan vil du behandle denne patient?
1 Der gives bredspektret antibiose, NSAIDS og anlægges en forbinding omkring lysken, herefter sendes hesten til nærliggende hospital
2 Hesten sendes uden yderligere behandling på hospitalet
3 Du presser tarmene tilbage ind i lyskekanalen og giver 5 dages bredspektret antibiose og NSAIDs
4 Hesten bør aflives, da behandling er udsigtsløs
Det rigtige svar er 1

AKP store husdyr blok 3 23/24
Denne ko er halt og landmanden vil gerne vide hvorfor. Du undersøger koen i klovboks. Hvad er den sandsynlige årsag til haltheden?
1 Interdigital dermatitis
2 Tynd sål
3 Digital dermatitis
4 Sålesår
Det rigtige svar er 4